JavaScript is disabled in your browser. Please enable JavaScript to view this website.
AB300510

Anti-ALDH1L1+ALDH1L2 antibody [EPR25443-54] - BSA and Azide free

Be the first to review this product! Submit a review

|

(0 Publication)

Rabbit Recombinant Monoclonal ALDH1L1 antibody. Carrier free. Suitable for IP, Flow Cyt (Intra), ICC/IF, IHC-Fr, IHC-P, Dot, WB and reacts with Mouse, Human, Rat, Recombinant full length protein - Mouse samples.

View Alternative Names

FTHFD, ALDH1L1, Cytosolic 10-formyltetrahydrofolate dehydrogenase, 10-FTHFDH, FDH, Aldehyde dehydrogenase family 1 member L1

14 Images
Immunocytochemistry/ Immunofluorescence - Anti-ALDH1L1+ALDH1L2 antibody [EPR25443-54] - BSA and Azide free (AB300510)
  • ICC/IF

Supplier Data

Immunocytochemistry/ Immunofluorescence - Anti-ALDH1L1+ALDH1L2 antibody [EPR25443-54] - BSA and Azide free (AB300510)

This data was developed using ab300509, the same antibody clone in a different buffer formulation.Immunofluorescent analysis of 4% Paraformaldehyde-fixed, 0.1% TritonX-100 permeabilized HepG2 (human hepatocellular carcinoma epithelial cell) cells labelling ALDH1L1+ALDH1L2 with ab300509 at 1/50 (10.72 ug/ml) dilution, followed by ab150081 Goat Anti-Rabbit IgG H&L (Alexa Fluor® 488) preadsorbed antibody at 1/1000 2ug/ml dilution (Green). Confocal image showing cytoplasmic staining in HepG2 cell line is observed. ab195889 Anti-alpha Tubulin mouse monoclonal antibody - Microtubule Marker (Alexa Fluor® 594) was used to counterstain tubulin at 1/200 2.5ug/ml dilution (Red). The Nuclear counterstain was DAPI (Blue). Secondary antibody only control : Secondary antibody is ab150081 Goat Anti-Rabbit IgG H&L (Alexa Fluor® 488) preadsorbed at 1/1000 2ug/ml dilution.

Immunoprecipitation - Anti-ALDH1L1+ALDH1L2 antibody [EPR25443-54] - BSA and Azide free (AB300510)
  • IP

Supplier Data

Immunoprecipitation - Anti-ALDH1L1+ALDH1L2 antibody [EPR25443-54] - BSA and Azide free (AB300510)

This data was developed using ab300510, the same antibody clone in a different buffer formulation. ALDH1L1+ALDH1L2 was immunoprecipitated from 0.35 mg Human liver tissue lysate 10 ug with ab300509 at 1/30 dilution (2ug in 0.35mg lysates). Western blot was performed on the immunoprecipitate using ab300509 at 1/1000 dilution. VeriBlot for IP secondary antibody (HRP)(ab131366) was used at 1/5000 dilution. Lane 1 : Human liver tissue lysate 10 ug Lane 2 : ab300509 IP in Human liver tissue lysate Lane 3 : Rabbit monoclonal IgG (ab172730) instead of ab300509 in human liver tissue lysate. Blocking and dilution buffer and concentration : 5% NFDM/TBST. Exposure time : 3 seconds

Lane 1:

Immunoprecipitation - Anti-ALDH1L1+ALDH1L2 antibody [EPR25443-54] - Astrocyte Marker (<a href='/en-us/products/primary-antibodies/aldh1l1aldh1l2-antibody-epr25443-54-astrocyte-marker-ab300509'>ab300509</a>) at 1/30 dilution

Lane 2:

Immunoprecipitation - Anti-ALDH1L1+ALDH1L2 antibody [EPR25443-54] - Astrocyte Marker (<a href='/en-us/products/primary-antibodies/aldh1l1aldh1l2-antibody-epr25443-54-astrocyte-marker-ab300509'>ab300509</a>) at 1/1000 dilution

All lanes:

Human liver tissue lysate at 10 µg

Secondary

All lanes:

Immunoprecipitation - VeriBlot for IP Detection Reagent (HRP) (<a href='/en-us/products/reagents/veriblot-for-ip-detection-reagent-hrp-ab131366'>ab131366</a>) at 1/5000 dilution

false

Exposure time: 3s

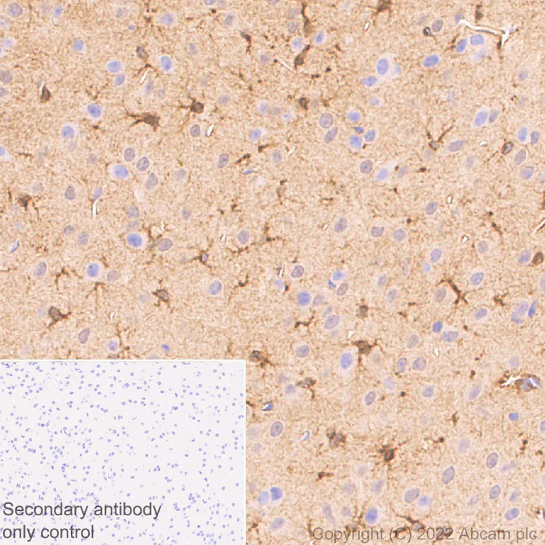
Immunohistochemistry (Formalin/PFA-fixed paraffin-embedded sections) - Anti-ALDH1L1+ALDH1L2 antibody [EPR25443-54] - BSA and Azide free (AB300510)
  • IHC-P

Supplier Data

Immunohistochemistry (Formalin/PFA-fixed paraffin-embedded sections) - Anti-ALDH1L1+ALDH1L2 antibody [EPR25443-54] - BSA and Azide free (AB300510)

This data was developed using ab300509, the same antibody clone in a different buffer formulation.Immunohistochemical analysis of paraffin-embedded Mouse cerebrum tissue labeling ALDH1L1+ALDH1L2 with ab300509 at 1/5000 (0.107 ug/ml) followed by a ready to use LeicaDS9800 (Bond™ Polymer Refine Detection) was used. Positive staining on astrocytes of mouse cerebrum. The section was incubated with ab300509 for 30 mins at room temperature.The immunostaining was performed on a Leica Biosystems BOND® RX instrument Counterstained with Hematoxylin. Secondary antibody only control : Secondary antibody is a ready to use LeicaDS9800 (Bond™ Polymer Refine Detection) was used.Heat mediated antigen retrieval with Tris-EDTA buffer (pH 9.0, epitope retrieval solution2) for 20 mins

Immunohistochemistry (Formalin/PFA-fixed paraffin-embedded sections) - Anti-ALDH1L1+ALDH1L2 antibody [EPR25443-54] - BSA and Azide free (AB300510)
  • IHC-P

Supplier Data

Immunohistochemistry (Formalin/PFA-fixed paraffin-embedded sections) - Anti-ALDH1L1+ALDH1L2 antibody [EPR25443-54] - BSA and Azide free (AB300510)

This data was developed using ab300509, the same antibody clone in a different buffer formulation.Immunohistochemical analysis of paraffin-embedded Rat cerebrum tissue labeling ALDH1L1+ALDH1L2 with ab300509 at 1/500 (1.072 ug/ml) followed by a ready to use LeicaDS9800 (Bond™ Polymer Refine Detection) was used. Positive staining on astrocytes of rat cerebrum (PMID : 18171944). The section was incubated with ab300509 for 30 mins at room temperature.The immunostaining was performed on a Leica Biosystems BOND® RX instrument Counterstained with Hematoxylin. Secondary antibody only control : Secondary antibody is a ready to use LeicaDS9800 (Bond™ Polymer Refine Detection) was used.Heat mediated antigen retrieval with Tris-EDTA buffer (pH 9.0, epitope retrieval solution2) for 20 mins

Immunocytochemistry/ Immunofluorescence - Anti-ALDH1L1+ALDH1L2 antibody [EPR25443-54] - BSA and Azide free (AB300510)
  • ICC/IF

Supplier Data

Immunocytochemistry/ Immunofluorescence - Anti-ALDH1L1+ALDH1L2 antibody [EPR25443-54] - BSA and Azide free (AB300510)

This data was developed using ab300509, the same antibody clone in a different buffer formulation.Immunofluorescent analysis of 4% Paraformaldehyde-fixed, 0.1% TritonX-100 permeabilized mouse primary neuron/glia cell cells labelling ALDH1L1+ALDH1L2 with ab300509 at 1/50 (10.72 ug/ml) dilution, followed by ab150081 Goat Anti-Rabbit IgG H&L (Alexa Fluor® 488) preadsorbed antibody at 1/1000 2ug/mL dilution (Green). Confocal image showing cytoplasmic staining in mouse primary astrocyte.Confocal scanning Z step was set as 0.3 µm followed by image processing with maximum Z projection. is observed. Anti-Glial Fibrillary Acidic Protein (GFAP) mouse monoclonal antibody was used to counterstain tubulin at 1/50 10ug/ml dilution (Red). The Nuclear counterstain was DAPI (Blue). Secondary antibody only control : Secondary antibody is ab150081 Goat Anti-Rabbit IgG H&L (Alexa Fluor® 488) preadsorbed at 1/1000 2ug/mL dilution.

Immunohistochemistry (Frozen sections) - Anti-ALDH1L1+ALDH1L2 antibody [EPR25443-54] - BSA and Azide free (AB300510)
  • IHC-Fr

Supplier Data

Immunohistochemistry (Frozen sections) - Anti-ALDH1L1+ALDH1L2 antibody [EPR25443-54] - BSA and Azide free (AB300510)

This data was developed using ab300509, the same antibody clone in a different buffer formulation.Immunohistochemical analysis of 4% PFA-fixed, 0.2% Triton X-100 permeabilized frozen Rat cerebrum tissue labeling ALDH1L1+ALDH1L2 with ab300509 at 1/100 (5.36 ug/ml) dilution followed by ab150081 Goat Anti-Rabbit IgG H&L (Alexa Fluor® 488) preadsorbed at 1/1000 2 ug/mL dilution (Green). Positive staining on rat cerebrum is observed. The nuclear counterstain was DAPI (Blue). Secondary antibody control : Secondary antibody is ab150081 Goat Anti-Rabbit IgG H&L (Alexa Fluor® 488) preadsorbed at 1/1000 2 ug/mL dilution. Heat mediated antigen retrieval using sodium citrate buffer (10mM citrate pH 6.0 + 0.05% Tween-20).

Immunocytochemistry/ Immunofluorescence - Anti-ALDH1L1+ALDH1L2 antibody [EPR25443-54] - BSA and Azide free (AB300510)
  • ICC/IF

Supplier Data

Immunocytochemistry/ Immunofluorescence - Anti-ALDH1L1+ALDH1L2 antibody [EPR25443-54] - BSA and Azide free (AB300510)

This data was developed using ab300509, the same antibody clone in a different buffer formulation. Immunofluorescent analysis of 4% Paraformaldehyde-fixed, 0.1% TritonX-100 permeabilized rat primary neuron/glia cell cells labelling ALDH1L1+ALDH1L2 with ab300509 at 1/50 (10.72 µg/ml) dilution, followed by ab150081 Goat Anti-Rabbit IgG H&L (Alexa Fluor® 488) preadsorbed antibody at 1/1000 2µg/mL dilution (Green). Confocal image showing cytoplasmic staining in rat primary astrocyte. Confocal scanning Z step was set as 0.3 µm followed by image processing with maximum Z projection. is observed. Anti-Glial Fibrillary Acidic Protein (GFAP) mouse monoclonal antibody was used to counterstain tubulin at 1/50 10µg/ml dilution (Red). The Nuclear counterstain was DAPI (Blue). Secondary antibody only control : Secondary antibody is ab150081 Goat Anti-Rabbit IgG H&L (Alexa Fluor® 488) preadsorbed at 1/1000 2µg/mL dilution.

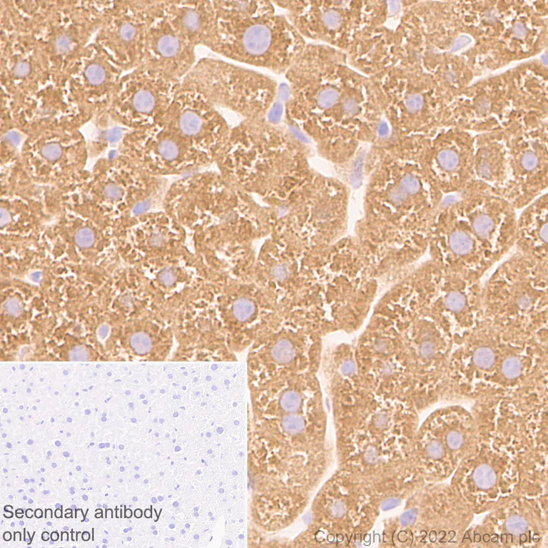
Immunohistochemistry (Formalin/PFA-fixed paraffin-embedded sections) - Anti-ALDH1L1+ALDH1L2 antibody [EPR25443-54] - BSA and Azide free (AB300510)
  • IHC-P

Supplier Data

Immunohistochemistry (Formalin/PFA-fixed paraffin-embedded sections) - Anti-ALDH1L1+ALDH1L2 antibody [EPR25443-54] - BSA and Azide free (AB300510)

This data was developed using ab300509, the same antibody clone in a different buffer formulation.Immunohistochemical analysis of paraffin-embedded Mouse liver tissue labeling ALDH1L1+ALDH1L2 with ab300509 at 1/5000 (0.107 ug/ml) followed by a ready to use LeicaDS9800 (Bond™ Polymer Refine Detection) was used. Positive staining on mouse liver. The section was incubated with ab300509 for 30 mins at room temperature.The immunostaining was performed on a Leica Biosystems BOND® RX instrument Counterstained with Hematoxylin. Secondary antibody only control : Secondary antibody is a ready to use LeicaDS9800 (Bond™ Polymer Refine Detection) was used.Heat mediated antigen retrieval with Tris-EDTA buffer (pH 9.0, epitope retrieval solution2) for 20 mins

Flow Cytometry (Intracellular) - Anti-ALDH1L1+ALDH1L2 antibody [EPR25443-54] - BSA and Azide free (AB300510)
  • Flow Cyt (Intra)

Supplier Data

Flow Cytometry (Intracellular) - Anti-ALDH1L1+ALDH1L2 antibody [EPR25443-54] - BSA and Azide free (AB300510)

This data was developed using ab300509, the same antibody clone in a different buffer formulation.Flow cytometric analysis of 4% paraformaldehyde fixed 90% methanol permeabilized Mouse primary neuron cell cells labelling ALDH1L1+ALDH1L2 with ab300509 at 1/50 dilution (1ug)/ Right (Red) compared with a Rabbit monoclonal IgG (ab172730) / Left isotype control and an unlabelled control (cells without incubation with primary antibody and secondary antibody) (Blue). A Goat Anti-Rabbit IgG (Alexa Fluor® 488, ab150081) at 1/2000 dilution was used as the secondary antibody.

Immunohistochemistry (Frozen sections) - Anti-ALDH1L1+ALDH1L2 antibody [EPR25443-54] - BSA and Azide free (AB300510)
  • IHC-Fr

Supplier Data

Immunohistochemistry (Frozen sections) - Anti-ALDH1L1+ALDH1L2 antibody [EPR25443-54] - BSA and Azide free (AB300510)

This data was developed using ab300509, the same antibody clone in a different buffer formulation.Immunohistochemical analysis of 4% PFA-fixed, 0.2% Triton X-100 permeabilized frozen Mouse cerebrum tissue labeling ALDH1L1+ALDH1L2 with ab300509 at 1/100 (5.36 ug/ml) dilution followed by ab150081 Goat Anti-Rabbit IgG H&L (Alexa Fluor® 488) preadsorbed at 1/1000 2 ug/mL dilution (Green). Positive staining on mouse cerebrum is observed. The nuclear counterstain was DAPI (Blue). Secondary antibody control : Secondary antibody is ab150081 Goat Anti-Rabbit IgG H&L (Alexa Fluor® 488) preadsorbed at 1/1000 2 ug/mL dilution. Heat mediated antigen retrieval using sodium citrate buffer (10mM citrate pH 6.0 + 0.05% Tween-20).

Immunoprecipitation - Anti-ALDH1L1+ALDH1L2 antibody [EPR25443-54] - BSA and Azide free (AB300510)
  • IP

Supplier Data

Immunoprecipitation - Anti-ALDH1L1+ALDH1L2 antibody [EPR25443-54] - BSA and Azide free (AB300510)

This data was developed using ab300510, the same antibody clone in a different buffer formulation. ALDH1L1+ALDH1L2 was immunoprecipitated from 0.35 mg Mouse brain tissue lysate 10 ug with ab300509 at 1/30 dilution (2ug in 0.35mg lysates). Western blot was performed on the immunoprecipitate using ab300509 at 1/1000 dilution. VeriBlot for IP secondary antibody (HRP)(ab131366) was used at 1/5000 dilution. Lane 1 : Mouse brain tissue lysate 10 ug Lane 2 : ab300509 IP in Mouse brain tissue lysate Lane 3 : Rabbit monoclonal IgG (ab172730) instead of ab300509 in mouse brain tissue lysate. Blocking and dilution buffer and concentration : 5% NFDM/TBST. Exposure time : 32 seconds

Lane 1:

Immunoprecipitation - Anti-ALDH1L1+ALDH1L2 antibody [EPR25443-54] - Astrocyte Marker (<a href='/en-us/products/primary-antibodies/aldh1l1aldh1l2-antibody-epr25443-54-astrocyte-marker-ab300509'>ab300509</a>) at 1/30 dilution

Lane 2:

Immunoprecipitation - Anti-ALDH1L1+ALDH1L2 antibody [EPR25443-54] - Astrocyte Marker (<a href='/en-us/products/primary-antibodies/aldh1l1aldh1l2-antibody-epr25443-54-astrocyte-marker-ab300509'>ab300509</a>) at 1/1000 dilution

All lanes:

Mouse brain tissue lysate at 10 µg

Secondary

All lanes:

Immunoprecipitation - VeriBlot for IP Detection Reagent (HRP) (<a href='/en-us/products/reagents/veriblot-for-ip-detection-reagent-hrp-ab131366'>ab131366</a>) at 1/5000 dilution

false

Exposure time: 32s

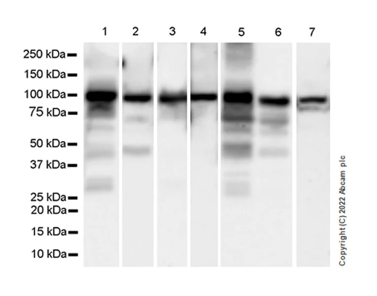
Western blot - Anti-ALDH1L1+ALDH1L2 antibody [EPR25443-54] - BSA and Azide free (AB300510)
  • WB

Supplier Data

Western blot - Anti-ALDH1L1+ALDH1L2 antibody [EPR25443-54] - BSA and Azide free (AB300510)

This data was developed using ab300509, the same antibody clone in a different buffer formulation. Blocking and dilution buffer and concentration : 5% NFDM/TBST. Exposure time : Lane 1 : 6 seconds; lane 2 : 37 seconds; lane 3 : 15 seconds; Lane 4 : 37 seconds; lanes 5-6 : 8 seconds; lane 7 : 59 seconds. Bands below 100 kDa may due to degradation (PMID : 29979702).

All lanes:

Western blot - Anti-ALDH1L1+ALDH1L2 antibody [EPR25443-54] - Astrocyte Marker (<a href='/en-us/products/primary-antibodies/aldh1l1aldh1l2-antibody-epr25443-54-astrocyte-marker-ab300509'>ab300509</a>) at 1/1000 dilution

Lane 1:

Human liver tissue lysate at 20 µg

Lane 2:

HepG2 (human hepatocellular carcinoma epithelial cell) whole cell lysate at 20 µg

Lane 3:

Mouse brain tissue lysate at 20 µg

Lane 4:

Rat brain tissue lysate at 20 µg

Lane 5:

Rat liver tissue lysate at 20 µg

Lane 6:

C8-D1A (mouse cerebellum astrocyte) whole cell lysate at 20 µg

Lane 7:

PC-12 (rat adrenal gland pheochromocytoma) whole cell lysate at 20 µg

Secondary

All lanes:

Western blot - Goat Anti-Rabbit IgG H&L (HRP) (<a href='/en-us/products/secondary-antibodies/goat-rabbit-igg-h-l-hrp-ab97051'>ab97051</a>) at 1/100000 dilution

Observed band size: 100 kDa

false

Western blot - Anti-ALDH1L1+ALDH1L2 antibody [EPR25443-54] - BSA and Azide free (AB300510)
  • WB

Supplier Data

Western blot - Anti-ALDH1L1+ALDH1L2 antibody [EPR25443-54] - BSA and Azide free (AB300510)

Blocking and dilution buffer and concentration : 5% NFDM/TBST. Exposure time : 3 seconds.

All lanes:

Western blot - Anti-ALDH1L1+ALDH1L2 antibody [EPR25443-54] - Astrocyte Marker (<a href='/en-us/products/primary-antibodies/aldh1l1aldh1l2-antibody-epr25443-54-astrocyte-marker-ab300509'>ab300509</a>) at 1/5000 dilution

Observed band size: 100 kDa

false

Exposure time: 3s

Dot Blot - Anti-ALDH1L1+ALDH1L2 antibody [EPR25443-54] - BSA and Azide free (AB300510)
  • Dot

Supplier Data

Dot Blot - Anti-ALDH1L1+ALDH1L2 antibody [EPR25443-54] - BSA and Azide free (AB300510)

This data was developed using ab300509, the same antibody clone in a different buffer formulation.  Dot blot analysis of ALDH1L1 and ALDH1L2 using ab300509 at 1/1000 dilution followed by Goat Anti-Rabbit IgG, (H+L), Peroxidase conjugated (ab97051) at 1/100,000 dilution.  Lane1 : His-tagged recombinant mouse ALDH1L1 protein Lane 2 : His-tagged recombinant mouse ALDH1L2 protein  Blocking and diluting buffer and concentration : 5% NFDM/TBST.  Exposure time : 48 seconds.

Key facts

Host species

Rabbit

Clonality

Monoclonal

Clone number

EPR25443-54

Isotype

IgG

Carrier free

Yes

Reacts with

Mouse, Rat, Human

Applications

IHC-Fr, IHC-P, IP, Dot, Flow Cyt (Intra), ICC/IF, WB

applications

Immunogen

The exact immunogen used to generate this antibody is proprietary information.

Reactivity data

{ "title": "Reactivity Data", "filters": { "stats": ["", "Species", "Dilution Info", "Notes"], "tabs": { "all-applications": {"fullname" : "All Applications", "shortname": "All Applications"}, "IP" : {"fullname" : "Immunoprecipitation", "shortname":"IP"}, "FlowCytIntra" : {"fullname" : "Flow Cytometry (Intracellular)", "shortname":"Flow Cyt (Intra)"}, "ICCIF" : {"fullname" : "Immunocytochemistry/ Immunofluorescence", "shortname":"ICC/IF"}, "IHCFr" : {"fullname" : "Immunohistochemistry (Frozen sections)", "shortname":"IHC-Fr"}, "IHCP" : {"fullname" : "Immunohistochemistry (Formalin/PFA-fixed paraffin-embedded sections)", "shortname":"IHC-P"}, "Dot" : {"fullname" : "Dot Blot", "shortname":"Dot"}, "WB" : {"fullname" : "Western blot", "shortname":"WB"} }, "product-promise": { "all": "all", "testedAndGuaranteed": "tested", "guaranteed": "expected", "predicted": "predicted", "notRecommended": "not-recommended" } }, "values": { "Human": { "IP-species-checked": "testedAndGuaranteed", "IP-species-dilution-info": "", "IP-species-notes": "<p></p>", "FlowCytIntra-species-checked": "guaranteed", "FlowCytIntra-species-dilution-info": "", "FlowCytIntra-species-notes": "", "ICCIF-species-checked": "testedAndGuaranteed", "ICCIF-species-dilution-info": "", "ICCIF-species-notes": "<p></p>", "IHCFr-species-checked": "guaranteed", "IHCFr-species-dilution-info": "", "IHCFr-species-notes": "", "IHCP-species-checked": "notRecommended", "IHCP-species-dilution-info": "", "IHCP-species-notes": "<p></p>", "Dot-species-checked": "guaranteed", "Dot-species-dilution-info": "", "Dot-species-notes": "", "WB-species-checked": "testedAndGuaranteed", "WB-species-dilution-info": "", "WB-species-notes": "<p></p>" }, "Mouse": { "IP-species-checked": "testedAndGuaranteed", "IP-species-dilution-info": "", "IP-species-notes": "<p></p>", "FlowCytIntra-species-checked": "testedAndGuaranteed", "FlowCytIntra-species-dilution-info": "", "FlowCytIntra-species-notes": "<p></p>", "ICCIF-species-checked": "testedAndGuaranteed", "ICCIF-species-dilution-info": "", "ICCIF-species-notes": "<p></p>", "IHCFr-species-checked": "testedAndGuaranteed", "IHCFr-species-dilution-info": "", "IHCFr-species-notes": "<p></p>", "IHCP-species-checked": "testedAndGuaranteed", "IHCP-species-dilution-info": "", "IHCP-species-notes": "<p></p>", "Dot-species-checked": "guaranteed", "Dot-species-dilution-info": "", "Dot-species-notes": "", "WB-species-checked": "testedAndGuaranteed", "WB-species-dilution-info": "", "WB-species-notes": "<p></p>" }, "Rat": { "IP-species-checked": "guaranteed", "IP-species-dilution-info": "", "IP-species-notes": "", "FlowCytIntra-species-checked": "guaranteed", "FlowCytIntra-species-dilution-info": "", "FlowCytIntra-species-notes": "", "ICCIF-species-checked": "testedAndGuaranteed", "ICCIF-species-dilution-info": "", "ICCIF-species-notes": "<p></p>", "IHCFr-species-checked": "testedAndGuaranteed", "IHCFr-species-dilution-info": "", "IHCFr-species-notes": "<p></p>", "IHCP-species-checked": "testedAndGuaranteed", "IHCP-species-dilution-info": "", "IHCP-species-notes": "<p></p>", "Dot-species-checked": "guaranteed", "Dot-species-dilution-info": "", "Dot-species-notes": "", "WB-species-checked": "testedAndGuaranteed", "WB-species-dilution-info": "", "WB-species-notes": "<p></p>" }, "Recombinant full length protein - Mouse": { "IP-species-checked": "notRecommended", "IP-species-dilution-info": "", "IP-species-notes": "", "FlowCytIntra-species-checked": "notRecommended", "FlowCytIntra-species-dilution-info": "", "FlowCytIntra-species-notes": "", "ICCIF-species-checked": "notRecommended", "ICCIF-species-dilution-info": "", "ICCIF-species-notes": "", "IHCFr-species-checked": "notRecommended", "IHCFr-species-dilution-info": "", "IHCFr-species-notes": "", "IHCP-species-checked": "notRecommended", "IHCP-species-dilution-info": "", "IHCP-species-notes": "", "Dot-species-checked": "testedAndGuaranteed", "Dot-species-dilution-info": "", "Dot-species-notes": "<p></p>", "WB-species-checked": "notRecommended", "WB-species-dilution-info": "", "WB-species-notes": "" } } }

Product details

Patented technology
Our RabMAb® technology is a patented hybridoma-based technology for making rabbit monoclonal antibodies. For details on our patents, please refer to RabMAb® patents.

What are the advantages of a recombinant monoclonal antibody?
This product is a recombinant monoclonal antibody, which offers several advantages including:

  • - High batch-to-batch consistency and reproducibility
  • - Improved sensitivity and specificity
  • - Long-term security of supply
  • - Animal-free batch production

For more information, read more on recombinant antibodies.

Conjugation ready
Our carrier-free antibodies are typically supplied in a PBS-only formulation, purified and free of BSA, sodium azide and glycerol. This conjugation-ready format is designed for use with fluorochromes, metal isotopes, oligonucleotides, and enzymes, which makes them ideal for antibody labelling, functional and cell-based assays, flow-based assays (e.g. mass cytometry) and Multiplex Imaging applications.

Use our conjugation kits for antibody conjugates that are ready-to-use in as little as 20 minutes with 1 minute hands-on-time and 100% antibody recovery: available for fluorescent dyes, HRP, biotin and gold.

Compatibility
This product is compatible with the Maxpar® Antibody Labeling Kit from Fluidigm, without the need for antibody preparation. Maxpar® is a trademark of Fluidigm Canada Inc.

Properties and storage information

Form
Liquid
Purification technique
Affinity purification Protein A
Storage buffer
pH: 7.2 - 7.4 Constituents: PBS
Shipped at conditions
Blue Ice
Appropriate short-term storage conditions
+4°C
Appropriate long-term storage conditions
+4°C
Aliquoting information
Upon delivery aliquot
Storage information
Do Not Freeze

Supplementary information

This supplementary information is collated from multiple sources and compiled automatically.

ALDH1L1 and ALDH1L2 also known as 10-formyltetrahydrofolate dehydrogenase isoform 1 and 2 are enzymes involved in folate metabolism. ALDH1L1 has a molecular mass of approximately 100 kDa and is prominently expressed in the liver and brain. ALDH1L2 is found mainly in the mitochondria across various tissues. Both enzymes catalyze the conversion of 10-formyltetrahydrofolate to tetrahydrofolate and carbon dioxide playing an important role in cellular metabolism.
Biological function summary

The ALDH1L1 and ALDH1L2 participate in the regulation of one-carbon metabolism which is essential for nucleotide biosynthesis and amino acid interconversion. ALDH1L1 functions as part of a complex with other enzymes involved in folate metabolism facilitating the transfer of one-carbon units. These enzymes assist in maintaining proper cellular levels of folate derivatives fundamental for methylation processes and DNA synthesis.

Pathways

ALDH1L1 and ALDH1L2 contribute to the folate cycle and the related methionine cycle. They participate alongside proteins such as methylenetetrahydrofolate reductase (MTHFR) and methionine synthase both of which play roles in homocysteine regulation. Proper functioning of these pathways is necessary for efficient methyl group transfer important for numerous methylation reactions within cells.

Impaired function of ALDH1L1 and ALDH1L2 is associated with metabolic disorders including hyperhomocysteinemia and certain types of cancer. Abnormal activity of these enzymes can cause disruptions in folate metabolism leading to elevated homocysteine levels which in turn are linked to cardiovascular diseases. Additionally studies suggest that alterations in folate pathway enzymes including MTHFR might influence cancer progression by affecting DNA methylation status and gene expression.

Product protocols

For this product, it's our understanding that no specific protocols are required. You can visit:

Target data

Cytosolic 10-formyltetrahydrofolate dehydrogenase that catalyzes the NADP(+)-dependent conversion of 10-formyltetrahydrofolate to tetrahydrofolate and carbon dioxide (PubMed : 19933275, PubMed : 21238436). May also have an NADP(+)-dependent aldehyde dehydrogenase activity towards formaldehyde, acetaldehyde, propionaldehyde, and benzaldehyde (By similarity).
See full target information ALDH1L1

Additional targets

Mitochondrial 10-formyltetrahydrofolate dehydrogenase,Mitochondrial 10-formyltetrahydrofolate dehydrogenase

Product promise

We are committed to supporting your work with high-quality reagents, and we're here for you every step of the way. In the unlikely event that one of our products does not perform as expected, you're protected by our Product Promise.
For full details, please see our Terms & Conditions

Please note: All products are 'FOR RESEARCH USE ONLY. NOT FOR USE IN DIAGNOSTIC OR THERAPEUTIC PROCEDURES'.

For licensing inquiries, please contact partnerships@abcam.com