JavaScript is disabled in your browser. Please enable JavaScript to view this website.
AB76976

Anti-ALDH3A1 antibody

Be the first to review this product! Submit a review

|

(34 Publications)

Rabbit Polyclonal ALDH3A1 antibody. Suitable for WB, IHC-P, ICC/IF and reacts with Human, Mouse, Rat samples. Cited in 34 publications. Immunogen corresponding to Synthetic Peptide within Human ALDH3A1.

View Alternative Names

ALDH3, ALDH3A1, ALDHIII, Aldehyde dehydrogenase 3, Aldehyde dehydrogenase family 3 member A1

2 Images
Western blot - Anti-ALDH3A1 antibody (AB76976)
  • WB

Unknown

Western blot - Anti-ALDH3A1 antibody (AB76976)

Lane 1:

Western blot - Anti-ALDH3A1 antibody (ab76976) at 1 µg/mL

Lane 2:

Western blot - Anti-ALDH3A1 antibody (ab76976) at 2 µg/mL

All lanes:

human stomach lysate at 15 µg

Predicted band size: 50 kDa

Observed band size: 50 kDa

false

Western blot - Anti-ALDH3A1 antibody (AB76976)
  • WB

CiteAb

Western blot - Anti-ALDH3A1 antibody (AB76976)

ALDH3A1 western blot using anti-ALDH3A1 antibody ab76976. Publication image and figure legend from Hou, A., Lan, W., et al., 2014, PLoS One, PubMed 24825356.

ab76976 was used in this publication in western blot. This may not be the same as the application(s) guaranteed by Abcam. For a full list of applications guaranteed by Abcam for ab76976 please see the product overview.

ALDH3A1 expression in pterygium.A. Protein expression of ALDH3A1 in both conjunctiva and pterygium fibroblast cells was determined by immunoblot with antibodies specific for ALDH3A1 and GAPDH. B. Immunofluorescent staining image showing presence of ALDH3A1 (green) in human conjunctiva and pterygium epithelium. Nuclei were stained with DAPI (blue) present in the mounting medium. Negative control (without primary antibody) was shown. All images were taken at 200× magnification. C : conjunctiva. P : pterygium.

false

Key facts

Host species

Rabbit

Clonality

Polyclonal

Isotype

IgG

Carrier free

No

Reacts with

Human, Rat, Mouse

Applications

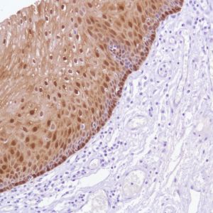
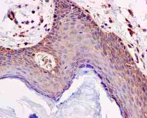
IHC-P, ICC/IF, WB

applications

Immunogen

Synthetic Peptide within Human ALDH3A1. The exact immunogen used to generate this antibody is proprietary information.

P30838

Specificity

This antibody is predicted to have no cross reactivity to ALDH3A2.

Reactivity data

{ "title": "Reactivity Data", "filters": { "stats": ["", "Species", "Dilution Info", "Notes"], "tabs": { "all-applications": {"fullname" : "All Applications", "shortname": "All Applications"}, "WB" : {"fullname" : "Western blot", "shortname":"WB"}, "IHCP" : {"fullname" : "Immunohistochemistry (Formalin/PFA-fixed paraffin-embedded sections)", "shortname":"IHC-P"}, "ICCIF" : {"fullname" : "Immunocytochemistry/ Immunofluorescence", "shortname":"ICC/IF"} }, "product-promise": { "all": "all", "testedAndGuaranteed": "tested", "guaranteed": "expected", "predicted": "predicted", "notRecommended": "not-recommended" } }, "values": { "Human": { "WB-species-checked": "testedAndGuaranteed", "WB-species-dilution-info": "1-2 µg/mL", "WB-species-notes": "<p></p>", "IHCP-species-checked": "guaranteed", "IHCP-species-dilution-info": "", "IHCP-species-notes": "<p></p>", "ICCIF-species-checked": "guaranteed", "ICCIF-species-dilution-info": "", "ICCIF-species-notes": "<p></p>" }, "Mouse": { "WB-species-checked": "predicted", "WB-species-dilution-info": "", "WB-species-notes": "", "IHCP-species-checked": "guaranteed", "IHCP-species-dilution-info": "", "IHCP-species-notes": "<p></p>", "ICCIF-species-checked": "guaranteed", "ICCIF-species-dilution-info": "", "ICCIF-species-notes": "<p></p>" }, "Rat": { "WB-species-checked": "predicted", "WB-species-dilution-info": "", "WB-species-notes": "", "IHCP-species-checked": "guaranteed", "IHCP-species-dilution-info": "", "IHCP-species-notes": "<p></p>", "ICCIF-species-checked": "guaranteed", "ICCIF-species-dilution-info": "", "ICCIF-species-notes": "<p></p>" } } }

Properties and storage information

Form
Liquid
Purification technique
Affinity purification Immunogen
Storage buffer
pH: 7.2 Preservative: 0.02% Sodium azide Constituents: PBS
Shipped at conditions
Blue Ice
Appropriate short-term storage conditions
+4°C
Appropriate long-term storage conditions
+4°C

Supplementary information

This supplementary information is collated from multiple sources and compiled automatically.

ALDH3A1 also known as Aldehyde Dehydrogenase 3 Family Member A1 is an enzyme that catalyzes the oxidation of aldehydes to their corresponding carboxylic acids. This enzyme is part of the aldehyde dehydrogenase family and has a molecular mass of approximately 54 kDa. ALDH3A1 is expressed in various tissues notably in the cornea where it plays a protective role against oxidative stress by metabolizing toxic aldehydes resulting from lipid peroxidation and ultraviolet (UV) exposure.
Biological function summary

ALDH3A1 functions in detoxifying harmful aldehydes a process essential for maintaining cellular homeostasis. This enzyme participates in the metabolism of both endogenous and exogenous aldehydes contributing to the cellular defense mechanism. While it does not form part of a known complex its activity ensures reduced reactive aldehyde levels therefore supporting cellular resilience under stress conditions. It holds particular importance in maintaining the transparency and viability of corneal tissues due to its antioxidant properties.

Pathways

ALDH3A1 is involved in metabolic pathways notably in the detoxification pathway where it assists in reducing the burden of reactive aldehyde species. Additionally it plays a role in the alcohol metabolism pathway where it aids in converting acetaldehyde a toxic byproduct of ethanol oxidation into acetic acid. In these pathways ALDH3A1 functions in coordination with other aldehyde dehydrogenases such as ALDH1A1 and ALDH2 providing a comprehensive defense against aldehyde toxicity.

ALDH3A1 has been linked to conditions such as corneal degenerations and alcohol-related liver diseases. Its protective mechanism against oxidative stress is important in preventing corneal opacities and maintaining visual clarity. Furthermore in alcohol metabolism ALDH3A1 complements ALDH2's role mitigating the accumulation of acetaldehyde which is implicated in liver damage and hangover symptoms. Therefore alterations in ALDH3A1 activity can have implications for disease states related to oxidative stress and alcohol metabolism.

Product protocols

For this product, it's our understanding that no specific protocols are required. You can visit:

Target data

ALDHs play a major role in the detoxification of alcohol-derived acetaldehyde (Probable). They are involved in the metabolism of corticosteroids, biogenic amines, neurotransmitters, and lipid peroxidation (Probable). Oxidizes medium and long chain aldehydes into non-toxic fatty acids (PubMed : 1737758). Preferentially oxidizes aromatic aldehyde substrates (PubMed : 1737758). Comprises about 50 percent of corneal epithelial soluble proteins (By similarity). May play a role in preventing corneal damage caused by ultraviolet light (By similarity).
See full target information ALDH3A1

Publications (34)

Recent publications for all applications. Explore the full list and refine your search

Biomolecules 15: PubMed40149974

2025

Efficient Fabrication of Human Corneal Stromal Cell Spheroids and Promoting Cell Stemness Based on 3D-Printed Derived PDMS Microwell Platform.

Applications

Unspecified application

Species

Unspecified reactive species

Yuexi Chen,Jianing Gu,Zekai Cui,Xihao Sun,Yuqin Liang,Chunwen Duan,Xiaoxue Li,Zhanyu Su,Bo Zhang,Jiansu Chen,Zheng Wang

Bioactive materials 48:414-430 PubMed40083774

2025

In situ UNIversal Orthogonal Network (UNION) bioink deposition for direct delivery of corneal stromal stem cells to corneal wounds.

Applications

Unspecified application

Species

Unspecified reactive species

Lucia G Brunel,Betty Cai,Sarah M Hull,Uiyoung Han,Thitima Wungcharoen,Gabriella Maria Fernandes-Cunha,Youngyoon Amy Seo,Patrik K Johansson,Sarah C Heilshorn,David Myung

FASEB journal : official publication of the Federation of American Societies for Experimental Biology 38:e70236 PubMed39652089

2024

Corneal strain influences keratocyte proliferation and migration through upregulation of ALDH3A1 expression.

Applications

Unspecified application

Species

Unspecified reactive species

Qian Zhang,Xin Zhou,Wei Zhang,Xiaolei Wang,Shengqian Dou,Leilei Zhao,Roine El-Habta,Qingjun Zhou,Ludvig J Backman,Patrik Danielson

Materials today. Bio 26:101021 PubMed38545261

2024

Collagen type I mimicking peptide additives to functionalize synthetic supramolecular hydrogels.

Applications

Unspecified application

Species

Unspecified reactive species

Annika F Vrehen,Johnick F van Sprang,Maaike J G Schotman,Patricia Y W Dankers

Advanced healthcare materials 12:e2301392 PubMed37747759

2023

Development of a Fully Synthetic Corneal Stromal Construct via Supramolecular Hydrogel Engineering.

Applications

Unspecified application

Species

Unspecified reactive species

Annika F Vrehen,Martin G T A Rutten,Patricia Y W Dankers

Biomaterials and biosystems 12:100083 PubMed37731910

2023

Optimization and evaluation of oxygen-plasma-modified, aligned, poly (Є-caprolactone) and silk fibroin nanofibrous scaffold for corneal stromal regeneration.

Applications

Unspecified application

Species

Unspecified reactive species

Promita Bhattacharjee,Peter W Madden,Enzo Patriarca,Mark Ahearne

International journal of molecular sciences 23: PubMed35269714

2022

Quantitative Proteomics Reveals Molecular Network Driving Stromal Cell Differentiation: Implications for Corneal Wound Healing.

Applications

Unspecified application

Species

Unspecified reactive species

Krishnatej Nishtala,Trailokyanath Panigrahi,Rohit Shetty,Dhanananajay Kumar,Pooja Khamar,Rajiv R Mohan,Vrushali Deshpande,Arkasubhra Ghosh

Annals of translational medicine 9:1312 PubMed34532449

2021

Identification and validation of a metabolism-related model and associated with tumor-infiltrating lymphocytes in p53 mutant lung adenocarcinoma patients.

Applications

Unspecified application

Species

Unspecified reactive species

Chang Zheng,Liang Sun,Baosen Zhou,Aiping Wang

Biomedicines 9: PubMed34572321

2021

Derivation and Characterization of EGFP-Labeled Rabbit Limbal Mesenchymal Stem Cells and Their Potential for Research in Regenerative Ophthalmology.

Applications

Unspecified application

Species

Unspecified reactive species

Julia I Khorolskaya,Daria A Perepletchikova,Daniel V Kachkin,Kirill E Zhurenkov,Elga I Alexander-Sinkler,Julia S Ivanova,Natalia A Mikhailova,Miralda I Blinova

The Journal of pharmacology and experimental therapeutics 379:33-40 PubMed34321315

2021

Nuclear Factor Erythroid 2-Related Factor 2 Depletion Sensitizes Pancreatic Cancer Cells to Gemcitabine via Aldehyde Dehydrogenase 3a1 Repression.

Applications

Unspecified application

Species

Unspecified reactive species

Ryotaro Matsumoto,Shin Hamada,Yu Tanaka,Keiko Taguchi,Masayuki Yamamoto,Atsushi Masamune
View all publications

Product promise

We are committed to supporting your work with high-quality reagents, and we're here for you every step of the way. In the unlikely event that one of our products does not perform as expected, you're protected by our Product Promise.
For full details, please see our Terms & Conditions

Please note: All products are 'FOR RESEARCH USE ONLY. NOT FOR USE IN DIAGNOSTIC OR THERAPEUTIC PROCEDURES'.

For licensing inquiries, please contact partnerships@abcam.com