JavaScript is disabled in your browser. Please enable JavaScript to view this website.
AB227694

Anti-ALDH3A1 antibody [SP298] - C-terminal

Be the first to review this product! Submit a review

|

(1 Publication)

Rabbit Recombinant Monoclonal ALDH3A1 antibody. C-terminal. Suitable for WB, IHC-P and reacts with Human samples. Cited in 1 publication.

View Alternative Names

ALDH3, ALDH3A1, ALDHIII, Aldehyde dehydrogenase 3, Aldehyde dehydrogenase family 3 member A1

10 Images
Immunohistochemistry (Formalin/PFA-fixed paraffin-embedded sections) - Anti-ALDH3A1 antibody [SP298] - C-terminal (AB227694)
  • IHC-P

Supplier Data

Immunohistochemistry (Formalin/PFA-fixed paraffin-embedded sections) - Anti-ALDH3A1 antibody [SP298] - C-terminal (AB227694)

Formalin-fixed paraffin-embedded human bladder tissue stained for ALDH3A1 using ab227694 at 1/100 dilution in immunohistochemical analysis.

Immunohistochemistry (Formalin/PFA-fixed paraffin-embedded sections) - Anti-ALDH3A1 antibody [SP298] - C-terminal (AB227694)
  • IHC-P

Supplier Data

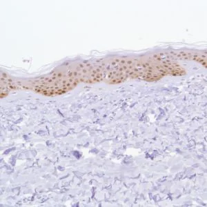
Immunohistochemistry (Formalin/PFA-fixed paraffin-embedded sections) - Anti-ALDH3A1 antibody [SP298] - C-terminal (AB227694)

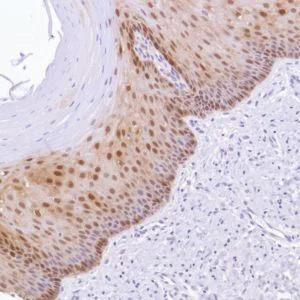
Formalin-fixed paraffin-embedded human skin tissue stained for ALDH3A1 using ab227694 at 1/100 dilution in immunohistochemical analysis.

Immunohistochemistry (Formalin/PFA-fixed paraffin-embedded sections) - Anti-ALDH3A1 antibody [SP298] - C-terminal (AB227694)
  • IHC-P

Supplier Data

Immunohistochemistry (Formalin/PFA-fixed paraffin-embedded sections) - Anti-ALDH3A1 antibody [SP298] - C-terminal (AB227694)

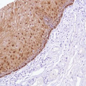
Formalin-fixed paraffin-embedded human esophagus tissue stained for ALDH3A1 using ab227694 at 1/100 dilution in immunohistochemical analysis.

Immunohistochemistry (Formalin/PFA-fixed paraffin-embedded sections) - Anti-ALDH3A1 antibody [SP298] - C-terminal (AB227694)
  • IHC-P

Unknown

Immunohistochemistry (Formalin/PFA-fixed paraffin-embedded sections) - Anti-ALDH3A1 antibody [SP298] - C-terminal (AB227694)

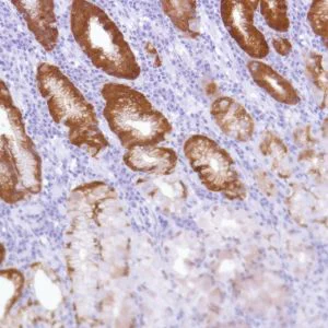
Formalin-fixed paraffin-embedded human stomach tissue stained for ALDH3A1 using ab227694 at 1/100 dilution in immunohistochemical analysis.

Immunohistochemistry (Formalin/PFA-fixed paraffin-embedded sections) - Anti-ALDH3A1 antibody [SP298] - C-terminal (AB227694)
  • IHC-P

Supplier Data

Immunohistochemistry (Formalin/PFA-fixed paraffin-embedded sections) - Anti-ALDH3A1 antibody [SP298] - C-terminal (AB227694)

Formalin-fixed paraffin-embedded human stomach adenocarcinoma tissue stained for ALDH3A1 using ab227694 at 1/100 dilution in immunohistochemical analysis.

Immunohistochemistry (Formalin/PFA-fixed paraffin-embedded sections) - Anti-ALDH3A1 antibody [SP298] - C-terminal (AB227694)
  • IHC-P

Supplier Data

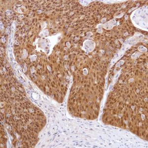
Immunohistochemistry (Formalin/PFA-fixed paraffin-embedded sections) - Anti-ALDH3A1 antibody [SP298] - C-terminal (AB227694)

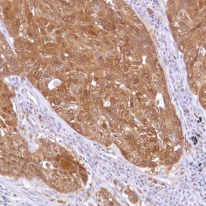
Formalin-fixed paraffin-embedded human cervical squamous cell carcinoma tissue stained for ALDH3A1 using ab227694 at 1/100 dilution in immunohistochemical analysis.

Immunohistochemistry (Formalin/PFA-fixed paraffin-embedded sections) - Anti-ALDH3A1 antibody [SP298] - C-terminal (AB227694)
  • IHC-P

Unknown

Immunohistochemistry (Formalin/PFA-fixed paraffin-embedded sections) - Anti-ALDH3A1 antibody [SP298] - C-terminal (AB227694)

Formalin-fixed paraffin-embedded human tonsil tissue stained for ALDH3A1 using ab227694 at 1/100 dilution in immunohistochemical analysis.

Immunohistochemistry (Formalin/PFA-fixed paraffin-embedded sections) - Anti-ALDH3A1 antibody [SP298] - C-terminal (AB227694)
  • IHC-P

Supplier Data

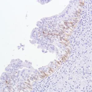
Immunohistochemistry (Formalin/PFA-fixed paraffin-embedded sections) - Anti-ALDH3A1 antibody [SP298] - C-terminal (AB227694)

Formalin-fixed paraffin-embedded human cervix tissue stained for ALDH3A1 using ab227694 at 1/100 dilution in immunohistochemical analysis.

Immunohistochemistry (Formalin/PFA-fixed paraffin-embedded sections) - Anti-ALDH3A1 antibody [SP298] - C-terminal (AB227694)
  • IHC-P

Supplier Data

Immunohistochemistry (Formalin/PFA-fixed paraffin-embedded sections) - Anti-ALDH3A1 antibody [SP298] - C-terminal (AB227694)

Formalin-fixed paraffin-embedded human lung squamous cell carcinoma tissue stained for ALDH3A1 using ab227694 at 1/100 dilution in immunohistochemical analysis.

Western blot - Anti-ALDH3A1 antibody [SP298] - C-terminal (AB227694)
  • WB

Supplier Data

Western blot - Anti-ALDH3A1 antibody [SP298] - C-terminal (AB227694)

All lanes:

Western blot - Anti-ALDH3A1 antibody [SP298] - C-terminal (ab227694) at 1/400 dilution

All lanes:

A549 (human lung carcinoma cell line) cell lysate

Predicted band size: 50 kDa

false

  • Carrier free

    Anti-ALDH3A1 antibody [SP298] - BSA and Azide free

Key facts

Host species

Rabbit

Clonality

Monoclonal

Clone number

SP298

Isotype

IgG

Carrier free

No

Reacts with

Human

Applications

IHC-P, WB

applications

Immunogen

The exact immunogen used to generate this antibody is proprietary information.

Reactivity data

{ "title": "Reactivity Data", "filters": { "stats": ["", "Species", "Dilution Info", "Notes"], "tabs": { "all-applications": {"fullname" : "All Applications", "shortname": "All Applications"}, "WB" : {"fullname" : "Western blot", "shortname":"WB"}, "IHCP" : {"fullname" : "Immunohistochemistry (Formalin/PFA-fixed paraffin-embedded sections)", "shortname":"IHC-P"} }, "product-promise": { "all": "all", "testedAndGuaranteed": "tested", "guaranteed": "expected", "predicted": "predicted", "notRecommended": "not-recommended" } }, "values": { "Human": { "WB-species-checked": "testedAndGuaranteed", "WB-species-dilution-info": "1/400", "WB-species-notes": "<p></p>", "IHCP-species-checked": "testedAndGuaranteed", "IHCP-species-dilution-info": "1/100", "IHCP-species-notes": "<p>Boil tissue section in citrate buffer pH 6.0 for 10 minutes followed by cooling at room temperature for 20 minutes. Incubate with primary antibody for 10 minutes at room temperature.</p>" } } }

Properties and storage information

Form
Liquid
Purification technique
Affinity purification Protein A/G
Purification notes
Purified from TCS by protein A/G.
Storage buffer
pH: 7.6 Preservative: 0.1% Sodium azide Constituents: PBS, 1% BSA
Shipped at conditions
Blue Ice
Appropriate short-term storage duration
1-2 weeks
Appropriate short-term storage conditions
+4°C
Appropriate long-term storage conditions
-20°C
Aliquoting information
Upon delivery aliquot
Storage information
Avoid freeze / thaw cycle

Supplementary information

This supplementary information is collated from multiple sources and compiled automatically.

ALDH3A1 also known as Aldehyde Dehydrogenase 3 Family Member A1 is an enzyme that catalyzes the oxidation of aldehydes to their corresponding carboxylic acids. This enzyme is part of the aldehyde dehydrogenase family and has a molecular mass of approximately 54 kDa. ALDH3A1 is expressed in various tissues notably in the cornea where it plays a protective role against oxidative stress by metabolizing toxic aldehydes resulting from lipid peroxidation and ultraviolet (UV) exposure.
Biological function summary

ALDH3A1 functions in detoxifying harmful aldehydes a process essential for maintaining cellular homeostasis. This enzyme participates in the metabolism of both endogenous and exogenous aldehydes contributing to the cellular defense mechanism. While it does not form part of a known complex its activity ensures reduced reactive aldehyde levels therefore supporting cellular resilience under stress conditions. It holds particular importance in maintaining the transparency and viability of corneal tissues due to its antioxidant properties.

Pathways

ALDH3A1 is involved in metabolic pathways notably in the detoxification pathway where it assists in reducing the burden of reactive aldehyde species. Additionally it plays a role in the alcohol metabolism pathway where it aids in converting acetaldehyde a toxic byproduct of ethanol oxidation into acetic acid. In these pathways ALDH3A1 functions in coordination with other aldehyde dehydrogenases such as ALDH1A1 and ALDH2 providing a comprehensive defense against aldehyde toxicity.

ALDH3A1 has been linked to conditions such as corneal degenerations and alcohol-related liver diseases. Its protective mechanism against oxidative stress is important in preventing corneal opacities and maintaining visual clarity. Furthermore in alcohol metabolism ALDH3A1 complements ALDH2's role mitigating the accumulation of acetaldehyde which is implicated in liver damage and hangover symptoms. Therefore alterations in ALDH3A1 activity can have implications for disease states related to oxidative stress and alcohol metabolism.

Product protocols

For this product, it's our understanding that no specific protocols are required. You can visit:

Target data

ALDHs play a major role in the detoxification of alcohol-derived acetaldehyde (Probable). They are involved in the metabolism of corticosteroids, biogenic amines, neurotransmitters, and lipid peroxidation (Probable). Oxidizes medium and long chain aldehydes into non-toxic fatty acids (PubMed : 1737758). Preferentially oxidizes aromatic aldehyde substrates (PubMed : 1737758). Comprises about 50 percent of corneal epithelial soluble proteins (By similarity). May play a role in preventing corneal damage caused by ultraviolet light (By similarity).
See full target information ALDH3A1

Publications (1)

Recent publications for all applications. Explore the full list and refine your search

PloS one 20:e0321555 PubMed40233061

2025

Trop-2 expression in non-small cell lung cancer.

Applications

Unspecified application

Species

Unspecified reactive species

Peiwen Kuo,Emon Elboudwarej,Marianna Zavodovskaya,Kai-Wen Lin,Chingwei V Lee,Lauri Diehl,Jilpa Patel,Sabeen Mekan,Juliane M Jürgensmeier
View all publications

Product promise

We are committed to supporting your work with high-quality reagents, and we're here for you every step of the way. In the unlikely event that one of our products does not perform as expected, you're protected by our Product Promise.
For full details, please see our Terms & Conditions

Please note: All products are 'FOR RESEARCH USE ONLY. NOT FOR USE IN DIAGNOSTIC OR THERAPEUTIC PROCEDURES'.

For licensing inquiries, please contact partnerships@abcam.com