JavaScript is disabled in your browser. Please enable JavaScript to view this website.
AB236663

Anti-ALDH7A1 antibody

Be the first to review this product! Submit a review

|

(0 Publication)

Rabbit Polyclonal ALDH7A1 antibody. Suitable for IP, WB, IHC-P, ICC/IF and reacts with Human, Mouse, Rat samples. Immunogen corresponding to Recombinant Fragment Protein within Human ALDH7A1 aa 350 to C-terminus.

View Alternative Names

ATQ1, ALDH7A1, Alpha-aminoadipic semialdehyde dehydrogenase, Alpha-AASA dehydrogenase, Aldehyde dehydrogenase family 7 member A1, Antiquitin-1, Betaine aldehyde dehydrogenase, Delta1-piperideine-6-carboxylate dehydrogenase, P6c dehydrogenase

5 Images
Western blot - Anti-ALDH7A1 antibody (AB236663)
  • WB

Supplier Data

Western blot - Anti-ALDH7A1 antibody (AB236663)

All lanes:

Western blot - Anti-ALDH7A1 antibody (ab236663) at 1/500 dilution

Lane 1:

HeLa (human epithelial cell line from cervix adenocarcinoma) whole cell lysate

Lane 2:

HepG2 (human liver hepatocellular carcinoma cell line) whole cell lysate

Lane 3:

HEK-293T (human epithelial cell line from embryonic kidney transformed with large T antigen) whole cell lysate

Lane 4:

SH-SY5Y (human neuroblastoma cell line from bone marrow) whole cell lysate

Lane 5:

Rat liver lysate

Lane 6:

Rat kidney lysate

Lane 7:

Mouse liver lysate

Lane 8:

Mouse kidney lysate

Secondary

All lanes:

Goat polyclonal to rabbit IgG at 1/50000 dilution

Predicted band size: 58 kDa

false

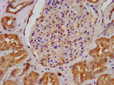
Immunohistochemistry (Formalin/PFA-fixed paraffin-embedded sections) - Anti-ALDH7A1 antibody (AB236663)
  • IHC-P

Supplier Data

Immunohistochemistry (Formalin/PFA-fixed paraffin-embedded sections) - Anti-ALDH7A1 antibody (AB236663)

Paraffin-embedded human kidney tissue stained for ALDH7A1 using ab236663 at 1/400 dilution in immunohistochemical analysis.

After dewaxing and hydration, antigen retrieval was mediated by high pressure in a citrate buffer (pH 6.0). Section was blocked with 10% normal goat serum 30 minutes at RT. Then primary antibody (1% BSA) was incubated at 4°C overnight. The primary is detected by a biotinylated secondary antibody and visualized using an HRP conjugated SP system.

Immunohistochemistry (Formalin/PFA-fixed paraffin-embedded sections) - Anti-ALDH7A1 antibody (AB236663)
  • IHC-P

Supplier Data

Immunohistochemistry (Formalin/PFA-fixed paraffin-embedded sections) - Anti-ALDH7A1 antibody (AB236663)

Paraffin-embedded human liver tissue stained for ALDH7A1 using ab236663 at 1/400 dilution in immunohistochemical analysis.

After dewaxing and hydration, antigen retrieval was mediated by high pressure in a citrate buffer (pH 6.0). Section was blocked with 10% normal goat serum 30 minutes at RT. Then primary antibody (1% BSA) was incubated at 4°C overnight. The primary is detected by a biotinylated secondary antibody and visualized using an HRP conjugated SP system.

Immunoprecipitation - Anti-ALDH7A1 antibody (AB236663)
  • IP

Supplier Data

Immunoprecipitation - Anti-ALDH7A1 antibody (AB236663)

ALDH7A1 was immunoprecipitated from HeLa (human epithelial cell line from cervix adenocarcinoma) whole cell lysate using ab236663.

Lane 1 : Rabbit control IgG instead of ab236663 in HeLa whole cell lysate.
Lane 2 : 6 μg ab236663 IP in HeLa whole cell lysate.
Lane 3 : HeLa whole cell lysate 20 μg (Input).

All lanes:

Immunoprecipitation - Anti-ALDH7A1 antibody (ab236663)

Predicted band size: 58 kDa

false

Immunocytochemistry/ Immunofluorescence - Anti-ALDH7A1 antibody (AB236663)
  • ICC/IF

Supplier Data

Immunocytochemistry/ Immunofluorescence - Anti-ALDH7A1 antibody (AB236663)

HeLa (human epithelial cell line from cervix adenocarcinoma) cells stained for ALDH7A1 using ab236663 at a dilution of 1/133 in ICC/IF.
The cells were fixed in 4% formaldehyde, permeabilized using 0.2% Triton X-100 and blocked in 10% normal goat serum. The cells were then incubated with the primary antibody overnight at 4°C. Secondary used is an Alexa-Fluor®488-conjugated Goat Anti-Rabbit IgG (H+L).

Key facts

Host species

Rabbit

Clonality

Polyclonal

Isotype

IgG

Carrier free

No

Reacts with

Mouse, Rat, Human

Applications

WB, ICC/IF, IHC-P, IP

applications

Immunogen

Recombinant Fragment Protein within Human ALDH7A1 aa 350 to C-terminus. The exact immunogen used to generate this antibody is proprietary information.

P49419

Reactivity data

{ "title": "Reactivity Data", "filters": { "stats": ["", "Species", "Dilution Info", "Notes"], "tabs": { "all-applications": {"fullname" : "All Applications", "shortname": "All Applications"}, "IP" : {"fullname" : "Immunoprecipitation", "shortname":"IP"}, "WB" : {"fullname" : "Western blot", "shortname":"WB"}, "IHCP" : {"fullname" : "Immunohistochemistry (Formalin/PFA-fixed paraffin-embedded sections)", "shortname":"IHC-P"}, "ICCIF" : {"fullname" : "Immunocytochemistry/ Immunofluorescence", "shortname":"ICC/IF"} }, "product-promise": { "all": "all", "testedAndGuaranteed": "tested", "guaranteed": "expected", "predicted": "predicted", "notRecommended": "not-recommended" } }, "values": { "Human": { "IP-species-checked": "testedAndGuaranteed", "IP-species-dilution-info": "1/200 - 1/2000", "IP-species-notes": "<p></p>", "WB-species-checked": "testedAndGuaranteed", "WB-species-dilution-info": "1/500 - 1/5000", "WB-species-notes": "<p></p>", "IHCP-species-checked": "testedAndGuaranteed", "IHCP-species-dilution-info": "1/200 - 1/500", "IHCP-species-notes": "<p></p>", "ICCIF-species-checked": "testedAndGuaranteed", "ICCIF-species-dilution-info": "1/50 - 1/200", "ICCIF-species-notes": "<p></p>" }, "Mouse": { "IP-species-checked": "guaranteed", "IP-species-dilution-info": "", "IP-species-notes": "", "WB-species-checked": "testedAndGuaranteed", "WB-species-dilution-info": "1/500 - 1/5000", "WB-species-notes": "<p></p>", "IHCP-species-checked": "guaranteed", "IHCP-species-dilution-info": "", "IHCP-species-notes": "", "ICCIF-species-checked": "guaranteed", "ICCIF-species-dilution-info": "", "ICCIF-species-notes": "" }, "Rat": { "IP-species-checked": "guaranteed", "IP-species-dilution-info": "", "IP-species-notes": "", "WB-species-checked": "testedAndGuaranteed", "WB-species-dilution-info": "1/500 - 1/5000", "WB-species-notes": "<p></p>", "IHCP-species-checked": "guaranteed", "IHCP-species-dilution-info": "", "IHCP-species-notes": "", "ICCIF-species-checked": "guaranteed", "ICCIF-species-dilution-info": "", "ICCIF-species-notes": "" } } }

Properties and storage information

Form
Liquid
Purification technique
Affinity purification Protein G
Purification notes
Purity >95%.
Storage buffer
pH: 7.4 Preservative: 0.03% Proclin 300 Constituents: PBS, 50% Glycerol (glycerin, glycerine)
Shipped at conditions
Blue Ice
Appropriate short-term storage duration
1-2 weeks
Appropriate short-term storage conditions
+4°C
Appropriate long-term storage conditions
-20°C
Aliquoting information
Upon delivery aliquot
Storage information
Avoid freeze / thaw cycle

Supplementary information

This supplementary information is collated from multiple sources and compiled automatically.

ALDH7A1 also known as antiquitin is an enzyme that functions in the cellular metabolism processes specifically catalyzing the oxidation of aldehydes. It has a molecular mass of about 54 kDa and can be found expressed in various tissues including liver and brain. This enzyme is part of the aldehyde dehydrogenase family which plays significant roles in detoxifying aldehydes generated by alcohol metabolism and other metabolic activities.
Biological function summary

The role of ALDH7A1 includes the breakdown of molecules within the cellular detoxification system. As a component of the lysine catabolism pathway it acts to detoxify certain aldehydes to prevent cell damage. ALDH7A1 is not known to form part of any larger protein complex but its activity is important in maintaining nitrogen balance and energy production within the body.

Pathways

Several factors dictate the participation of ALDH7A1 in metabolic functions. This protein is involved mainly in the lysine degradation pathway where it converts α-aminoadipic semialdehyde to other metabolites needed for energy production. It interacts with associated proteins such as pyridoxal phosphate for efficient function a cofactor necessary for the enzymatic action in lysine catabolism.

Defects in ALDH7A1 can lead to pyridoxine-dependent epilepsy a rare genetic disorder caused by the accumulation of toxic metabolites due to impaired enzyme function. The disorder influences neurological development and can lead to seizures without treatment. ALDH7A1 dysfunction is also linked with aldehyde dehydrogenase liver deficiency where similarities with ALDH2 — another enzyme from the same family — can influence symptoms like alcohol sensitivity and metabolic responses.

Product protocols

For this product, it's our understanding that no specific protocols are required. You can visit:

Target data

Multifunctional enzyme mediating important protective effects. Metabolizes betaine aldehyde to betaine, an important cellular osmolyte and methyl donor. Protects cells from oxidative stress by metabolizing a number of lipid peroxidation-derived aldehydes. Involved in lysine catabolism.
See full target information ALDH7A1

Product promise

We are committed to supporting your work with high-quality reagents, and we're here for you every step of the way. In the unlikely event that one of our products does not perform as expected, you're protected by our Product Promise.
For full details, please see our Terms & Conditions

Associated Products

Select an associated product type
Alternative Product
Primary Antibodies

AB53278

Anti-ALDH7A1 antibody [EP1935Y]

primary-antibodies

aldh7a1-antibody-ep1935y-ab53278

0

(0 reviews)

Alternative Product
Primary Antibodies

AB68192

Anti-ALDH7A1 antibody [EP1934Y]

primary-antibodies

aldh7a1-antibody-ep1934y-ab68192

0

(0 reviews)

Alternative Product
Primary Antibodies

AB236000

Anti-ALDH7A1 antibody [EP1934Y] - BSA and Azide free

primary-antibodies

aldh7a1-antibody-ep1934y-bsa-and-azide-free-ab236000

0

(0 reviews)

Please note: All products are 'FOR RESEARCH USE ONLY. NOT FOR USE IN DIAGNOSTIC OR THERAPEUTIC PROCEDURES'.

For licensing inquiries, please contact partnerships@abcam.com