JavaScript is disabled in your browser. Please enable JavaScript to view this website.
AB236000

Anti-ALDH7A1 antibody [EP1934Y] - BSA and Azide free

Be the first to review this product! Submit a review

|

(0 Publication)

Rabbit Recombinant Monoclonal ALDH7A1 antibody. Carrier free. Suitable for IHC-P, WB and reacts with Human, Mouse samples.

View Alternative Names

ATQ1, ALDH7A1, Alpha-aminoadipic semialdehyde dehydrogenase, Alpha-AASA dehydrogenase, Aldehyde dehydrogenase family 7 member A1, Antiquitin-1, Betaine aldehyde dehydrogenase, Delta1-piperideine-6-carboxylate dehydrogenase, P6c dehydrogenase

3 Images
Immunohistochemistry (Formalin/PFA-fixed paraffin-embedded sections) - Anti-ALDH7A1 antibody [EP1934Y] - BSA and Azide free (AB236000)
  • IHC-P

Lab

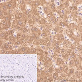
Immunohistochemistry (Formalin/PFA-fixed paraffin-embedded sections) - Anti-ALDH7A1 antibody [EP1934Y] - BSA and Azide free (AB236000)

This data was developed using the same antibody clone in a different buffer formulation containing PBS, BSA, glycerol, and sodium azide (ab68192).

Immunohistochemical analysis of paraffin-embedded Human liver tissue labeling ALDH7A1 with ab68192 at 1/4000 (0.08 ug/ml) dilution, followed by a ready to use Rabbit specific IHC polymer detection kit HRP/DAB (ab209101).

The section was incubated with ab68192 for 30 mins at room temperature. The immunostaining was performed on a Leica Biosystems BOND® RX instrument

Counterstained with Hematoxylin.

Secondary antibody only control : Secondary antibody is a ready to use Rabbit specific IHC polymer detection kit HRP/DAB (ab209101).

Heat mediated antigen retrieval was performed with Citrate buffer (pH 6.0, epitope retrieval solution 1) for 20 mins

Immunohistochemistry (Formalin/PFA-fixed paraffin-embedded sections) - Anti-ALDH7A1 antibody [EP1934Y] - BSA and Azide free (AB236000)
  • IHC-P

Lab

Immunohistochemistry (Formalin/PFA-fixed paraffin-embedded sections) - Anti-ALDH7A1 antibody [EP1934Y] - BSA and Azide free (AB236000)

This data was developed using the same antibody clone in a different buffer formulation containing PBS, BSA, glycerol, and sodium azide (ab68192).

Immunohistochemical analysis of paraffin-embedded Mouse liver tissue labeling ALDH7A1 with ab68192 at 1/4000 (0.08 ug/ml) dilution, followed by a ready to use Rabbit specific IHC polymer detection kit HRP/DAB (ab209101).

The section was incubated with ab68192 for 30 mins at room temperature. The immunostaining was performed on a Leica Biosystems BOND® RX instrument

Counterstained with Hematoxylin.

Secondary antibody only control : Secondary antibody is a ready to use Rabbit specific IHC polymer detection kit HRP/DAB (ab209101).

Heat mediated antigen retrieval was performed with Citrate buffer (pH 6.0, epitope retrieval solution 1) for 20 mins

Western blot - Anti-ALDH7A1 antibody [EP1934Y] - BSA and Azide free (AB236000)
  • WB

Lab

Western blot - Anti-ALDH7A1 antibody [EP1934Y] - BSA and Azide free (AB236000)

This data was developed using the same antibody clone in a different buffer formulation containing PBS, BSA, glycerol, and sodium azide (ab68192).

Exposure time : Lane 1. 10 seconds; Lane 2. 3 seconds.

All lanes:

Western blot - Anti-ALDH7A1 antibody [EP1934Y] (<a href='/en-us/products/primary-antibodies/aldh7a1-antibody-ep1934y-ab68192'>ab68192</a>) at 1/10000 dilution

Lane 1:

HepG2 (Human hepatocellular carcinoma epithelial cell) whole cell lysate at 15 µg with 5% NFDM/TBST

Lane 2:

Mouse liver lysate at 15 µg with 5% NFDM/TBST

Secondary

All lanes:

Goat Anti-Rabbit IgG (HRP) with minimal cross-reactivity with human IgG at 1/2000 dilution

Predicted band size: 55 kDa

false

Key facts

Host species

Rabbit

Clonality

Monoclonal

Clone number

EP1934Y

Isotype

IgG

Carrier free

Yes

Reacts with

Mouse, Human

Applications

IHC-P, WB

applications

Immunogen

The exact immunogen used to generate this antibody is proprietary information.

Reactivity data

{ "title": "Reactivity Data", "filters": { "stats": ["", "Species", "Dilution Info", "Notes"], "tabs": { "all-applications": {"fullname" : "All Applications", "shortname": "All Applications"}, "IHCP" : {"fullname" : "Immunohistochemistry (Formalin/PFA-fixed paraffin-embedded sections)", "shortname":"IHC-P"}, "WB" : {"fullname" : "Western blot", "shortname":"WB"} }, "product-promise": { "all": "all", "testedAndGuaranteed": "tested", "guaranteed": "expected", "predicted": "predicted", "notRecommended": "not-recommended" } }, "values": { "Human": { "IHCP-species-checked": "testedAndGuaranteed", "IHCP-species-dilution-info": "", "IHCP-species-notes": "<p></p> Perform heat-mediated antigen retrieval with citrate buffer pH 6 before commencing with IHC staining protocol.", "WB-species-checked": "testedAndGuaranteed", "WB-species-dilution-info": "", "WB-species-notes": "<p></p>" }, "Mouse": { "IHCP-species-checked": "testedAndGuaranteed", "IHCP-species-dilution-info": "", "IHCP-species-notes": "<p></p> Perform heat-mediated antigen retrieval with citrate buffer pH 6 before commencing with IHC staining protocol.", "WB-species-checked": "testedAndGuaranteed", "WB-species-dilution-info": "", "WB-species-notes": "<p></p>" } } }

Product details

ab236000 is the carrier-free version of ab68192.

The production method for this product has been changed from hybridoma to recombinant on 15th April 2024.

Patented technology
Our RabMAb® technology is a patented hybridoma-based technology for making rabbit monoclonal antibodies. For details on our patents, please refer to RabMAb® patents.

What are the advantages of a recombinant monoclonal antibody?
This product is a recombinant monoclonal antibody, which offers several advantages including:

  • - High batch-to-batch consistency and reproducibility
  • - Improved sensitivity and specificity
  • - Long-term security of supply
  • - Animal-free batch production

For more information, read more on recombinant antibodies.

Species reactivity
Rat: We have preliminary internal testing data to indicate this antibody may not react with this species.
Please contact us for more information.

Conjugation ready
Our carrier-free antibodies are typically supplied in a PBS-only formulation, purified and free of BSA, sodium azide and glycerol. This conjugation-ready format is designed for use with fluorochromes, metal isotopes, oligonucleotides, and enzymes, which makes them ideal for antibody labelling, functional and cell-based assays, flow-based assays (e.g. mass cytometry) and Multiplex Imaging applications.

Use our conjugation kits for antibody conjugates that are ready-to-use in as little as 20 minutes with 1 minute hands-on-time and 100% antibody recovery: available for fluorescent dyes, HRP, biotin and gold.

Compatibility
This product is compatible with the Maxpar® Antibody Labeling Kit from Fluidigm, without the need for antibody preparation. Maxpar® is a trademark of Fluidigm Canada Inc.

Properties and storage information

Form
Liquid
Purification technique
Affinity purification Protein A
Storage buffer
pH: 7.2 - 7.4 Constituents: 100% PBS
Shipped at conditions
Blue Ice
Appropriate short-term storage conditions
+4°C
Appropriate long-term storage conditions
+4°C
Storage information
Do Not Freeze

Supplementary information

This supplementary information is collated from multiple sources and compiled automatically.

ALDH7A1 also known as antiquitin is an enzyme that functions in the cellular metabolism processes specifically catalyzing the oxidation of aldehydes. It has a molecular mass of about 54 kDa and can be found expressed in various tissues including liver and brain. This enzyme is part of the aldehyde dehydrogenase family which plays significant roles in detoxifying aldehydes generated by alcohol metabolism and other metabolic activities.
Biological function summary

The role of ALDH7A1 includes the breakdown of molecules within the cellular detoxification system. As a component of the lysine catabolism pathway it acts to detoxify certain aldehydes to prevent cell damage. ALDH7A1 is not known to form part of any larger protein complex but its activity is important in maintaining nitrogen balance and energy production within the body.

Pathways

Several factors dictate the participation of ALDH7A1 in metabolic functions. This protein is involved mainly in the lysine degradation pathway where it converts α-aminoadipic semialdehyde to other metabolites needed for energy production. It interacts with associated proteins such as pyridoxal phosphate for efficient function a cofactor necessary for the enzymatic action in lysine catabolism.

Defects in ALDH7A1 can lead to pyridoxine-dependent epilepsy a rare genetic disorder caused by the accumulation of toxic metabolites due to impaired enzyme function. The disorder influences neurological development and can lead to seizures without treatment. ALDH7A1 dysfunction is also linked with aldehyde dehydrogenase liver deficiency where similarities with ALDH2 — another enzyme from the same family — can influence symptoms like alcohol sensitivity and metabolic responses.

Product protocols

For this product, it's our understanding that no specific protocols are required. You can visit:

Target data

Multifunctional enzyme mediating important protective effects. Metabolizes betaine aldehyde to betaine, an important cellular osmolyte and methyl donor. Protects cells from oxidative stress by metabolizing a number of lipid peroxidation-derived aldehydes. Involved in lysine catabolism.
See full target information ALDH7A1

Product promise

We are committed to supporting your work with high-quality reagents, and we're here for you every step of the way. In the unlikely event that one of our products does not perform as expected, you're protected by our Product Promise.
For full details, please see our Terms & Conditions

Please note: All products are 'FOR RESEARCH USE ONLY. NOT FOR USE IN DIAGNOSTIC OR THERAPEUTIC PROCEDURES'.

For licensing inquiries, please contact partnerships@abcam.com