JavaScript is disabled in your browser. Please enable JavaScript to view this website.
AB252953

Anti-Aldolase antibody [EPR23181-39]

  • BOND RX™ Validated
  • RabMAb
  • Recombinant
  • 20ul selling size
  • What is this?

Be the first to review this product! Submit a review

|

(12 Publications)

Rabbit Recombinant Monoclonal Aldolase antibody. Suitable for ICC/IF, WB, Flow Cyt (Intra), IHC-P and reacts with Mouse, Human, Rat samples. Cited in 12 publications.

View Alternative Names

ALDA, ALDOA, Fructose-bisphosphate aldolase A, Lung cancer antigen NY-LU-1, Muscle-type aldolase

15 Images
Flow Cytometry (Intracellular) - Anti-Aldolase antibody [EPR23181-39] (AB252953)
  • Flow Cyt (Intra)

Unknown

Flow Cytometry (Intracellular) - Anti-Aldolase antibody [EPR23181-39] (AB252953)

Intracellular flow cytometric analysis of 4% paraformaldehyde fixed, 90% methanol permeabilized A549 (Human lung carcinoma epithelial cell) cells labelling Aldolase with ab252953 at 1/500 dilution (0.1ug) (Red) compared with a Rabbit monoclonal IgG (ab172730) (Black) isotype control and an unlabelled control (cells without incubation with primary antibody and secondary antibody) (Blue). A Goat anti rabbit IgG (Alexa Fluor® 488, ab150077) at 1/2000 dilution was used as the secondary antibody.

Immunocytochemistry/ Immunofluorescence - Anti-Aldolase antibody [EPR23181-39] (AB252953)
  • ICC/IF

Unknown

Immunocytochemistry/ Immunofluorescence - Anti-Aldolase antibody [EPR23181-39] (AB252953)

Immunofluorescent analysis of 4% Paraformaldehyde-fixed, 0.1% TritonX-100 permeabilized A549 cells labelling Aldolase with ab252953 at 1/50 dilution, followed by ab150077 Goat Anti-Rabbit IgG H&L (Alexa Fluor® 488) antibody at 1/1000 (2 ug/ml) dilution (Green). Confocal image showing strong cytoplasmic and weak nuclear staining in A549 cells. ab195889 Anti-alpha Tubulin mouse monoclonal antibody - Microtubule Marker (Alexa Fluor® 594) was used to counterstain tubulin at 1/200 dilution (Red). The Nuclear counterstain was DAPI (Blue).

Secondary antibody only control : Secondary antibody is ab150077 Goat Anti-Rabbit IgG H&L (Alexa Fluor® 488) at 1/1000 (2 ug/ml) dilution.

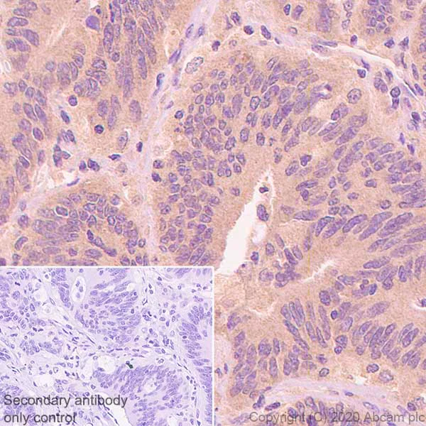
Immunohistochemistry (Formalin/PFA-fixed paraffin-embedded sections) - Anti-Aldolase antibody [EPR23181-39] (AB252953)
  • IHC-P

Unknown

Immunohistochemistry (Formalin/PFA-fixed paraffin-embedded sections) - Anti-Aldolase antibody [EPR23181-39] (AB252953)

Immunohistochemical analysis of paraffin-embedded Human colon cancer tissue labeling Aldolase with ab252953 at 1/100 dilution followed by a ready to use Rabbit specific IHC polymer detection kit HRP/DAB (ab209101). Positive staining in human colon cancer (PMID : 29453983). The section was incubated with ab252953 for 20 mins at room temperature. The immunostaining was performed on a Leica Biosystems BOND® RX instrument Counterstained with Hematoxylin.

Secondary antibody only control : Secondary antibody is a ready to use Rabbit specific IHC polymer detection kit HRP/DAB (ab209101).

Heat mediated antigen retrieval with Tris-EDTA buffer (pH 9.0, epitope retrieval solution2) for 20 mins.

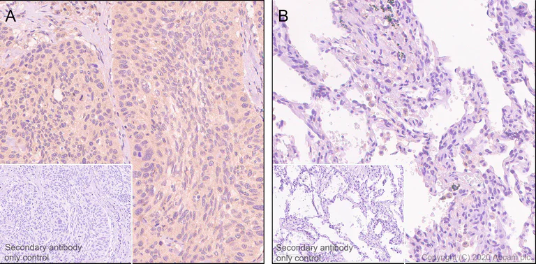
Immunohistochemistry (Formalin/PFA-fixed paraffin-embedded sections) - Anti-Aldolase antibody [EPR23181-39] (AB252953)
  • IHC-P

Unknown

Immunohistochemistry (Formalin/PFA-fixed paraffin-embedded sections) - Anti-Aldolase antibody [EPR23181-39] (AB252953)

Immunohistochemical analysis of paraffin-embedded Human lung cancer (A) and its adjacent noncancerous tissue (B) tissue labeling Aldolase with ab252953 at 1/100 dilution followed by a ready to use Rabbit specific IHC polymer detection kit HRP/DAB (ab209101). Positive staining in human lung cancer (A) while weak or negative staining in its adjacent noncancerous tissue (B) (PMID : 24465716). The section was incubated with ab252953 for 20 mins at room temperature. The immunostaining was performed on a Leica Biosystems BOND® RX instrument Counterstained with Hematoxylin.

Secondary antibody only control : Secondary antibody is a ready to use Rabbit specific IHC polymer detection kit HRP/DAB (ab209101).

Heat mediated antigen retrieval with Tris-EDTA buffer (pH 9.0, epitope retrieval solution2) for 20 mins.

Immunohistochemistry (Formalin/PFA-fixed paraffin-embedded sections) - Anti-Aldolase antibody [EPR23181-39] (AB252953)
  • IHC-P

Unknown

Immunohistochemistry (Formalin/PFA-fixed paraffin-embedded sections) - Anti-Aldolase antibody [EPR23181-39] (AB252953)

Immunohistochemical analysis of paraffin-embedded Rat skeletal muscle tissue labeling Aldolase with ab252953 at 1/50 dilution followed by a ready to use Rabbit specific IHC polymer detection kit HRP/DAB (ab209101). Positive staining in rat skeletal muscle (PMID : 18676612). The section was incubated with ab252953 for 20 mins at room temperature. The immunostaining was performed on a Leica Biosystems BOND® RX instrument. Counterstained with Hematoxylin.

Secondary antibody only control : Secondary antibody is a ready to use Rabbit specific IHC polymer detection kit HRP/DAB (ab209101).

Heat mediated antigen retrieval with Tris-EDTA buffer (pH 9.0, epitope retrieval solution2) for 20 mins.

Immunohistochemistry (Formalin/PFA-fixed paraffin-embedded sections) - Anti-Aldolase antibody [EPR23181-39] (AB252953)
  • IHC-P

Unknown

Immunohistochemistry (Formalin/PFA-fixed paraffin-embedded sections) - Anti-Aldolase antibody [EPR23181-39] (AB252953)

Immunohistochemical analysis of paraffin-embedded Mouse skeletal muscle tissue labeling Aldolase with ab252953 at 1/50 dilution followed by a ready to use Rabbit specific IHC polymer detection kit HRP/DAB (ab209101). Positive staining in mouse skeletal muscle (PMID : 18676612). The section was incubated with ab252953 for 20 mins at room temperature.The immunostaining was performed on a Leica Biosystems BOND® RX instrument. Counterstained with Hematoxylin.

Secondary antibody only control : Secondary antibody is a ready to use Rabbit specific IHC polymer detection kit HRP/DAB (ab209101).

Heat mediated antigen retrieval with Tris-EDTA buffer (pH 9.0, epitope retrieval solution2) for 20 mins.

Flow Cytometry (Intracellular) - Anti-Aldolase antibody [EPR23181-39] (AB252953)
  • Flow Cyt (Intra)

Unknown

Flow Cytometry (Intracellular) - Anti-Aldolase antibody [EPR23181-39] (AB252953)

Intracellular flow cytometric analysis of 4% paraformaldehyde fixed, 90% methanol permeabilized NIH/3T3 (Mouse embryonic fibroblast) cells labelling Aldolase with ab252953 at 1/50 dilution (1ug) (Red) compared with a Rabbit monoclonal IgG (ab172730) (Black) isotype control and an unlabelled control (cells without incubation with primary antibody and secondary antibody) (Blue). A Goat anti rabbit IgG (Alexa Fluor® 488, ab150077) at 1/2000 dilution was used as the secondary antibody.

Immunocytochemistry/ Immunofluorescence - Anti-Aldolase antibody [EPR23181-39] (AB252953)
  • ICC/IF

Unknown

Immunocytochemistry/ Immunofluorescence - Anti-Aldolase antibody [EPR23181-39] (AB252953)

Immunofluorescent analysis of 4% Paraformaldehyde-fixed, 0.1% TritonX-100 permeabilized NIH/3T3 cells labelling Aldolase with ab252953 at 1/50 dilution, followed by ab150077 Goat Anti-Rabbit IgG H&L (Alexa Fluor® 488) antibody at 1/1000 (2 ug/ml) dilution (Green). Confocal image showing strong cytoplasmic and weak nuclear staining in NIH/3T3 cells. ab195889 Anti-alpha Tubulin mouse monoclonal antibody - Microtubule Marker (Alexa Fluor® 594) was used to counterstain tubulin at 1/200 dilution (Red). The Nuclear counterstain was DAPI (Blue).

Secondary antibody only control : Secondary antibody is ab150077 Goat Anti-Rabbit IgG H&L (Alexa Fluor® 488) at 1/1000 (2 ug/ml) dilution.

Western blot - Anti-Aldolase antibody [EPR23181-39] (AB252953)
  • WB

Lab

Western blot - Anti-Aldolase antibody [EPR23181-39] (AB252953)

Western blot : Anti-ALDOA antibody [EPR23181-39] (ab252953) staining at 1/1000 dilution, shown in green; Mouse anti-CANX [CANX/1543] (ab238078) loading control staining at 1/20000 dilution, shown in magenta. In Western blot, ab252953 was shown to bind specifically to ALDOA. First, samples were run on an SDS-PAGE gel then transferred onto a nitrocellulose membrane. Membranes were blocked in 5 % milk in TBS-0.1 % Tween® 20 (TBS-T) before incubation with primary antibodies overnight at 4 °C. Blots were washed four times in TBS-T, incubated with secondary antibodies for 1 h at room temperature, washed again four times then imaged. Secondary antibodies used were Goat anti-Rabbit IgG H&L 800CW and Goat anti-Mouse IgG H&L 680RD at 1/20000 dilution.

All lanes:

Western blot - Anti-Aldolase antibody [EPR23181-39] (ab252953) at 1/1000 dilution

Lane 1:

HEK-293T overexpressing ALDOA cell lysate at 20 µg

Lane 2:

HEK-293T control cell lysate at 20 µg

Lane 3:

MCF7 cell lysate at 20 µg

Lane 4:

HeLa cell lysate at 20 µg

Lane 5:

Human heart cell lysate at 20 µg

Observed band size: 45 kDa

false

Western blot - Anti-Aldolase antibody [EPR23181-39] (AB252953)
  • WB

Lab

Western blot - Anti-Aldolase antibody [EPR23181-39] (AB252953)

Blocking and diluting buffer and concentration : 5% NFDM/TBST.

Exposure times : Lanes 1-3 : 3 seconds; Lane 4-5 : 5.5 seconds.

All lanes:

Western blot - Anti-Aldolase antibody [EPR23181-39] (ab252953) at 1/1000 dilution

Lane 1:

Human brain tissue lysate at 40 µg

Lane 2:

Human skeletal muscle tissue lysate at 40 µg

Lane 3:

Mouse brain tissue lysate at 40 µg

Lane 4:

Mouse skeletal muscle tissue lysate at 40 µg

Lane 5:

Human colon cancer tissue lysate at 40 µg

Secondary

All lanes:

Goat Anti-Rabbit IgG, (H+L), Peroxidase conjugated (<a href='/en-us/products/secondary-antibodies/goat-rabbit-igg-h-l-hrp-ab97051'>ab97051</a>) at 1/50000 dilution

Predicted band size: 39 kDa

Observed band size: 39 kDa

false

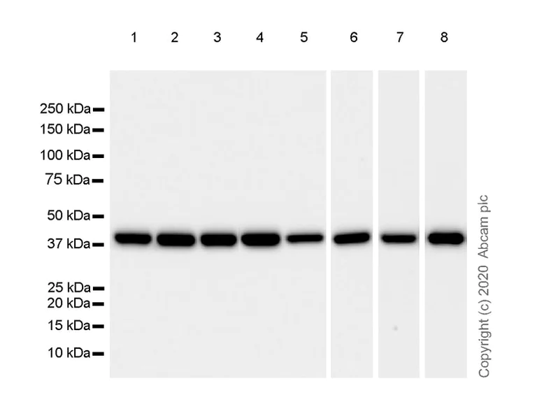
Western blot - Anti-Aldolase antibody [EPR23181-39] (AB252953)
  • WB

Lab

Western blot - Anti-Aldolase antibody [EPR23181-39] (AB252953)

Blocking and diluting buffer and concentration : 5% NFDM/TBST.

Exposure times : Lanes 1-6 : 5.5 seconds; Lanes 7-8 : 26 seconds.

All lanes:

Western blot - Anti-Aldolase antibody [EPR23181-39] (ab252953) at 1/1000 dilution

Lane 1:

MCF7 (human breast adenocarcinoma epithelial cell) whole cell lysate at 40 µg

Lane 2:

HepG2 (human hepatocellular carcinoma epithelial cell) whole cell lysate at 40 µg

Lane 3:

SH-SY5Y (human neuroblastoma epithelial cell) whole cell lysate at 40 µg

Lane 4:

THP-1 (human monocytic leukemia monocyte) whole cell lysate at 40 µg

Lane 5:

C2C12 (mouse myoblasts myoblast) whole cell lysate at 40 µg

Lane 6:

C6 (rat glial tumor glial cell) whole cell lysate at 40 µg

Lane 7:

A549 (human lu carcinoma epithelial cell) whole cell lysate at 40 µg

Lane 8:

NIH/3T3 (mouse embryonic fibroblast) whole cell lysate at 40 µg

Secondary

All lanes:

Goat Anti-Rabbit IgG, (H+L), Peroxidase conjugated (<a href='/en-us/products/secondary-antibodies/goat-rabbit-igg-h-l-hrp-ab97051'>ab97051</a>) at 1/50000 dilution

Predicted band size: 39 kDa

Observed band size: 39 kDa

false

Western blot - Anti-Aldolase antibody [EPR23181-39] (AB252953)
  • WB

Supplier Data

Western blot - Anti-Aldolase antibody [EPR23181-39] (AB252953)

Blocking and diluting buffer and concentration : 5% NFDM/TBST

This blot was developed using a high sensitivity ECL substrate. The high-sensitivity ECL substrate used allows for the detection of proteins in the mid-femtogram range.

In Western blot, anti-GAPDH antibody (ab181602) loading control staining at 1/200000 dilution, anti-Aldolase antibody (ab252953) staining at 1/1000 dilution.

All lanes:

Western blot - Anti-Aldolase A / B/ C (lactyl K147) antibody [EPR24696-317] (<a href='/en-us/products/primary-antibodies/aldolase-a-b-c-lactyl-k147-antibody-epr24696-317-ab313325'>ab313325</a>) at 1/1000 dilution

Lane 1:

Untreated NCI-H1299 (human lung carcinoma epithelial cell) whole cell lysate at 20 µg

Lane 2:

NCI-H1299 treated with 100nM Rotenone for 24h, whole cell lysate at 20 µg

Secondary

All lanes:

Western blot - Goat Anti-Rabbit IgG H&L (HRP) (<a href='/en-us/products/secondary-antibodies/goat-rabbit-igg-h-l-hrp-ab97051'>ab97051</a>) at 1/20000 dilution

Observed band size: 39 kDa

true

Exposure time: 59s

Western blot - Anti-Aldolase antibody [EPR23181-39] (AB252953)
  • WB

Lab

Western blot - Anti-Aldolase antibody [EPR23181-39] (AB252953)

Blocking and diluting buffer and concentration : 5% NFDM/TBST.

Exposure times : Lane 1 : 10 seconds; Lane 2 : 3 seconds.

All lanes:

Western blot - Anti-Aldolase antibody [EPR23181-39] (ab252953) at 1/1000 dilution

Lane 1:

Rat brain tissue lysate at 20 µg

Lane 2:

Rat skeletal muscle tissue lysate at 20 µg

Secondary

All lanes:

Goat Anti-Rabbit IgG, (H+L), Peroxidase conjugated (<a href='/en-us/products/secondary-antibodies/goat-rabbit-igg-h-l-hrp-ab97051'>ab97051</a>) at 1/100000 dilution

Predicted band size: 39 kDa

Observed band size: 39 kDa

false

Western blot - Anti-Aldolase antibody [EPR23181-39] (AB252953)
  • WB

Supplier Data

Western blot - Anti-Aldolase antibody [EPR23181-39] (AB252953)

Blocking and diluting buffer and concentration : 5% NFDM/TBST

This blot was developed using a high sensitivity ECL substrate. The high-sensitivity ECL substrate used allows for the detection of proteins in the mid-femtogram range.

The identities of the higher MW bands between 50 and 70 kDa are unknown.

In Western blot, anti-GAPDH antibody (ab181602) loading control staining at 1/200000 dilution, anti-Aldolase antibody (ab252953) staining at 1/1000 dilution.

All lanes:

Western blot - Anti-Aldolase A / B/ C (lactyl K147) antibody [EPR24696-317] (<a href='/en-us/products/primary-antibodies/aldolase-a-b-c-lactyl-k147-antibody-epr24696-317-ab313325'>ab313325</a>) at 1/1000 dilution

Lane 1:

Untreated C6 (rat glial tumor glial cell) whole cell lysate at 20 µg

Lane 2:

C6 treated with 100nM Rotenone for 24h, whole cell lysate at 20 µg

Secondary

All lanes:

Western blot - Goat Anti-Rabbit IgG H&L (HRP) (<a href='/en-us/products/secondary-antibodies/goat-rabbit-igg-h-l-hrp-ab97051'>ab97051</a>) at 1/20000 dilution

Observed band size: 39 kDa

true

Exposure time: 180s

Western blot - Anti-Aldolase antibody [EPR23181-39] (AB252953)
  • WB

CiteAb

Western blot - Anti-Aldolase antibody [EPR23181-39] (AB252953)

Aldolase western blot using anti-Aldolase antibody [EPR23181-39] ab252953. Publication image and figure legend from Lin, J. X., Lian, N. Z., et al., 2022, Cell Death Dis, PubMed 35568711.

ab252953 was used in this publication in western blot. This may not be the same as the application(s) guaranteed by Abcam. For a full list of applications guaranteed by Abcam for ab252953 please see the product overview.

LHPP suppresses aerobic glycolysis.A Relative mRNA expression levels of glycolytic genes and glutamine transporters in LHPP-overexpressing or LHPP-knockdown MGC-803 cells and control cells by qPCR. B Protein expression levels of glycolytic genes and glutamine transporters in LHPP-overexpressing or LHPP-knockdown MGC-803 cells and control cells on western blot. C IHC staining of LHPP and HIF1A in TMAs and their correlation. Scale bars = 100 μm. D Oxygen consumption rate and extracellular acidification rate of LHPP-overexpressing or LHPP-knockdown MGC-803 cells and control cells were measured using the Seahorse Bioscience XF96 analyser. E Human phosphokinase microarray assay analysis of the conditioned medium from stably transfected HGC-27 cells. A summary of the relative signal intensities of the indicated proteins is shown. G, H IHC staining of LHPP and p-GSK3b in TMAs and their correlation. Scale bars = 200 μm. F Combined LHPP and GSK3b by co-immunoprecipitation. I Protein expression levels of the Wnt pathway in LHPP-overexpressing or LHPP-knockdown MGC-803 cells and control cells on western blot. Data were analyzed using the Wilcoxon test. *p < 0.05, **p < 0.01, ***p < 0.001, KEGG Kyoto encyclopaedia of genes and genomes, GO gene ontology, qPCR quantitative polymerase chain reaction, IHC immunohistochemical, TMA tissue microarray.

false

  • 519 Alexa Fluor® 488

    Alexa Fluor® 488 Anti-Aldolase antibody [EPR23181-39]

  • 665 Alexa Fluor® 647

    Alexa Fluor® 647 Anti-Aldolase antibody [EPR23181-39]

  • Carrier free

    Anti-Aldolase antibody [EPR23181-39] - BSA and Azide free

  • 578 PE

    PE Anti-Aldolase antibody [EPR23181-39]

  • 565 Alexa Fluor® 555

    Alexa Fluor® 555 Anti-Aldolase antibody [EPR23181-39]

  • 660 APC

    APC Anti-Aldolase antibody [EPR23181-39]

  • 617 Alexa Fluor® 594

    Alexa Fluor® 594 Anti-Aldolase antibody [EPR23181-39]

  • 775 Alexa Fluor® 750

    Alexa Fluor® 750 Anti-Aldolase antibody [EPR23181-39]

Key facts

Host species

Rabbit

Clonality

Monoclonal

Clone number

EPR23181-39

Isotype

IgG

Carrier free

No

Reacts with

Mouse, Rat, Human

Applications

IHC-P, ICC/IF, WB, Flow Cyt (Intra)

applications

Immunogen

The exact immunogen used to generate this antibody is proprietary information.

Reactivity data

{ "title": "Reactivity Data", "filters": { "stats": ["", "Species", "Dilution Info", "Notes"], "tabs": { "all-applications": {"fullname" : "All Applications", "shortname": "All Applications"}, "ICCIF" : {"fullname" : "Immunocytochemistry/ Immunofluorescence", "shortname":"ICC/IF"}, "IP" : {"fullname" : "Immunoprecipitation", "shortname":"IP"}, "WB" : {"fullname" : "Western blot", "shortname":"WB"}, "FlowCytIntra" : {"fullname" : "Flow Cytometry (Intracellular)", "shortname":"Flow Cyt (Intra)"}, "IHCP" : {"fullname" : "Immunohistochemistry (Formalin/PFA-fixed paraffin-embedded sections)", "shortname":"IHC-P"} }, "product-promise": { "all": "all", "testedAndGuaranteed": "tested", "guaranteed": "expected", "predicted": "predicted", "notRecommended": "not-recommended" } }, "values": { "Human": { "ICCIF-species-checked": "testedAndGuaranteed", "ICCIF-species-dilution-info": "1/50", "ICCIF-species-notes": "<p></p>", "IP-species-checked": "notRecommended", "IP-species-dilution-info": "", "IP-species-notes": "<p></p>", "WB-species-checked": "testedAndGuaranteed", "WB-species-dilution-info": "1/1000", "WB-species-notes": "<p></p>", "FlowCytIntra-species-checked": "testedAndGuaranteed", "FlowCytIntra-species-dilution-info": "1/50", "FlowCytIntra-species-notes": "<p></p>", "IHCP-species-checked": "testedAndGuaranteed", "IHCP-species-dilution-info": "1/100", "IHCP-species-notes": "<p></p> Perform heat-mediated antigen retrieval with Tris/EDTA buffer pH 9.0 before commencing with IHC staining protocol." }, "Mouse": { "ICCIF-species-checked": "testedAndGuaranteed", "ICCIF-species-dilution-info": "1/50", "ICCIF-species-notes": "<p></p>", "IP-species-checked": "notRecommended", "IP-species-dilution-info": "", "IP-species-notes": "<p></p>", "WB-species-checked": "testedAndGuaranteed", "WB-species-dilution-info": "1/1000", "WB-species-notes": "<p></p>", "FlowCytIntra-species-checked": "testedAndGuaranteed", "FlowCytIntra-species-dilution-info": "1/50", "FlowCytIntra-species-notes": "<p></p>", "IHCP-species-checked": "testedAndGuaranteed", "IHCP-species-dilution-info": "1/100", "IHCP-species-notes": "<p></p> Perform heat-mediated antigen retrieval with Tris/EDTA buffer pH 9.0 before commencing with IHC staining protocol." }, "Rat": { "ICCIF-species-checked": "guaranteed", "ICCIF-species-dilution-info": "", "ICCIF-species-notes": "", "IP-species-checked": "notRecommended", "IP-species-dilution-info": "", "IP-species-notes": "", "WB-species-checked": "testedAndGuaranteed", "WB-species-dilution-info": "1/1000", "WB-species-notes": "<p></p>", "FlowCytIntra-species-checked": "guaranteed", "FlowCytIntra-species-dilution-info": "", "FlowCytIntra-species-notes": "", "IHCP-species-checked": "testedAndGuaranteed", "IHCP-species-dilution-info": "1/100", "IHCP-species-notes": "<p></p> Perform heat-mediated antigen retrieval with Tris/EDTA buffer pH 9.0 before commencing with IHC staining protocol." } } }

Product details

Patented technology
Our RabMAb® technology is a patented hybridoma-based technology for making rabbit monoclonal antibodies. For details on our patents, please refer to RabMAb® patents.

What are the advantages of a recombinant monoclonal antibody?
This product is a recombinant monoclonal antibody, which offers several advantages including:

  • - High batch-to-batch consistency and reproducibility
  • - Improved sensitivity and specificity
  • - Long-term security of supply
  • - Animal-free batch production

For more information, read more on recombinant antibodies.

Properties and storage information

Form
Liquid
Purification technique
Affinity purification Protein A
Storage buffer
pH: 7.2 - 7.4 Preservative: 0.01% Sodium azide Constituents: PBS, 40% Glycerol (glycerin, glycerine), 0.05% BSA
Shipped at conditions
Blue Ice
Appropriate short-term storage duration
1-2 weeks
Appropriate short-term storage conditions
+4°C
Appropriate long-term storage conditions
-20°C
Aliquoting information
Upon delivery aliquot
Storage information
Avoid freeze / thaw cycle

Supplementary information

This supplementary information is collated from multiple sources and compiled automatically.

Aldolase also known as fructose-bisphosphate aldolase is an enzyme that plays a critical role in glycolysis catalyzing the reversible cleavage of fructose 16-bisphosphate into glyceraldehyde-3-phosphate and dihydroxyacetone phosphate. Aldolase is a homotetramer with a molecular mass of approximately 158 kDa. It is highly expressed in liver muscle and brain tissues. Aldolase consists of three isoforms: aldolase A B and C each predominant in different tissues contributing to tissue-specific roles within the organism.
Biological function summary

Aldolase catalyzes an important reaction in energy metabolism ensuring the continuation of glycolytic flux which is essential for ATP production. Aldolases do not form part of larger protein complexes. However they interact with other enzymes within the glycolytic pathway to facilitate a smooth metabolic flow. Moreover aldolase A plays an additional role in gluconeogenesis the pathway involved in synthesizing glucose from non-carbohydrate sources.

Pathways

Aldolase is an essential part of glycolysis and gluconeogenesis pathways. In glycolysis it partners with enzymes like phosphofructokinase and enolase to breakdown glucose for energy production. During gluconeogenesis aldolase works with enzymes including fructose-16-bisphosphatase to create glucose vital for maintaining blood sugar levels during fasting. Through these pathways aldolase ensures balance between energy-producing and energy-consuming states within the cell.

Mutations or deficiencies in aldolase particularly aldolase A have been linked to glycogen storage disease type XII which results in muscle weakness and exercise intolerance. Aldolase B deficiency is known to cause hereditary fructose intolerance leading to liver and renal complications. These conditions highlight the importance of aldolase in maintaining metabolic health with implications for proteins within the same pathways potentially affecting their functions and expression levels.

Product protocols

For this product, it's our understanding that no specific protocols are required. You can visit:

Target data

Catalyzes the reversible conversion of beta-D-fructose 1,6-bisphosphate (FBP) into two triose phosphate and plays a key role in glycolysis and gluconeogenesis (PubMed : 14766013). In addition, may also function as scaffolding protein (By similarity).
See full target information ALDOA

Publications (12)

Recent publications for all applications. Explore the full list and refine your search

Nature communications 16:6876 PubMed40715139

2025

The mechanotransducer Piezo1 coordinates metabolism and inflammation to promote skin growth.

Applications

Unspecified application

Species

Unspecified reactive species

Yingchao Xue,Elizabeth Winnicki,Zhaoxu Zhang,Ines Lopez,Saifeng Wang,Charles Kirby,Sam S Lee,Ang Li,Chaewon Lee,Hana Minsky,Kaitlin Williams,Kevin Yueh-Hsun Yang,Ling He,Sashank K Reddy,Luis A Garza

Cell death & disease 16:65 PubMed39900910

2025

LDHA-mediated glycolysis in stria vascularis endothelial cells regulates macrophages function through CX3CL1-CX3CR1 pathway in noise-induced oxidative stress.

Applications

Unspecified application

Species

Unspecified reactive species

Ying Yi,Min-Yu Wu,Kai-Tian Chen,An-Hai Chen,Lin-Qiu Li,Qin Xiong,Xian-Ren Wang,Wen-Bin Lei,Guan-Xia Xiong,Shu-Bin Fang

eLife 12: PubMed39636094

2024

MORC protein regulates chromatin accessibility and transcriptional repression in the human malaria parasite, .

Applications

Unspecified application

Species

Unspecified reactive species

Zeinab M Chahine,Mohit Gupta,Todd Lenz,Thomas Hollin,Steven Abel,Charles Banks,Anita Saraf,Jacques Prudhomme,Suhani Bhanvadia,Laurence A Florens,Karine G Le Roch

Communications biology 7:1272 PubMed39369093

2024

Spatial multi-omics in whole skeletal muscle reveals complex tissue architecture.

Applications

Unspecified application

Species

Unspecified reactive species

Clara Martínez Mir,Paola Pisterzi,Isabel De Poorter,Maria Rilou,Melissa van Kranenburg,Bram Heijs,Anna Alemany,Fanny Sage,Niels Geijsen

iScience 27:110725 PubMed39262779

2024

Targeting ALDOA to modulate tumorigenesis and energy metabolism in retinoblastoma.

Applications

Unspecified application

Species

Unspecified reactive species

Yinghao Wang,Junjie Tang,Yaoming Liu,Zhihui Zhang,Hongwei Zhang,Yujun Ma,Xinyue Wang,Siming Ai,Yuxiang Mao,Ping Zhang,Shuxia Chen,Jinmiao Li,Yang Gao,Chao Cheng,Cheng Li,Shicai Su,Rong Lu

Cancer cell international 24:294 PubMed39154013

2024

Telomerase related molecular subtype and risk model reveal immune activity and evaluate prognosis and immunotherapy response in prostate cancer.

Applications

Unspecified application

Species

Unspecified reactive species

Dongze Liu,Zheng Qin,Bocun Yi,Hongbo Xie,Yunan Liang,Liang Zhu,Kuo Yang,Yong Xu,Hongtuan Zhang

Scientific reports 14:6488 PubMed38499636

2024

Prognosis significance and potential association between ALDOA and AKT expression in colorectal cancer.

Applications

Unspecified application

Species

Unspecified reactive species

Menglin Xu,Shihang Xi,Haoran Li,Yong Xia,Guangliang Mei,Zhengwu Cheng

Oncology letters 26:421 PubMed37664650

2023

Upregulated miR‑378a‑3p expression suppresses energy metabolism and promotes apoptosis by targeting a GLUT‑1/ALDOA/PKM2 axis in esophageal carcinoma.

Applications

Unspecified application

Species

Unspecified reactive species

Yuan Qu,Shan Xue,Yujian Zheng,Yajing Du,Guoping Zhang,Liting Huang,Hui Li,Huiwu Li

Stem cells international 2023:2826815 PubMed37964983

2023

A Novel Molecular Classification Method for Glioblastoma Based on Tumor Cell Differentiation Trajectories.

Applications

Unspecified application

Species

Unspecified reactive species

Guanghao Zhang,Xiaolong Xu,Luojiang Zhu,Sisi Li,Rundong Chen,Nan Lv,Zifu Li,Jing Wang,Qiang Li,Wang Zhou,Pengfei Yang,Jianmin Liu

Journal of personalized medicine 12: PubMed36294781

2022

Venous Wall of Patients with Chronic Venous Disease Exhibits a Glycolytic Phenotype.

Applications

Unspecified application

Species

Unspecified reactive species

Oscar Fraile-Martinez,Cielo García-Montero,Miguel Ángel Alvarez-Mon,Ana M Gomez-Lahoz,Jorge Monserrat,Maria Llavero-Valero,Fernando Ruiz-Grande,Santiago Coca,Melchor Alvarez-Mon,Julia Buján,Natalio García-Honduvilla,Jose V Saz,Miguel A Ortega
View all publications

Product promise

We are committed to supporting your work with high-quality reagents, and we're here for you every step of the way. In the unlikely event that one of our products does not perform as expected, you're protected by our Product Promise.
For full details, please see our Terms & Conditions

Please note: All products are 'FOR RESEARCH USE ONLY. NOT FOR USE IN DIAGNOSTIC OR THERAPEUTIC PROCEDURES'.

For licensing inquiries, please contact partnerships@abcam.com