JavaScript is disabled in your browser. Please enable JavaScript to view this website.
AB273636

Anti-Aldolase antibody [EPR23181-39] - BSA and Azide free

Be the first to review this product! Submit a review

|

(0 Publication)

Rabbit Recombinant Monoclonal Aldolase antibody. Carrier free. Suitable for ICC/IF, WB, Flow Cyt (Intra), IHC-P and reacts with Mouse, Human, Rat samples.

View Alternative Names

ALDA, ALDOA, Fructose-bisphosphate aldolase A, Lung cancer antigen NY-LU-1, Muscle-type aldolase

12 Images
Flow Cytometry (Intracellular) - Anti-Aldolase antibody [EPR23181-39] - BSA and Azide free (AB273636)
  • Flow Cyt (Intra)

Unknown

Flow Cytometry (Intracellular) - Anti-Aldolase antibody [EPR23181-39] - BSA and Azide free (AB273636)

Intracellular flow cytometric analysis of 4% paraformaldehyde fixed, 90% methanol permeabilized A549 (Human lung carcinoma epithelial cell) cells labelling Aldolase with ab252953 at 1/500 dilution (0.1ug) (Red) compared with a Rabbit monoclonal IgG (ab172730) (Black) isotype control and an unlabelled control (cells without incubation with primary antibody and secondary antibody) (Blue). A Goat anti rabbit IgG (Alexa Fluor®488, ab150077) at 1/2000 dilution was used as the secondary antibody.

This data was developed using the same antibody clone in a different buffer formulation containing PBS, BSA, glycerol, and sodium azide (ab252953).

Immunocytochemistry/ Immunofluorescence - Anti-Aldolase antibody [EPR23181-39] - BSA and Azide free (AB273636)
  • ICC/IF

Unknown

Immunocytochemistry/ Immunofluorescence - Anti-Aldolase antibody [EPR23181-39] - BSA and Azide free (AB273636)

Immunofluorescent analysis of 4% Paraformaldehyde-fixed, 0.1% TritonX-100 permeabilized A549 cells labelling Aldolase with ab252953 at 1/50 dilution, followed by ab150077 Goat Anti-Rabbit IgG H&L (Alexa Fluor® 488) antibody at 1/1000 (2 ug/ml) dilution (Green). Confocal image showing strong cytoplasmic and weak nuclear staining in A549 cells. ab195889 Anti-alpha Tubulin mouse monoclonal antibody - Microtubule Marker (Alexa Fluor® 594) was used to counterstain tubulin at 1/200 dilution (Red). The Nuclear counterstain was DAPI (Blue).

Secondary antibody only control : Secondary antibody is ab150077 Goat Anti-Rabbit IgG H&L (Alexa Fluor® 488) at 1/1000 (2 ug/ml) dilution.

This data was developed using the same antibody clone in a different buffer formulation containing PBS, BSA, glycerol, and sodium azide (ab252953).

Immunohistochemistry (Formalin/PFA-fixed paraffin-embedded sections) - Anti-Aldolase antibody [EPR23181-39] - BSA and Azide free (AB273636)
  • IHC-P

Unknown

Immunohistochemistry (Formalin/PFA-fixed paraffin-embedded sections) - Anti-Aldolase antibody [EPR23181-39] - BSA and Azide free (AB273636)

Immunohistochemical analysis of paraffin-embedded Human colon cancer tissue labeling Aldolase with ab252953 at 1/100 dilution followed by a ready to use Rabbit specific IHC polymer detection kit HRP/DAB (ab209101). Positive staining in human colon cancer (PMID : 29453983). The section was incubated with ab252953 for 20 mins at room temperature. The immunostaining was performed on a Leica Biosystems BOND® RX instrument Counterstained with Hematoxylin.

Secondary antibody only control : Secondary antibody is a ready to use Rabbit specific IHC polymer detection kit HRP/DAB (ab209101).

Heat mediated antigen retrieval with Tris-EDTA buffer (pH 9.0, epitope retrieval solution2) for 20 mins.

This data was developed using the same antibody clone in a different buffer formulation containing PBS, BSA, glycerol, and sodium azide (ab252953).

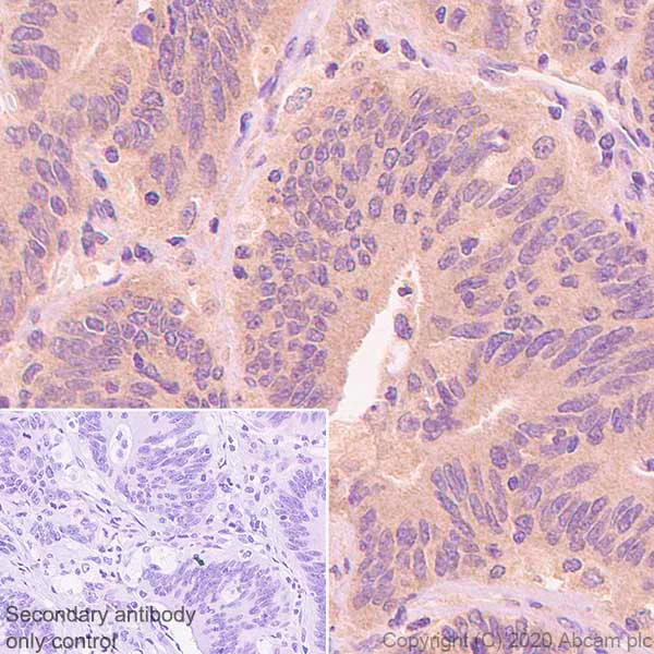
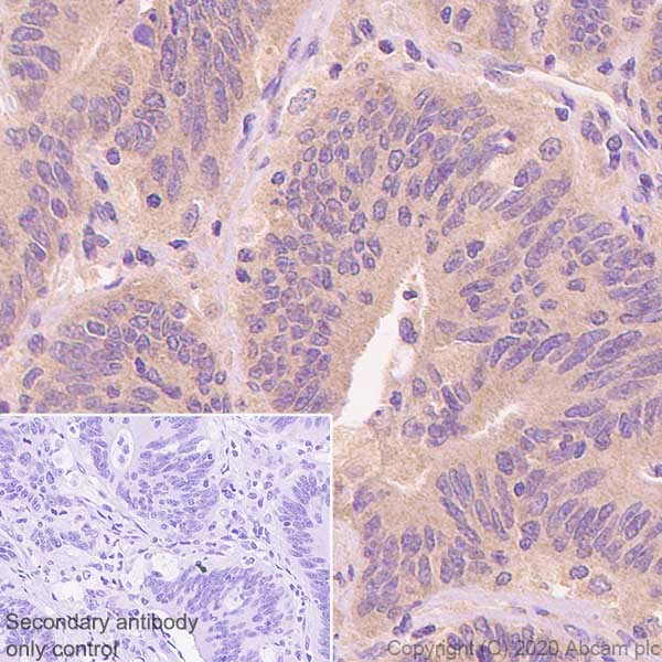
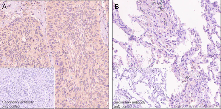
Immunohistochemistry (Formalin/PFA-fixed paraffin-embedded sections) - Anti-Aldolase antibody [EPR23181-39] - BSA and Azide free (AB273636)
  • IHC-P

Unknown

Immunohistochemistry (Formalin/PFA-fixed paraffin-embedded sections) - Anti-Aldolase antibody [EPR23181-39] - BSA and Azide free (AB273636)

Immunohistochemical analysis of paraffin-embedded Human lung cancer (A) and its adjacent noncancerous tissue (B) tissue labeling Aldolase with ab252953 at 1/100 dilution followed by a ready to use Rabbit specific IHC polymer detection kit HRP/DAB (ab209101). Positive staining in human lung cancer (A) while weak or negative staining in its adjacent noncancerous tissue (B) (PMID : 24465716). The section was incubated with ab252953 for 20 mins at room temperature. The immunostaining was performed on a Leica Biosystems BOND® RX instrument Counterstained with Hematoxylin.

Secondary antibody only control : Secondary antibody is a ready to use Rabbit specific IHC polymer detection kit HRP/DAB (ab209101).

Heat mediated antigen retrieval with Tris-EDTA buffer (pH 9.0, epitope retrieval solution2) for 20 mins.

This data was developed using the same antibody clone in a different buffer formulation containing PBS, BSA, glycerol, and sodium azide (ab252953).

Immunohistochemistry (Formalin/PFA-fixed paraffin-embedded sections) - Anti-Aldolase antibody [EPR23181-39] - BSA and Azide free (AB273636)
  • IHC-P

Unknown

Immunohistochemistry (Formalin/PFA-fixed paraffin-embedded sections) - Anti-Aldolase antibody [EPR23181-39] - BSA and Azide free (AB273636)

Immunohistochemical analysis of paraffin-embedded Rat skeletal muscle tissue labeling Aldolase with ab252953 at 1/50 dilution followed by a ready to use Rabbit specific IHC polymer detection kit HRP/DAB (ab209101). Positive staining in rat skeletal muscle (PMID : 18676612). The section was incubated with ab252953 for 20 mins at room temperature. The immunostaining was performed on a Leica Biosystems BOND® RX instrument. Counterstained with Hematoxylin.

Secondary antibody only control : Secondary antibody is a ready to use Rabbit specific IHC polymer detection kit HRP/DAB (ab209101).

Heat mediated antigen retrieval with Tris-EDTA buffer (pH 9.0, epitope retrieval solution2) for 20 mins.

This data was developed using the same antibody clone in a different buffer formulation containing PBS, BSA, glycerol, and sodium azide (ab252953).

Immunohistochemistry (Formalin/PFA-fixed paraffin-embedded sections) - Anti-Aldolase antibody [EPR23181-39] - BSA and Azide free (AB273636)
  • IHC-P

Unknown

Immunohistochemistry (Formalin/PFA-fixed paraffin-embedded sections) - Anti-Aldolase antibody [EPR23181-39] - BSA and Azide free (AB273636)

Immunohistochemical analysis of paraffin-embedded Mouse skeletal muscle tissue labeling Aldolase with ab252953 at 1/50 dilution followed by a ready to use Rabbit specific IHC polymer detection kit HRP/DAB (ab209101). Positive staining in mouse skeletal muscle (PMID : 18676612). The section was incubated with ab252953 for 20 mins at room temperature.The immunostaining was performed on a Leica Biosystems BOND® RX instrument. Counterstained with Hematoxylin.

Secondary antibody only control : Secondary antibody is a ready to use Rabbit specific IHC polymer detection kit HRP/DAB (ab209101).

Heat mediated antigen retrieval with Tris-EDTA buffer (pH 9.0, epitope retrieval solution2) for 20 mins.

This data was developed using the same antibody clone in a different buffer formulation containing PBS, BSA, glycerol, and sodium azide (ab252953).

Flow Cytometry (Intracellular) - Anti-Aldolase antibody [EPR23181-39] - BSA and Azide free (AB273636)
  • Flow Cyt (Intra)

Unknown

Flow Cytometry (Intracellular) - Anti-Aldolase antibody [EPR23181-39] - BSA and Azide free (AB273636)

Intracellular flow cytometric analysis of 4% paraformaldehyde fixed, 90% methanol permeabilized NIH/3T3 (Mouse embryonic fibroblast) cells labelling Aldolase with ab252953 at 1/50 dilution (1ug) (Red) compared with a Rabbit monoclonal IgG (ab172730) (Black) isotype control and an unlabelled control (cells without incubation with primary antibody and secondary antibody) (Blue). A Goat anti rabbit IgG (Alexa Fluor®488, ab150077) at 1/2000 dilution was used as the secondary antibody.

This data was developed using the same antibody clone in a different buffer formulation containing PBS, BSA, glycerol, and sodium azide (ab252953).

Immunocytochemistry/ Immunofluorescence - Anti-Aldolase antibody [EPR23181-39] - BSA and Azide free (AB273636)
  • ICC/IF

Unknown

Immunocytochemistry/ Immunofluorescence - Anti-Aldolase antibody [EPR23181-39] - BSA and Azide free (AB273636)

Immunofluorescent analysis of 4% Paraformaldehyde-fixed, 0.1% TritonX-100 permeabilized NIH/3T3 cells labelling Aldolase with ab252953 at 1/50 dilution, followed by ab150077 Goat Anti-Rabbit IgG H&L (Alexa Fluor® 488) antibody at 1/1000 (2 ug/ml) dilution (Green). Confocal image showing strong cytoplasmic and weak nuclear staining in NIH/3T3 cells. ab195889 Anti-alpha Tubulin mouse monoclonal antibody - Microtubule Marker (Alexa Fluor® 594) was used to counterstain tubulin at 1/200 dilution (Red). The Nuclear counterstain was DAPI (Blue).

Secondary antibody only control : Secondary antibody is ab150077 Goat Anti-Rabbit IgG H&L (Alexa Fluor® 488) at 1/1000 (2 ug/ml) dilution.

This data was developed using the same antibody clone in a different buffer formulation containing PBS, BSA, glycerol, and sodium azide (ab252953).

Western blot - Anti-Aldolase antibody [EPR23181-39] - BSA and Azide free (AB273636)
  • WB

Lab

Western blot - Anti-Aldolase antibody [EPR23181-39] - BSA and Azide free (AB273636)

This data was developed using the same antibody clone in a different buffer formulation (ab252953 ).

Western blot : Anti-ALDOA antibody [EPR23181-39] (ab252953) staining at 1/1000 dilution, shown in green; Mouse anti-CANX [CANX/1543] (ab238078) loading control staining at 1/20000 dilution, shown in magenta. In Western blot, ab252953 was shown to bind specifically to ALDOA. First, samples were run on an SDS-PAGE gel then transferred onto a nitrocellulose membrane. Membranes were blocked in 5 % milk in TBS-0.1 % Tween® 20 (TBS-T) before incubation with primary antibodies overnight at 4 °C. Blots were washed four times in TBS-T, incubated with secondary antibodies for 1 h at room temperature, washed again four times then imaged. Secondary antibodies used were Goat anti-Rabbit IgG H&L 800CW and Goat anti-Mouse IgG H&L 680RD at 1/20000 dilution.

All lanes:

Western blot - Anti-Aldolase antibody [EPR23181-39] (<a href='/en-us/products/primary-antibodies/aldolase-antibody-epr23181-39-ab252953'>ab252953</a>) at 1/1000 dilution

Lane 1:

HEK-293T overexpressing ALDOA cell lysate at 20 µg

Lane 2:

HEK-293T control cell lysate at 20 µg

Lane 3:

MCF7 cell lysate at 20 µg

Lane 4:

HeLa cell lysate at 20 µg

Lane 5:

Human heart cell lysate at 20 µg

Observed band size: 45 kDa

false

Western blot - Anti-Aldolase antibody [EPR23181-39] - BSA and Azide free (AB273636)
  • WB

Lab

Western blot - Anti-Aldolase antibody [EPR23181-39] - BSA and Azide free (AB273636)

Blocking and diluting buffer and concentration : 5% NFDM/TBST.

Exposure times : Lanes 1-3 : 3 seconds; Lane 4-5 : 5.5 seconds.

This data was developed using the same antibody clone in a different buffer formulation containing PBS, BSA, glycerol, and sodium azide (ab252953).

All lanes:

Western blot - Anti-Aldolase antibody [EPR23181-39] (<a href='/en-us/products/primary-antibodies/aldolase-antibody-epr23181-39-ab252953'>ab252953</a>) at 1/1000 dilution

Lane 1:

Human brain tissue lysate at 40 µg

Lane 2:

Human skeletal muscle tissue lysate at 40 µg

Lane 3:

Mouse brain tissue lysate at 40 µg

Lane 4:

Mouse skeletal muscle tissue lysate at 40 µg

Lane 5:

Human colon cancer tissue lysate at 40 µg

Secondary

All lanes:

Goat Anti-Rabbit IgG, (H+L), Peroxidase conjugated (<a href='/en-us/products/secondary-antibodies/goat-rabbit-igg-h-l-hrp-ab97051'>ab97051</a>) at 1/50000 dilution

Predicted band size: 39 kDa

Observed band size: 39 kDa

false

Western blot - Anti-Aldolase antibody [EPR23181-39] - BSA and Azide free (AB273636)
  • WB

Lab

Western blot - Anti-Aldolase antibody [EPR23181-39] - BSA and Azide free (AB273636)

Blocking and diluting buffer and concentration : 5% NFDM/TBST.

Exposure times : Lanes 1-6 : 5.5 seconds; Lanes 7-8 : 26 seconds.

This data was developed using the same antibody clone in a different buffer formulation containing PBS, BSA, glycerol, and sodium azide (ab252953).

All lanes:

Western blot - Anti-Aldolase antibody [EPR23181-39] (<a href='/en-us/products/primary-antibodies/aldolase-antibody-epr23181-39-ab252953'>ab252953</a>) at 1/1000 dilution

Lane 1:

MCF7 (human breast adenocarcinoma epithelial cell) whole cell lysate at 40 µg

Lane 2:

HepG2 (human hepatocellular carcinoma epithelial cell) whole cell lysate at 40 µg

Lane 3:

SH-SY5Y (human neuroblastoma epithelial cell) whole cell lysate at 40 µg

Lane 4:

THP-1 (human monocytic leukemia monocyte) whole cell lysate at 40 µg

Lane 5:

C2C12 (mouse myoblasts myoblast) whole cell lysate at 40 µg

Lane 6:

C6 (rat glial tumor glial cell) whole cell lysate at 40 µg

Lane 7:

A549 (human lu carcinoma epithelial cell) whole cell lysate at 40 µg

Lane 8:

NIH/3T3 (mouse embryonic fibroblast) whole cell lysate at 40 µg

Secondary

All lanes:

Goat Anti-Rabbit IgG, (H+L), Peroxidase conjugated (<a href='/en-us/products/secondary-antibodies/goat-rabbit-igg-h-l-hrp-ab97051'>ab97051</a>) at 1/50000 dilution

Predicted band size: 39 kDa

Observed band size: 39 kDa

false

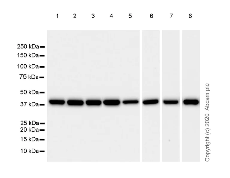
Western blot - Anti-Aldolase antibody [EPR23181-39] - BSA and Azide free (AB273636)
  • WB

Lab

Western blot - Anti-Aldolase antibody [EPR23181-39] - BSA and Azide free (AB273636)

Blocking and diluting buffer and concentration : 5% NFDM/TBST.

Exposure times : Lane 1 : 10 seconds; Lane 2 : 3 seconds.

This data was developed using the same antibody clone in a different buffer formulation containing PBS, BSA, glycerol, and sodium azide (ab252953).

All lanes:

Western blot - Anti-Aldolase antibody [EPR23181-39] (<a href='/en-us/products/primary-antibodies/aldolase-antibody-epr23181-39-ab252953'>ab252953</a>) at 1/1000 dilution

Lane 1:

Rat brain tissue lysate at 20 µg

Lane 2:

Rat skeletal muscle tissue lysate at 20 µg

Secondary

All lanes:

Goat Anti-Rabbit IgG, (H+L), Peroxidase conjugated (<a href='/en-us/products/secondary-antibodies/goat-rabbit-igg-h-l-hrp-ab97051'>ab97051</a>) at 1/100000 dilution

Predicted band size: 39 kDa

Observed band size: 39 kDa

false

  • Unconjugated

    Anti-Aldolase antibody [EPR23181-39]

  • 660 APC

    APC Anti-Aldolase antibody [EPR23181-39]

  • 617 Alexa Fluor® 594

    Alexa Fluor® 594 Anti-Aldolase antibody [EPR23181-39]

  • 565 Alexa Fluor® 555

    Alexa Fluor® 555 Anti-Aldolase antibody [EPR23181-39]

  • 775 Alexa Fluor® 750

    Alexa Fluor® 750 Anti-Aldolase antibody [EPR23181-39]

  • 519 Alexa Fluor® 488

    Alexa Fluor® 488 Anti-Aldolase antibody [EPR23181-39]

  • 665 Alexa Fluor® 647

    Alexa Fluor® 647 Anti-Aldolase antibody [EPR23181-39]

  • 578 PE

    PE Anti-Aldolase antibody [EPR23181-39]

Key facts

Host species

Rabbit

Clonality

Monoclonal

Clone number

EPR23181-39

Isotype

IgG

Carrier free

Yes

Reacts with

Mouse, Rat, Human

Applications

ICC/IF, Flow Cyt (Intra), WB, IHC-P

applications

Immunogen

The exact immunogen used to generate this antibody is proprietary information.

Reactivity data

{ "title": "Reactivity Data", "filters": { "stats": ["", "Species", "Dilution Info", "Notes"], "tabs": { "all-applications": {"fullname" : "All Applications", "shortname": "All Applications"}, "ICCIF" : {"fullname" : "Immunocytochemistry/ Immunofluorescence", "shortname":"ICC/IF"}, "IP" : {"fullname" : "Immunoprecipitation", "shortname":"IP"}, "WB" : {"fullname" : "Western blot", "shortname":"WB"}, "FlowCytIntra" : {"fullname" : "Flow Cytometry (Intracellular)", "shortname":"Flow Cyt (Intra)"}, "IHCP" : {"fullname" : "Immunohistochemistry (Formalin/PFA-fixed paraffin-embedded sections)", "shortname":"IHC-P"} }, "product-promise": { "all": "all", "testedAndGuaranteed": "tested", "guaranteed": "expected", "predicted": "predicted", "notRecommended": "not-recommended" } }, "values": { "Human": { "ICCIF-species-checked": "testedAndGuaranteed", "ICCIF-species-dilution-info": "", "ICCIF-species-notes": "<p></p>", "IP-species-checked": "notRecommended", "IP-species-dilution-info": "", "IP-species-notes": "<p></p>", "WB-species-checked": "testedAndGuaranteed", "WB-species-dilution-info": "", "WB-species-notes": "<p></p>", "FlowCytIntra-species-checked": "testedAndGuaranteed", "FlowCytIntra-species-dilution-info": "", "FlowCytIntra-species-notes": "<p></p>", "IHCP-species-checked": "testedAndGuaranteed", "IHCP-species-dilution-info": "", "IHCP-species-notes": "<p></p>" }, "Mouse": { "ICCIF-species-checked": "testedAndGuaranteed", "ICCIF-species-dilution-info": "", "ICCIF-species-notes": "<p></p>", "IP-species-checked": "notRecommended", "IP-species-dilution-info": "", "IP-species-notes": "<p></p>", "WB-species-checked": "testedAndGuaranteed", "WB-species-dilution-info": "", "WB-species-notes": "<p></p>", "FlowCytIntra-species-checked": "testedAndGuaranteed", "FlowCytIntra-species-dilution-info": "", "FlowCytIntra-species-notes": "<p></p>", "IHCP-species-checked": "testedAndGuaranteed", "IHCP-species-dilution-info": "", "IHCP-species-notes": "<p></p>" }, "Rat": { "ICCIF-species-checked": "guaranteed", "ICCIF-species-dilution-info": "", "ICCIF-species-notes": "", "IP-species-checked": "notRecommended", "IP-species-dilution-info": "", "IP-species-notes": "", "WB-species-checked": "testedAndGuaranteed", "WB-species-dilution-info": "", "WB-species-notes": "<p></p>", "FlowCytIntra-species-checked": "guaranteed", "FlowCytIntra-species-dilution-info": "", "FlowCytIntra-species-notes": "", "IHCP-species-checked": "testedAndGuaranteed", "IHCP-species-dilution-info": "", "IHCP-species-notes": "<p></p>" } } }

Product details

ab273636 is the carrier-free version of ab252953.

Patented technology
Our RabMAb® technology is a patented hybridoma-based technology for making rabbit monoclonal antibodies. For details on our patents, please refer to RabMAb® patents.

What are the advantages of a recombinant monoclonal antibody?
This product is a recombinant monoclonal antibody, which offers several advantages including:

  • - High batch-to-batch consistency and reproducibility
  • - Improved sensitivity and specificity
  • - Long-term security of supply
  • - Animal-free batch production

For more information, read more on recombinant antibodies.

Conjugation ready
Our carrier-free antibodies are typically supplied in a PBS-only formulation, purified and free of BSA, sodium azide and glycerol. This conjugation-ready format is designed for use with fluorochromes, metal isotopes, oligonucleotides, and enzymes, which makes them ideal for antibody labelling, functional and cell-based assays, flow-based assays (e.g. mass cytometry) and Multiplex Imaging applications.

Use our conjugation kits for antibody conjugates that are ready-to-use in as little as 20 minutes with 1 minute hands-on-time and 100% antibody recovery: available for fluorescent dyes, HRP, biotin and gold.

Compatibility
This product is compatible with the Maxpar® Antibody Labeling Kit from Fluidigm, without the need for antibody preparation. Maxpar® is a trademark of Fluidigm Canada Inc.

Properties and storage information

Form
Liquid
Purification technique
Affinity purification Protein A
Storage buffer
pH: 7.2 - 7.4 Constituents: PBS
Shipped at conditions
Blue Ice
Appropriate short-term storage conditions
+4°C
Appropriate long-term storage conditions
+4°C
Storage information
Do Not Freeze

Supplementary information

This supplementary information is collated from multiple sources and compiled automatically.

Aldolase also known as fructose-bisphosphate aldolase is an enzyme that plays a critical role in glycolysis catalyzing the reversible cleavage of fructose 16-bisphosphate into glyceraldehyde-3-phosphate and dihydroxyacetone phosphate. Aldolase is a homotetramer with a molecular mass of approximately 158 kDa. It is highly expressed in liver muscle and brain tissues. Aldolase consists of three isoforms: aldolase A B and C each predominant in different tissues contributing to tissue-specific roles within the organism.
Biological function summary

Aldolase catalyzes an important reaction in energy metabolism ensuring the continuation of glycolytic flux which is essential for ATP production. Aldolases do not form part of larger protein complexes. However they interact with other enzymes within the glycolytic pathway to facilitate a smooth metabolic flow. Moreover aldolase A plays an additional role in gluconeogenesis the pathway involved in synthesizing glucose from non-carbohydrate sources.

Pathways

Aldolase is an essential part of glycolysis and gluconeogenesis pathways. In glycolysis it partners with enzymes like phosphofructokinase and enolase to breakdown glucose for energy production. During gluconeogenesis aldolase works with enzymes including fructose-16-bisphosphatase to create glucose vital for maintaining blood sugar levels during fasting. Through these pathways aldolase ensures balance between energy-producing and energy-consuming states within the cell.

Mutations or deficiencies in aldolase particularly aldolase A have been linked to glycogen storage disease type XII which results in muscle weakness and exercise intolerance. Aldolase B deficiency is known to cause hereditary fructose intolerance leading to liver and renal complications. These conditions highlight the importance of aldolase in maintaining metabolic health with implications for proteins within the same pathways potentially affecting their functions and expression levels.

Product protocols

For this product, it's our understanding that no specific protocols are required. You can visit:

Target data

Catalyzes the reversible conversion of beta-D-fructose 1,6-bisphosphate (FBP) into two triose phosphate and plays a key role in glycolysis and gluconeogenesis (PubMed : 14766013). In addition, may also function as scaffolding protein (By similarity).
See full target information ALDOA

Product promise

We are committed to supporting your work with high-quality reagents, and we're here for you every step of the way. In the unlikely event that one of our products does not perform as expected, you're protected by our Product Promise.
For full details, please see our Terms & Conditions

Please note: All products are 'FOR RESEARCH USE ONLY. NOT FOR USE IN DIAGNOSTIC OR THERAPEUTIC PROCEDURES'.

For licensing inquiries, please contact partnerships@abcam.com