JavaScript is disabled in your browser. Please enable JavaScript to view this website.
AB133333

Anti-Aldolase B + Aldolase C antibody [EPR3137]

Be the first to review this product! Submit a review

|

(4 Publications)

Rabbit Recombinant Monoclonal Aldolase B antibody. Suitable for IHC-P, WB and reacts with Human, Recombinant full length protein - Human samples. Cited in 4 publications.

View Alternative Names

ALDB, ALDOB, Fructose-bisphosphate aldolase B, Liver-type aldolase, ALDC, ALDOC, Fructose-bisphosphate aldolase C, Brain-type aldolase

7 Images
Immunohistochemistry (Formalin/PFA-fixed paraffin-embedded sections) - Anti-Aldolase B + Aldolase C antibody [EPR3137] (AB133333)
  • IHC-P

Unknown

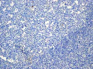
Immunohistochemistry (Formalin/PFA-fixed paraffin-embedded sections) - Anti-Aldolase B + Aldolase C antibody [EPR3137] (AB133333)

Immunohistochemical analysis of paraffin embedded normal Human tonsil tissue using ab133333 showing -ve staining.

Perform heat mediated antigen retrieval with citrate buffer pH 6 before commencing with IHC staining protocol.

Immunohistochemistry (Formalin/PFA-fixed paraffin-embedded sections) - Anti-Aldolase B + Aldolase C antibody [EPR3137] (AB133333)
  • IHC-P

Unknown

Immunohistochemistry (Formalin/PFA-fixed paraffin-embedded sections) - Anti-Aldolase B + Aldolase C antibody [EPR3137] (AB133333)

Immunohistochemical analysis of Formalin-fixed, paraffin-embedded Human fetal liver tissue staining Aldolase B + Aldolase C with ab133333 at 1/100 dilution.

Perform heat mediated antigen retrieval with citrate buffer pH 6 before commencing with IHC staining protocol.

Immunohistochemistry (Formalin/PFA-fixed paraffin-embedded sections) - Anti-Aldolase B + Aldolase C antibody [EPR3137] (AB133333)
  • IHC-P

Unknown

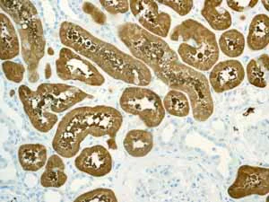
Immunohistochemistry (Formalin/PFA-fixed paraffin-embedded sections) - Anti-Aldolase B + Aldolase C antibody [EPR3137] (AB133333)

Immunohistochemical analysis of paraffin embedded normal Human kidney tissue using ab133333 showing +ve staining.

Perform heat mediated antigen retrieval with citrate buffer pH 6 before commencing with IHC staining protocol.

Immunohistochemistry (Formalin/PFA-fixed paraffin-embedded sections) - Anti-Aldolase B + Aldolase C antibody [EPR3137] (AB133333)
  • IHC-P

Unknown

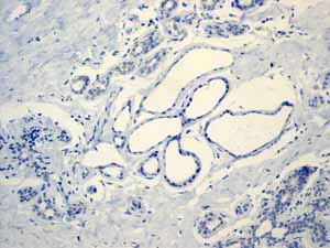
Immunohistochemistry (Formalin/PFA-fixed paraffin-embedded sections) - Anti-Aldolase B + Aldolase C antibody [EPR3137] (AB133333)

Immunohistochemical analysis of paraffin embedded normal Human breast tissue using ab133333 showing -ve staining.

Perform heat mediated antigen retrieval with citrate buffer pH 6 before commencing with IHC staining protocol.

Immunohistochemistry (Formalin/PFA-fixed paraffin-embedded sections) - Anti-Aldolase B + Aldolase C antibody [EPR3137] (AB133333)
  • IHC-P

Unknown

Immunohistochemistry (Formalin/PFA-fixed paraffin-embedded sections) - Anti-Aldolase B + Aldolase C antibody [EPR3137] (AB133333)

Immunohistochemical analysis of Formalin-fixed, paraffin-embedded Human adult liver tissue staining Aldolase B + Aldolase C with ab133333 at 1/100 dilution.

Perform heat mediated antigen retrieval with citrate buffer pH 6 before commencing with IHC staining protocol.

Western blot - Anti-Aldolase B + Aldolase C antibody [EPR3137] (AB133333)
  • WB

Unknown

Western blot - Anti-Aldolase B + Aldolase C antibody [EPR3137] (AB133333)

All lanes:

Western blot - Anti-Aldolase B + Aldolase C antibody [EPR3137] (ab133333) at 1/1000 dilution

Lane 1:

Human fetal liver cell lysate at 10 µg

Lane 2:

Human fetal kidney cell lysate at 10 µg

Secondary

All lanes:

Goat Anti-rabbit HRP at 1/2000 dilution

Predicted band size: 39 kDa

Observed band size: 40 kDa

false

Western blot - Anti-Aldolase B + Aldolase C antibody [EPR3137] (AB133333)
  • WB

Supplier Data

Western blot - Anti-Aldolase B + Aldolase C antibody [EPR3137] (AB133333)

Blocking and Diluting buffer and concentration : 5% NFDM /TBST.

All lanes:

Western blot - Anti-Aldolase B + Aldolase C antibody [EPR3137] (ab133333) at 1/1000 dilution

Lane 1:

Human Aldolase A full-length recombinant protein with His-Tag at 0.015 µg

Lane 2:

Human Aldolase B full-length recombinant protein with His-Tag at 0.015 µg

Lane 3:

Human Aldolase C full-length recombinant protein with His-Tag at 0.015 µg

Secondary

All lanes:

Western blot - Goat Anti-Rabbit IgG H&L (HRP) (<a href='/en-us/products/secondary-antibodies/goat-rabbit-igg-h-l-hrp-ab97051'>ab97051</a>) at 1/20000 dilution

Predicted band size: 39 kDa

Observed band size: 40 kDa

false

Exposure time: 1s

  • Carrier free

    Anti-Aldolase B+Aldolase C antibody [EPR3137] - BSA and Azide free

Key facts

Host species

Rabbit

Clonality

Monoclonal

Clone number

EPR3137

Isotype

IgG

Carrier free

No

Reacts with

Human

Applications

WB, IHC-P

applications

Immunogen

The exact immunogen used to generate this antibody is proprietary information.

Reactivity data

{ "title": "Reactivity Data", "filters": { "stats": ["", "Species", "Dilution Info", "Notes"], "tabs": { "all-applications": {"fullname" : "All Applications", "shortname": "All Applications"}, "IHCP" : {"fullname" : "Immunohistochemistry (Formalin/PFA-fixed paraffin-embedded sections)", "shortname":"IHC-P"}, "WB" : {"fullname" : "Western blot", "shortname":"WB"}, "IP" : {"fullname" : "Immunoprecipitation", "shortname":"IP"}, "ICCIF" : {"fullname" : "Immunocytochemistry/ Immunofluorescence", "shortname":"ICC/IF"}, "FlowCyt" : {"fullname" : "Flow Cytometry", "shortname":"Flow Cyt"} }, "product-promise": { "all": "all", "testedAndGuaranteed": "tested", "guaranteed": "expected", "predicted": "predicted", "notRecommended": "not-recommended" } }, "values": { "Human": { "IHCP-species-checked": "testedAndGuaranteed", "IHCP-species-dilution-info": "1/100 - 1/250", "IHCP-species-notes": "<p></p>", "WB-species-checked": "testedAndGuaranteed", "WB-species-dilution-info": "1/1000 - 1/2000", "WB-species-notes": "<p></p>", "IP-species-checked": "notRecommended", "IP-species-dilution-info": "", "IP-species-notes": "<p></p>", "ICCIF-species-checked": "notRecommended", "ICCIF-species-dilution-info": "", "ICCIF-species-notes": "<p></p>", "FlowCyt-species-checked": "notRecommended", "FlowCyt-species-dilution-info": "", "FlowCyt-species-notes": "<p></p>" }, "Mouse": { "IHCP-species-checked": "predicted", "IHCP-species-dilution-info": "", "IHCP-species-notes": "", "WB-species-checked": "predicted", "WB-species-dilution-info": "", "WB-species-notes": "", "IP-species-checked": "notRecommended", "IP-species-dilution-info": "", "IP-species-notes": "", "ICCIF-species-checked": "notRecommended", "ICCIF-species-dilution-info": "", "ICCIF-species-notes": "", "FlowCyt-species-checked": "notRecommended", "FlowCyt-species-dilution-info": "", "FlowCyt-species-notes": "" }, "Rat": { "IHCP-species-checked": "predicted", "IHCP-species-dilution-info": "", "IHCP-species-notes": "", "WB-species-checked": "predicted", "WB-species-dilution-info": "", "WB-species-notes": "", "IP-species-checked": "notRecommended", "IP-species-dilution-info": "", "IP-species-notes": "", "ICCIF-species-checked": "notRecommended", "ICCIF-species-dilution-info": "", "ICCIF-species-notes": "", "FlowCyt-species-checked": "notRecommended", "FlowCyt-species-dilution-info": "", "FlowCyt-species-notes": "" }, "Recombinant full length protein - Human": { "IHCP-species-checked": "notRecommended", "IHCP-species-dilution-info": "", "IHCP-species-notes": "", "WB-species-checked": "testedAndGuaranteed", "WB-species-dilution-info": "1/1000 - 1/2000", "WB-species-notes": "<p></p>", "IP-species-checked": "notRecommended", "IP-species-dilution-info": "", "IP-species-notes": "", "ICCIF-species-checked": "notRecommended", "ICCIF-species-dilution-info": "", "ICCIF-species-notes": "", "FlowCyt-species-checked": "notRecommended", "FlowCyt-species-dilution-info": "", "FlowCyt-species-notes": "" } } }

Product details

Patented technology
Our RabMAb® technology is a patented hybridoma-based technology for making rabbit monoclonal antibodies. For details on our patents, please refer to RabMAb® patents.

What are the advantages of a recombinant monoclonal antibody?
This product is a recombinant monoclonal antibody, which offers several advantages including:

  • - High batch-to-batch consistency and reproducibility
  • - Improved sensitivity and specificity
  • - Long-term security of supply
  • - Animal-free batch production

For more information, read more on recombinant antibodies.

Properties and storage information

Form
Liquid
Purification technique
Affinity purification Protein A
Storage buffer
pH: 7.2 - 7.4 Preservative: 0.05% Sodium azide Constituents: 50% Tissue culture supernatant, 40% Glycerol (glycerin, glycerine), 9.85% Tris glycine, 0.1% BSA
Shipped at conditions
Blue Ice
Appropriate short-term storage conditions
+4°C
Appropriate long-term storage conditions
-20°C
Storage information
Stable for 12 months at -20°C

Supplementary information

This supplementary information is collated from multiple sources and compiled automatically.

Aldolase B also known as fructose-bisphosphate aldolase B and Aldolase C or fructose-bisphosphate aldolase C are key enzymes in glycolysis and gluconeogenesis pathways. These enzymes are part of the aldolase family and share high sequence homology. Aldolase B has a molecular mass of approximately 36-40 kDa and is primarily expressed in the liver whereas Aldolase C is majorly found in the brain particularly within neurons. They function to catalyze the cleavage of fructose-16-bisphosphate into glyceraldehyde-3-phosphate and dihydroxyacetone phosphate critical steps in energy metabolism.
Biological function summary

Aldolase B and C perform major roles in cellular energy production and metabolism. Aldolase B facilitates the conversion of fructose into glycolytic intermediates aiding glycogen synthesis and gluconeogenesis in the liver. Aldolase C contributes to glucose metabolism in the brain supporting neural activities and functions. While they do not form stable complexes these enzymes occasionally interact transiently with other metabolic proteins to fulfill cellular functions.

Pathways

Aldolase B and C integrate into glycolysis and gluconeogenesis fundamental biological pathways for energy conversion. Aldolase B enables fructose utilization by linking with enzymes like fructokinase and glucose-6-phosphatase during gluconeogenesis. Aldolase C participates in the glycolytic pathway associated with enzymes such as hexokinase supporting glucose breakdown during brain metabolism. Both enzymes maintain energy homeostasis within their respective tissues contributing to overall metabolic balance.

Aldolase B relates closely to hereditary fructose intolerance a genetic condition characterized by an inability to metabolize fructose properly in the liver. The deficiency or dysfunction of Aldolase B results in toxic accumulations impacting liver function. Aldolase C is associated with glioblastoma where its increased expression plays a role in tumor metabolism and growth. In the context of hereditary fructose intolerance Aldolase B is linked to fructokinase due to their sequential mechanisms in fructose metabolism while Aldolase C’s association in glioblastoma connects with altered metabolic pathways within cancerous cells.

Product protocols

For this product, it's our understanding that no specific protocols are required. You can visit:

Target data

Catalyzes the aldol cleavage of fructose 1,6-biphosphate to form two triosephosphates dihydroxyacetone phosphate and D-glyceraldehyde 3-phosphate in glycolysis as well as the reverse stereospecific aldol addition reaction in gluconeogenesis. In fructolysis, metabolizes fructose 1-phosphate derived from the phosphorylation of dietary fructose by fructokinase into dihydroxyacetone phosphate and D-glyceraldehyde (PubMed : 10970798, PubMed : 12205126, PubMed : 20848650). Acts as an adapter independently of its enzymatic activity, exerts a tumor suppressor role by stabilizing the ternary complex with G6PD and TP53 to inhibit G6PD activity and keep oxidative pentose phosphate metabolism in check (PubMed : 35122041).
See full target information ALDOB

Additional targets

ALDOC

Publications (4)

Recent publications for all applications. Explore the full list and refine your search

Cancers 11: PubMed31450822

2019

Enrichment of Aldolase C Correlates with Low Non-Mutated IDH1 Expression and Predicts a Favorable Prognosis in Glioblastomas.

Applications

Unspecified application

Species

Unspecified reactive species

Yu-Chan Chang,Hsing-Fang Tsai,Shang-Pen Huang,Chi-Long Chen,Michael Hsiao,Wen-Chiuan Tsai

Cellular physiology and biochemistry : international journal of experimental cellular physiology, biochemistry, and pharmacology 42:397-406 PubMed28558381

2017

Aldolase B Overexpression is Associated with Poor Prognosis and Promotes Tumor Progression by Epithelial-Mesenchymal Transition in Colorectal Adenocarcinoma.

Applications

Unspecified application

Species

Unspecified reactive species

Qingguo Li,Yaqi Li,Junyan Xu,Sheng Wang,Ye Xu,Xinxiang Li,Sanjun Cai

Journal of Cancer 8:1197-1204 PubMed28607594

2017

High Expression of Aldolase B Confers a Poor Prognosis for Rectal Cancer Patients Receiving Neoadjuvant Chemoradiotherapy.

Applications

IHC-P

Species

Human

Yu-Feng Tian,Pei-Ling Hsieh,Ching-Yih Lin,Ding-Ping Sun,Ming-Jen Sheu,Ching-Chieh Yang,Li-Ching Lin,Hong-Lin He,Julia Solórzano,Chien-Feng Li,I-Wei Chang

Journal of proteomics 106:99-112 PubMed24769235

2014

The role of von Willebrand factor as a biomarker of tumor development in hepatitis B virus-associated human hepatocellular carcinoma: a quantitative proteomic based study.

Applications

IHC, WB

Species

Human, Human

Yi Liu,Xiwei Wang,Sanglin Li,Huaidong Hu,Dazhi Zhang,Peng Hu,Yixuan Yang,Hong Ren
View all publications

Product promise

We are committed to supporting your work with high-quality reagents, and we're here for you every step of the way. In the unlikely event that one of our products does not perform as expected, you're protected by our Product Promise.
For full details, please see our Terms & Conditions

Please note: All products are 'FOR RESEARCH USE ONLY. NOT FOR USE IN DIAGNOSTIC OR THERAPEUTIC PROCEDURES'.

For licensing inquiries, please contact partnerships@abcam.com