JavaScript is disabled in your browser. Please enable JavaScript to view this website.
AB75751

Anti-Aldolase B + Aldolase C antibody [EPR3138Y]

5

(2 Reviews)

|

(10 Publications)

Rabbit Recombinant Monoclonal Aldolase B antibody. Suitable for IHC-P, WB, Flow Cyt and reacts with Mouse, Rat, Human samples. Cited in 10 publications.

View Alternative Names

ALDB, ALDOB, Fructose-bisphosphate aldolase B, Liver-type aldolase

6 Images
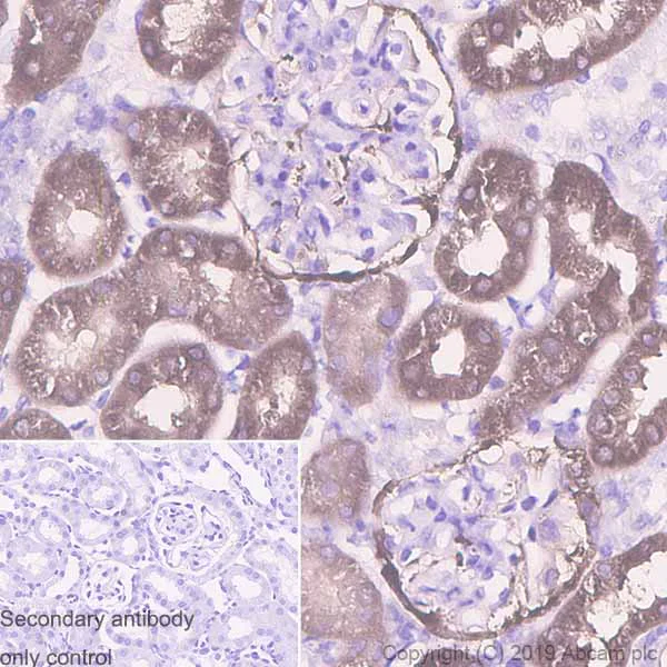
Immunohistochemistry (Formalin/PFA-fixed paraffin-embedded sections) - Anti-Aldolase B + Aldolase C antibody [EPR3138Y] (AB75751)
  • IHC-P

Lab

Immunohistochemistry (Formalin/PFA-fixed paraffin-embedded sections) - Anti-Aldolase B + Aldolase C antibody [EPR3138Y] (AB75751)

Immunohistochemistry (Formalin/PFA-fixed paraffin-embedded sections) analysis of human kidney tissue sections labeling Aldolase B with Purified ab75751 at 1 : 100 dilution (1.47 µg/ml). Perform heat mediated antigen retrieval using ab93684 (Tris/EDTA buffer, pH 9.0). ImmunoHistoProbe one step HRP Polymer (ready to use) was used as the secondary antibody. Negative control : PBS instead of the primary antibody. Hematoxylin was used as a counterstain.

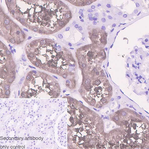
Immunohistochemistry (Formalin/PFA-fixed paraffin-embedded sections) - Anti-Aldolase B + Aldolase C antibody [EPR3138Y] (AB75751)
  • IHC-P

Lab

Immunohistochemistry (Formalin/PFA-fixed paraffin-embedded sections) - Anti-Aldolase B + Aldolase C antibody [EPR3138Y] (AB75751)

Immunohistochemistry (Formalin/PFA-fixed paraffin-embedded sections) analysis of mouse kidney tissue sections labeling Aldolase B with Purified ab75751 at 1 : 100 dilution (1.47 µg/ml). Perform heat mediated antigen retrieval using ab93684 (Tris/EDTA buffer, pH 9.0). ImmunoHistoProbe one step HRP Polymer (ready to use) was used as the secondary antibody. Negative control : PBS instead of the primary antibody. Hematoxylin was used as a counterstain.

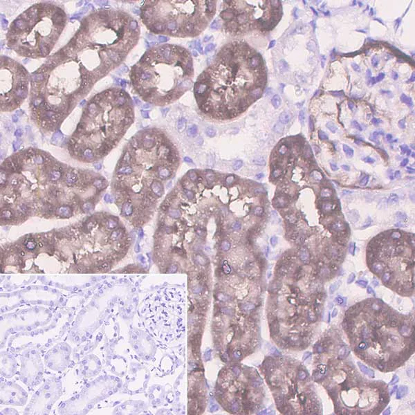
Immunohistochemistry (Formalin/PFA-fixed paraffin-embedded sections) - Anti-Aldolase B + Aldolase C antibody [EPR3138Y] (AB75751)
  • IHC-P

Lab

Immunohistochemistry (Formalin/PFA-fixed paraffin-embedded sections) - Anti-Aldolase B + Aldolase C antibody [EPR3138Y] (AB75751)

Immunohistochemistry (Formalin/PFA-fixed paraffin-embedded sections) analysis of rat kidney tissue sections labeling Aldolase B with Purified ab75751 at 1 : 100 dilution (1.47 µg/ml). Perform heat mediated antigen retrieval using ab93684 (Tris/EDTA buffer, pH 9.0). ImmunoHistoProbe one step HRP Polymer (ready to use) was used as the secondary antibody. Negative control : PBS instead of the primary antibody. Hematoxylin was used as a counterstain.

Western blot - Anti-Aldolase B + Aldolase C antibody [EPR3138Y] (AB75751)
  • WB

Unknown

Western blot - Anti-Aldolase B + Aldolase C antibody [EPR3138Y] (AB75751)

Blocking Buffer and concentration : 5% NFDM/TBST

All lanes:

Western blot - Anti-Aldolase B + Aldolase C antibody [EPR3138Y] (ab75751) at 1/1000 dilution

Lane 1:

Human kidney lysate at 20 µg

Lane 2:

Mouse kidney lysate at 20 µg

Lane 3:

Rat kidney lysate at 20 µg

Secondary

All lanes:

Goat Anti-Rabbit IgG (HRP) with minimal cross-reactivity with human IgG at 1/2000 dilution

Observed band size: 39 kDa

false

Western blot - Anti-Aldolase B + Aldolase C antibody [EPR3138Y] (AB75751)
  • WB

Unknown

Western blot - Anti-Aldolase B + Aldolase C antibody [EPR3138Y] (AB75751)

Blocking and diluting buffer and concentration : 5% NFDM/TBST

All lanes:

Western blot - Anti-Aldolase B + Aldolase C antibody [EPR3138Y] (ab75751) at 1/200 dilution

Lane 1:

His-tagged human Aldolase A full-length recombinant protein at 0.01 µg

Lane 2:

His-tagged human Aldolase B full-length recombinant protein at 0.01 µg

Lane 3:

His-tagged human Aldolase C full-length recombinant protein at 0.01 µg

Secondary

All lanes:

Western blot - Goat Anti-Rabbit IgG H&L (HRP) (<a href='/en-us/products/secondary-antibodies/goat-rabbit-igg-h-l-hrp-ab97051'>ab97051</a>) at 1/20000 dilution

Observed band size: 40 kDa

false

Exposure time: 40s

Western blot - Anti-Aldolase B + Aldolase C antibody [EPR3138Y] (AB75751)
  • WB

CiteAb

Western blot - Anti-Aldolase B + Aldolase C antibody [EPR3138Y] (AB75751)

Aldolase B + Aldolase C western blot using anti-Aldolase B + Aldolase C antibody [EPR3138Y] ab75751. Publication image and figure legend from Wang, C., Yang, S., et al., 2014, PLoS One, PubMed 24983750.

ab75751 was used in this publication in western blot. This may not be the same as the application(s) guaranteed by Abcam. For a full list of applications guaranteed by Abcam for ab75751 please see the product overview.

Hepatic genes and proteins differentially expressed between DMCtrl and DMSe groups.(A) The heat map depicts differences in mRNA expression levels according to brightness (green, downregulated; red, upregulated compared with DMCtrl mice). (B) qRT-PCR analysis of Scd1, Pltp, Aldob, Glul, Gsta1 and InsR, which were selected to validate the cDNA microarray data from the liver. The data indicate excellent consistency between the two techniques. Three replicates were performed for each mouse (eight mice per group). Gapdh was used as an internal reference gene. The results are presented as the relative changes in mRNA expression levels in DMSe vs. DMCtrl mice. (C) Representative western blots and (D) quantitation of selected proteins. There was agreement in the expression levels of GLUL and ALDOB as detected using 2D-DIGE and western blot analyses. SCD1 and GSTA1/2 displayed the same differences in expression level seen in the microarray data. GAPDH was used as an internal reference. The intensity of protein bands was quantified by densitometry using Gel-Pro Analyzer software v. 4.1 (Media Cybernetics, Washington, USA), and the results are presented as the ratio of densitometric values from DMSe to DMCtrl. The asterisk (*) represents values shown to be significantly different from DMCtrl by the Student t test (*p<0.05, **p<0.01, ***p<0.001).

false

  • Carrier free

    Anti-Aldolase B + Aldolase C antibody [EPR3138Y] - BSA and Azide free

  • 660 APC

    APC Anti-Aldolase B antibody [EPR3138Y]

  • HRP

    HRP Anti-Aldolase B antibody [EPR3138Y]

  • 578 PE

    PE Anti-Aldolase B antibody [EPR3138Y]

Key facts

Host species

Rabbit

Clonality

Monoclonal

Clone number

EPR3138Y

Isotype

IgG

Carrier free

No

Reacts with

Mouse, Rat, Human

Applications

Flow Cyt, IHC-P, WB

applications

Immunogen

The exact immunogen used to generate this antibody is proprietary information.

Reactivity data

{ "title": "Reactivity Data", "filters": { "stats": ["", "Species", "Dilution Info", "Notes"], "tabs": { "all-applications": {"fullname" : "All Applications", "shortname": "All Applications"}, "IHCP" : {"fullname" : "Immunohistochemistry (Formalin/PFA-fixed paraffin-embedded sections)", "shortname":"IHC-P"}, "WB" : {"fullname" : "Western blot", "shortname":"WB"}, "FlowCyt" : {"fullname" : "Flow Cytometry", "shortname":"Flow Cyt"} }, "product-promise": { "all": "all", "testedAndGuaranteed": "tested", "guaranteed": "expected", "predicted": "predicted", "notRecommended": "not-recommended" } }, "values": { "Human": { "IHCP-species-checked": "testedAndGuaranteed", "IHCP-species-dilution-info": "1/100 - 1/250", "IHCP-species-notes": "<p></p> Perform heat-mediated antigen retrieval with citrate buffer pH 6 before commencing with IHC staining protocol.", "WB-species-checked": "testedAndGuaranteed", "WB-species-dilution-info": "1/1000", "WB-species-notes": "<p><strong>For unpurified use at 1/500 - 1/1000.</strong></p>", "FlowCyt-species-checked": "guaranteed", "FlowCyt-species-dilution-info": "", "FlowCyt-species-notes": "<p><a href='/en-us/products/primary-antibodies/rabbit-igg-monoclonal-epr25a-isotype-control-ab172730'>ab172730</a> - Rabbit monoclonal IgG, is suitable for use as an isotype control with this antibody.</p>" }, "Mouse": { "IHCP-species-checked": "testedAndGuaranteed", "IHCP-species-dilution-info": "1/100 - 1/250", "IHCP-species-notes": "<p></p> Perform heat-mediated antigen retrieval with citrate buffer pH 6 before commencing with IHC staining protocol.", "WB-species-checked": "testedAndGuaranteed", "WB-species-dilution-info": "1/1000", "WB-species-notes": "<p><strong>For unpurified use at 1/500 - 1/1000.</strong></p>", "FlowCyt-species-checked": "guaranteed", "FlowCyt-species-dilution-info": "", "FlowCyt-species-notes": "<p><a href='/en-us/products/primary-antibodies/rabbit-igg-monoclonal-epr25a-isotype-control-ab172730'>ab172730</a> - Rabbit monoclonal IgG, is suitable for use as an isotype control with this antibody.</p>" }, "Rat": { "IHCP-species-checked": "testedAndGuaranteed", "IHCP-species-dilution-info": "1/100 - 1/250", "IHCP-species-notes": "<p></p> Perform heat-mediated antigen retrieval with citrate buffer pH 6 before commencing with IHC staining protocol.", "WB-species-checked": "testedAndGuaranteed", "WB-species-dilution-info": "1/1000", "WB-species-notes": "<p><strong>For unpurified use at 1/500 - 1/1000.</strong></p>", "FlowCyt-species-checked": "guaranteed", "FlowCyt-species-dilution-info": "", "FlowCyt-species-notes": "<p><a href='/en-us/products/primary-antibodies/rabbit-igg-monoclonal-epr25a-isotype-control-ab172730'>ab172730</a> - Rabbit monoclonal IgG, is suitable for use as an isotype control with this antibody.</p>" } } }

Product details

Patented technology
Our RabMAb® technology is a patented hybridoma-based technology for making rabbit monoclonal antibodies. For details on our patents, please refer to RabMAb® patents.

What are the advantages of a recombinant monoclonal antibody?
This product is a recombinant monoclonal antibody, which offers several advantages including:

  • - High batch-to-batch consistency and reproducibility
  • - Improved sensitivity and specificity
  • - Long-term security of supply
  • - Animal-free batch production

For more information, read more on recombinant antibodies.

Properties and storage information

Form
Liquid
Purification technique
Affinity purification Protein A
Storage buffer
pH: 7.2 - 7.4 Preservative: 0.01% Sodium azide Constituents: PBS, 40% Glycerol (glycerin, glycerine), 0.05% BSA
Shipped at conditions
Blue Ice
Appropriate short-term storage duration
1-2 weeks
Appropriate short-term storage conditions
+4°C
Appropriate long-term storage conditions
-20°C
Aliquoting information
Upon delivery aliquot
Storage information
Avoid freeze / thaw cycle

Supplementary information

This supplementary information is collated from multiple sources and compiled automatically.

Aldolase B also known as fructose-bisphosphate aldolase B and Aldolase C or fructose-bisphosphate aldolase C are key enzymes in glycolysis and gluconeogenesis pathways. These enzymes are part of the aldolase family and share high sequence homology. Aldolase B has a molecular mass of approximately 36-40 kDa and is primarily expressed in the liver whereas Aldolase C is majorly found in the brain particularly within neurons. They function to catalyze the cleavage of fructose-16-bisphosphate into glyceraldehyde-3-phosphate and dihydroxyacetone phosphate critical steps in energy metabolism.
Biological function summary

Aldolase B and C perform major roles in cellular energy production and metabolism. Aldolase B facilitates the conversion of fructose into glycolytic intermediates aiding glycogen synthesis and gluconeogenesis in the liver. Aldolase C contributes to glucose metabolism in the brain supporting neural activities and functions. While they do not form stable complexes these enzymes occasionally interact transiently with other metabolic proteins to fulfill cellular functions.

Pathways

Aldolase B and C integrate into glycolysis and gluconeogenesis fundamental biological pathways for energy conversion. Aldolase B enables fructose utilization by linking with enzymes like fructokinase and glucose-6-phosphatase during gluconeogenesis. Aldolase C participates in the glycolytic pathway associated with enzymes such as hexokinase supporting glucose breakdown during brain metabolism. Both enzymes maintain energy homeostasis within their respective tissues contributing to overall metabolic balance.

Aldolase B relates closely to hereditary fructose intolerance a genetic condition characterized by an inability to metabolize fructose properly in the liver. The deficiency or dysfunction of Aldolase B results in toxic accumulations impacting liver function. Aldolase C is associated with glioblastoma where its increased expression plays a role in tumor metabolism and growth. In the context of hereditary fructose intolerance Aldolase B is linked to fructokinase due to their sequential mechanisms in fructose metabolism while Aldolase C’s association in glioblastoma connects with altered metabolic pathways within cancerous cells.

Product protocols

For this product, it's our understanding that no specific protocols are required. You can visit:

Target data

Catalyzes the aldol cleavage of fructose 1,6-biphosphate to form two triosephosphates dihydroxyacetone phosphate and D-glyceraldehyde 3-phosphate in glycolysis as well as the reverse stereospecific aldol addition reaction in gluconeogenesis. In fructolysis, metabolizes fructose 1-phosphate derived from the phosphorylation of dietary fructose by fructokinase into dihydroxyacetone phosphate and D-glyceraldehyde (PubMed : 10970798, PubMed : 12205126, PubMed : 20848650). Acts as an adapter independently of its enzymatic activity, exerts a tumor suppressor role by stabilizing the ternary complex with G6PD and TP53 to inhibit G6PD activity and keep oxidative pentose phosphate metabolism in check (PubMed : 35122041).
See full target information ALDOB

Additional targets

ALDOC

Publications (10)

Recent publications for all applications. Explore the full list and refine your search

Science advances 9:eadd6480 PubMed37595032

2023

Organoid cell fate dynamics in space and time.

Applications

Unspecified application

Species

Unspecified reactive species

Xuan Zheng,Max A Betjes,Pascal Ender,Yvonne J Goos,Guizela Huelsz-Prince,Hans Clevers,Jeroen S van Zon,Sander J Tans

EMBO reports 24:e56454 PubMed37493498

2023

Terminal differentiation of villus tip enterocytes is governed by distinct Tgfβ superfamily members.

Applications

Unspecified application

Species

Unspecified reactive species

Linda Berková,Hassan Fazilaty,Qiutan Yang,Jan Kubovčiak,Monika Stastna,Dusan Hrckulak,Martina Vojtechova,Tosca Dalessi,Michael David Brügger,George Hausmann,Prisca Liberali,Vladimir Korinek,Konrad Basler,Tomas Valenta

Nature communications 14:3745 PubMed37353491

2023

Intracellular pH dynamics regulates intestinal stem cell lineage specification.

Applications

Unspecified application

Species

Unspecified reactive species

Yi Liu,Efren Reyes,David Castillo-Azofeifa,Ophir D Klein,Todd Nystul,Diane L Barber

Biology open 11: PubMed36350252

2022

The extracellular matrix controls stem cell specification and crypt morphology in the developing and adult mouse gut.

Applications

Unspecified application

Species

Unspecified reactive species

Rana Ramadan,Valérie M Wouters,Sanne M van Neerven,Nina E de Groot,Tania Martins Garcia,Vanessa Muncan,Olivia D Franklin,Michelle Battle,Karen Sue Carlson,Joshua Leach,Owen J Sansom,Olivier Boulard,Mathias Chamaillard,Louis Vermeulen,Jan Paul Medema,David J Huels

Nature communications 13:4492 PubMed35918345

2022

Ribosome impairment regulates intestinal stem cell identity via ZAKɑ activation.

Applications

Unspecified application

Species

Unspecified reactive species

Joana Silva,Ferhat Alkan,Sofia Ramalho,Goda Snieckute,Stefan Prekovic,Ana Krotenberg Garcia,Santiago Hernández-Pérez,Rob van der Kammen,Danielle Barnum,Liesbeth Hoekman,Maarten Altelaar,Wilbert Zwart,Saskia Jacoba Elisabeth Suijkerbuijk,Simon Bekker-Jensen,William James Faller

Cell stem cell 29:1067-1082.e18 PubMed35728595

2022

Lymphatics act as a signaling hub to regulate intestinal stem cell activity.

Applications

Unspecified application

Species

Unspecified reactive species

Rachel E Niec,Tinyi Chu,Marina Schernthanner,Shiri Gur-Cohen,Lynette Hidalgo,Hilda Amalia Pasolli,Kathleen A Luckett,Zhong Wang,Sohni R Bhalla,Francesco Cambuli,Raghu P Kataru,Karuna Ganesh,Babak J Mehrara,Dana Pe'er,Elaine Fuchs

STAR protocols 2:100997 PubMed34917977

2021

Generation of mixed murine organoids to model cellular interactions.

Applications

Unspecified application

Species

Unspecified reactive species

Ana Krotenberg Garcia,Jacco van Rheenen,Saskia Jacoba Elisabeth Suijkerbuijk

Neoplasia (New York, N.Y.) 23:1240-1251 PubMed34768110

2021

Proteome biology of primary colorectal carcinoma and corresponding liver metastases.

Applications

Unspecified application

Species

Unspecified reactive species

Matthias Fahrner,Peter Bronsert,Stefan Fichtner-Feigl,Andreas Jud,Oliver Schilling

PloS one 9:e101315 PubMed24983750

2014

Long-term supranutritional supplementation with selenate decreases hyperglycemia and promotes fatty liver degeneration by inducing hyperinsulinemia in diabetic db/db mice.

Applications

WB

Species

Unspecified reactive species

Chaoqun Wang,Shulin Yang,Ningbo Zhang,Yulian Mu,Hongyan Ren,Yefu Wang,Kui Li

PloS one 5:e10696 PubMed20502531

2010

Pathway signature and cellular differentiation in clear cell renal cell carcinoma.

Applications

IHC-P

Species

Human

Han W Tun,Laura A Marlow,Christina A von Roemeling,Simon J Cooper,Pamela Kreinest,Kevin Wu,Bruce A Luxon,Mala Sinha,Panos Z Anastasiadis,John A Copland
View all publications

Product promise

We are committed to supporting your work with high-quality reagents, and we're here for you every step of the way. In the unlikely event that one of our products does not perform as expected, you're protected by our Product Promise.
For full details, please see our Terms & Conditions

Please note: All products are 'FOR RESEARCH USE ONLY. NOT FOR USE IN DIAGNOSTIC OR THERAPEUTIC PROCEDURES'.

For licensing inquiries, please contact partnerships@abcam.com