JavaScript is disabled in your browser. Please enable JavaScript to view this website.
AB223527

Anti-Aldolase B + Aldolase C antibody [EPR3138Y] - BSA and Azide free

Be the first to review this product! Submit a review

|

(1 Publication)

Rabbit Recombinant Monoclonal Aldolase B antibody. Carrier free. Suitable for IHC-P, WB, Flow Cyt and reacts with Mouse, Rat, Human samples. Cited in 1 publication.

View Alternative Names

ALDB, ALDOB, Fructose-bisphosphate aldolase B, Liver-type aldolase

5 Images
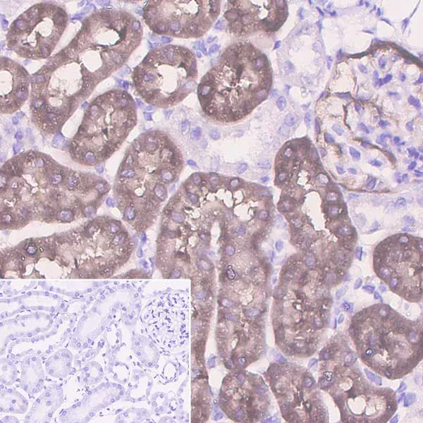
Immunohistochemistry (Formalin/PFA-fixed paraffin-embedded sections) - Anti-Aldolase B + Aldolase C antibody [EPR3138Y] - BSA and Azide free (AB223527)
  • IHC-P

Lab

Immunohistochemistry (Formalin/PFA-fixed paraffin-embedded sections) - Anti-Aldolase B + Aldolase C antibody [EPR3138Y] - BSA and Azide free (AB223527)

This data was developed using ab75751, the same antibody clone in a different buffer formulation.
Immunohistochemistry (Formalin/PFA-fixed paraffin-embedded sections) analysis of human kidney tissue sections labeling Aldolase B with Purified ab223527 at 1 : 100 dilution (1.47 μg/ml). Perform heat mediated antigen retrieval using ab93684 (Tris/EDTA buffer, pH 9.0). ImmunoHistoProbe one step HRP Polymer (ready to use) was used as the secondary antibody. Negative control : PBS instead of the primary antibody. Hematoxylin was used as a counterstain.

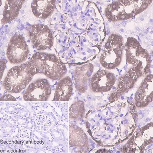
Immunohistochemistry (Formalin/PFA-fixed paraffin-embedded sections) - Anti-Aldolase B + Aldolase C antibody [EPR3138Y] - BSA and Azide free (AB223527)
  • IHC-P

Lab

Immunohistochemistry (Formalin/PFA-fixed paraffin-embedded sections) - Anti-Aldolase B + Aldolase C antibody [EPR3138Y] - BSA and Azide free (AB223527)

This data was developed using ab75751, the same antibody clone in a different buffer formulation.
Immunohistochemistry (Formalin/PFA-fixed paraffin-embedded sections) analysis of mouse kidney tissue sections labeling Aldolase B with Purified ab223527 at 1 : 100 dilution (1.47 μg/ml). Perform heat mediated antigen retrieval using ab93684 (Tris/EDTA buffer, pH 9.0). ImmunoHistoProbe one step HRP Polymer (ready to use) was used as the secondary antibody. Negative control : PBS instead of the primary antibody. Hematoxylin was used as a counterstain.

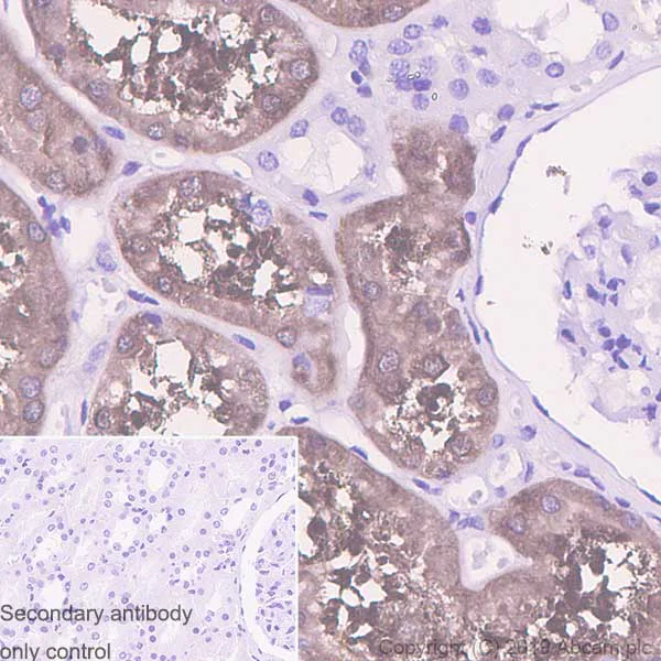
Immunohistochemistry (Formalin/PFA-fixed paraffin-embedded sections) - Anti-Aldolase B + Aldolase C antibody [EPR3138Y] - BSA and Azide free (AB223527)
  • IHC-P

Lab

Immunohistochemistry (Formalin/PFA-fixed paraffin-embedded sections) - Anti-Aldolase B + Aldolase C antibody [EPR3138Y] - BSA and Azide free (AB223527)

This data was developed using ab75751, the same antibody clone in a different buffer formulation.
Immunohistochemistry (Formalin/PFA-fixed paraffin-embedded sections) analysis of rat kidney tissue sections labeling Aldolase B with Purified ab223527 at 1 : 100 dilution (1.47 μg/ml). Perform heat mediated antigen retrieval using ab93684 (Tris/EDTA buffer, pH 9.0). ImmunoHistoProbe one step HRP Polymer (ready to use) was used as the secondary antibody. Negative control : PBS instead of the primary antibody. Hematoxylin was used as a counterstain.

Western blot - Anti-Aldolase B + Aldolase C antibody [EPR3138Y] - BSA and Azide free (AB223527)
  • WB

Unknown

Western blot - Anti-Aldolase B + Aldolase C antibody [EPR3138Y] - BSA and Azide free (AB223527)

This data was developed using ab75751, the same antibody clone in a different buffer formulation.

Blocking Buffer and concentration : 5% NFDM/TBST

All lanes:

Western blot - Anti-Aldolase B + Aldolase C antibody [EPR3138Y] (<a href='/en-us/products/primary-antibodies/aldolase-b-aldolase-c-antibody-epr3138y-ab75751'>ab75751</a>) at 1/1000 dilution

Lane 1:

Human kidney lysate at 20 µg

Lane 2:

Mouse kidney lysate at 20 µg

Lane 3:

Rat kidney lysate at 20 µg

Secondary

All lanes:

Goat Anti-Rabbit IgG (HRP) with minimal cross-reactivity with human IgG at 1/2000 dilution

Observed band size: 39 kDa

false

Western blot - Anti-Aldolase B + Aldolase C antibody [EPR3138Y] - BSA and Azide free (AB223527)
  • WB

Unknown

Western blot - Anti-Aldolase B + Aldolase C antibody [EPR3138Y] - BSA and Azide free (AB223527)

This data was developed using ab75751, the same antibody clone in a different buffer formulation.

All lanes:

Western blot - Anti-Aldolase B + Aldolase C antibody [EPR3138Y] (<a href='/en-us/products/primary-antibodies/aldolase-b-aldolase-c-antibody-epr3138y-ab75751'>ab75751</a>) at 1/200 dilution

Lane 1:

His-tagged human Aldolase A full-length recombinant protein at 0.01 µg

Lane 2:

His-tagged human Aldolase B full-length recombinant protein at 0.01 µg

Lane 3:

His-tagged human Aldolase C full-length recombinant protein at 0.01 µg

Secondary

All lanes:

Western blot - Goat Anti-Rabbit IgG H&L (HRP) (<a href='/en-us/products/secondary-antibodies/goat-rabbit-igg-h-l-hrp-ab97051'>ab97051</a>) at 1/20000 dilution

Observed band size: 40 kDa

false

Exposure time: 40s

  • Unconjugated

    Anti-Aldolase B + Aldolase C antibody [EPR3138Y]

  • 660 APC

    APC Anti-Aldolase B antibody [EPR3138Y]

  • HRP

    HRP Anti-Aldolase B antibody [EPR3138Y]

  • 578 PE

    PE Anti-Aldolase B antibody [EPR3138Y]

Key facts

Host species

Rabbit

Clonality

Monoclonal

Clone number

EPR3138Y

Isotype

IgG

Carrier free

Yes

Reacts with

Mouse, Rat, Human

Applications

IHC-P, Flow Cyt, WB

applications

Immunogen

The exact immunogen used to generate this antibody is proprietary information.

Reactivity data

{ "title": "Reactivity Data", "filters": { "stats": ["", "Species", "Dilution Info", "Notes"], "tabs": { "all-applications": {"fullname" : "All Applications", "shortname": "All Applications"}, "IHCP" : {"fullname" : "Immunohistochemistry (Formalin/PFA-fixed paraffin-embedded sections)", "shortname":"IHC-P"}, "WB" : {"fullname" : "Western blot", "shortname":"WB"}, "FlowCyt" : {"fullname" : "Flow Cytometry", "shortname":"Flow Cyt"} }, "product-promise": { "all": "all", "testedAndGuaranteed": "tested", "guaranteed": "expected", "predicted": "predicted", "notRecommended": "not-recommended" } }, "values": { "Human": { "IHCP-species-checked": "testedAndGuaranteed", "IHCP-species-dilution-info": "", "IHCP-species-notes": "<p></p>", "WB-species-checked": "testedAndGuaranteed", "WB-species-dilution-info": "", "WB-species-notes": "<p></p>", "FlowCyt-species-checked": "guaranteed", "FlowCyt-species-dilution-info": "", "FlowCyt-species-notes": "<p><a href='/en-us/products/primary-antibodies/rabbit-igg-monoclonal-epr25a-isotype-control-ab172730'>ab172730</a> - Rabbit monoclonal IgG, is suitable for use as an isotype control with this antibody.</p>" }, "Mouse": { "IHCP-species-checked": "testedAndGuaranteed", "IHCP-species-dilution-info": "", "IHCP-species-notes": "<p></p>", "WB-species-checked": "testedAndGuaranteed", "WB-species-dilution-info": "", "WB-species-notes": "<p></p>", "FlowCyt-species-checked": "guaranteed", "FlowCyt-species-dilution-info": "", "FlowCyt-species-notes": "<p><a href='/en-us/products/primary-antibodies/rabbit-igg-monoclonal-epr25a-isotype-control-ab172730'>ab172730</a> - Rabbit monoclonal IgG, is suitable for use as an isotype control with this antibody.</p>" }, "Rat": { "IHCP-species-checked": "testedAndGuaranteed", "IHCP-species-dilution-info": "", "IHCP-species-notes": "<p></p>", "WB-species-checked": "testedAndGuaranteed", "WB-species-dilution-info": "", "WB-species-notes": "<p></p>", "FlowCyt-species-checked": "guaranteed", "FlowCyt-species-dilution-info": "", "FlowCyt-species-notes": "<p><a href='/en-us/products/primary-antibodies/rabbit-igg-monoclonal-epr25a-isotype-control-ab172730'>ab172730</a> - Rabbit monoclonal IgG, is suitable for use as an isotype control with this antibody.</p>" } } }

Product details

ab223527 is the carrier-free version of ab75751.

Patented technology
Our RabMAb® technology is a patented hybridoma-based technology for making rabbit monoclonal antibodies. For details on our patents, please refer to RabMAb® patents.

What are the advantages of a recombinant monoclonal antibody?
This product is a recombinant monoclonal antibody, which offers several advantages including:

  • - High batch-to-batch consistency and reproducibility
  • - Improved sensitivity and specificity
  • - Long-term security of supply
  • - Animal-free batch production

For more information, read more on recombinant antibodies.

Conjugation ready
Our carrier-free antibodies are typically supplied in a PBS-only formulation, purified and free of BSA, sodium azide and glycerol. This conjugation-ready format is designed for use with fluorochromes, metal isotopes, oligonucleotides, and enzymes, which makes them ideal for antibody labelling, functional and cell-based assays, flow-based assays (e.g. mass cytometry) and Multiplex Imaging applications.

Use our conjugation kits for antibody conjugates that are ready-to-use in as little as 20 minutes with 1 minute hands-on-time and 100% antibody recovery: available for fluorescent dyes, HRP, biotin and gold.

Compatibility
This product is compatible with the Maxpar® Antibody Labeling Kit from Fluidigm, without the need for antibody preparation. Maxpar® is a trademark of Fluidigm Canada Inc.

Properties and storage information

Form
Liquid
Purification technique
Affinity purification Protein A
Storage buffer
pH: 7.2 - 7.4 Constituents: PBS
Shipped at conditions
Blue Ice
Appropriate short-term storage duration
1-2 weeks
Appropriate short-term storage conditions
+4°C
Appropriate long-term storage conditions
-20°C
Aliquoting information
Upon delivery aliquot
Storage information
Avoid freeze / thaw cycle

Supplementary information

This supplementary information is collated from multiple sources and compiled automatically.

Aldolase B also known as fructose-bisphosphate aldolase B and Aldolase C or fructose-bisphosphate aldolase C are key enzymes in glycolysis and gluconeogenesis pathways. These enzymes are part of the aldolase family and share high sequence homology. Aldolase B has a molecular mass of approximately 36-40 kDa and is primarily expressed in the liver whereas Aldolase C is majorly found in the brain particularly within neurons. They function to catalyze the cleavage of fructose-16-bisphosphate into glyceraldehyde-3-phosphate and dihydroxyacetone phosphate critical steps in energy metabolism.
Biological function summary

Aldolase B and C perform major roles in cellular energy production and metabolism. Aldolase B facilitates the conversion of fructose into glycolytic intermediates aiding glycogen synthesis and gluconeogenesis in the liver. Aldolase C contributes to glucose metabolism in the brain supporting neural activities and functions. While they do not form stable complexes these enzymes occasionally interact transiently with other metabolic proteins to fulfill cellular functions.

Pathways

Aldolase B and C integrate into glycolysis and gluconeogenesis fundamental biological pathways for energy conversion. Aldolase B enables fructose utilization by linking with enzymes like fructokinase and glucose-6-phosphatase during gluconeogenesis. Aldolase C participates in the glycolytic pathway associated with enzymes such as hexokinase supporting glucose breakdown during brain metabolism. Both enzymes maintain energy homeostasis within their respective tissues contributing to overall metabolic balance.

Aldolase B relates closely to hereditary fructose intolerance a genetic condition characterized by an inability to metabolize fructose properly in the liver. The deficiency or dysfunction of Aldolase B results in toxic accumulations impacting liver function. Aldolase C is associated with glioblastoma where its increased expression plays a role in tumor metabolism and growth. In the context of hereditary fructose intolerance Aldolase B is linked to fructokinase due to their sequential mechanisms in fructose metabolism while Aldolase C’s association in glioblastoma connects with altered metabolic pathways within cancerous cells.

Product protocols

For this product, it's our understanding that no specific protocols are required. You can visit:

Target data

Catalyzes the aldol cleavage of fructose 1,6-biphosphate to form two triosephosphates dihydroxyacetone phosphate and D-glyceraldehyde 3-phosphate in glycolysis as well as the reverse stereospecific aldol addition reaction in gluconeogenesis. In fructolysis, metabolizes fructose 1-phosphate derived from the phosphorylation of dietary fructose by fructokinase into dihydroxyacetone phosphate and D-glyceraldehyde (PubMed : 10970798, PubMed : 12205126, PubMed : 20848650). Acts as an adapter independently of its enzymatic activity, exerts a tumor suppressor role by stabilizing the ternary complex with G6PD and TP53 to inhibit G6PD activity and keep oxidative pentose phosphate metabolism in check (PubMed : 35122041).
See full target information ALDOB

Additional targets

ALDOC

Publications (1)

Recent publications for all applications. Explore the full list and refine your search

Science advances 9:eade6308 PubMed37390204

2023

-acetylneuraminate pyruvate lyase controls sialylation of muscle glycoproteins essential for muscle regeneration and function.

Applications

Unspecified application

Species

Unspecified reactive species

Afitz Da Silva,Junio Dort,Zakaria Orfi,Xuefang Pan,Sjanie Huang,Ikhui Kho,Emilie Heckel,Giacomo Muscarnera,Patrick Piet van Vliet,Luisa Sturiale,Angela Messina,Donata Agata Romeo,Clara D M van Karnebeek,Xiao-Yan Wen,Aleksander Hinek,Thomas Molina,Gregor Andelfinger,Benjamin Ellezam,Yojiro Yamanaka,Hernando J Olivos,Carlos R Morales,Jean-Sébastien Joyal,Dirk J Lefeber,Domenico Garozzo,Nicolas A Dumont,Alexey V Pshezhetsky
View all publications

Product promise

We are committed to supporting your work with high-quality reagents, and we're here for you every step of the way. In the unlikely event that one of our products does not perform as expected, you're protected by our Product Promise.
For full details, please see our Terms & Conditions

Please note: All products are 'FOR RESEARCH USE ONLY. NOT FOR USE IN DIAGNOSTIC OR THERAPEUTIC PROCEDURES'.

For licensing inquiries, please contact partnerships@abcam.com