JavaScript is disabled in your browser. Please enable JavaScript to view this website.
AB323506

Anti-Aldolase C antibody [EPR26896-61] - C-terminal

  • BOND RX™ Validated
  • Recombinant
  • 20ul selling size
  • RabMAb
  • What is this?

Be the first to review this product! Submit a review

|

(0 Publication)

Rabbit Recombinant Monoclonal Aldolase C antibody. Suitable for WB, I-ELISA, IHC-P and reacts with Human, Mouse, Synthetic peptide - Human samples.

View Alternative Names

ALDC, ALDOC, Fructose-bisphosphate aldolase C, Brain-type aldolase

13 Images
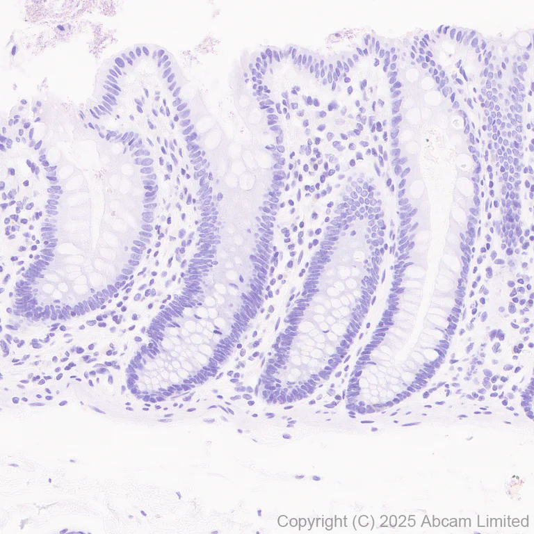
Immunohistochemistry (Formalin/PFA-fixed paraffin-embedded sections) - Anti-Aldolase C antibody [EPR26896-61] - C-terminal (AB323506)
  • IHC-P

Supplier Data

Immunohistochemistry (Formalin/PFA-fixed paraffin-embedded sections) - Anti-Aldolase C antibody [EPR26896-61] - C-terminal (AB323506)

Immunohistochemical analysis of paraffin-embedded Human colon tissue labeling Aldolase C - C-terminal with ab323506 at 1/10000 (0.049 ug/ml) dilution, followed by a ready to use LeicaDS9800 (Bond™ Polymer Refine Detection).

Low expression tissue : No staining on human colon.
The section was incubated with ab323506 for 10 mins at room temperature.
The immunostaining was performed on a Leica Biosystems BOND® RX instrument
Incubate slides with 3% Hydrogen Peroxide for 10 mins at room temperature after secondary antibody incubation to reduce the background

Counterstained with Hematoxylin.

Secondary antibody only control : Secondary antibody is a ready to use LeicaDS9800 (Bond™ Polymer Refine Detection).

Heat mediated antigen retrieval was performed with Citrate buffer (pH 6.0, Epitope Retrieval Solution 1) for 20 mins

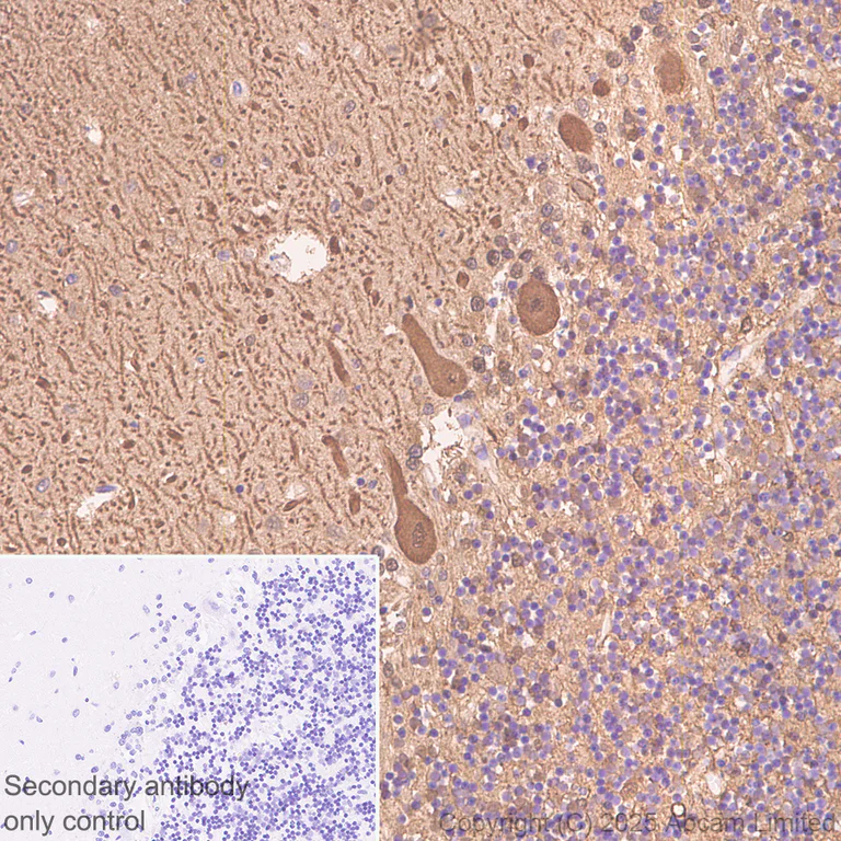
Immunohistochemistry (Formalin/PFA-fixed paraffin-embedded sections) - Anti-Aldolase C antibody [EPR26896-61] - C-terminal (AB323506)
  • IHC-P

Supplier Data

Immunohistochemistry (Formalin/PFA-fixed paraffin-embedded sections) - Anti-Aldolase C antibody [EPR26896-61] - C-terminal (AB323506)

Immunohistochemical analysis of paraffin-embedded Human cerebellum tissue labeling Aldolase C - C-terminal with ab323506 at 1/10000 (0.049 ug/ml) dilution, followed by a ready to use LeicaDS9800 (Bond™ Polymer Refine Detection).

Positive staining on human cerebellum.
The section was incubated with ab323506 for 10 mins at room temperature.
The immunostaining was performed on a Leica Biosystems BOND® RX instrument
Incubate slides with 3% Hydrogen Peroxide for 10 mins at room temperature after secondary antibody incubation to reduce the background

Counterstained with Hematoxylin.

Secondary antibody only control : Secondary antibody is a ready to use LeicaDS9800 (Bond™ Polymer Refine Detection).

Heat mediated antigen retrieval was performed with Citrate buffer (pH 6.0, Epitope Retrieval Solution 1) for 20 mins

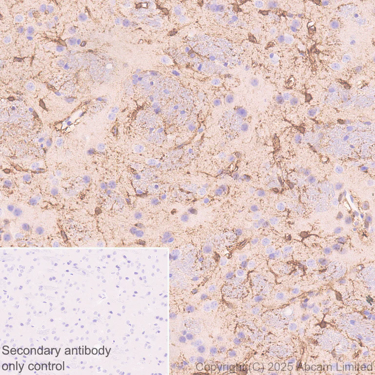
Immunohistochemistry (Formalin/PFA-fixed paraffin-embedded sections) - Anti-Aldolase C antibody [EPR26896-61] - C-terminal (AB323506)
  • IHC-P

Supplier Data

Immunohistochemistry (Formalin/PFA-fixed paraffin-embedded sections) - Anti-Aldolase C antibody [EPR26896-61] - C-terminal (AB323506)

Immunohistochemical analysis of paraffin-embedded Human cerebrum tissue labeling Aldolase C - C-terminal with ab323506 at 1/10000 (0.049 ug/ml) dilution, followed by a ready to use LeicaDS9800 (Bond™ Polymer Refine Detection).

Positive staining on astrocytes of human cerebrum.
The section was incubated with ab323506 for 10 mins at room temperature.
The immunostaining was performed on a Leica Biosystems BOND® RX instrument
Incubate slides with 3% Hydrogen Peroxide for 10 mins at room temperature after secondary antibody incubation to reduce the background

Counterstained with Hematoxylin.

Secondary antibody only control : Secondary antibody is a ready to use LeicaDS9800 (Bond™ Polymer Refine Detection).

Heat mediated antigen retrieval was performed with Citrate buffer (pH 6.0, Epitope Retrieval Solution 1) for 20 mins

Immunohistochemistry (Formalin/PFA-fixed paraffin-embedded sections) - Anti-Aldolase C antibody [EPR26896-61] - C-terminal (AB323506)
  • IHC-P

Supplier Data

Immunohistochemistry (Formalin/PFA-fixed paraffin-embedded sections) - Anti-Aldolase C antibody [EPR26896-61] - C-terminal (AB323506)

Immunohistochemical analysis of paraffin-embedded Human pancreas tissue labeling Aldolase C - C-terminal with ab323506 at 1/10000 (0.049 ug/ml) dilution, followed by a ready to use LeicaDS9800 (Bond™ Polymer Refine Detection).

Low expression tissue : No staining on human pancreas.
The section was incubated with ab323506 for 10 mins at room temperature.
The immunostaining was performed on a Leica Biosystems BOND® RX instrument
Incubate slides with 3% Hydrogen Peroxide for 10 mins at room temperature after secondary antibody incubation to reduce the background

Counterstained with Hematoxylin.

Secondary antibody only control : Secondary antibody is a ready to use LeicaDS9800 (Bond™ Polymer Refine Detection).

Heat mediated antigen retrieval was performed with Citrate buffer (pH 6.0, Epitope Retrieval Solution 1) for 20 mins

Immunohistochemistry (Formalin/PFA-fixed paraffin-embedded sections) - Anti-Aldolase C antibody [EPR26896-61] - C-terminal (AB323506)
  • IHC-P

Supplier Data

Immunohistochemistry (Formalin/PFA-fixed paraffin-embedded sections) - Anti-Aldolase C antibody [EPR26896-61] - C-terminal (AB323506)

Immunohistochemical analysis of paraffin-embedded Mouse colon tissue labeling Aldolase C - C-terminal with ab323506 at 1/10000 (0.049 ug/ml) dilution, followed by a ready to use LeicaDS9800 (Bond™ Polymer Refine Detection).

Low expression tissue : No staining on mouse colon.
The section was incubated with ab323506 for 10 mins at room temperature.
The immunostaining was performed on a Leica Biosystems BOND® RX instrument
Incubate slides with 3% Hydrogen Peroxide for 10 mins at room temperature after secondary antibody incubation to reduce the background

Counterstained with Hematoxylin.

Secondary antibody only control : Secondary antibody is a ready to use LeicaDS9800 (Bond™ Polymer Refine Detection).

Heat mediated antigen retrieval was performed with Citrate buffer (pH 6.0, Epitope Retrieval Solution 1) for 20 mins

Immunohistochemistry (Formalin/PFA-fixed paraffin-embedded sections) - Anti-Aldolase C antibody [EPR26896-61] - C-terminal (AB323506)
  • IHC-P

Supplier Data

Immunohistochemistry (Formalin/PFA-fixed paraffin-embedded sections) - Anti-Aldolase C antibody [EPR26896-61] - C-terminal (AB323506)

Immunohistochemical analysis of paraffin-embedded Mouse cardiac muscle tissue labeling Aldolase C - C-terminal with ab323506 at 1/10000 (0.049 ug/ml) dilution, followed by a ready to use LeicaDS9800 (Bond™ Polymer Refine Detection).

Low expression tissue : No staining on mouse cardiac muscle.
The section was incubated with ab323506 for 10 mins at room temperature.
The immunostaining was performed on a Leica Biosystems BOND® RX instrument
Incubate slides with 3% Hydrogen Peroxide for 10 mins at room temperature after secondary antibody incubation to reduce the background

Counterstained with Hematoxylin.

Secondary antibody only control : Secondary antibody is a ready to use LeicaDS9800 (Bond™ Polymer Refine Detection).

Heat mediated antigen retrieval was performed with Citrate buffer (pH 6.0, Epitope Retrieval Solution 1) for 20 mins

Immunohistochemistry (Formalin/PFA-fixed paraffin-embedded sections) - Anti-Aldolase C antibody [EPR26896-61] - C-terminal (AB323506)
  • IHC-P

Supplier Data

Immunohistochemistry (Formalin/PFA-fixed paraffin-embedded sections) - Anti-Aldolase C antibody [EPR26896-61] - C-terminal (AB323506)

Immunohistochemical analysis of paraffin-embedded Mouse cerebrum tissue labeling Aldolase C - C-terminal with ab323506 at 1/10000 (0.049 ug/ml) dilution, followed by a ready to use LeicaDS9800 (Bond™ Polymer Refine Detection).

Positive staining on astrocytes of mouse cerebrum.
The section was incubated with ab323506 for 10 mins at room temperature.
The immunostaining was performed on a Leica Biosystems BOND® RX instrument
Incubate slides with 3% Hydrogen Peroxide for 10 mins at room temperature after secondary antibody incubation to reduce the background

Counterstained with Hematoxylin.

Secondary antibody only control : Secondary antibody is a ready to use LeicaDS9800 (Bond™ Polymer Refine Detection).

Heat mediated antigen retrieval was performed with Citrate buffer (pH 6.0, Epitope Retrieval Solution 1) for 20 mins

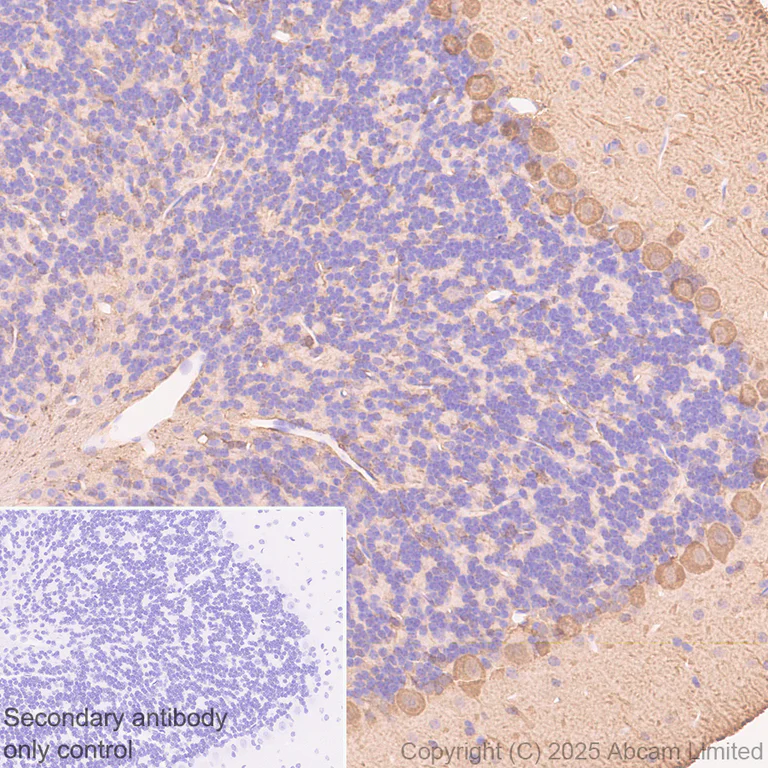
Immunohistochemistry (Formalin/PFA-fixed paraffin-embedded sections) - Anti-Aldolase C antibody [EPR26896-61] - C-terminal (AB323506)
  • IHC-P

Supplier Data

Immunohistochemistry (Formalin/PFA-fixed paraffin-embedded sections) - Anti-Aldolase C antibody [EPR26896-61] - C-terminal (AB323506)

Immunohistochemical analysis of paraffin-embedded Mouse cerebellum tissue labeling Aldolase C - C-terminal with ab323506 at 1/10000 (0.049 ug/ml) dilution, followed by a ready to use LeicaDS9800 (Bond™ Polymer Refine Detection).

Positive staining on mouse cerebellum.
The section was incubated with ab323506 for 10 mins at room temperature.
The immunostaining was performed on a Leica Biosystems BOND® RX instrument
Incubate slides with 3% Hydrogen Peroxide for 10 mins at room temperature after secondary antibody incubation to reduce the background

Counterstained with Hematoxylin.

Secondary antibody only control : Secondary antibody is a ready to use LeicaDS9800 (Bond™ Polymer Refine Detection).

Heat mediated antigen retrieval was performed with Citrate buffer (pH 6.0, Epitope Retrieval Solution 1) for 20 mins

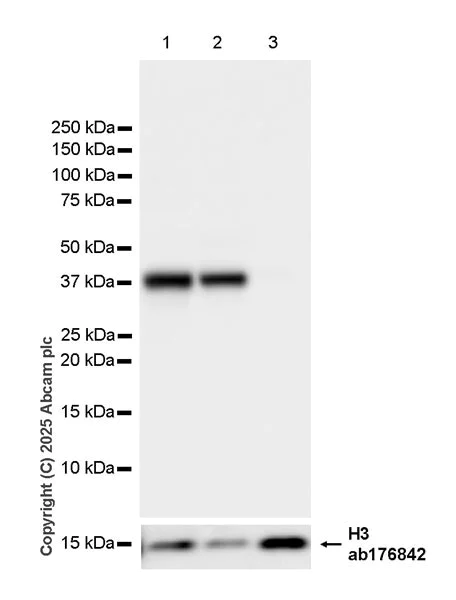
Western blot - Anti-Aldolase C antibody [EPR26896-61] - C-terminal (AB323506)
  • WB

Supplier Data

Western blot - Anti-Aldolase C antibody [EPR26896-61] - C-terminal (AB323506)

Blocking and diluting buffer and concentration : 5% NFDM/TBST.

Low expression : pancreas, colon.

In Western blot, Anti-Histone H3 antibody [EPR16987] - Nuclear Marker and ChIP Grade (ab176842) staining at 1/100000 dilution.

All lanes:

Western blot - Anti-Aldolase C antibody [EPR26896-61] - C-terminal (ab323506) at 1/1000 dilution

Lane 1:

Human cerebellum tissue lysate at 20 µg with NFDM/TBST

Lane 2:

Human pancreas tissue lysate at 20 µg with NFDM/TBST

Lane 3:

Human colon tissue lysate at 20 µg with NFDM/TBST

Secondary

All lanes:

Goat Anti-Rabbit IgG (HRP) with minimal cross-reactivity with human IgG at 1/2000 dilution

Observed band size: 39 kDa,15 kDa

false

Exposure time: 1s

Western blot - Anti-Aldolase C antibody [EPR26896-61] - C-terminal (AB323506)
  • WB

Supplier Data

Western blot - Anti-Aldolase C antibody [EPR26896-61] - C-terminal (AB323506)

Blocking and diluting buffer and concentration : 5% NFDM/TBST.

All lanes:

Western blot - Anti-Aldolase C antibody [EPR26896-61] - C-terminal (ab323506) at 1/1000 dilution

Lane 1:

Human brainstem tissue lysate at 20 µg with NFDM/TBST

Lane 2:

Human hippocampus tissue lysate at 20 µg with NFDM/TBST

Secondary

All lanes:

Goat Anti-Rabbit IgG (HRP) with minimal cross-reactivity with human IgG at 1/2000 dilution

Observed band size: 39 kDa

false

Exposure time: 1s

Western blot - Anti-Aldolase C antibody [EPR26896-61] - C-terminal (AB323506)
  • WB

Supplier Data

Western blot - Anti-Aldolase C antibody [EPR26896-61] - C-terminal (AB323506)

Blocking and diluting buffer and concentration : 5% NFDM/TBST.

Low expression : Calu-3.

The identity of the bands higher than 50 kDa are unknown.

In Western blot, Anti-Histone H3 antibody [EPR16987] - Nuclear Marker and ChIP Grade (ab176842) staining at 1/100000 dilution.

All lanes:

Western blot - Anti-Aldolase C antibody [EPR26896-61] - C-terminal (ab323506) at 1/1000 dilution

Lane 1:

U-87 MG (human glioblastoma-astrocytoma epithelial cell) whole cell lysate at 20 µg with NFDM/TBST

Lane 2:

LNCaP (human prostate carcinoma epithelial cell) whole cell lysate at 20 µg with NFDM/TBST

Lane 3:

Calu-3 (human lung adenocarcinoma epithelial cell) whole cell lysate at 20 µg with NFDM/TBST

Lane 4:

RAW 264.7 (mouse Abelson murine leukemia virus-induced tumor macrophage) whole cell lysate at 20 µg with NFDM/TBST

Secondary

All lanes:

Western blot - Goat Anti-Rabbit IgG H&L (HRP) (<a href='/en-us/products/secondary-antibodies/goat-rabbit-igg-h-l-hrp-ab97051'>ab97051</a>) at 1/20000 dilution

Observed band size: 39 kDa,15 kDa

false

Exposure time: 8s

Western blot - Anti-Aldolase C antibody [EPR26896-61] - C-terminal (AB323506)
  • WB

Supplier Data

Western blot - Anti-Aldolase C antibody [EPR26896-61] - C-terminal (AB323506)

Blocking and diluting buffer and concentration : 5% NFDM/TBST.

Low expression : pancreas.

In Western blot, Anti-Histone H3 antibody [EPR16987] - Nuclear Marker and ChIP Grade (ab176842) staining at 1/100000 dilution.

All lanes:

Western blot - Anti-Aldolase C antibody [EPR26896-61] - C-terminal (ab323506) at 1/1000 dilution

Lane 1:

Mouse cerebellum tissue lysate at 20 µg with NFDM/TBST

Lane 2:

Mouse brain tissue lysate at 20 µg with NFDM/TBST

Lane 3:

Mouse pancreas tissue lysate at 20 µg with NFDM/TBST

Secondary

All lanes:

Goat Anti-Rabbit IgG (HRP) with minimal cross-reactivity with human IgG at 1/2000 dilution

Observed band size: 39 kDa,15 kDa

false

Exposure time: 1s

Indirect ELISA - Anti-Aldolase C antibody [EPR26896-61] - C-terminal (AB323506)
  • I-ELISA

Supplier Data

Indirect ELISA - Anti-Aldolase C antibody [EPR26896-61] - C-terminal (AB323506)

Indirect ELISA analysis of ab323506 at 1000-0 ng/ml. The Secondary antibody used was Alkaline Phosphatase-conjugated AffiniPure Goat Anti-Rabbit IgG (H+L) at 1 : 2500 dilution dilution.

Antigen : Human ALDOC peptide, Human ALDOA peptide, Human ALDOB peptide.

Antigen concentration : 1000 ng/ml

This antibody does not cross-react with human ALDOA and ALDOB

Key facts

Host species

Rabbit

Clonality

Monoclonal

Clone number

EPR26896-61

Isotype

IgG

Carrier free

No

Reacts with

Human, Mouse

Applications

WB, IHC-P, I-ELISA

applications

Immunogen

The exact immunogen used to generate this antibody is proprietary information.

Reactivity data

{ "title": "Reactivity Data", "filters": { "stats": ["", "Species", "Dilution Info", "Notes"], "tabs": { "all-applications": {"fullname" : "All Applications", "shortname": "All Applications"}, "WB" : {"fullname" : "Western blot", "shortname":"WB"}, "IELISA" : {"fullname" : "Indirect ELISA", "shortname":"I-ELISA"}, "IHCP" : {"fullname" : "Immunohistochemistry (Formalin/PFA-fixed paraffin-embedded sections)", "shortname":"IHC-P"} }, "product-promise": { "all": "all", "testedAndGuaranteed": "tested", "guaranteed": "expected", "predicted": "predicted", "notRecommended": "not-recommended" } }, "values": { "Human": { "WB-species-checked": "testedAndGuaranteed", "WB-species-dilution-info": "1/1000", "WB-species-notes": "<p></p>", "IELISA-species-checked": "guaranteed", "IELISA-species-dilution-info": "", "IELISA-species-notes": "", "IHCP-species-checked": "testedAndGuaranteed", "IHCP-species-dilution-info": "1/10000", "IHCP-species-notes": "<p></p> Perform heat-mediated antigen retrieval with citrate buffer pH 6 before commencing with IHC staining protocol." }, "Mouse": { "WB-species-checked": "testedAndGuaranteed", "WB-species-dilution-info": "1/1000", "WB-species-notes": "<p></p>", "IELISA-species-checked": "guaranteed", "IELISA-species-dilution-info": "", "IELISA-species-notes": "", "IHCP-species-checked": "testedAndGuaranteed", "IHCP-species-dilution-info": "1/10000", "IHCP-species-notes": "<p></p> Perform heat-mediated antigen retrieval with citrate buffer pH 6 before commencing with IHC staining protocol." }, "Synthetic peptide - Human": { "WB-species-checked": "notRecommended", "WB-species-dilution-info": "", "WB-species-notes": "", "IELISA-species-checked": "testedAndGuaranteed", "IELISA-species-dilution-info": "31.25 ng/mL", "IELISA-species-notes": "<p></p>", "IHCP-species-checked": "notRecommended", "IHCP-species-dilution-info": "", "IHCP-species-notes": "" } } }

Product details

Patented technology
Our RabMAb® technology is a patented hybridoma-based technology for making rabbit monoclonal antibodies. For details on our patents, please refer to RabMAb® patents.

What are the advantages of a recombinant monoclonal antibody?
This product is a recombinant monoclonal antibody, which offers several advantages including:

  • - High batch-to-batch consistency and reproducibility
  • - Improved sensitivity and specificity
  • - Long-term security of supply
  • - Animal-free batch production

For more information, read more on recombinant antibodies.

Properties and storage information

Form
Liquid
Purification technique
Affinity purification Protein A
Storage buffer
pH: 7.2 - 7.4 Preservative: 0.01% Sodium azide Constituents: PBS, 40% Glycerol (glycerin, glycerine), 0.05% BSA
Shipped at conditions
Blue Ice
Appropriate short-term storage duration
1-2 weeks
Appropriate short-term storage conditions
+4°C
Appropriate long-term storage conditions
-20°C
Aliquoting information
Upon delivery aliquot
Storage information
Avoid freeze / thaw cycle

Product protocols

For this product, it's our understanding that no specific protocols are required. You can visit:

Product promise

We are committed to supporting your work with high-quality reagents, and we're here for you every step of the way. In the unlikely event that one of our products does not perform as expected, you're protected by our Product Promise.
For full details, please see our Terms & Conditions

Please note: All products are 'FOR RESEARCH USE ONLY. NOT FOR USE IN DIAGNOSTIC OR THERAPEUTIC PROCEDURES'.

For licensing inquiries, please contact partnerships@abcam.com