JavaScript is disabled in your browser. Please enable JavaScript to view this website.
AB302953

Anti-Aldolase C - N-terminal antibody [EPR26895-52] - BSA and Azide free

Be the first to review this product! Submit a review

|

(0 Publication)

Rabbit Recombinant Monoclonal Aldolase C antibody. Carrier free. Suitable for WB, IHC-P, ICC, I-ELISA and reacts with Human, Mouse, Rat, Synthetic peptide - Human samples.

View Alternative Names

ALDC, ALDOC, Fructose-bisphosphate aldolase C, Brain-type aldolase

11 Images
Immunohistochemistry - Anti-Aldolase C - N-terminal antibody [EPR26895-52] - BSA and Azide free (AB302953)
  • IHC

Supplier Data

Immunohistochemistry - Anti-Aldolase C - N-terminal antibody [EPR26895-52] - BSA and Azide free (AB302953)

This data was developed using ab302952, the same antibody clone in a different buffer formulation. Immunohistochemical analysis of paraffin-embedded human cerebrum tissue labeling Aldolase C N-terminal with ab302952 at 1/2000 dilution (0.225 µg/ml) followed by a ready to use Leica DS9800 (Bond™ Polymer Refine Detection). Positive staining on human cerebrum is observed. The section was incubated with ab302952 for 30 mins at room temperature. The immunostaining was performed on a Leica Biosystems BOND® RX instrument. Counterstained with Hematoxylin. Secondary antibody only control : Secondary antibody is a ready to use Leica DS9800 (Bond™ Polymer Refine Detection) kit. Heat mediated antigen retrieval was performed with Tris-EDTA buffer (pH 9.0, Epitope retrieval solution 2) for 20 mins.

Immunohistochemistry - Anti-Aldolase C - N-terminal antibody [EPR26895-52] - BSA and Azide free (AB302953)
  • IHC

Supplier Data

Immunohistochemistry - Anti-Aldolase C - N-terminal antibody [EPR26895-52] - BSA and Azide free (AB302953)

This data was developed using ab302952, the same antibody clone in a different buffer formulation. Immunohistochemical analysis of paraffin-embedded human pancreas tissue labeling Aldolase C N-terminal with ab302952 at 1/2000 dilution (0.225 µg/ml), followed by a ready to use Leica DS9800 (Bond™ Polymer Refine Detection). Negative control : No staining is observed on human pancreas. The section was incubated with ab302952 for 30 mins at room temperature. The immunostaining was performed on a Leica Biosystems BOND® RX instrument. Counterstained with Hematoxylin. Secondary antibody only control : Secondary antibody is a ready to use Leica DS9800 (Bond™ Polymer Refine Detection) kit. Heat mediated antigen retrieval was performed with Tris-EDTA buffer (pH 9.0, Epitope retrieval solution 2) for 20 mins.

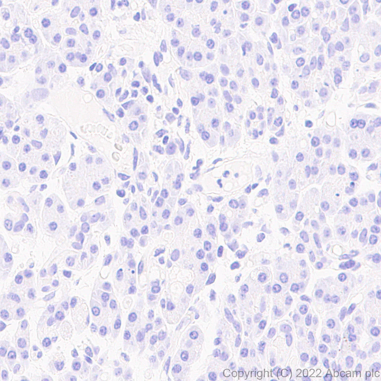
Immunohistochemistry - Anti-Aldolase C - N-terminal antibody [EPR26895-52] - BSA and Azide free (AB302953)
  • IHC

Supplier Data

Immunohistochemistry - Anti-Aldolase C - N-terminal antibody [EPR26895-52] - BSA and Azide free (AB302953)

This data was developed using ab302952, the same antibody clone in a different buffer formulation. Immunohistochemical analysis of paraffin-embedded : (A) HEK-293T cells transfected with a human ALDOC expression vector containing a myc-His tag (B) HEK-293T cells transfected with a human ALDOA expression vector containing a myc-His tag (C) HEK-293T cells transfected with a human ALDOB expression vector containing a myc-His tag (D)  HEK-293T cells transfected with empty vector containing a his tag labeling Aldolase C N-terminal with ab302952 at 1/5000 dilution (0.09 µg/ml), followed by a ready to use Leica DS9800 (Bond™ Polymer Refine Detection). Positive staining on (A) HEK-293T transfected with a ALDOC expression vector containing a myc-His tag, no staining on : (B) HEK-293T transfected with a ALDOA expression vector containing a myc-His tag, (C) HEK-293T transfected with a ALDOB expression vector containing a myc-His tag, and (D) HEK-293T transfected with empty plasmid. The section was incubated with ab302952 for 30 mins at room temperature. The immunostaining was performed on a Leica Biosystems BOND® RX instrument. Counterstained with Hematoxylin. Secondary antibody only control : Secondary antibody is a ready to use Leica DS9800 (Bond™ Polymer Refine Detection) kit. Heat mediated antigen retrieval was performed with Tris-EDTA buffer (pH 9.0, Epitope retrieval solution 2) for 20 mins.

Indirect ELISA - Anti-Aldolase C - N-terminal antibody [EPR26895-52] - BSA and Azide free (AB302953)
  • I-ELISA

Supplier Data

Indirect ELISA - Anti-Aldolase C - N-terminal antibody [EPR26895-52] - BSA and Azide free (AB302953)

This data was developed using ab302952, the same antibody clone in a different buffer formulation.

Indirect ELISA analysis of human Fructose-bisphosphate aldolase C N-terminal at 1000 ng/ml with ab30259 at concentration range 1000 - 0 ng/mL. An alkaline Phosphatase-conjugated AffiniPure Goat Anti-Rabbit IgG (H+L) at 1/2500 dilution was used as the secondary antibody.

Immunohistochemistry - Anti-Aldolase C - N-terminal antibody [EPR26895-52] - BSA and Azide free (AB302953)
  • IHC

Supplier Data

Immunohistochemistry - Anti-Aldolase C - N-terminal antibody [EPR26895-52] - BSA and Azide free (AB302953)

This data was developed using ab302952, the same antibody clone in a different buffer formulation. Immunohistochemical analysis of paraffin-embedded rat cerebrum tissue labeling Aldolase C N-terminal with ab302952 at 1/5000 dilution (0.09 µg/ml), followed by a ready to use Leica DS9800 (Bond™ Polymer Refine Detection). Positive staining on rat cerebrum is observed. The section was incubated with ab302952 for 30 mins at room temperature. The immunostaining was performed on a Leica Biosystems BOND® RX instrument. Counterstained with Hematoxylin. Secondary antibody only control : Secondary antibody is a ready to use Leica DS9800 (Bond™ Polymer Refine Detection) kit. Heat mediated antigen retrieval was performed with Tris-EDTA buffer (pH 9.0, Epitope retrieval solution 2) for 20 mins.

Immunocytochemistry - Anti-Aldolase C - N-terminal antibody [EPR26895-52] - BSA and Azide free (AB302953)
  • ICC

Lab

Immunocytochemistry - Anti-Aldolase C - N-terminal antibody [EPR26895-52] - BSA and Azide free (AB302953)

Immunocytochemistry analysis of 4% paraformaldehyde-fixed 0.1% TritonX-100 permeabilized rat primary neuron/glial clells staining aldolase C with ab302952 at 1/100 dilution and secondary ab150081 Goat Anti-Rabbit IgG H&L (Alexa Fluor® 488) preadsorbed at 1/1000 dilution. Counterstaining was done using ab10062 Anti-GFAP mouse monoclonal antibody at 1/50 dilution and secondary counterstain was ab150120 Goat Anti-Mouse IgG H&L (Alexa Fluor® 594) at 1/1000 dilution. Nucelar counterstain was DAPI (blue). Confocal image showing cytoplasmic staining in rat primary neuron/glial. Image was taken with a confocal microscope (Leica-Microsystems, TCS SP8).

This data was developed using ab302952, the same antibody clone in a different buffer formulation.

Immunocytochemistry - Anti-Aldolase C - N-terminal antibody [EPR26895-52] - BSA and Azide free (AB302953)
  • ICC

Lab

Immunocytochemistry - Anti-Aldolase C - N-terminal antibody [EPR26895-52] - BSA and Azide free (AB302953)

This data was developed using ab302952, the same antibody clone in a different buffer formulation.

Immunocytochemistry analysis of 4% paraformaldehyde-fixed 0.1% TritonX-100 permeabilized mouse primary neuron/glial clells staining aldolase C with ab302952 at 1/100 dilution adn secondary ab150081 Goat Anti-Rabbit IgG H&L (Alexa Fluor® 488) preadsorbed at 1/1000 dilution. Counterstaining was done using ab10062 Anti-GFAP mouse monoclonal antibody at 1/50 dilution and secondary counterstain was ab150120 Goat Anti-Mouse IgG H&L (Alexa Fluor® 594) at 1/1000 dilution. Nucelar counterstain was DAPI (blue). Confocal image showing cytoplasmic staining in mouse primary neuron/glial. Image was taken with a confocal microscope(Leica-Microsystems, TCS SP8).

Immunohistochemistry - Anti-Aldolase C - N-terminal antibody [EPR26895-52] - BSA and Azide free (AB302953)
  • IHC

Supplier Data

Immunohistochemistry - Anti-Aldolase C - N-terminal antibody [EPR26895-52] - BSA and Azide free (AB302953)

This data was developed using ab302952, the same antibody clone in a different buffer formulation. Immunohistochemical analysis of paraffin-embedded mouse cerebrum tissue labeling Aldolase C N-terminal with ab302952 at 1/5000 dilution (0.09 µg/ml), followed by a ready to use Leica DS9800 (Bond™ Polymer Refine Detection). Positive staining on mouse cerebrum is observed. The section was incubated with ab302952 for 30 mins at room temperature. The immunostaining was performed on a Leica Biosystems BOND® RX instrument. Counterstained with Hematoxylin. Secondary antibody only control : Secondary antibody is a ready to use Leica DS9800 (Bond™ Polymer Refine Detection) kit. Heat mediated antigen retrieval was performed with Tris-EDTA buffer (pH 9.0, Epitope retrieval solution 2) for 20 mins.

Western blot - Anti-Aldolase C - N-terminal antibody [EPR26895-52] - BSA and Azide free (AB302953)
  • WB

Supplier Data

Western blot - Anti-Aldolase C - N-terminal antibody [EPR26895-52] - BSA and Azide free (AB302953)

This data was developed using ab302952, the same antibody clone in a different buffer formulation. Blocking and diluting buffer and concentration : 5% NFDM/TBST.  Negative control : pancreas (PMID : 31450822, 3513998). Low expression : heart (PMID : 3513998).

All lanes:

Western blot - Anti-Aldolase C - N-terminal antibody [EPR26895-52] (<a href='/en-us/products/primary-antibodies/aldolase-c-n-terminal-antibody-epr26895-52-ab302952'>ab302952</a>) at 1/1000 dilution

Lane 1:

Human heart tissue lysate at 20 µg

Lane 2:

Human cerebellum tissue lysate at 20 µg

Lane 3:

Human pancreas tissue lysate at 20 µg

Lane 4:

U-87 MG (human glioblastoma-astrocytoma epithelial cell) whole cell lysate at 20 µg

Lane 5:

RAW 264.7 (mouse Abelson murine leukemia virus-induced tumor macrophage) whole cell lysate at 20 µg

Lane 6:

C6 (rat glial tumor glial cell) whole cell lysate at 20 µg

Secondary

All lanes:

Western blot - Goat Anti-Rabbit IgG H&L (HRP) (<a href='/en-us/products/secondary-antibodies/goat-rabbit-igg-h-l-hrp-ab97051'>ab97051</a>) at 1/100000 dilution

Predicted band size: 39 kDa

Observed band size: 39 kDa

false

Exposure time: 70s

Western blot - Anti-Aldolase C - N-terminal antibody [EPR26895-52] - BSA and Azide free (AB302953)
  • WB

Supplier Data

Western blot - Anti-Aldolase C - N-terminal antibody [EPR26895-52] - BSA and Azide free (AB302953)

This data was developed using ab302952, the same antibody clone in a different buffer formulation. Blocking and diluting buffer and concentration : 5% NFDM/TBST.  Exposure time : 5.5 seconds  This antibody does not cross-react with human ALDOA or ALDOB.

All lanes:

Western blot - Anti-Aldolase C - N-terminal antibody [EPR26895-52] (<a href='/en-us/products/primary-antibodies/aldolase-c-n-terminal-antibody-epr26895-52-ab302952'>ab302952</a>) at 1/1000 dilution

Lane 1:

HEK-293T cells transfected with a Human ALDOC expression vector containi a myc-his tag, whole cell lysate at 20 µg

Lane 2:

HEK-293T cells transfected with a Human ALDOA expression vector containing a myc-his tag, whole cell lysate at 20 µg

Lane 3:

HEK-293T cells transfected with a Human ALDOB expression vector containi a myc-his tag, whole cell lysate at 20 µg

Secondary

All lanes:

Western blot - Goat Anti-Rabbit IgG H&L (HRP) (<a href='/en-us/products/secondary-antibodies/goat-rabbit-igg-h-l-hrp-ab97051'>ab97051</a>) at 1/100000 dilution

Predicted band size: 39 kDa

Observed band size: 39 kDa

false

Exposure time: 5.5s

Western blot - Anti-Aldolase C - N-terminal antibody [EPR26895-52] - BSA and Azide free (AB302953)
  • WB

Supplier Data

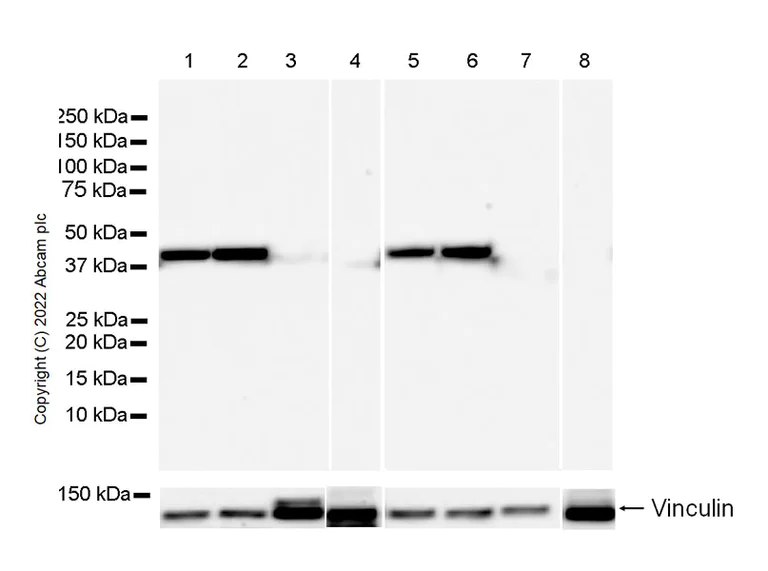
Western blot - Anti-Aldolase C - N-terminal antibody [EPR26895-52] - BSA and Azide free (AB302953)

This data was developed using ab302952, the same antibody clone in a different buffer formulation. Blocking and diluting buffer and concentration : 5% NFDM/TBST.  Exposure time : 5.5 seconds Negative control : Pancreas (PMID : 31450822, 3513998) Low expression : Heart (PMID : 3513998)

All lanes:

Western blot - Anti-Aldolase C - N-terminal antibody [EPR26895-52] (<a href='/en-us/products/primary-antibodies/aldolase-c-n-terminal-antibody-epr26895-52-ab302952'>ab302952</a>) at 1/1000 dilution

Lane 1:

Mouse brain tissue lysate at 20 µg

Lane 2:

Mouse cerebellum tissue lysate at 20 µg

Lane 3:

Mouse pancreas tissue lysate at 20 µg

Lane 4:

Mouse heart tissue lysate at 20 µg

Lane 5:

Rat brain tissue lysate at 20 µg

Lane 6:

Rat cerebellum tissue lysate at 20 µg

Lane 7:

Rat pancreas tissue lysate at 20 µg

Lane 8:

Rat heart tissue lysate at 20 µg

Secondary

All lanes:

Western blot - Goat Anti-Rabbit IgG H&L (HRP) (<a href='/en-us/products/secondary-antibodies/goat-rabbit-igg-h-l-hrp-ab97051'>ab97051</a>) at 1/100000 dilution

Predicted band size: 39 kDa

Observed band size: 39 kDa

false

Exposure time: 5.5s

  • Unconjugated

    Anti-Aldolase C - N-terminal antibody [EPR26895-52]

Key facts

Host species

Rabbit

Clonality

Monoclonal

Clone number

EPR26895-52

Isotype

IgG

Carrier free

Yes

Reacts with

Human, Mouse, Rat

Applications

ICC, I-ELISA, WB, IHC-P

applications

Immunogen

The exact immunogen used to generate this antibody is proprietary information.

Reactivity data

{ "title": "Reactivity Data", "filters": { "stats": ["", "Species", "Dilution Info", "Notes"], "tabs": { "all-applications": {"fullname" : "All Applications", "shortname": "All Applications"}, "WB" : {"fullname" : "Western blot", "shortname":"WB"}, "IHCP" : {"fullname" : "Immunohistochemistry (Formalin/PFA-fixed paraffin-embedded sections)", "shortname":"IHC-P"}, "IHCFr" : {"fullname" : "Immunohistochemistry (Frozen sections)", "shortname":"IHC-Fr"}, "ICC" : {"fullname" : "Immunocytochemistry", "shortname":"ICC"}, "FlowCytIntra" : {"fullname" : "Flow Cytometry (Intracellular)", "shortname":"Flow Cyt (Intra)"}, "IP" : {"fullname" : "Immunoprecipitation", "shortname":"IP"}, "IELISA" : {"fullname" : "Indirect ELISA", "shortname":"I-ELISA"} }, "product-promise": { "all": "all", "testedAndGuaranteed": "tested", "guaranteed": "expected", "predicted": "predicted", "notRecommended": "not-recommended" } }, "values": { "Human": { "WB-species-checked": "testedAndGuaranteed", "WB-species-dilution-info": "", "WB-species-notes": "<p></p>", "IHCP-species-checked": "testedAndGuaranteed", "IHCP-species-dilution-info": "", "IHCP-species-notes": "<p></p>", "IHCFr-species-checked": "notRecommended", "IHCFr-species-dilution-info": "", "IHCFr-species-notes": "", "ICC-species-checked": "guaranteed", "ICC-species-dilution-info": "", "ICC-species-notes": "", "FlowCytIntra-species-checked": "notRecommended", "FlowCytIntra-species-dilution-info": "", "FlowCytIntra-species-notes": "<p></p>", "IP-species-checked": "notRecommended", "IP-species-dilution-info": "", "IP-species-notes": "<p></p>", "IELISA-species-checked": "guaranteed", "IELISA-species-dilution-info": "", "IELISA-species-notes": "" }, "Mouse": { "WB-species-checked": "testedAndGuaranteed", "WB-species-dilution-info": "", "WB-species-notes": "<p></p>", "IHCP-species-checked": "testedAndGuaranteed", "IHCP-species-dilution-info": "", "IHCP-species-notes": "<p></p>", "IHCFr-species-checked": "notRecommended", "IHCFr-species-dilution-info": "", "IHCFr-species-notes": "<p></p>", "ICC-species-checked": "testedAndGuaranteed", "ICC-species-dilution-info": "", "ICC-species-notes": "<p></p>", "FlowCytIntra-species-checked": "notRecommended", "FlowCytIntra-species-dilution-info": "", "FlowCytIntra-species-notes": "<p></p>", "IP-species-checked": "notRecommended", "IP-species-dilution-info": "", "IP-species-notes": "<p></p>", "IELISA-species-checked": "guaranteed", "IELISA-species-dilution-info": "", "IELISA-species-notes": "" }, "Rat": { "WB-species-checked": "testedAndGuaranteed", "WB-species-dilution-info": "", "WB-species-notes": "<p></p>", "IHCP-species-checked": "testedAndGuaranteed", "IHCP-species-dilution-info": "", "IHCP-species-notes": "<p></p>", "IHCFr-species-checked": "notRecommended", "IHCFr-species-dilution-info": "", "IHCFr-species-notes": "<p></p>", "ICC-species-checked": "testedAndGuaranteed", "ICC-species-dilution-info": "", "ICC-species-notes": "<p></p>", "FlowCytIntra-species-checked": "notRecommended", "FlowCytIntra-species-dilution-info": "", "FlowCytIntra-species-notes": "", "IP-species-checked": "notRecommended", "IP-species-dilution-info": "", "IP-species-notes": "", "IELISA-species-checked": "guaranteed", "IELISA-species-dilution-info": "", "IELISA-species-notes": "" }, "Synthetic peptide - Human": { "WB-species-checked": "notRecommended", "WB-species-dilution-info": "", "WB-species-notes": "", "IHCP-species-checked": "notRecommended", "IHCP-species-dilution-info": "", "IHCP-species-notes": "", "IHCFr-species-checked": "notRecommended", "IHCFr-species-dilution-info": "", "IHCFr-species-notes": "", "ICC-species-checked": "notRecommended", "ICC-species-dilution-info": "", "ICC-species-notes": "", "FlowCytIntra-species-checked": "notRecommended", "FlowCytIntra-species-dilution-info": "", "FlowCytIntra-species-notes": "", "IP-species-checked": "notRecommended", "IP-species-dilution-info": "", "IP-species-notes": "", "IELISA-species-checked": "testedAndGuaranteed", "IELISA-species-dilution-info": "", "IELISA-species-notes": "<p></p>" } } }

Product details

Patented technology
Our RabMAb® technology is a patented hybridoma-based technology for making rabbit monoclonal antibodies. For details on our patents, please refer to RabMAb® patents.

What are the advantages of a recombinant monoclonal antibody?
This product is a recombinant monoclonal antibody, which offers several advantages including:

  • - High batch-to-batch consistency and reproducibility
  • - Improved sensitivity and specificity
  • - Long-term security of supply
  • - Animal-free batch production

For more information, read more on recombinant antibodies.

Conjugation ready
Our carrier-free antibodies are typically supplied in a PBS-only formulation, purified and free of BSA, sodium azide and glycerol. This conjugation-ready format is designed for use with fluorochromes, metal isotopes, oligonucleotides, and enzymes, which makes them ideal for antibody labelling, functional and cell-based assays, flow-based assays (e.g. mass cytometry) and Multiplex Imaging applications.

Use our conjugation kits for antibody conjugates that are ready-to-use in as little as 20 minutes with 1 minute hands-on-time and 100% antibody recovery: available for fluorescent dyes, HRP, biotin and gold.

Compatibility
This product is compatible with the Maxpar® Antibody Labeling Kit from Fluidigm, without the need for antibody preparation. Maxpar® is a trademark of Fluidigm Canada Inc.

Properties and storage information

Form
Liquid
Purification technique
Affinity purification Protein A
Storage buffer
pH: 7.2 - 7.4 Constituents: PBS
Shipped at conditions
Blue Ice
Appropriate short-term storage conditions
+4°C
Appropriate long-term storage conditions
+4°C

Supplementary information

This supplementary information is collated from multiple sources and compiled automatically.

Aldolase C also known as ALDOC is an enzyme that plays an important role in glycolysis. It catalyzes the reversible conversion of fructose-16-bisphosphate into dihydroxyacetone phosphate and glyceraldehyde-3-phosphate. Aldolase C has a molecular mass of approximately 39 kDa. This enzyme is primarily expressed in the brain particularly in astrocytes where it serves as an identifier for these cells.
Biological function summary

This enzyme contributes to energy metabolism within cells notably astrocytes. It is part of the aldolase family which includes isoenzymes like aldolase A and B that perform similar functions in different tissues. Aldolase C is involved in maintaining glucose homeostasis and energy production in the brain where it forms part of a complex with other glycolytic enzymes to facilitate efficient cellular respiration.

Pathways

Aldolase C is a significant component of the glycolytic pathway facilitating energy production in cells. It plays alongside other glycolytic enzymes such as hexokinase phosphofructokinase and pyruvate kinase to convert glucose into pyruvate transferring energy in the process. Additionally aldolase C participates in the fructose metabolism pathway similar to its isoenzymes aiding in the conversion of fructose derivatives important for maintaining normal energy levels in brain tissues.

Aldolase C has connections to neurological conditions like glioma and neurodegenerative diseases. Altered expression levels of aldolase C can indicate glioma progression or serve as a biomarker in astrocytic neurodegenerative disorders. The enzyme’s function is also linked to its interaction with other proteins such as Glial Fibrillary Acidic Protein (GFAP) in astrocytes which assist in maintaining normal cell structure and response to damage. Therefore aldolase C serves both as a metabolic enzyme and a potential marker in assessing neurological health and disease.

Product protocols

For this product, it's our understanding that no specific protocols are required. You can visit:

Product promise

We are committed to supporting your work with high-quality reagents, and we're here for you every step of the way. In the unlikely event that one of our products does not perform as expected, you're protected by our Product Promise.
For full details, please see our Terms & Conditions

Please note: All products are 'FOR RESEARCH USE ONLY. NOT FOR USE IN DIAGNOSTIC OR THERAPEUTIC PROCEDURES'.

For licensing inquiries, please contact partnerships@abcam.com