JavaScript is disabled in your browser. Please enable JavaScript to view this website.
AB175394

Anti-Aldose reductase antibody

Be the first to review this product! Submit a review

|

(9 Publications)

Rabbit Polyclonal Aldose reductase antibody. Suitable for WB, IHC-P and reacts with Human samples. Cited in 9 publications. Immunogen corresponding to Recombinant Full Length Protein corresponding to Human AKR1B1.

View Alternative Names

ALDR1, ALR2, AKR1B1, Aldo-keto reductase family 1 member B1, Aldehyde reductase, Aldose reductase, AR

2 Images
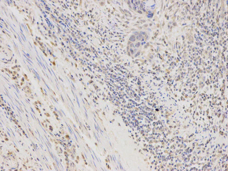
Immunohistochemistry (Formalin/PFA-fixed paraffin-embedded sections) - Anti-Aldose reductase antibody (AB175394)
  • IHC-P

Unknown

Immunohistochemistry (Formalin/PFA-fixed paraffin-embedded sections) - Anti-Aldose reductase antibody (AB175394)

Immunohistochemistry (Formalin/PFA-fixed paraffin-embedded sections) analysis of human esophageal cancer tissue labelling Aldose reductase with ab175394 at 1/200. Magnification : 200x.

Western blot - Anti-Aldose reductase antibody (AB175394)
  • WB

Supplier Data

Western blot - Anti-Aldose reductase antibody (AB175394)

All lanes:

Western blot - Anti-Aldose reductase antibody (ab175394) at 1/500 dilution

All lanes:

Human liver extract

Predicted band size: 35 kDa

false

Key facts

Host species

Rabbit

Clonality

Polyclonal

Isotype

IgG

Carrier free

No

Reacts with

Human

Applications

IHC-P, WB

applications

Immunogen

Recombinant Full Length Protein corresponding to Human AKR1B1.

P15121

Reactivity data

{ "title": "Reactivity Data", "filters": { "stats": ["", "Species", "Dilution Info", "Notes"], "tabs": { "all-applications": {"fullname" : "All Applications", "shortname": "All Applications"}, "WB" : {"fullname" : "Western blot", "shortname":"WB"}, "IHCP" : {"fullname" : "Immunohistochemistry (Formalin/PFA-fixed paraffin-embedded sections)", "shortname":"IHC-P"} }, "product-promise": { "all": "all", "testedAndGuaranteed": "tested", "guaranteed": "expected", "predicted": "predicted", "notRecommended": "not-recommended" } }, "values": { "Human": { "WB-species-checked": "testedAndGuaranteed", "WB-species-dilution-info": "1/500 - 1/2000", "WB-species-notes": "<p></p>", "IHCP-species-checked": "testedAndGuaranteed", "IHCP-species-dilution-info": "1/50 - 1/200", "IHCP-species-notes": "<p><a href='/en-us/products/primary-antibodies/rabbit-igg-polyclonal-isotype-control-chip-grade-ab171870'>ab171870</a> - Rabbit polyclonal IgG, is suitable for use as an isotype control with this antibody.</p>" } } }

Properties and storage information

Form
Liquid
Purification technique
Affinity purification Protein A
Storage buffer
pH: 7.3 Preservative: 0.02% Sodium azide Constituents: PBS, 50% Glycerol (glycerin, glycerine)
Shipped at conditions
Blue Ice
Appropriate short-term storage duration
1-2 weeks
Appropriate short-term storage conditions
+4°C
Appropriate long-term storage conditions
-20°C
Aliquoting information
Upon delivery aliquot
Storage information
Avoid freeze / thaw cycle

Supplementary information

This supplementary information is collated from multiple sources and compiled automatically.

Aldose reductase also known as AR or ALR2 is an important enzyme in the polyol pathway. It has a molecular mass of about 36 kDa and reduces aldehydes including glucose to their corresponding alcohols. Aldose reductase is expressed widely in various tissues such as kidney lens and retina. The enzyme uses NADPH as a cofactor which is important for its catalytic activity.
Biological function summary

The main function of aldose reductase involves converting glucose to sorbitol a process particularly active under hyperglycemic conditions. It does not form a part of a larger complex but works individually to facilitate this conversion. Sorbitol the product of its enzymatic reaction eventually converts to fructose through the action of sorbitol dehydrogenase. This two-step conversion can contribute to cellular damage due to osmotic stress when sorbitol accumulates.

Pathways

Aldose reductase plays a central role in the polyol pathway. This pathway becomes highly relevant when blood glucose levels are elevated. During such conditions aldose reductase activity increases to convert excess glucose to sorbitol. This activity links it to other proteins like sorbitol dehydrogenase which completes the conversion to fructose.

Aldose reductase has strong connections to diabetic complications specifically diabetic neuropathy and retinopathy. The enzyme’s increased activity under high glucose conditions can lead to osmotic stress and tissue damage. Interactions with other proteins in the metabolic shift associated with diabetes such as sorbitol dehydrogenase underline its involvement. Aldose reductase inhibitors show potential in mitigating these adverse effects by reducing sorbitol accumulation.

Product protocols

For this product, it's our understanding that no specific protocols are required. You can visit:

Target data

Catalyzes the NADPH-dependent reduction of a wide variety of carbonyl-containing compounds to their corresponding alcohols. Displays enzymatic activity towards endogenous metabolites such as aromatic and aliphatic aldehydes, ketones, monosacharides, bile acids and xenobiotics substrates. Key enzyme in the polyol pathway, catalyzes reduction of glucose to sorbitol during hyperglycemia (PubMed : 1936586). Reduces steroids and their derivatives and prostaglandins. Displays low enzymatic activity toward all-trans-retinal, 9-cis-retinal, and 13-cis-retinal (PubMed : 12732097, PubMed : 19010934, PubMed : 8343525). Catalyzes the reduction of diverse phospholipid aldehydes such as 1-palmitoyl-2-(5-oxovaleroyl)-sn -glycero-3-phosphoethanolamin (POVPC) and related phospholipid aldehydes that are generated from the oxydation of phosphotidylcholine and phosphatdyleethanolamides (PubMed : 17381426). Plays a role in detoxifying dietary and lipid-derived unsaturated carbonyls, such as crotonaldehyde, 4-hydroxynonenal, trans-2-hexenal, trans-2,4-hexadienal and their glutathione-conjugates carbonyls (GS-carbonyls) (PubMed : 21329684).
See full target information AKR1B1

Publications (9)

Recent publications for all applications. Explore the full list and refine your search

Journal of cellular and molecular medicine 28:e70192 PubMed39517099

2024

Hydrogen sulfide alleviates neural degeneration probably by reducing oxidative stress and aldose reductase expression.

Applications

Unspecified application

Species

Unspecified reactive species

Wenqi Shen,Tingyu Hu,Xin Wang,Xiaoyan Zhang,Junxi Lu,Huijuan Lu,Yanyun Hu,Fang Liu

Journal of translational medicine 20:556 PubMed36463238

2022

Platinum-resistance in epithelial ovarian cancer: an interplay of epithelial-mesenchymal transition interlinked with reprogrammed metabolism.

Applications

Unspecified application

Species

Unspecified reactive species

Dilys Leung,Zoe K Price,Noor A Lokman,Wanqi Wang,Lizamarie Goonetilleke,Elif Kadife,Martin K Oehler,Carmela Ricciardelli,George Kannourakis,Nuzhat Ahmed

Phytomedicine : international journal of phytotherapy and phytopharmacology 103:154214 PubMed35689902

2022

Scutellarin acts on the AR-NOX axis to remediate oxidative stress injury in a mouse model of cerebral ischemia/reperfusion injury.

Applications

Unspecified application

Species

Unspecified reactive species

Minzhen Deng,Jingbo Sun,Lilin Peng,Yan Huang,Wen Jiang,Shuang Wu,Lihua Zhou,Sookja Kim Chung,Xiao Cheng

Heliyon 5:e01781 PubMed31193485

2019

Polyphenols of marine red macroalga ameliorate diabetic peripheral neuropathy in experimental animals.

Applications

Unspecified application

Species

Unspecified reactive species

Suman Samaddar,Raju Koneri

Brain research bulletin 144:164-170 PubMed30508605

2018

Age-related alteration in the distribution of methylglyoxal and its metabolic enzymes in the mouse brain.

Applications

Unspecified application

Species

Unspecified reactive species

Shin Koike,Chihiro Ando,Yosuke Usui,Yosuke Kibune,Shoichi Nishimoto,Toshihiro Suzuki,Yuki Ogasawara

Acta pharmacologica Sinica 40:86-97 PubMed29930278

2018

The aldose reductase inhibitor epalrestat exerts nephritic protection on diabetic nephropathy in db/db mice through metabolic modulation.

Applications

Unspecified application

Species

Unspecified reactive species

Jun He,Hao-Xue Gao,Na Yang,Xiao-Dong Zhu,Run-Bin Sun,Yuan Xie,Cai-Hong Zeng,Jing-Wei Zhang,Jian-Kun Wang,Fei Ding,Ji-Ye Aa,Guang-Ji Wang

Neurochemical research 43:1491-1499 PubMed29948725

2018

AKR1B1 Upregulation Contributes to Neuroinflammation and Astrocytes Proliferation by Regulating the Energy Metabolism in Rat Spinal Cord Injury.

Applications

Unspecified application

Species

Unspecified reactive species

Xiaoqing Chen,Cheng Chen,Jie Hao,Rongqing Qin,Baiyu Qian,Kai Yang,Jiyun Zhang,Feng Zhang

The Journal of biological chemistry 292:3224-3238 PubMed27956549

2016

Loss of Glyoxalase 1 Induces Compensatory Mechanism to Achieve Dicarbonyl Detoxification in Mammalian Schwann Cells.

Applications

Unspecified application

Species

Unspecified reactive species

Jakob Morgenstern,Thomas Fleming,Dagmar Schumacher,Volker Eckstein,Marc Freichel,Stephan Herzig,Peter Nawroth

Genetics and molecular research : GMR 14:5970-8 PubMed26125796

2015

Proteomic analysis revealed the altered kidney protein profile of a Cyld knockout mouse model.

Applications

Unspecified application

Species

Unspecified reactive species

Y Zhao,Y Zhang,H B Song,F Wu,X L Wang,S-C Sun,T X Cui,D Q Tang
View all publications

Product promise

We are committed to supporting your work with high-quality reagents, and we're here for you every step of the way. In the unlikely event that one of our products does not perform as expected, you're protected by our Product Promise.
For full details, please see our Terms & Conditions

Please note: All products are 'FOR RESEARCH USE ONLY. NOT FOR USE IN DIAGNOSTIC OR THERAPEUTIC PROCEDURES'.

For licensing inquiries, please contact partnerships@abcam.com