JavaScript is disabled in your browser. Please enable JavaScript to view this website.
AB268058

Anti-Aldose reductase antibody [CPTC-AKR1B1-2]

Be the first to review this product! Submit a review

|

(2 Publications)

Mouse Monoclonal Aldose reductase antibody. Suitable for WB, Protein Array, IHC-P, ICC/IF and reacts with Human, Recombinant full length protein - Human samples. Cited in 2 publications. Immunogen corresponding to Recombinant Full Length Protein corresponding to Human AKR1B1.

View Alternative Names

ALDR1, ALR2, AKR1B1, Aldo-keto reductase family 1 member B1, Aldehyde reductase, Aldose reductase, AR

4 Images
Immunocytochemistry/ Immunofluorescence - Anti-Aldose reductase antibody [CPTC-AKR1B1-2] (AB268058)
  • ICC/IF

Unknown

Immunocytochemistry/ Immunofluorescence - Anti-Aldose reductase antibody [CPTC-AKR1B1-2] (AB268058)

Immunofluorescence staining of A549 cells labeling Aldose reductase with ab268058 at 2 ug/ml followed by a goat anti-Mouse IgG-CF488 (Green). Nuclei are labeled with Reddot (Blue)

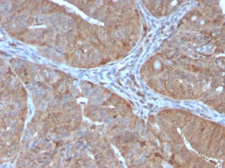
Immunohistochemistry (Formalin/PFA-fixed paraffin-embedded sections) - Anti-Aldose reductase antibody [CPTC-AKR1B1-2] (AB268058)
  • IHC-P

Unknown

Immunohistochemistry (Formalin/PFA-fixed paraffin-embedded sections) - Anti-Aldose reductase antibody [CPTC-AKR1B1-2] (AB268058)

Formalin-fixed, paraffin-embedded human Prostate stained for Aldose reductase using ab268058 at 2 μg/ml in immunohistochemical analysis.

Western blot - Anti-Aldose reductase antibody [CPTC-AKR1B1-2] (AB268058)
  • WB

Unknown

Western blot - Anti-Aldose reductase antibody [CPTC-AKR1B1-2] (AB268058)

All lanes:

Western blot - Anti-Aldose reductase antibody [CPTC-AKR1B1-2] (ab268058) at 2 µg/mL

All lanes:

HeLa (Human cervix adenocarcinoma epithelial cell) whole cell lysate

Predicted band size: 35 kDa

false

Protein Array - Anti-Aldose reductase antibody [CPTC-AKR1B1-2] (AB268058)
  • Protein Array

Unknown

Protein Array - Anti-Aldose reductase antibody [CPTC-AKR1B1-2] (AB268058)

Protein Array containing more than 19,000 full-length human proteins using ab268058. Z- and S- Score : The Z-score represents the strength of a signal that a monoclonal antibody (Monoclonal Antibody) (in combination with a fluorescently-tagged anti-IgG secondary antibody) produces when binding to a particular protein on the HuProtTM array. Z-scores are described in units of standard deviations (SD's) above the mean value of all signals generated on that array. If targets on HuProtTM are arranged in descending order of the Z-score, the S-score is the difference (also in units of SD's) between the Z-score. S-score therefore represents the relative target specificity of a Monoclonal Antibody to its intended target. A Monoclonal Antibody is considered to specific to its intended target, if the Monoclonal Antibody has an S-score of at least 2.5. For example, if a Monoclonal Antibody binds to protein X with a Z-score of 43 and to protein Y with a Z-score of 14, then the S-score for the binding of that Monoclonal Antibody to protein X is equal to 29.

Key facts

Host species

Mouse

Clonality

Monoclonal

Clone number

CPTC-AKR1B1-2

Isotype

IgG1

Light chain type

kappa

Carrier free

No

Reacts with

Human

Applications

WB, ICC/IF, Protein Array, IHC-P

applications

Immunogen

Recombinant Full Length Protein corresponding to Human AKR1B1.

P15121

Reactivity data

{ "title": "Reactivity Data", "filters": { "stats": ["", "Species", "Dilution Info", "Notes"], "tabs": { "all-applications": {"fullname" : "All Applications", "shortname": "All Applications"}, "WB" : {"fullname" : "Western blot", "shortname":"WB"}, "ProteinArray" : {"fullname" : "Protein Array", "shortname":"Protein Array"}, "IHCP" : {"fullname" : "Immunohistochemistry (Formalin/PFA-fixed paraffin-embedded sections)", "shortname":"IHC-P"}, "ICCIF" : {"fullname" : "Immunocytochemistry/ Immunofluorescence", "shortname":"ICC/IF"} }, "product-promise": { "all": "all", "testedAndGuaranteed": "tested", "guaranteed": "expected", "predicted": "predicted", "notRecommended": "not-recommended" } }, "values": { "Human": { "WB-species-checked": "testedAndGuaranteed", "WB-species-dilution-info": "1-2 µg/mL", "WB-species-notes": "<p></p>", "ProteinArray-species-checked": "guaranteed", "ProteinArray-species-dilution-info": "", "ProteinArray-species-notes": "", "IHCP-species-checked": "testedAndGuaranteed", "IHCP-species-dilution-info": "1-2 µg/mL", "IHCP-species-notes": "<p>10mM Tris with 1mM EDTA, pH 9.0, for 45 min at 95°C followed by cooling at RT for 20 minutes.</p>", "ICCIF-species-checked": "testedAndGuaranteed", "ICCIF-species-dilution-info": "1-2 µg/mL", "ICCIF-species-notes": "<p></p>" }, "Recombinant full length protein - Human": { "WB-species-checked": "notRecommended", "WB-species-dilution-info": "", "WB-species-notes": "", "ProteinArray-species-checked": "testedAndGuaranteed", "ProteinArray-species-dilution-info": "", "ProteinArray-species-notes": "<p></p>", "IHCP-species-checked": "notRecommended", "IHCP-species-dilution-info": "", "IHCP-species-notes": "", "ICCIF-species-checked": "notRecommended", "ICCIF-species-dilution-info": "", "ICCIF-species-notes": "" } } }

Properties and storage information

Form
Liquid
Purification technique
Affinity purification Protein A/G
Purification notes
Purified from Bioreactor concentrate
Storage buffer
pH: 7.2 - 7.4 Preservative: 0.05% Sodium azide Constituents: PBS, 0.05% BSA
Shipped at conditions
Blue Ice
Appropriate short-term storage duration
1-2 weeks
Appropriate short-term storage conditions
+4°C
Appropriate long-term storage conditions
-20°C
Aliquoting information
Upon delivery aliquot
Storage information
Avoid freeze / thaw cycle

Supplementary information

This supplementary information is collated from multiple sources and compiled automatically.

Aldose reductase also known as AR or ALR2 is an important enzyme in the polyol pathway. It has a molecular mass of about 36 kDa and reduces aldehydes including glucose to their corresponding alcohols. Aldose reductase is expressed widely in various tissues such as kidney lens and retina. The enzyme uses NADPH as a cofactor which is important for its catalytic activity.
Biological function summary

The main function of aldose reductase involves converting glucose to sorbitol a process particularly active under hyperglycemic conditions. It does not form a part of a larger complex but works individually to facilitate this conversion. Sorbitol the product of its enzymatic reaction eventually converts to fructose through the action of sorbitol dehydrogenase. This two-step conversion can contribute to cellular damage due to osmotic stress when sorbitol accumulates.

Pathways

Aldose reductase plays a central role in the polyol pathway. This pathway becomes highly relevant when blood glucose levels are elevated. During such conditions aldose reductase activity increases to convert excess glucose to sorbitol. This activity links it to other proteins like sorbitol dehydrogenase which completes the conversion to fructose.

Aldose reductase has strong connections to diabetic complications specifically diabetic neuropathy and retinopathy. The enzyme’s increased activity under high glucose conditions can lead to osmotic stress and tissue damage. Interactions with other proteins in the metabolic shift associated with diabetes such as sorbitol dehydrogenase underline its involvement. Aldose reductase inhibitors show potential in mitigating these adverse effects by reducing sorbitol accumulation.

Product protocols

For this product, it's our understanding that no specific protocols are required. You can visit:

Target data

Catalyzes the NADPH-dependent reduction of a wide variety of carbonyl-containing compounds to their corresponding alcohols. Displays enzymatic activity towards endogenous metabolites such as aromatic and aliphatic aldehydes, ketones, monosacharides, bile acids and xenobiotics substrates. Key enzyme in the polyol pathway, catalyzes reduction of glucose to sorbitol during hyperglycemia (PubMed : 1936586). Reduces steroids and their derivatives and prostaglandins. Displays low enzymatic activity toward all-trans-retinal, 9-cis-retinal, and 13-cis-retinal (PubMed : 12732097, PubMed : 19010934, PubMed : 8343525). Catalyzes the reduction of diverse phospholipid aldehydes such as 1-palmitoyl-2-(5-oxovaleroyl)-sn -glycero-3-phosphoethanolamin (POVPC) and related phospholipid aldehydes that are generated from the oxydation of phosphotidylcholine and phosphatdyleethanolamides (PubMed : 17381426). Plays a role in detoxifying dietary and lipid-derived unsaturated carbonyls, such as crotonaldehyde, 4-hydroxynonenal, trans-2-hexenal, trans-2,4-hexadienal and their glutathione-conjugates carbonyls (GS-carbonyls) (PubMed : 21329684).
See full target information AKR1B1

Publications (2)

Recent publications for all applications. Explore the full list and refine your search

BMC infectious diseases 24:1214 PubMed39468469

2024

The potential value of fatty acid binding protein 1 in Chronic HBV-related liver disease progression assessment.

Applications

Unspecified application

Species

Unspecified reactive species

Shasha Ma,Xiaoyan Li,Chao Wu,Kuerbannisa Wulayin,Mingna Li,Lian Zhou,Shutao Lin,Zhaoxia Hu,Maimaitiaili Tuerxun,Bingliang Lin,Lubiao Chen

Journal of translational medicine 21:700 PubMed37805545

2023

Novel role for epalrestat: protecting against NLRP3 inflammasome-driven NASH by targeting aldose reductase.

Applications

Unspecified application

Species

Unspecified reactive species

Wei Shi,Guang Xu,Yuan Gao,Jun Zhao,Tingting Liu,Jia Zhao,Huijie Yang,Ziying Wei,Hui Li,An-Long Xu,Zhaofang Bai,Xiaohe Xiao
View all publications

Product promise

We are committed to supporting your work with high-quality reagents, and we're here for you every step of the way. In the unlikely event that one of our products does not perform as expected, you're protected by our Product Promise.
For full details, please see our Terms & Conditions

Please note: All products are 'FOR RESEARCH USE ONLY. NOT FOR USE IN DIAGNOSTIC OR THERAPEUTIC PROCEDURES'.

For licensing inquiries, please contact partnerships@abcam.com