JavaScript is disabled in your browser. Please enable JavaScript to view this website.
AB201744

Alexa Fluor® 594 Anti-JAK2 (phospho Y1007 + Y1008) + JAK1 (phospho Y1034 + Y1035) antibody [E132]

Be the first to review this product! Submit a review

|

(1 Publication)

Rabbit Recombinant Monoclonal JAK2 (phospho Y1007 + Y1008) and JAK1 (phospho Y1034 + Y1035) antibody - conjugated to Alexa Fluor® 594. Suitable for ICC/IF and reacts with Human samples.

View Alternative Names

Tyrosine-protein kinase JAK2, Janus kinase 2, JAK-2, JAK2, JAK1A, JAK1B, JAK1, Tyrosine-protein kinase JAK1, Janus kinase 1, JAK-1

2 Images
Immunocytochemistry/ Immunofluorescence - Alexa Fluor® 594 Anti-JAK2 (phospho Y1007 + Y1008) + JAK1 (phospho Y1034 + Y1035) antibody [E132] (AB201744)
  • ICC/IF

Lab

Immunocytochemistry/ Immunofluorescence - Alexa Fluor® 594 Anti-JAK2 (phospho Y1007 + Y1008) + JAK1 (phospho Y1034 + Y1035) antibody [E132] (AB201744)

ab201744 staining JAK2 (phospho Y1007 + Y1008) in Jurkat cells, starved of serum for 16 hours then treated with 1mM Pervanadate for 30mins at 37°C (Treated) or solvent-only for control purposes (Non-treated). The cells were fixed with 4% formaldehyde (10 min) permeabilized with 0.1% Triton X-100 for 5 minutes and then blocked with 10% normal goat serum in 0.1% PBS-Tween for 1h. The cells were then incubated overnight at +4°C with ab201744 at 1/100 dilution (shown in red) and ab195887, Mouse monoclonal to alpha Tubulin (Alexa Fluor® 488) at 1/200 dilution (shown in green). Nuclear DNA was labelled with DAPI (shown in blue).

Image was taken with a confocal microscope (Leica-Microsystems, TCS SP8).

Western blot - Alexa Fluor® 594 Anti-JAK2 (phospho Y1007 + Y1008) + JAK1 (phospho Y1034 + Y1035) antibody [E132] (AB201744)
  • WB

Lab

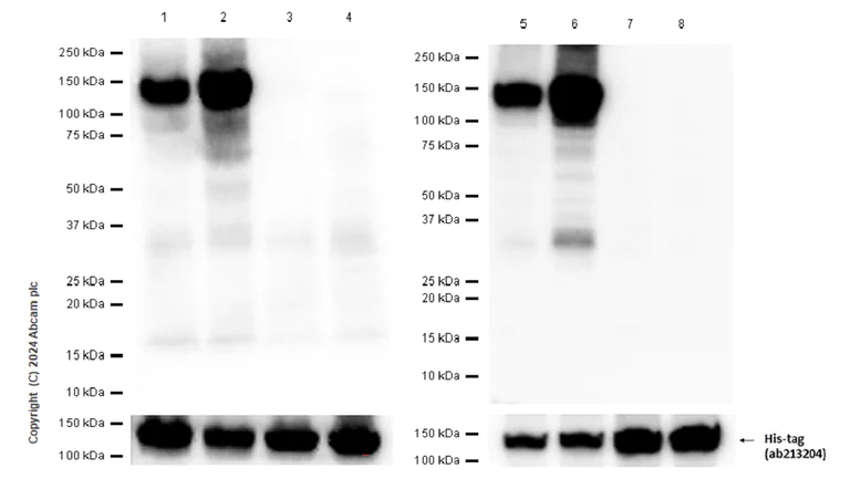
Western blot - Alexa Fluor® 594 Anti-JAK2 (phospho Y1007 + Y1008) + JAK1 (phospho Y1034 + Y1035) antibody [E132] (AB201744)

This data was developed using the same antibody clone in a different buffer formulation (ab32101).

Blocking and dilution buffer : 5% NFDM /TBST.

All lanes:

Western blot - Anti-JAK2 (phospho Y1007 + Y1008) + JAK1 (phospho Y1034 + Y1035) antibody [E132] (<a href='/en-us/products/primary-antibodies/jak2-phospho-y1007-y1008-jak1-phospho-y1034-y1035-antibody-e132-ab32101'>ab32101</a>) at 1/1000 dilution

Lane 1:

293T cells transfected with a Human JAK1 expression vector containing a His tag whole cell lysate at 20 µg

Lane 2:

293T cells transfected with a Human JAK1 expression vector containing a His tag were treated with 50uM pervanadate for 30 min whole cell lysate at 20 µg

Lane 3:

293T cells transfected with a Human JAK1 (mutated Y1034A, mutated Y1035A) expression vector containing a His tag whole cell lysate at 20 µg

Lane 4:

293T cells transfected with a Human JAK1 (mutated Y1034A, mutated Y1035A) expression vector containing a His tag were treated with 50uM pervanadate for 30 min whole cell lysate at 20 µg

Lane 5:

293T cells transfected with a Human JAK2 expression vector containing a His tag whole cell lysate at 20 µg

Lane 6:

293T cells transfected with a Human JAK2 expression vector containing a His tag were treated with 50uM pervanadate for 30 min whole cell lysate at 20 µg

Lane 7:

293T cells transfected with a Human JAK2 (mutated Y1007A, mutated Y1008A) expression vector containing a His tag whole cell lysate at 20 µg

Lane 8:

293T cells transfected with a Human JAK2 (mutated Y1007A, mutated Y1008A) expression vector containing a His tag were treated with 50uM pervanadate for 30 min whole cell lysate at 20 µg

Secondary

All lanes:

Western blot - Goat Anti-Rabbit IgG H&L (HRP) (<a href='/en-us/products/secondary-antibodies/goat-rabbit-igg-h-l-hrp-ab97051'>ab97051</a>) at 1/20000 dilution

Observed band size: 130 kDa

false

Exposure time: 7s

  • 519 Alexa Fluor® 488

    Alexa Fluor® 488 Anti-JAK2 (phospho Y1007 + Y1008) + JAK1 (phospho Y1034 + Y1035) antibody [E132]

  • 665 Alexa Fluor® 647

    Alexa Fluor® 647 Anti-JAK2 (phospho Y1007 + Y1008) + JAK1 (phospho Y1034 + Y1035) antibody [E132]

  • 578 PE

    PE Anti-JAK2 (phospho Y1007 + Y1008) + JAK1 (phospho Y1034 + Y1035) antibody [E132]

  • 660 APC

    APC Anti-JAK2 (phospho Y1007 + Y1008)+ JAK1 (phospho Y1034 + Y1035) antibody [E132]

  • HRP

    HRP Anti-JAK2 (phospho Y1007 + Y1008) + JAK1 (phospho Y1034 + Y1035) antibody [E132]

  • 565 Alexa Fluor® 555

    Alexa Fluor® 555 Anti-JAK2 (phospho Y1007 + Y1008) + JAK1 (phospho Y1034 + Y1035) antibody [E132]

  • 603 Alexa Fluor® 568

    Alexa Fluor® 568 Anti-JAK2 (phospho Y1007 + Y1008) + JAK1 (phospho Y1034 + Y1035) antibody [E132]

  • 775 Alexa Fluor® 750

    Alexa Fluor® 750 Anti-JAK2 (phospho Y1007 + Y1008) + JAK1 (phospho Y1034 + Y1035) antibody [E132]

  • Unconjugated

    Anti-JAK2 (phospho Y1007 + Y1008) + JAK1 (phospho Y1034 + Y1035) antibody [E132]

  • Carrier free

    Anti-JAK2 (phospho Y1007 + Y1008) + JAK1 (phospho Y1034 + Y1035) antibody [E132] - BSA & Azide free

Key facts

Host species

Rabbit

Clonality

Monoclonal

Clone number

E132

Isotype

IgG

Conjugation

Alexa Fluor® 594

Excitation/Emission

Ex: 590nm, Em: 617nm

Carrier free

No

Reacts with

Human

Applications

IHC-P, ICC/IF, Flow Cyt (Intra)

applications

Immunogen

The exact immunogen used to generate this antibody is proprietary information.

Specificity

Stimulation may be required to allow detection of the phosphorylated protein. Please see images below for recommended treatment conditions and positive controls.

Reactivity data

{ "title": "Reactivity Data", "filters": { "stats": ["", "Species", "Dilution Info", "Notes"], "tabs": { "all-applications": {"fullname" : "All Applications", "shortname": "All Applications"}, "ICCIF" : {"fullname" : "Immunocytochemistry/ Immunofluorescence", "shortname":"ICC/IF"}, "FlowCytIntra" : {"fullname" : "Flow Cytometry (Intracellular)", "shortname":"Flow Cyt (Intra)"}, "IHCP" : {"fullname" : "Immunohistochemistry (Formalin/PFA-fixed paraffin-embedded sections)", "shortname":"IHC-P"} }, "product-promise": { "all": "all", "testedAndGuaranteed": "tested", "guaranteed": "expected", "predicted": "predicted", "notRecommended": "not-recommended" } }, "values": { "Human": { "ICCIF-species-checked": "testedAndGuaranteed", "ICCIF-species-dilution-info": "1/50 - 1/100", "ICCIF-species-notes": "<p></p>", "FlowCytIntra-species-checked": "guaranteed", "FlowCytIntra-species-dilution-info": "", "FlowCytIntra-species-notes": "<p></p>", "IHCP-species-checked": "guaranteed", "IHCP-species-dilution-info": "", "IHCP-species-notes": "<p></p>" }, "Mouse": { "ICCIF-species-checked": "guaranteed", "ICCIF-species-dilution-info": "", "ICCIF-species-notes": "<p></p>", "FlowCytIntra-species-checked": "guaranteed", "FlowCytIntra-species-dilution-info": "", "FlowCytIntra-species-notes": "<p></p>", "IHCP-species-checked": "guaranteed", "IHCP-species-dilution-info": "", "IHCP-species-notes": "<p></p>" }, "Rat": { "ICCIF-species-checked": "guaranteed", "ICCIF-species-dilution-info": "", "ICCIF-species-notes": "<p></p>", "FlowCytIntra-species-checked": "guaranteed", "FlowCytIntra-species-dilution-info": "", "FlowCytIntra-species-notes": "<p></p>", "IHCP-species-checked": "guaranteed", "IHCP-species-dilution-info": "", "IHCP-species-notes": "<p></p>" } } }

Product details

Patented technology
Our RabMAb® technology is a patented hybridoma-based technology for making rabbit monoclonal antibodies. For details on our patents, please refer to RabMAb® patents.

Alexa Fluor® is a registered trademark of Molecular Probes, Inc, a Thermo Fisher Scientific Company. The Alexa Fluor® dye included in this product is provided under an intellectual property license from Life Technologies Corporation. As this product contains the Alexa Fluor® dye, the purchase of this product conveys to the buyer the non-transferable right to use the purchased product and components of the product only in research conducted by the buyer (whether the buyer is an academic or for-profit entity). As this product contains the Alexa Fluor® dye the sale of this product is expressly conditioned on the buyer not using the product or its components, or any materials made using the product or its components, in any activity to generate revenue, which may include, but is not limited to use of the product or its components: in manufacturing; (ii) to provide a service, information, or data in return for payment (iii) for therapeutic, diagnostic or prophylactic purposes; or (iv) for resale, regardless of whether they are sold for use in research. For information on purchasing a license to this product for purposes other than research, contact Life Technologies Corporation, 5781 Van Allen Way, Carlsbad, CA 92008 USA or outlicensing@thermofisher.com.

Properties and storage information

Form
Liquid
Purification technique
Affinity purification Protein A
Storage buffer
pH: 7.4 Preservative: 0.02% Sodium azide Constituents: PBS, 30% Glycerol (glycerin, glycerine), 0.05% BSA
Shipped at conditions
Blue Ice
Appropriate short-term storage duration
1-2 weeks
Appropriate short-term storage conditions
+4°C
Appropriate long-term storage conditions
-20°C
Aliquoting information
Upon delivery aliquot
Storage information
Avoid freeze / thaw cycle|Store in the dark

Supplementary information

This supplementary information is collated from multiple sources and compiled automatically.

JAK2 also known as Janus kinase 2 is a protein tyrosine kinase with a molecular weight of 125 kDa. It plays an essential mechanical role in the signaling pathways by acting as an intermediary between cell surface receptors and intracellular signaling molecules. The JAK2 protein binds to certain cytokine receptors facilitating signal transduction necessary for various cellular responses. JAK2 is expressed in many tissues including hematopoietic cells which are associated with the blood and immune systems.
Biological function summary

JAK2 is important for transmitting signals that dictate cell growth survival and differentiation within the hematopoietic system. It operates bodily functions by forming complexes with specific phosphorylation sites on its associated receptors. Through this formation JAK2 influences the signaling cascade particularly by interacting with other signal transducers and activators where it phosphorylates and becomes activated. This action affects gene transcription directly correlated with cellular proliferation and differentiation processes.

Pathways

The function of JAK2 integrates into the JAK-STAT signaling pathway which is an important pathway in the regulation of immune function growth and development. It works in conjunction with proteins such as STAT3 and STAT5 to transmit signals from cytokine receptors to the nucleus. This pathway critically impacts responses like inflammation and hematopoiesis aligning with its role in precursor proliferation within the bone marrow and various immune cells’ function.

JAK2 has significant implications in conditions like myeloproliferative neoplasms and polycythemia vera. Mutations in the JAK2 gene notably the JAK2 V617F mutation lead to uncontrolled cell division as they disrupt normal signaling mechanisms often resulting in blood cell disorders. In these contexts JAK2 interacts with proteins such as EpoR and MPL which play roles within these disease pathways. Understanding how JAK2 mutations contribute to disease progression offers pathways for targeted therapies.

Product protocols

For this product, it's our understanding that no specific protocols are required. You can visit:

Target data

Non-receptor tyrosine kinase involved in various processes such as cell growth, development, differentiation or histone modifications. Mediates essential signaling events in both innate and adaptive immunity. In the cytoplasm, plays a pivotal role in signal transduction via its association with type I receptors such as growth hormone (GHR), prolactin (PRLR), leptin (LEPR), erythropoietin (EPOR), thrombopoietin receptor (MPL/TPOR); or type II receptors including IFN-alpha, IFN-beta, IFN-gamma and multiple interleukins (PubMed : 15690087, PubMed : 7615558, PubMed : 9657743, PubMed : 15899890). Following ligand-binding to cell surface receptors, phosphorylates specific tyrosine residues on the cytoplasmic tails of the receptor, creating docking sites for STATs proteins (PubMed : 15690087, PubMed : 9618263). Subsequently, phosphorylates the STATs proteins once they are recruited to the receptor. Phosphorylated STATs then form homodimer or heterodimers and translocate to the nucleus to activate gene transcription. For example, cell stimulation with erythropoietin (EPO) during erythropoiesis leads to JAK2 autophosphorylation, activation, and its association with erythropoietin receptor (EPOR) that becomes phosphorylated in its cytoplasmic domain (PubMed : 9657743). Then, STAT5 (STAT5A or STAT5B) is recruited, phosphorylated and activated by JAK2. Once activated, dimerized STAT5 translocates into the nucleus and promotes the transcription of several essential genes involved in the modulation of erythropoiesis. Part of a signaling cascade that is activated by increased cellular retinol and that leads to the activation of STAT5 (STAT5A or STAT5B) (PubMed : 21368206). In addition, JAK2 mediates angiotensin-2-induced ARHGEF1 phosphorylation (PubMed : 20098430). Plays a role in cell cycle by phosphorylating CDKN1B (PubMed : 21423214). Cooperates with TEC through reciprocal phosphorylation to mediate cytokine-driven activation of FOS transcription. In the nucleus, plays a key role in chromatin by specifically mediating phosphorylation of 'Tyr-41' of histone H3 (H3Y41ph), a specific tag that promotes exclusion of CBX5 (HP1 alpha) from chromatin (PubMed : 19783980). Up-regulates the potassium voltage-gated channel activity of KCNA3 (PubMed : 25644777).
See full target information JAK2 phospho Y1007 + Y1008

Additional targets

JAK1 phospho Y1034 + Y1035

Publications (1)

Recent publications for all applications. Explore the full list and refine your search

Biomicrofluidics 18:054105 PubMed39280192

2024

An multi-organ microphysiological system (MPS) to investigate the gut-to-brain translocation of neurotoxins.

Applications

Unspecified application

Species

Unspecified reactive species

Emily J Jones,Benjamin M Skinner,Aimee Parker,Lydia R Baldwin,John Greenman,Simon R Carding,Simon G P Funnell
View all publications

Product promise

We are committed to supporting your work with high-quality reagents, and we're here for you every step of the way. In the unlikely event that one of our products does not perform as expected, you're protected by our Product Promise.
For full details, please see our Terms & Conditions

Please note: All products are 'FOR RESEARCH USE ONLY. NOT FOR USE IN DIAGNOSTIC OR THERAPEUTIC PROCEDURES'.

For licensing inquiries, please contact partnerships@abcam.com