JavaScript is disabled in your browser. Please enable JavaScript to view this website.
AB192056

Alexa Fluor® 647 Anti-Cytokeratin 14 antibody [EP1612Y]

Be the first to review this product! Submit a review

|

(3 Publications)

Rabbit Recombinant Monoclonal Cytokeratin 14 antibody - conjugated to Alexa Fluor® 647. Suitable for IHC-P, ICC/IF and reacts with Human samples. Cited in 3 publications.

View Alternative Names

Cytokeratin-14, Keratin-14, CK-14, K14, KRT14

4 Images
Immunocytochemistry/ Immunofluorescence - Alexa Fluor® 647 Anti-Cytokeratin 14 antibody [EP1612Y] (AB192056)
  • ICC/IF

Supplier Data

Immunocytochemistry/ Immunofluorescence - Alexa Fluor® 647 Anti-Cytokeratin 14 antibody [EP1612Y] (AB192056)

ab192056 staining KRT14 in wild-type A431 cells (top panel) and KRT14 knockout A431 cells (bottom panel). The cells were fixed with 100% methanol (5 min) then permeabilized with 0.1% Triton X-100 for 5 minutes and then blocked with 1% BSA/10% normal goat serum/0.3M glycine in 0.1% PBS-Tween for 1h. The cells were then incubated with ab192056 at 1/100 dilution and ab195887 (Mouse monoclonal to alpha Tubulin - Alexa Fluor® 488) at 1/250 dilution overnight at 4°C. Nuclear DNA was labelled in blue with DAPI.
Image was taken with a confocal microscope (Leica-Microsystems TCS SP8).

Immunocytochemistry/ Immunofluorescence - Alexa Fluor® 647 Anti-Cytokeratin 14 antibody [EP1612Y] (AB192056)
  • ICC/IF

Supplier Data

Immunocytochemistry/ Immunofluorescence - Alexa Fluor® 647 Anti-Cytokeratin 14 antibody [EP1612Y] (AB192056)

ab192056 staining Cytokeratin 14 in A431 cells. The cells were fixed with 100% methanol (5min), permeabilized in 0.1% Triton X-100 for 5 minutes and then blocked in 1% BSA/10% normal goat serum/0.3M glycine in 0.1% PBS-Tween for 1h. The cells were then incubated with ab192056 at a working dilution of 1 in 100 (shown in red) and ab7291 (Mouse monoclonal [DM1A] to alpha Tubulin) at 1μg/ml overnight at +4°C, followed by a further incubation at room temperature for 1h with an Alexa Fluor® 488 Goat anti-Mouse secondary (ab150117) at 2μg/ml (shown in green). Nuclear DNA was labelled in blue with DAPI.

This product gave a positive signal in 4% formaldehyde (10min) fixed HeLa cells under the same testing conditions.

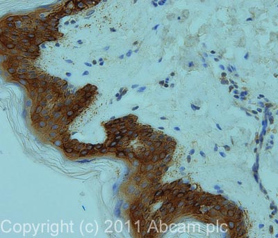
Immunohistochemistry (Formalin/PFA-fixed paraffin-embedded sections) - Alexa Fluor® 647 Anti-Cytokeratin 14 antibody [EP1612Y] (AB192056)
  • IHC-P

Lab

Immunohistochemistry (Formalin/PFA-fixed paraffin-embedded sections) - Alexa Fluor® 647 Anti-Cytokeratin 14 antibody [EP1612Y] (AB192056)

Immunohistochemical analysis of paraffin-embedded Human skin tissue labelling Anti-Cytokeratin 14 with ab192056 at 1/50 (10.0 ug/ml) dilution.

Positive staining on Human skin.

The primary antibody was incubated for 60 mins at room temperature (shown in magenta). Nuclear DNA was labelled with DAPI (shown in blue). The section was then mounted using Fluoromount®.

The immunostaining was performed on a Leica Biosystems BOND RX instrument. Image was taken with a confocal microscope (Leica-Microsystems, TCS SP8).

Heat mediated antigen retrieval was performed with Tris-EDTA buffer (pH 9.0, Epitope Retrieval Solution2) for 40 mins.

Immunohistochemistry (Formalin/PFA-fixed paraffin-embedded sections) - Alexa Fluor® 647 Anti-Cytokeratin 14 antibody [EP1612Y] (AB192056)
  • IHC-P

Lab

Immunohistochemistry (Formalin/PFA-fixed paraffin-embedded sections) - Alexa Fluor® 647 Anti-Cytokeratin 14 antibody [EP1612Y] (AB192056)

Immunohistochemical analysis of paraffin-embedded Human skeletal muscle tissue labelling Anti-Cytokeratin 14 with ab192056 at 1/50 (10.0 ug/ml) dilution.

Negative control : no staining on Human skeletal muscle.

The primary antibody was incubated for 60 mins at room temperature (shown in magenta). Nuclear DNA was labelled with DAPI (shown in blue). The section was then mounted using Fluoromount®.

The immunostaining was performed on a Leica Biosystems BOND RX instrument. Image was taken with a confocal microscope (Leica-Microsystems, TCS SP8).

Heat mediated antigen retrieval was performed with Tris-EDTA buffer (pH 9.0, Epitope Retrieval Solution2) for 40 mins.

  • 578 PE

    PE Anti-Cytokeratin 14 antibody [EP1612Y]

  • 519 Alexa Fluor® 488

    Alexa Fluor® 488 Anti-Cytokeratin 14 antibody [EP1612Y]

  • 565 Alexa Fluor® 555

    Alexa Fluor® 555 Anti-Cytokeratin 14 antibody [EP1612Y]

  • Unconjugated

    Anti-Cytokeratin 14 antibody [EP1612Y]

  • Carrier free

    Anti-Cytokeratin 14 antibody [EP1612Y] - BSA and Azide free

Key facts

Host species

Rabbit

Clonality

Monoclonal

Clone number

EP1612Y

Isotype

IgG

Conjugation

Alexa Fluor® 647

Excitation/Emission

Ex: 650nm, Em: 665nm

Carrier free

No

Reacts with

Human

Applications

IHC-P, ICC/IF

applications

Immunogen

The exact immunogen used to generate this antibody is proprietary information.

Specificity

From Jan 2026, QC testing of replenishment batches of this primary conjugate changed. All tested and expected application and reactive species combinations are still covered by our Abcam product promise. However, the replenishment lots are subjected to bioanalytical testing only. For more information on a specific batch, please contact our Scientific Support who will be happy to help.

Reactivity data

{ "title": "Reactivity Data", "filters": { "stats": ["", "Species", "Dilution Info", "Notes"], "tabs": { "all-applications": {"fullname" : "All Applications", "shortname": "All Applications"}, "IHCP" : {"fullname" : "Immunohistochemistry (Formalin/PFA-fixed paraffin-embedded sections)", "shortname":"IHC-P"}, "ICCIF" : {"fullname" : "Immunocytochemistry/ Immunofluorescence", "shortname":"ICC/IF"} }, "product-promise": { "all": "all", "testedAndGuaranteed": "tested", "guaranteed": "expected", "predicted": "predicted", "notRecommended": "not-recommended" } }, "values": { "Human": { "IHCP-species-checked": "testedAndGuaranteed", "IHCP-species-dilution-info": "1/50", "IHCP-species-notes": "<p></p> Perform heat-mediated antigen retrieval with Tris/EDTA buffer pH 9.0 before commencing with IHC staining protocol.", "ICCIF-species-checked": "testedAndGuaranteed", "ICCIF-species-dilution-info": "1/100", "ICCIF-species-notes": "<p>Signal can be observed in cells fixed with MeOH or PFA.</p>" }, "Mouse": { "IHCP-species-checked": "notRecommended", "IHCP-species-dilution-info": "", "IHCP-species-notes": "", "ICCIF-species-checked": "notRecommended", "ICCIF-species-dilution-info": "1/100", "ICCIF-species-notes": "<p>Signal can be observed in cells fixed with MeOH or PFA.</p>" }, "Rat": { "IHCP-species-checked": "notRecommended", "IHCP-species-dilution-info": "", "IHCP-species-notes": "", "ICCIF-species-checked": "notRecommended", "ICCIF-species-dilution-info": "1/100", "ICCIF-species-notes": "<p>Signal can be observed in cells fixed with MeOH or PFA.</p>" } } }

Product details

Patented technology
Our RabMAb® technology is a patented hybridoma-based technology for making rabbit monoclonal antibodies. For details on our patents, please refer to RabMAb® patents.

Alexa Fluor® is a registered trademark of Molecular Probes, Inc, a Thermo Fisher Scientific Company. The Alexa Fluor® dye included in this product is provided under an intellectual property license from Life Technologies Corporation. As this product contains the Alexa Fluor® dye, the purchase of this product conveys to the buyer the non-transferable right to use the purchased product and components of the product only in research conducted by the buyer (whether the buyer is an academic or for-profit entity). As this product contains the Alexa Fluor® dye the sale of this product is expressly conditioned on the buyer not using the product or its components, or any materials made using the product or its components, in any activity to generate revenue, which may include, but is not limited to use of the product or its components: in manufacturing; (ii) to provide a service, information, or data in return for payment (iii) for therapeutic, diagnostic or prophylactic purposes; or (iv) for resale, regardless of whether they are sold for use in research. For information on purchasing a license to this product for purposes other than research, contact Life Technologies Corporation, 5781 Van Allen Way, Carlsbad, CA 92008 USA or outlicensing@thermofisher.com.

Properties and storage information

Form
Liquid
Purification technique
Affinity purification Protein A
Storage buffer
pH: 7.4 Preservative: 0.02% Sodium azide Constituents: PBS, 30% Glycerol (glycerin, glycerine), 1% BSA
Shipped at conditions
Blue Ice
Appropriate short-term storage duration
1-2 weeks
Appropriate short-term storage conditions
+4°C
Appropriate long-term storage conditions
-20°C
Aliquoting information
Upon delivery aliquot
Storage information
Avoid freeze / thaw cycle|Store in the dark

Supplementary information

This supplementary information is collated from multiple sources and compiled automatically.

Cytokeratin 14 also known as CK14 keratin 14 or KRT14 is a type I keratin protein with a molecular mass of approximately 50 kDa. It forms intermediate filaments in epithelial cells primarily in the basal layer of stratified epithelium and is part of the cytoskeleton. Cytokeratin 14 expression appears in tissues such as the epidermis tongue and esophagus where it contributes to the structural integrity and mechanical stability of cells. Laboratories often utilize antibodies like anti-K14 and labels such as Alexa Fluor 555 or Alexa Fluor 647 to identify cytokeratin 14 in research settings.
Biological function summary

This protein significantly contributes to the maintenance and regeneration of epithelial tissues by forming a network of filaments with keratin 5. KRT14 pairs with keratin 5 to create a keratin intermediate filament complex which plays a structural role in the resilience and elasticity of epithelial tissues. This partnership is essential for the assembly of the cytoskeleton and supports the protective barrier function of the skin and related tissues.

Pathways

Cytokeratin 14 engages in pivotal cellular processes like keratinization and wound healing. The protein is actively involved in signal transduction pathways such as the epithelial cell differentiation pathway. Within these pathways KRT14 collaborates with KRT5 and other structural proteins to regulate cell proliferation and differentiation reflecting its importance in skin health and function.

Cytokeratin 14 associates with specific genetic conditions including epidermolysis bullosa simplex (EBS) and squamous cell carcinoma (SCC). In EBS mutations in the KRT14 gene lead to skin fragility. In SCC altered expression of KRT14 and related proteins such as keratin 5 can influence tumor progression and invasion. These associations highlight the critical role of KRT14 in both normal and pathological epithelial function.

Product protocols

For this product, it's our understanding that no specific protocols are required. You can visit:

Target data

The nonhelical tail domain is involved in promoting KRT5-KRT14 filaments to self-organize into large bundles and enhances the mechanical properties involved in resilience of keratin intermediate filaments in vitro.
See full target information Keratin, type I cytoskeletal 14

Publications (3)

Recent publications for all applications. Explore the full list and refine your search

Nature communications 13:5481 PubMed36123328

2022

Modeling human HSV infection via a vascularized immune-competent skin-on-chip platform.

Applications

Unspecified application

Species

Unspecified reactive species

Sijie Sun,Lei Jin,Ying Zheng,Jia Zhu

Nature cancer 3:1071-1087 PubMed36065066

2022

Ectopic JAK-STAT activation enables the transition to a stem-like and multilineage state conferring AR-targeted therapy resistance.

Applications

Unspecified application

Species

Unspecified reactive species

Su Deng,Choushi Wang,Yunguan Wang,Yaru Xu,Xiaoling Li,Nickolas A Johnson,Atreyi Mukherji,U-Ging Lo,Lingfan Xu,Julisa Gonzalez,Lauren A Metang,Jianfeng Ye,Carla Rodriguez Tirado,Kathia Rodarte,Yinglu Zhou,Zhiqun Xie,Carlos Arana,Valli Annamalai,Xihui Liu,Donald J Vander Griend,Douglas Strand,Jer-Tsong Hsieh,Bo Li,Ganesh Raj,Tao Wang,Ping Mu

Scientific reports 6:35544 PubMed27762336

2016

Microfluidic co-culture system for cancer migratory analysis and anti-metastatic drugs screening.

Applications

ICC/IF

Species

Human

Shengli Mi,Zhichang Du,Yuanyuan Xu,Zhengjie Wu,Xiang Qian,Min Zhang,Wei Sun
View all publications

Product promise

We are committed to supporting your work with high-quality reagents, and we're here for you every step of the way. In the unlikely event that one of our products does not perform as expected, you're protected by our Product Promise.
For full details, please see our Terms & Conditions

Please note: All products are 'FOR RESEARCH USE ONLY. NOT FOR USE IN DIAGNOSTIC OR THERAPEUTIC PROCEDURES'.

For licensing inquiries, please contact partnerships@abcam.com