JavaScript is disabled in your browser. Please enable JavaScript to view this website.
AB205828

Alexa Fluor® 647 Anti-EGFR (phospho Y1068) antibody [EP774Y]

Be the first to review this product! Submit a review

|

(1 Publication)

Rabbit Recombinant Monoclonal EGFR phospho Y1068 antibody - conjugated to Alexa Fluor® 647. Suitable for ICC/IF, Flow Cyt (Intra), IHC-P and reacts with Human, Mouse samples. Cited in 1 publication.

View Alternative Names

ERBB, ERBB1, HER1, EGFR, Epidermal growth factor receptor, Proto-oncogene c-ErbB-1, Receptor tyrosine-protein kinase erbB-1

5 Images
Immunohistochemistry (Formalin/PFA-fixed paraffin-embedded sections) - Alexa Fluor® 647 Anti-EGFR (phospho Y1068) antibody [EP774Y] (AB205828)
  • IHC-P

Lab

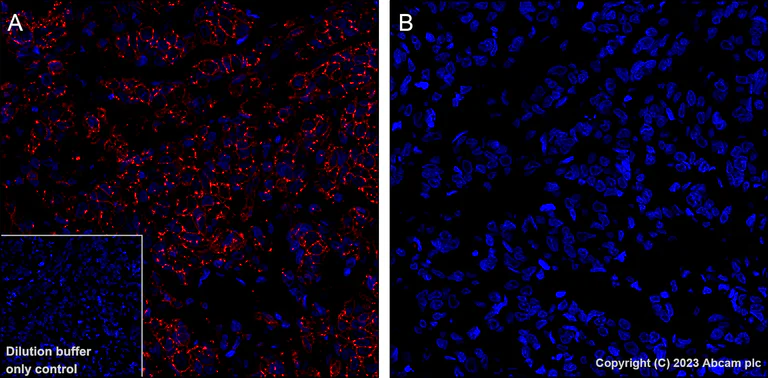
Immunohistochemistry (Formalin/PFA-fixed paraffin-embedded sections) - Alexa Fluor® 647 Anti-EGFR (phospho Y1068) antibody [EP774Y] (AB205828)

Immunohistochemical analysis of paraffin-embedded Human breast tissue labeling EGFR (phospho Y1068) with ab205828 at 1/100 dilution. Heat mediated antigen retrieval was performed with Tris-EDTA buffer (pH 9.0, Epitope Retrieval Solution2) for 40 mins. Positive staining on human breast without alkaline phosphatase treatment (image A). No signal was detected when tissues were treated with alkaline phosphatase (image B). The section was incubated with ab205828 for 60 mins at room temperature (shown in red). Nuclear DNA was labeled with DAPI (shown in blue). The section was then mounted using Fluoromount®. The immunostaining was performed on a Leica Biosystems BOND RX instrument. Image was taken with a confocal microscope (Leica-Microsystems, TCS SP8).

Immunohistochemistry (Formalin/PFA-fixed paraffin-embedded sections) - Alexa Fluor® 647 Anti-EGFR (phospho Y1068) antibody [EP774Y] (AB205828)
  • IHC-P

Lab

Immunohistochemistry (Formalin/PFA-fixed paraffin-embedded sections) - Alexa Fluor® 647 Anti-EGFR (phospho Y1068) antibody [EP774Y] (AB205828)

Immunohistochemical analysis of paraffin-embedded Human breast cancer tissue labeling EGFR (phospho Y1068) with ab205828 at 1/100 dilution. Heat mediated antigen retrieval was performed with Tris-EDTA buffer (pH 9.0, Epitope Retrieval Solution2) for 40 mins. Positive staining on human breast cancer without alkaline phosphatase treatment (image A). No signal was detected when tissues were treated with alkaline phosphatase (image B). The section was incubated with ab205828 for 60 mins at room temperature (shown in red). Nuclear DNA was labeled with DAPI (shown in blue). The section was then mounted using Fluoromount®. The immunostaining was performed on a Leica Biosystems BOND RX instrument. Image was taken with a confocal microscope (Leica-Microsystems, TCS SP8).

Immunocytochemistry/ Immunofluorescence - Alexa Fluor® 647 Anti-EGFR (phospho Y1068) antibody [EP774Y] (AB205828)
  • ICC/IF

Lab

Immunocytochemistry/ Immunofluorescence - Alexa Fluor® 647 Anti-EGFR (phospho Y1068) antibody [EP774Y] (AB205828)

Immunofluorescent analysis of 4% Paraformaldehyde-fixed, 0.1% TritonX-100 permeabilized C2C12 (mouse myoblast) cells labelling EGFR (phospho Y1068) with ab205828 at 1/50 (10.0 μg/ml) dilution (Green). ab195887 Anti-alpha Tubulin mouse monoclonal antibody - Microtubule Marker (Alexa Fluor® 488) was used to counterstain tubulin at 1/200 (2.5 μg/ml) dilution (Red). The Nuclear counterstain was DAPI (Blue). Confocal image showing positive staining in C2C12 cells treated with EGF (10ng/ml, 30min) and no staining on the cells without EGF treatment. Image was taken with a confocal microscope (Leica-Microsystems, TCS SP8).

Flow Cytometry (Intracellular) - Alexa Fluor® 647 Anti-EGFR (phospho Y1068) antibody [EP774Y] (AB205828)
  • Flow Cyt (Intra)

Lab

Flow Cytometry (Intracellular) - Alexa Fluor® 647 Anti-EGFR (phospho Y1068) antibody [EP774Y] (AB205828)

Flow Cytometry analysis of A431 (human epidermoid carcinoma) cells labeling EGFR (phospho Y1068) with purified ab205828 at 1/500 dilution(10ug/ml) (red). Cells were fixed with 4% paraformaldehyde and permeabilised with 90% methanol. A Goat anti rabbit IgG (Alexa Fluor® 647) was used as the secondary antibody. Rabbit monoclonal IgG (Black) was used as the isotype control, cells without incubation with primary antibody and secondary antibody (Blue) was used as the unlabeled control.

Immunocytochemistry/ Immunofluorescence - Alexa Fluor® 647 Anti-EGFR (phospho Y1068) antibody [EP774Y] (AB205828)
  • ICC/IF

Unknown

Immunocytochemistry/ Immunofluorescence - Alexa Fluor® 647 Anti-EGFR (phospho Y1068) antibody [EP774Y] (AB205828)

ab205828 staining EGFR (phospho Y1092) in A431 cells +/-EGF (100ng/ml, 5min). The cells were fixed with 4% formaldehyde (10 min), permeabilized with 0.1% Triton X-100 for 5 minutes and then blocked with 1% BSA/10% normal goat serum/0.3M glycine in 0.1% PBS-Tween for 1h.

The cells were then incubated overnight at +4°C with ab205828 at 1 : 100 dilution (shown in red) and ab195887, Mouse monoclonal to alpha Tubulin (Alexa Fluor® 488), at 1/250 dilution (shown in green). Nuclear DNA was labelled with DAPI (shown in blue).

Image was taken with a confocal microscope (Leica-Microsystems, TCS SP8).

  • Unconjugated

    Anti-EGFR (phospho Y1068) antibody [EP774Y]

  • 519 Alexa Fluor® 488

    Alexa Fluor® 488 Anti-EGFR (phospho Y1068) antibody [EP774Y]

  • 578 PE

    PE Anti-EGFR (phospho Y1068) antibody [EP774Y]

  • Carrier free

    Anti-EGFR (phospho Y1068) antibody [EP774Y] - BSA and Azide free

Key facts

Host species

Rabbit

Clonality

Monoclonal

Clone number

EP774Y

Isotype

IgG

Conjugation

Alexa Fluor® 647

Excitation/Emission

Ex: 650nm, Em: 665nm

Carrier free

No

Reacts with

Mouse, Human

Applications

Flow Cyt (Intra), IHC-P, ICC/IF

applications

Immunogen

The exact immunogen used to generate this antibody is proprietary information.

Specificity

Recognises EGFR phosphorylated on Tyrosine 1068 of the mature human isoform 1 (corresponding to Y1092 from the precursor form P00533-1/p170)

Reactivity data

{ "title": "Reactivity Data", "filters": { "stats": ["", "Species", "Dilution Info", "Notes"], "tabs": { "all-applications": {"fullname" : "All Applications", "shortname": "All Applications"}, "ICCIF" : {"fullname" : "Immunocytochemistry/ Immunofluorescence", "shortname":"ICC/IF"}, "FlowCytIntra" : {"fullname" : "Flow Cytometry (Intracellular)", "shortname":"Flow Cyt (Intra)"}, "IHCP" : {"fullname" : "Immunohistochemistry (Formalin/PFA-fixed paraffin-embedded sections)", "shortname":"IHC-P"} }, "product-promise": { "all": "all", "testedAndGuaranteed": "tested", "guaranteed": "expected", "predicted": "predicted", "notRecommended": "not-recommended" } }, "values": { "Human": { "ICCIF-species-checked": "testedAndGuaranteed", "ICCIF-species-dilution-info": "1/100", "ICCIF-species-notes": "<p></p>", "FlowCytIntra-species-checked": "testedAndGuaranteed", "FlowCytIntra-species-dilution-info": "", "FlowCytIntra-species-notes": "<p></p>", "IHCP-species-checked": "testedAndGuaranteed", "IHCP-species-dilution-info": "", "IHCP-species-notes": "<p></p>" }, "Mouse": { "ICCIF-species-checked": "testedAndGuaranteed", "ICCIF-species-dilution-info": "1/100", "ICCIF-species-notes": "<p></p>", "FlowCytIntra-species-checked": "guaranteed", "FlowCytIntra-species-dilution-info": "", "FlowCytIntra-species-notes": "", "IHCP-species-checked": "guaranteed", "IHCP-species-dilution-info": "", "IHCP-species-notes": "" } } }

You may be interested in:

AB126439

Human EGFR (pY1068) + total EGFR ELISA Kit

0

0 Reviews

View product

We recommend this product because it’s often used in the same experiment or related research.

We advise that you always check the datasheet to ensure it fits your experiments, or contact ourtechnical teamfor help.

Product details

Patented technology
Our RabMAb® technology is a patented hybridoma-based technology for making rabbit monoclonal antibodies. For details on our patents, please refer to RabMAb® patents.

What are the advantages of a recombinant monoclonal antibody?
This product is a recombinant monoclonal antibody, which offers several advantages including:

  • - High batch-to-batch consistency and reproducibility
  • - Improved sensitivity and specificity
  • - Long-term security of supply
  • - Animal-free batch production

For more information, read more on recombinant antibodies.

Alexa Fluor® is a registered trademark of Molecular Probes, Inc, a Thermo Fisher Scientific Company. The Alexa Fluor® dye included in this product is provided under an intellectual property license from Life Technologies Corporation. As this product contains the Alexa Fluor® dye, the purchase of this product conveys to the buyer the non-transferable right to use the purchased product and components of the product only in research conducted by the buyer (whether the buyer is an academic or for-profit entity). As this product contains the Alexa Fluor® dye the sale of this product is expressly conditioned on the buyer not using the product or its components, or any materials made using the product or its components, in any activity to generate revenue, which may include, but is not limited to use of the product or its components: in manufacturing; (ii) to provide a service, information, or data in return for payment (iii) for therapeutic, diagnostic or prophylactic purposes; or (iv) for resale, regardless of whether they are sold for use in research. For information on purchasing a license to this product for purposes other than research, contact Life Technologies Corporation, 5781 Van Allen Way, Carlsbad, CA 92008 USA or outlicensing@thermofisher.com.

Properties and storage information

Form
Liquid
Purification technique
Affinity purification Protein A
Storage buffer
pH: 7.4 Preservative: 0.02% Sodium azide Constituents: PBS, 30% Glycerol (glycerin, glycerine), 1% BSA
Shipped at conditions
Blue Ice
Appropriate short-term storage duration
1-2 weeks
Appropriate short-term storage conditions
+4°C
Appropriate long-term storage conditions
-20°C
Aliquoting information
Upon delivery aliquot
Storage information
Avoid freeze / thaw cycle|Store in the dark

Supplementary information

This supplementary information is collated from multiple sources and compiled automatically.

EGFR or Epidermal Growth Factor Receptor is a transmembrane glycoprotein that acts as a receptor for members of the epidermal growth factor family. Known alternatively as ErbB1 or HER1 this receptor has an approximate molecular weight of 170 kDa. EGFR is expressed in various cell types notably on epithelial cells and can influence multiple cellular processes through its kinase activity. It participates in the regulation of cell growth multiplication and survival by activating its kinase domain upon ligand binding.
Biological function summary

The EGFR protein plays an important role in cellular communication and signaling processes. EGFR pairs with other receptor family members to form active dimers or even higher-order complexes which in turn initiate intracellular signaling cascades. Through these complexes EGFR influences many processes including cell differentiation and repair. This function of EGFR makes it an integral part of mammalian biology affecting how cells respond to their environment by mediating changes in gene expression.

Pathways

EGFR is a central player in the MAPK and PI3K/Akt signaling pathways. Alongside other protein partners like KRAS and PI3 kinase it contributes to transmitting signals from the cell surface to the nucleus affecting gene transcription and cell behavior. These pathways are important for normal cell growth and division and aberrations in these pathways can lead to excessive or insufficient cell proliferation.

EGFR is pertinent to cancer biology including non-small cell lung cancer and glioblastoma where mutations or overexpression of the receptor frequently occur. It connects to proteins such as PTEN and BRAF which influence tumor progression and response to targeted therapies. EGFR's involvement in these disorders highlights its significance as a therapeutic target since it can be manipulated to alter disease progression.

Product protocols

For this product, it's our understanding that no specific protocols are required. You can visit:

Target data

The protein expressed by the EGFR gene functions as a receptor tyrosine kinase, binding with ligands from the EGF family to activate several signaling cascades that translate extracellular signals into cellular responses. Known ligands include EGF, TGFA/TGF-alpha, AREG, epigen, BTC/betacellulin, epiregulin, and HBEGF. Ligand binding triggers receptor dimerization and autophosphorylation, recruiting adapter proteins like GRB2 and activating complex downstream signaling pathways such as RAS-RAF-MEK-ERK, PI3 kinase-AKT, PLCgamma-PKC, and STATs, and possibly the NF-kappa-B cascade. EGFR also directly phosphorylates proteins like RGS16 and MUC1, influencing various cellular processes including its coupling with G protein-coupled receptor signaling and cell migration through interaction with CCDC88A/GIV. Isoform 2 of EGFR may act as an antagonist to EGF actions. In microbial infection, EGFR also serves as a receptor facilitating hepatitis C virus (HCV) entry into hepatocytes by promoting CD81-CLDN1 receptor complexes and enhancing membrane fusion with HCV envelope glycoproteins. This supplementary information is collated from multiple sources and compiled automatically.
See full target information EGFR phospho Y1068

Publications (1)

Recent publications for all applications. Explore the full list and refine your search

British journal of cancer 129:869-883 PubMed37460712

2023

Chronic oxidative stress adaptation in head and neck cancer cells generates slow-cyclers with decreased tumour growth in vivo.

Applications

Unspecified application

Species

Unspecified reactive species

Julia Berner,Lea Miebach,Marcel Kordt,Christian Seebauer,Anke Schmidt,Michael Lalk,Brigitte Vollmar,Hans-Robert Metelmann,Sander Bekeschus
View all publications

Product promise

We are committed to supporting your work with high-quality reagents, and we're here for you every step of the way. In the unlikely event that one of our products does not perform as expected, you're protected by our Product Promise.
For full details, please see our Terms & Conditions

Associated Products

Select an associated product type
Alternative Product
Primary Antibodies

AB32578

Anti-EGFR (phospho Y1173) antibody [E124]

primary-antibodies

egfr-phospho-y1173-antibody-e124-ab32578

0

(0 reviews)

Alternative Product
Primary Antibodies

AB76153

Anti-EGFR antibody [EPR39Y]

primary-antibodies

egfr-antibody-epr39y-ab76153

0

(0 reviews)

Alternative Product
Primary Antibodies

AB32430

Anti-EGFR (phospho Y1068) antibody [Y38]

primary-antibodies

egfr-phospho-y1068-antibody-y38-ab32430

0

(0 reviews)

Alternative Product
Primary Antibodies

AB32077

Anti-EGFR antibody [E235]

primary-antibodies

egfr-antibody-e235-ab32077

5

(4 reviews)

Alternative Product
Primary Antibodies

AB32562

Anti-EGFR antibody [E114]

primary-antibodies

egfr-antibody-e114-ab32562

0

(0 reviews)

Alternative Product
Primary Antibodies

AB227737

Anti-EGFR (deleted E746 + L747 + R748 + E749 + A750) antibody [SP111]

primary-antibodies

egfr-deleted-e746-l747-r748-e749-a750-antibody-sp111-ab227737

0

(0 reviews)

Alternative Version
Primary Antibodies

AB205827

Alexa Fluor® 488 Anti-EGFR (phospho Y1068) antibody [EP774Y]

primary-antibodies

alexa-fluor-488-egfr-phospho-y1068-antibody-ep774y-ab205827

5

(1 reviews)

Alternative Version
Primary Antibodies

AB303574

PE Anti-EGFR (phospho Y1068) antibody [EP774Y]

primary-antibodies

pe-egfr-phospho-y1068-antibody-ep774y-ab303574

0

(0 reviews)

Alternative Version
Primary Antibodies

AB182618

Anti-EGFR (phospho Y1068) antibody [EP774Y] - BSA and Azide free

primary-antibodies

egfr-phospho-y1068-antibody-ep774y-bsa-and-azide-free-ab182618

0

(0 reviews)

Please note: All products are 'FOR RESEARCH USE ONLY. NOT FOR USE IN DIAGNOSTIC OR THERAPEUTIC PROCEDURES'.

For licensing inquiries, please contact partnerships@abcam.com