JavaScript is disabled in your browser. Please enable JavaScript to view this website.
AB235083

Anti-ALG9 antibody

Be the first to review this product! Submit a review

|

(2 Publications)

Rabbit Polyclonal ALG9 antibody. Suitable for WB, IHC-P and reacts with Human samples. Cited in 2 publications. Immunogen corresponding to Recombinant Fragment Protein within Human ALG9 aa 400 to C-terminus.

View Alternative Names

DIBD1, ALG9, Asparagine-linked glycosylation protein 9 homolog, Disrupted in bipolar disorder protein 1

2 Images
Immunohistochemistry (Formalin/PFA-fixed paraffin-embedded sections) - Anti-ALG9 antibody (AB235083)
  • IHC-P

Supplier Data

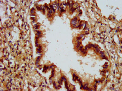
Immunohistochemistry (Formalin/PFA-fixed paraffin-embedded sections) - Anti-ALG9 antibody (AB235083)

Paraffin-embedded human lung tissue stained for ALG9 using ab235083 at 1/300 dilution in immunohistochemical analysis.

After dewaxing and hydration, antigen retrieval was mediated by high pressure in a citrate buffer (pH 6.0). Section was blocked with 10% normal goat serum 30min at RT. Then primary antibody (1% BSA) was incubated at 4°C overnight. The primary is detected by a biotinylated secondary antibody and visualized tissue using an HRP conjugated SP system.

Western blot - Anti-ALG9 antibody (AB235083)
  • WB

Supplier Data

Western blot - Anti-ALG9 antibody (AB235083)

All lanes:

Western blot - Anti-ALG9 antibody (ab235083) at 1/500 dilution

Lane 1:

HeLa (human epithelial cell line from cervix adenocarcinoma) whole cell lysate

Lane 2:

HEK-293T (human epithelial cell line from embryonic kidney transformed with large T antigen) whole cell lysate

Lane 3:

Jurkat (human T cell leukemia cell line from peripheral blood) whole cell lysate

Lane 4:

K562 (human chronic myelogenous leukemia cell line from bone marrow) whole cell lysate

Secondary

All lanes:

Goat polyclonal to rabbit IgG at 1/50000 dilution

Predicted band size: 69 kDa

false

Key facts

Host species

Rabbit

Clonality

Polyclonal

Isotype

IgG

Carrier free

No

Reacts with

Human

Applications

IHC-P, WB

applications

Immunogen

Recombinant Fragment Protein within Human ALG9 aa 400 to C-terminus. The exact immunogen used to generate this antibody is proprietary information.

Q9H6U8

Reactivity data

{ "title": "Reactivity Data", "filters": { "stats": ["", "Species", "Dilution Info", "Notes"], "tabs": { "all-applications": {"fullname" : "All Applications", "shortname": "All Applications"}, "WB" : {"fullname" : "Western blot", "shortname":"WB"}, "IHCP" : {"fullname" : "Immunohistochemistry (Formalin/PFA-fixed paraffin-embedded sections)", "shortname":"IHC-P"} }, "product-promise": { "all": "all", "testedAndGuaranteed": "tested", "guaranteed": "expected", "predicted": "predicted", "notRecommended": "not-recommended" } }, "values": { "Human": { "WB-species-checked": "testedAndGuaranteed", "WB-species-dilution-info": "1/500 - 1/5000", "WB-species-notes": "<p></p>", "IHCP-species-checked": "testedAndGuaranteed", "IHCP-species-dilution-info": "1/200 - 1/500", "IHCP-species-notes": "<p></p>" } } }

Properties and storage information

Form
Liquid
Purification technique
Affinity purification Protein G
Purification notes
Purity >95%.
Storage buffer
pH: 7.4 Preservative: 0.03% Proclin 300 Constituents: PBS, 50% Glycerol (glycerin, glycerine)
Shipped at conditions
Blue Ice
Appropriate short-term storage duration
1-2 weeks
Appropriate short-term storage conditions
+4°C
Appropriate long-term storage conditions
-20°C
Aliquoting information
Upon delivery aliquot
Storage information
Avoid freeze / thaw cycle

Supplementary information

This supplementary information is collated from multiple sources and compiled automatically.

ALG9 also known as alpha-12-mannosyltransferase is an enzyme that plays a mechanical role in glycoprotein biosynthesis. It has a mass of approximately 56 kDa. This enzyme is expressed in the endoplasmic reticulum of eukaryotic cells. ALG9 is responsible for adding mannose residues to the glycan structures on nascent proteins an important step in the N-linked glycosylation process.
Biological function summary

ALG9 is essential for the proper formation of glycoproteins influencing protein folding and stability. As part of a larger glycosylation complex ALG9 interacts with other enzymes in the lipid-linked oligosaccharide biosynthesis pathway. This complex works to ensure that the glycan structures are accurately constructed which is important for proper cellular communication and protein function.

Pathways

ALG9 participates in the N-linked glycosylation pathway critical for protein maturation and quality control within the secretory pathway. It is actively engaged alongside other enzymes such as ALG1 and ALG6 facilitating the sequential addition of mannose residues to the oligosaccharide precursor. This pathway plays a significant role in the endoplasmic reticulum and Golgi apparatus supporting efficient protein processing and transport.

Defects in ALG9 can lead to congenital disorders of glycosylation (CDG) impacting numerous physiological systems. These disorders often present with a wide spectrum of symptoms including developmental delays and neurological impairments. Additionally aberrant glycosylation due to ALG9 mutations has connections with certain metabolic disorders linking it to other related proteins like ALG8 in these pathways. Understanding ALG9's function and interactions helps in diagnosing and potentially treating these conditions.

Product protocols

For this product, it's our understanding that no specific protocols are required. You can visit:

Target data

Mannosyltransferase that operates in the biosynthetic pathway of dolichol-linked oligosaccharides, the glycan precursors employed in protein asparagine (N)-glycosylation. The assembly of dolichol-linked oligosaccharides begins on the cytosolic side of the endoplasmic reticulum membrane and finishes in its lumen. The sequential addition of sugars to dolichol pyrophosphate produces dolichol-linked oligosaccharides containing fourteen sugars, including two GlcNAcs, nine mannoses and three glucoses. Once assembled, the oligosaccharide is transferred from the lipid to nascent proteins by oligosaccharyltransferases. In the lumen of the endoplasmic reticulum, catalyzes the addition of the seventh and ninth alpha-1,2-linked mannose residues to Man(6)GlcNAc(2)-PP-dolichol and Man(8)GlcNAc(2)-PP-dolichol respectively.
See full target information ALG9

Publications (2)

Recent publications for all applications. Explore the full list and refine your search

Biochemical pharmacology 182:114216 PubMed32926875

2020

Antidiabetic drug therapy alleviates type 1 diabetes in mice by promoting pancreatic α-cell transdifferentiation.

Applications

Unspecified application

Species

Unspecified reactive species

Dipak Sarnobat,Charlotte R Moffett,Neil Tanday,Frank Reimann,Fiona M Gribble,Peter R Flatt,Andrei I Tarasov

International journal of laboratory hematology 42:464-472 PubMed32359033

2020

LncRNA MEG3 contributes to drug resistance in acute myeloid leukemia by positively regulating ALG9 through sponging miR-155.

Applications

Unspecified application

Species

Unspecified reactive species

Yanan Yu,Daqing Kou,Bing Liu,Yiran Huang,Shuangda Li,Yu Qi,Yanru Guo,Tong Huang,Xia Qi,Li Jia
View all publications

Product promise

We are committed to supporting your work with high-quality reagents, and we're here for you every step of the way. In the unlikely event that one of our products does not perform as expected, you're protected by our Product Promise.
For full details, please see our Terms & Conditions

Please note: All products are 'FOR RESEARCH USE ONLY. NOT FOR USE IN DIAGNOSTIC OR THERAPEUTIC PROCEDURES'.

For licensing inquiries, please contact partnerships@abcam.com