JavaScript is disabled in your browser. Please enable JavaScript to view this website.
AB323643

Anti-ALK antibody [EPR29054-38]

  • BOND RX™ Validated
  • Recombinant
  • 20ul selling size
  • RabMAb
  • What is this?

Be the first to review this product! Submit a review

|

(0 Publication)

Rabbit Recombinant Monoclonal ALK antibody. Suitable for IHC-P, WB and reacts with Human, Mouse samples.

View Alternative Names

CD246, ALK tyrosine kinase receptor, Anaplastic lymphoma kinase, ALK

9 Images
Immunohistochemistry (Formalin/PFA-fixed paraffin-embedded sections) - Anti-ALK antibody [EPR29054-38] (AB323643)
  • IHC-P

Supplier Data

Immunohistochemistry (Formalin/PFA-fixed paraffin-embedded sections) - Anti-ALK antibody [EPR29054-38] (AB323643)

Immunohistochemical analysis of paraffin-embedded (A) KARPAS-299 (human T cell lymphoma cell) cell pellet. (B) U-937 (human histiocytic lymphoma monocyte) cell pellet. tissue labeling ALK with ab323643 at 1/200 (2.63 ug/ml) dilution, followed by a ready to use Rabbit specific IHC polymer detection kit HRP/DAB (ab209101).

Positive staining on (A) KARPAS-299 cell pellet, no staining on (B) U-937 cell pellet.
The section was incubated with ab323643 for 30 mins at room temperature.
The immunostaining was performed on a Leica Biosystems BOND® RX instrument

Counterstained with Hematoxylin.

Secondary antibody only control : Secondary antibody is a ready to use Rabbit specific IHC polymer detection kit HRP/DAB (ab209101).

Heat mediated antigen retrieval was performed with Tris-EDTA buffer (pH 9.0, Epitope Retrieval Solution2) for 20 mins

Immunohistochemistry (Formalin/PFA-fixed paraffin-embedded sections) - Anti-ALK antibody [EPR29054-38] (AB323643)
  • IHC-P

Supplier Data

Immunohistochemistry (Formalin/PFA-fixed paraffin-embedded sections) - Anti-ALK antibody [EPR29054-38] (AB323643)

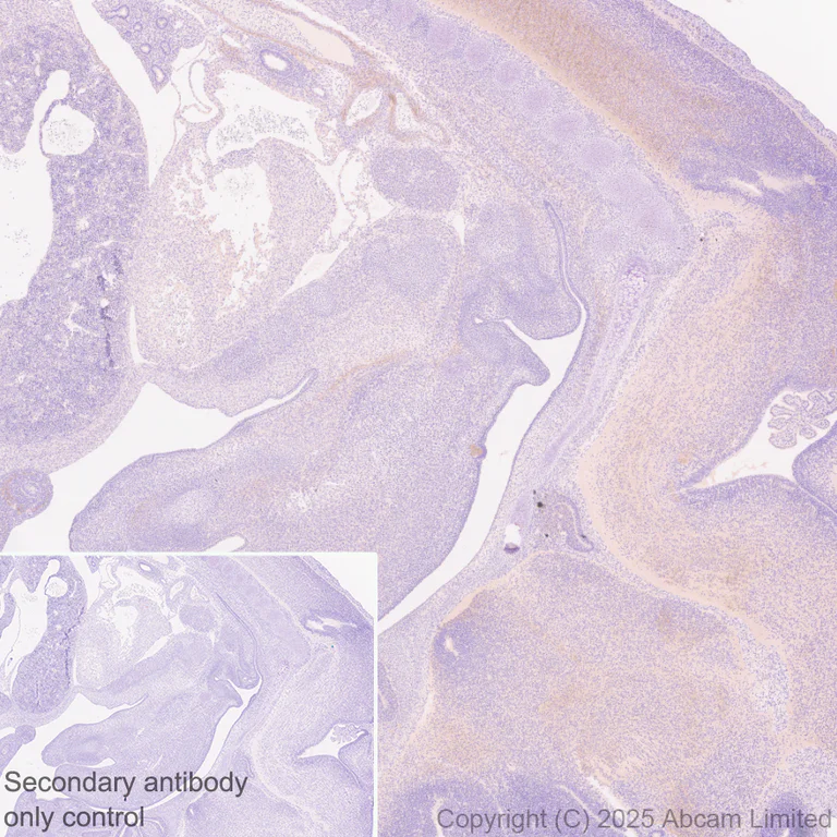
Immunohistochemical analysis of paraffin-embedded E15.5 Mouse embryo tissue labeling ALK with ab323643 at 1/100 (5.26 ug/ml) dilution, followed by a ready to use LeicaDS9800 (Bond™ Polymer Refine Detection).

Positive staining on brain and peripheral nervous system of E15.5 mouse embryo.
The section was incubated with ab323643 for 30 mins at room temperature.
The immunostaining was performed on a Leica Biosystems BOND® RX instrument

Counterstained with Hematoxylin.

Secondary antibody only control : Secondary antibody is a ready to use LeicaDS9800 (Bond™ Polymer Refine Detection).

Heat mediated antigen retrieval was performed with Tris-EDTA buffer (pH 9.0, Epitope Retrieval Solution2) for 20 mins

Immunohistochemistry (Formalin/PFA-fixed paraffin-embedded sections) - Anti-ALK antibody [EPR29054-38] (AB323643)
  • IHC-P

Supplier Data

Immunohistochemistry (Formalin/PFA-fixed paraffin-embedded sections) - Anti-ALK antibody [EPR29054-38] (AB323643)

Immunohistochemical analysis of paraffin-embedded (A) Mouse PDX model of human anaplastic large cell lymphoma. (B) Control mouse PDX model. tissue labeling ALK with ab323643 at 1/2000 (0.263 ug/ml) dilution, followed by a ready to use LeicaDS9800 (Bond™ Polymer Refine Detection).

Positive staining on (A) Mouse PDX model of human anaplastic large cell lymphoma. No staining on (B) Control mouse PDX model.
The section was incubated with ab323643 for 30 mins at room temperature.
The immunostaining was performed on a Leica Biosystems BOND® RX instrument

Counterstained with Hematoxylin.

Secondary antibody only control : Secondary antibody is a ready to use LeicaDS9800 (Bond™ Polymer Refine Detection).

Heat mediated antigen retrieval was performed with Tris-EDTA buffer (pH 9.0, Epitope Retrieval Solution2) for 20 mins

Immunohistochemistry (Formalin/PFA-fixed paraffin-embedded sections) - Anti-ALK antibody [EPR29054-38] (AB323643)
  • IHC-P

Supplier Data

Immunohistochemistry (Formalin/PFA-fixed paraffin-embedded sections) - Anti-ALK antibody [EPR29054-38] (AB323643)

Immunohistochemical analysis of paraffin-embedded (A) Neuro-2a (mouse neuroblastoma neuroblast) cell pellet. (B) RAW 264.7 (mouse Abelson murine leukemia virus-induced tumor macrophage) cell pellet. tissue labeling ALK with ab323643 at 1/100 (5.26 ug/ml) dilution, followed by a ready to use Rabbit specific IHC polymer detection kit HRP/DAB (ab209101).

Positive staining on (A) Neuro-2a cell pellet, no staining on (B) RAW 264.7 cell pellet.
The section was incubated with ab323643 for 30 mins at room temperature.
The immunostaining was performed on a Leica Biosystems BOND® RX instrument

Counterstained with Hematoxylin.

Secondary antibody only control : Secondary antibody is a ready to use Rabbit specific IHC polymer detection kit HRP/DAB (ab209101).

Heat mediated antigen retrieval was performed with Tris-EDTA buffer (pH 9.0, Epitope Retrieval Solution2) for 20 mins

Western blot - Anti-ALK antibody [EPR29054-38] (AB323643)
  • WB

Supplier Data

Western blot - Anti-ALK antibody [EPR29054-38] (AB323643)

Blocking and diluting buffer and concentration : 5% NFDM/TBST.

Negative control : Raji (PMID : 30541790), Jurkat (PMID : 10793082).

Full-length ALK is approximately 250 kDa. Band around 130kDa might be cleavage fragment(PMID : 30541790).

The expression profile/ molecular weight observed is consistent with what has been described in the literature (PMID : 9736036, PMID : 11310834, 9121481).

In Western blot, Anti-GAPDH antibody [EPR16891] - Loading Control (ab181602) staining at 1/200000 dilution.

All lanes:

Western blot - Anti-ALK antibody [EPR29054-38] (ab323643) at 1/1000 dilution

Lane 1:

IMR-32 (human neuroblastoma neuroblast) whole cell lysate at 20 µg

Lane 2:

Raji (human Burkitt's lymphoma B lymphocyte) whole cell lysate at 20 µg

Lane 3:

Jurkat (human T cell leukemia T lymphocyte from peripheral blood) whole cell lysate at 20 µg

Secondary

All lanes:

Western blot - Goat Anti-Rabbit IgG H&L (HRP) (<a href='/en-us/products/secondary-antibodies/goat-rabbit-igg-h-l-hrp-ab97051'>ab97051</a>) at 1/100000 dilution

Observed band size: 250 kDa,36 kDa

false

Exposure time: 180s

Western blot - Anti-ALK antibody [EPR29054-38] (AB323643)
  • WB

Supplier Data

Western blot - Anti-ALK antibody [EPR29054-38] (AB323643)

Blocking and diluting buffer and concentration : 5% NFDM/TBST.

Negative control : U-937 (PMID : 9736036).

KARPAS-299 cells carry the NPM-ALK fusion (PMID : 9736036, PMID : 11310834). Bands higher than 250 KDa are likely representing oligomers of NPM-ALK (PMID : 23610619).

The expression profile/ molecular weight observed is consistent with what has been described in the literature (PMID : 9736036, PMID : 11310834, 9121481).

In Western blot, Anti-GAPDH antibody [EPR16891] - Loading Control (ab181602) staining at 1/200000 dilution.

All lanes:

Western blot - Anti-ALK antibody [EPR29054-38] (ab323643) at 1/1000 dilution

Lane 1:

KARPAS-299 (human T cell lymphoma cell) whole cell lysate at 20 µg

Lane 2:

U-937 (human histiocytic lymphoma monocyte) whole cell lysate at 20 µg

Secondary

All lanes:

Western blot - Goat Anti-Rabbit IgG H&L (HRP) (<a href='/en-us/products/secondary-antibodies/goat-rabbit-igg-h-l-hrp-ab97051'>ab97051</a>) at 1/100000 dilution

Observed band size: 80 kDa,36 kDa

false

Exposure time: 10s

Western blot - Anti-ALK antibody [EPR29054-38] (AB323643)
  • WB

Supplier Data

Western blot - Anti-ALK antibody [EPR29054-38] (AB323643)

Blocking and diluting buffer and concentration : 5% NFDM/TBST.

Negative control : RAW 264.7 (30541790), kidney (PMID : 9053841).

Low expression : hippocampus (PMID : 37291945, PMID : 9053841).

The expression profile/ molecular weight observed is consistent with what has been described in the literature (PMID : 9736036, PMID : 11310834, 9121481).

The identity of the lower MW band at approximately 37 kDa (in lanes 4-5) is unknown.

In Western blot, Anti-GAPDH antibody [EPR16891] - Loading Control (ab181602) staining at 1/200000 dilution.

All lanes:

Western blot - Anti-ALK antibody [EPR29054-38] (ab323643) at 1/1000 dilution

Lane 1:

Neuro-2a (mouse neuroblastoma neuroblast) whole cell lysate at 20 µg

Lane 2:

RAW 264.7 (mouse Abelson murine leukemia virus-induced tumor macrophage) whole cell lysate at 20 µg

Lane 3:

Mouse P5 brain tissue lysate at 20 µg

Lane 4:

Mouse kidney tissue lysate at 20 µg

Lane 5:

Mouse hippocampus tissue lysate at 20 µg

Secondary

All lanes:

Western blot - Goat Anti-Rabbit IgG H&L (HRP) (<a href='/en-us/products/secondary-antibodies/goat-rabbit-igg-h-l-hrp-ab97051'>ab97051</a>) at 1/100000 dilution

Observed band size: 250 kDa,36 kDa

false

Exposure time: 180s

Immunohistochemistry (Formalin/PFA-fixed paraffin-embedded sections) - Anti-ALK antibody [EPR29054-38] (AB323643)
  • IHC-P

Supplier Data

Immunohistochemistry (Formalin/PFA-fixed paraffin-embedded sections) - Anti-ALK antibody [EPR29054-38] (AB323643)

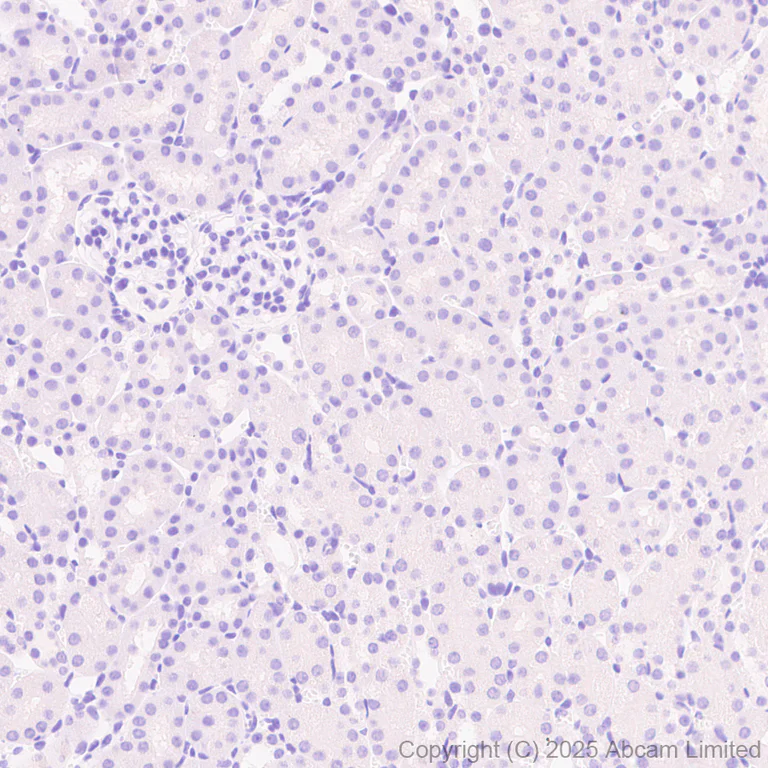
Immunohistochemical analysis of paraffin-embedded Adult mouse kidney tissue labeling ALK with ab323643 at 1/100 (5.26 ug/ml) dilution, followed by a ready to use LeicaDS9800 (Bond™ Polymer Refine Detection).

Negative control : No staining on Adult mouse kidney.
The section was incubated with ab323643 for 30 mins at room temperature.
The immunostaining was performed on a Leica Biosystems BOND® RX instrument

Counterstained with Hematoxylin.

Secondary antibody only control : Secondary antibody is a ready to use LeicaDS9800 (Bond™ Polymer Refine Detection).

Heat mediated antigen retrieval was performed with Tris-EDTA buffer (pH 9.0, Epitope Retrieval Solution2) for 20 mins

Immunohistochemistry (Formalin/PFA-fixed paraffin-embedded sections) - Anti-ALK antibody [EPR29054-38] (AB323643)
  • IHC-P

Supplier Data

Immunohistochemistry (Formalin/PFA-fixed paraffin-embedded sections) - Anti-ALK antibody [EPR29054-38] (AB323643)

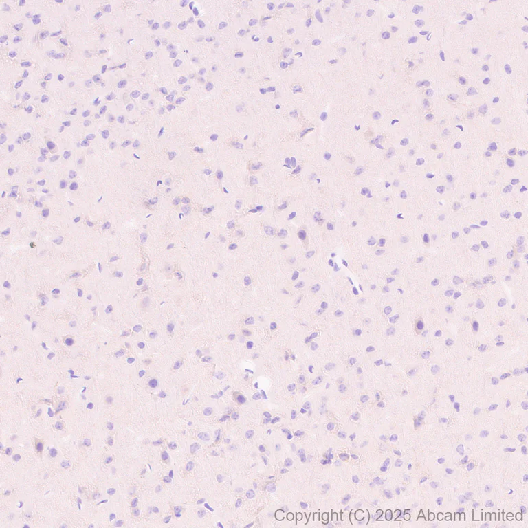
Immunohistochemical analysis of paraffin-embedded Adult mouse cerebral cortex tissue labeling ALK with ab323643 at 1/100 (5.26 ug/ml) dilution, followed by a ready to use LeicaDS9800 (Bond™ Polymer Refine Detection).

Low expression tissue : Nearly no staining on adult mouse cerebral cortex.
The section was incubated with ab323643 for 30 mins at room temperature.
The immunostaining was performed on a Leica Biosystems BOND® RX instrument

Counterstained with Hematoxylin.

Secondary antibody only control : Secondary antibody is a ready to use LeicaDS9800 (Bond™ Polymer Refine Detection).

Heat mediated antigen retrieval was performed with Tris-EDTA buffer (pH 9.0, Epitope Retrieval Solution2) for 20 mins

Key facts

Host species

Rabbit

Clonality

Monoclonal

Clone number

EPR29054-38

Isotype

IgG

Carrier free

No

Reacts with

Human, Mouse

Applications

WB, IHC-P

applications

Immunogen

The exact immunogen used to generate this antibody is proprietary information.

Specificity

ALK expression is low in healthy tissue and can vary significantly in solid tumors. ALK expression was not observed in healthy or cancer tissue microarrays tested in IHC-P

Reactivity data

{ "title": "Reactivity Data", "filters": { "stats": ["", "Species", "Dilution Info", "Notes"], "tabs": { "all-applications": {"fullname" : "All Applications", "shortname": "All Applications"}, "IHCP" : {"fullname" : "Immunohistochemistry (Formalin/PFA-fixed paraffin-embedded sections)", "shortname":"IHC-P"}, "WB" : {"fullname" : "Western blot", "shortname":"WB"} }, "product-promise": { "all": "all", "testedAndGuaranteed": "tested", "guaranteed": "expected", "predicted": "predicted", "notRecommended": "not-recommended" } }, "values": { "Human": { "IHCP-species-checked": "testedAndGuaranteed", "IHCP-species-dilution-info": "1/200", "IHCP-species-notes": "<p></p> Perform heat-mediated antigen retrieval with Tris/EDTA buffer pH 9.0 before commencing with IHC staining protocol.", "WB-species-checked": "testedAndGuaranteed", "WB-species-dilution-info": "1/1000", "WB-species-notes": "<p></p>" }, "Mouse": { "IHCP-species-checked": "testedAndGuaranteed", "IHCP-species-dilution-info": "1/100 - 1/2000", "IHCP-species-notes": "<p></p> Perform heat-mediated antigen retrieval with Tris/EDTA buffer pH 9.0 before commencing with IHC staining protocol.", "WB-species-checked": "testedAndGuaranteed", "WB-species-dilution-info": "1/1000", "WB-species-notes": "<p></p>" } } }

Product details

Patented technology
Our RabMAb® technology is a patented hybridoma-based technology for making rabbit monoclonal antibodies. For details on our patents, please refer to RabMAb® patents.

What are the advantages of a recombinant monoclonal antibody?
This product is a recombinant monoclonal antibody, which offers several advantages including:

  • - High batch-to-batch consistency and reproducibility
  • - Improved sensitivity and specificity
  • - Long-term security of supply
  • - Animal-free batch production

For more information, read more on recombinant antibodies.

Properties and storage information

Form
Liquid
Purification technique
Affinity purification Protein A
Storage buffer
pH: 7.2 - 7.4 Preservative: 0.01% Sodium azide Constituents: PBS, 40% Glycerol (glycerin, glycerine), 0.05% BSA
Shipped at conditions
Blue Ice
Appropriate short-term storage duration
1-2 weeks
Appropriate short-term storage conditions
+4°C
Appropriate long-term storage conditions
-20°C
Aliquoting information
Upon delivery aliquot
Storage information
Avoid freeze / thaw cycle

Product protocols

For this product, it's our understanding that no specific protocols are required. You can visit:

Target data

Neuronal receptor tyrosine kinase that is essentially and transiently expressed in specific regions of the central and peripheral nervous systems and plays an important role in the genesis and differentiation of the nervous system (PubMed : 11121404, PubMed : 11387242, PubMed : 16317043, PubMed : 17274988, PubMed : 30061385, PubMed : 34646012, PubMed : 34819673). Also acts as a key thinness protein involved in the resistance to weight gain : in hypothalamic neurons, controls energy expenditure acting as a negative regulator of white adipose tissue lipolysis and sympathetic tone to fine-tune energy homeostasis (By similarity). Following activation by ALKAL2 ligand at the cell surface, transduces an extracellular signal into an intracellular response (PubMed : 30061385, PubMed : 33411331, PubMed : 34646012, PubMed : 34819673). In contrast, ALKAL1 is not a potent physiological ligand for ALK (PubMed : 34646012). Ligand-binding to the extracellular domain induces tyrosine kinase activation, leading to activation of the mitogen-activated protein kinase (MAPK) pathway (PubMed : 34819673). Phosphorylates almost exclusively at the first tyrosine of the Y-x-x-x-Y-Y motif (PubMed : 15226403, PubMed : 16878150). Induces tyrosine phosphorylation of CBL, FRS2, IRS1 and SHC1, as well as of the MAP kinases MAPK1/ERK2 and MAPK3/ERK1 (PubMed : 15226403, PubMed : 16878150). ALK activation may also be regulated by pleiotrophin (PTN) and midkine (MDK) (PubMed : 11278720, PubMed : 11809760, PubMed : 12107166, PubMed : 12122009). PTN-binding induces MAPK pathway activation, which is important for the anti-apoptotic signaling of PTN and regulation of cell proliferation (PubMed : 11278720, PubMed : 11809760, PubMed : 12107166). MDK-binding induces phosphorylation of the ALK target insulin receptor substrate (IRS1), activates mitogen-activated protein kinases (MAPKs) and PI3-kinase, resulting also in cell proliferation induction (PubMed : 12122009). Drives NF-kappa-B activation, probably through IRS1 and the activation of the AKT serine/threonine kinase (PubMed : 15226403, PubMed : 16878150). Recruitment of IRS1 to activated ALK and the activation of NF-kappa-B are essential for the autocrine growth and survival signaling of MDK (PubMed : 15226403, PubMed : 16878150).
See full target information ALK

Product promise

We are committed to supporting your work with high-quality reagents, and we're here for you every step of the way. In the unlikely event that one of our products does not perform as expected, you're protected by our Product Promise.
For full details, please see our Terms & Conditions

Please note: All products are 'FOR RESEARCH USE ONLY. NOT FOR USE IN DIAGNOSTIC OR THERAPEUTIC PROCEDURES'.

For licensing inquiries, please contact partnerships@abcam.com