JavaScript is disabled in your browser. Please enable JavaScript to view this website.
AB183332

Anti-ALK antibody [SP144]

Be the first to review this product! Submit a review

|

(1 Publication)

Rabbit Recombinant Monoclonal ALK antibody. Suitable for WB, IHC-P and reacts with Human samples. Cited in 1 publication.

View Alternative Names

CD246, ALK tyrosine kinase receptor, Anaplastic lymphoma kinase, ALK

5 Images
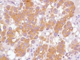
Immunohistochemistry (Formalin/PFA-fixed paraffin-embedded sections) - Anti-ALK antibody [SP144] (AB183332)
  • IHC-P

Supplier Data

Immunohistochemistry (Formalin/PFA-fixed paraffin-embedded sections) - Anti-ALK antibody [SP144] (AB183332)

Formalin-fixed paraffin-embedded human anaplastic lymphoma tissue stained for ALK using ab183332 at 1/200 dilution in immunohistochemical analysis.

Immunohistochemistry (Formalin/PFA-fixed paraffin-embedded sections) - Anti-ALK antibody [SP144] (AB183332)
  • IHC-P

Unknown

Immunohistochemistry (Formalin/PFA-fixed paraffin-embedded sections) - Anti-ALK antibody [SP144] (AB183332)

Formalin-fixed paraffin-embedded human lung adenocarcinoma tissue stained for ALK using ab183332 at 1/200 dilution in immunohistochemical analysis.

Western blot - Anti-ALK antibody [SP144] (AB183332)
  • WB

Supplier Data

Western blot - Anti-ALK antibody [SP144] (AB183332)

All lanes:

Western blot - Anti-ALK antibody [SP144] (ab183332) at 1/200 dilution

All lanes:

Karpas whole cell lysate

Predicted band size: 176 kDa

false

Western blot - Anti-ALK antibody [SP144] (AB183332)
  • WB

Supplier Data

Western blot - Anti-ALK antibody [SP144] (AB183332)

Blocking and diluting buffer and concentration : 5% NFDM/TBST.

KARPAS-299 cells carry the NPM-ALK fusion (PMID : 32193476, PMID : 9736036).

Phosphorylated Tyr338/ Tyr567/ Tyr664 of NPM-ALK is equivalent to Tyr1278/ Tyr1507/ Tyr1604 of full length ALK (PMID : 19887368).

Bands around 300 kDa may be due to protein aggregation (PMID : 9121481).

In Western blot, Anti-GAPDH antibody [EPR16891] - Loading Control (ab181602) staining at 1/200000 dilution.

In Western blot, Anti-ALK antibody [SP144] (ab183332) staining at 1/1000 dilution.

All lanes:

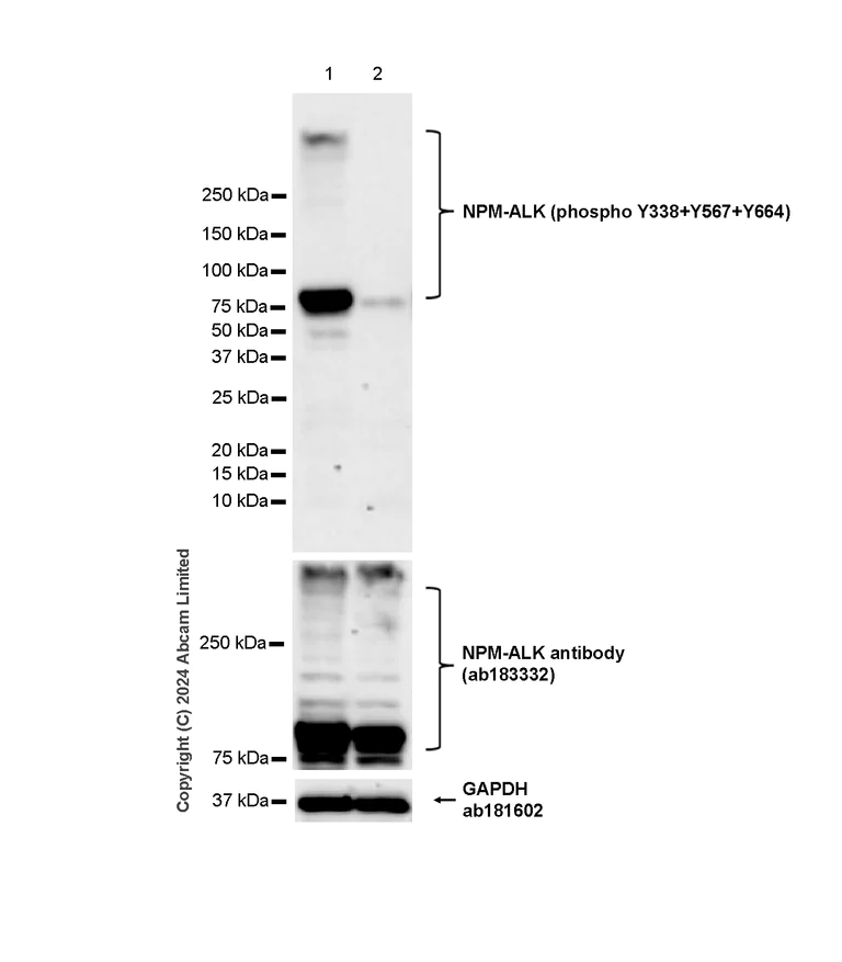
Western blot - Anti-ALK (phospho Y1278 + Y1507 + Y1604) antibody [RM1164] (<a href='/en-us/products/primary-antibodies/alk-phospho-y1278-y1507-y1604-antibody-rm1164-ab322000'>ab322000</a>) at 1/1000 dilution

Lane 1:

Untreated KARPAS-299 (human anaplastic large cell lymphoma) whole cell lysate at 20 µg

Lane 2:

KARPAS-299 treated with 1 uM Crizotinib for 1 hour whole cell lysate, whole cell lysate at 20 µg

Secondary

All lanes:

Western blot - Goat Anti-Rabbit IgG H&L (HRP) (<a href='/en-us/products/secondary-antibodies/goat-rabbit-igg-h-l-hrp-ab97051'>ab97051</a>) at 1/100000 dilution

Observed band size: 80 kDa,300 kDa,36 kDa

false

Exposure time: 180s

Western blot - Anti-ALK antibody [SP144] (AB183332)
  • WB

Supplier Data

Western blot - Anti-ALK antibody [SP144] (AB183332)

Blocking and diluting buffer and concentration : 5% NFDM/TBST.

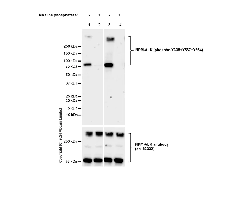
KARPAS-299 cells carry the NPM-ALK fusion (PMID : 32193476, PMID : 9736036).

Phosphorylated Tyr338/ Tyr567/ Tyr664 of NPM-ALK is equivalent to Tyr1278/ Tyr1507/ Tyr1604 of full length ALK (PMID : 19887368).

Bands around 300 kDa may be due to protein aggregation (PMID : 9121481).

Lysates were prepared from fresh material and used for Western blotting immediately to minimize protein degradation.

In Western blot, Anti-ALK antibody [SP144] (ab183332) staining at 1/1000 dilution.

All lanes:

Western blot - Anti-ALK (phospho Y1278 + Y1507 + Y1604) antibody [RM1164] (<a href='/en-us/products/primary-antibodies/alk-phospho-y1278-y1507-y1604-antibody-rm1164-ab322000'>ab322000</a>) at 1/1000 dilution

Lane 1:

KARPAS-299 (human anaplastic large cell lymphoma), whole cell lysate (Untreated membrane) at 20 µg

Lane 2:

KARPAS-299 whole cell lysate (phosphatase treated membrane) at 20 µg

Lane 3:

KARPAS-299 treated with 50 uM pervanadate for 30 minutes, whole cell lysate (Untreated membrane) at 20 µg

Lane 4:

KARPAS-299 treated with 50 uM pervanadate for 30 minutes, whole cell lysate (phosphatase treated membrane) at 20 µg

Secondary

All lanes:

Western blot - Goat Anti-Rabbit IgG H&L (HRP) (<a href='/en-us/products/secondary-antibodies/goat-rabbit-igg-h-l-hrp-ab97051'>ab97051</a>) at 1/100000 dilution

Observed band size: 80 kDa,300 kDa

false

Exposure time: 59s

Key facts

Host species

Rabbit

Clonality

Monoclonal

Clone number

SP144

Isotype

IgG

Carrier free

No

Reacts with

Human

Applications

IHC-P, WB

applications

Immunogen

The exact immunogen used to generate this antibody is proprietary information.

Reactivity data

{ "title": "Reactivity Data", "filters": { "stats": ["", "Species", "Dilution Info", "Notes"], "tabs": { "all-applications": {"fullname" : "All Applications", "shortname": "All Applications"}, "WB" : {"fullname" : "Western blot", "shortname":"WB"}, "IHCP" : {"fullname" : "Immunohistochemistry (Formalin/PFA-fixed paraffin-embedded sections)", "shortname":"IHC-P"} }, "product-promise": { "all": "all", "testedAndGuaranteed": "tested", "guaranteed": "expected", "predicted": "predicted", "notRecommended": "not-recommended" } }, "values": { "Human": { "WB-species-checked": "testedAndGuaranteed", "WB-species-dilution-info": "1/100", "WB-species-notes": "<p></p>", "IHCP-species-checked": "testedAndGuaranteed", "IHCP-species-dilution-info": "1/100", "IHCP-species-notes": "<p>Boil tissue section in EDTA, pH 8.0 for 10 minutes followed by cooling at room temperature for 20 min. Incubate with <a href='/en-us/products/primary-antibodies/cd14-antibody-sp192-ab183322'>ab183322</a> for 10 minutes at room temperature.</p>" } } }

Properties and storage information

Form
Liquid
Purification technique
Affinity purification Protein A/G
Purification notes
Purified from TCS by protein A/G.
Storage buffer
pH: 7.6 Preservative: 0.1% Sodium azide Constituents: PBS, 1% BSA
Shipped at conditions
Blue Ice
Appropriate short-term storage duration
1-2 weeks
Appropriate short-term storage conditions
+4°C
Appropriate long-term storage conditions
-20°C
Aliquoting information
Upon delivery aliquot
Storage information
Avoid freeze / thaw cycle

Supplementary information

This supplementary information is collated from multiple sources and compiled automatically.

The Anaplastic Lymphoma Kinase commonly referred to as ALK is a receptor tyrosine kinase known for its role in cell signaling. It is sometimes called CD246. ALK has a molecular mass of approximately 180 kDa. This protein finds expression predominantly in the central and peripheral nervous system with prominence in neural tissue during development. The ALK protein belongs to the insulin receptor superfamily exhibiting kinase activity that promotes signal transduction processes associated with growth and differentiation.
Biological function summary

ALK influences cell growth survival and differentiation playing a significant role during the development of the nervous system. As part of its biological activity the ALK protein can become a component of larger signaling complexes participating as an important activator or mediator. Evidence suggests ALK's involvement in neuronal differentiation and synaptogenesis. Its activity impacts intracellular pathways consequently modulating biological processes relevant to neural tissue and oncogenesis.

Pathways

ALK acts within the MAPK and PI3K-AKT signaling pathways. These pathways enable the transduction of signals from the cell surface to the nucleus influencing cellular outcomes such as proliferation and survival. In these pathways ALK interacts with various other proteins including GRB2 and PI3K which further facilitate downstream signaling. Proper functioning of these pathways is essential to maintaining cellular homeostasis and development.

ALK has a significant relationship with certain types of cancer such as non-small cell lung carcinoma and anaplastic large cell lymphoma. Genetic alterations in ALK such as translocations or mutations can lead to the uncontrolled activation of its kinase activity resulting in oncogenic transformation. In these contexts the ALK protein often interacts with EML4 in lung cancer through a fusion forming an oncogenic driver. Targeting ALK with anti-ALK antibodies or small molecule inhibitors has emerged as a therapeutic strategy to manage these malignancies.

Product protocols

For this product, it's our understanding that no specific protocols are required. You can visit:

Target data

Neuronal receptor tyrosine kinase that is essentially and transiently expressed in specific regions of the central and peripheral nervous systems and plays an important role in the genesis and differentiation of the nervous system (PubMed : 11121404, PubMed : 11387242, PubMed : 16317043, PubMed : 17274988, PubMed : 30061385, PubMed : 34646012, PubMed : 34819673). Also acts as a key thinness protein involved in the resistance to weight gain : in hypothalamic neurons, controls energy expenditure acting as a negative regulator of white adipose tissue lipolysis and sympathetic tone to fine-tune energy homeostasis (By similarity). Following activation by ALKAL2 ligand at the cell surface, transduces an extracellular signal into an intracellular response (PubMed : 30061385, PubMed : 33411331, PubMed : 34646012, PubMed : 34819673). In contrast, ALKAL1 is not a potent physiological ligand for ALK (PubMed : 34646012). Ligand-binding to the extracellular domain induces tyrosine kinase activation, leading to activation of the mitogen-activated protein kinase (MAPK) pathway (PubMed : 34819673). Phosphorylates almost exclusively at the first tyrosine of the Y-x-x-x-Y-Y motif (PubMed : 15226403, PubMed : 16878150). Induces tyrosine phosphorylation of CBL, FRS2, IRS1 and SHC1, as well as of the MAP kinases MAPK1/ERK2 and MAPK3/ERK1 (PubMed : 15226403, PubMed : 16878150). ALK activation may also be regulated by pleiotrophin (PTN) and midkine (MDK) (PubMed : 11278720, PubMed : 11809760, PubMed : 12107166, PubMed : 12122009). PTN-binding induces MAPK pathway activation, which is important for the anti-apoptotic signaling of PTN and regulation of cell proliferation (PubMed : 11278720, PubMed : 11809760, PubMed : 12107166). MDK-binding induces phosphorylation of the ALK target insulin receptor substrate (IRS1), activates mitogen-activated protein kinases (MAPKs) and PI3-kinase, resulting also in cell proliferation induction (PubMed : 12122009). Drives NF-kappa-B activation, probably through IRS1 and the activation of the AKT serine/threonine kinase (PubMed : 15226403, PubMed : 16878150). Recruitment of IRS1 to activated ALK and the activation of NF-kappa-B are essential for the autocrine growth and survival signaling of MDK (PubMed : 15226403, PubMed : 16878150).
See full target information ALK

Publications (1)

Recent publications for all applications. Explore the full list and refine your search

Nature communications 15:4866 PubMed38849373

2024

A YAP-centered mechanotransduction loop drives collective breast cancer cell invasion.

Applications

Unspecified application

Species

Unspecified reactive species

Antoine A Khalil,Daan Smits,Peter D Haughton,Thijs Koorman,Karin A Jansen,Mathijs P Verhagen,Mirjam van der Net,Kitty van Zwieten,Lotte Enserink,Lisa Jansen,Abdelrahman G El-Gammal,Daan Visser,Milena Pasolli,Max Tak,Denise Westland,Paul J van Diest,Cathy B Moelans,M Guy Roukens,Sandra Tavares,Anne-Marie Fortier,Morag Park,Riccardo Fodde,Martijn Gloerich,Fried J T Zwartkruis,Patrick Wb Derksen,Johan de Rooij
View all publications

Product promise

We are committed to supporting your work with high-quality reagents, and we're here for you every step of the way. In the unlikely event that one of our products does not perform as expected, you're protected by our Product Promise.
For full details, please see our Terms & Conditions

Please note: All products are 'FOR RESEARCH USE ONLY. NOT FOR USE IN DIAGNOSTIC OR THERAPEUTIC PROCEDURES'.

For licensing inquiries, please contact partnerships@abcam.com