JavaScript is disabled in your browser. Please enable JavaScript to view this website.
AB252581

Anti-Alkaline Phosphatase antibody [EPR20428-147] - BSA and Azide free (Capture)

Be the first to review this product! Submit a review

|

(0 Publication)

Rabbit Recombinant Monoclonal PPBI antibody. Carrier free. Suitable for IHC-P, WB, sELISA and reacts with Human, Mouse samples.

View Alternative Names

Intestinal-type alkaline phosphatase, IAP, Intestinal alkaline phosphatase, ALPI

10 Images
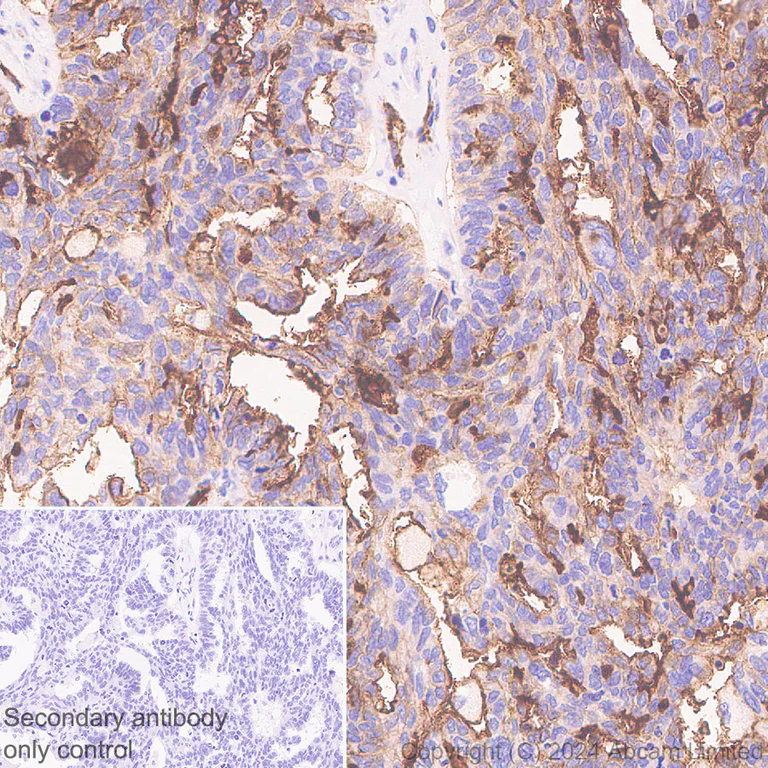
Immunohistochemistry (Formalin/PFA-fixed paraffin-embedded sections) - Anti-Alkaline Phosphatase antibody [EPR20428-147] - BSA and Azide free (Capture) (AB252581)
  • IHC-P

Lab

Immunohistochemistry (Formalin/PFA-fixed paraffin-embedded sections) - Anti-Alkaline Phosphatase antibody [EPR20428-147] - BSA and Azide free (Capture) (AB252581)

Immunohistochemical analysis of paraffin-embedded Human ovarian carcinoma tissue labeling Alkaline Phosphatase with ab252581 at 1/500 (2.0 µg/ml) dilution, followed by a ready to use LeicaDS9800 (Bond™ Polymer Refine Detection).

Positive staining on human ovarian carcinoma.
The section was incubated with ab252581 for 30 mins at room temperature.
The immunostaining was performed on a Leica Biosystems BOND® RX instrument
Counterstained with hematoxylin.

Secondary antibody only control : Secondary antibody is a ready to use a ready to use LeicaDS9800 (Bond™ Polymer Refine Detection).

Heat mediated antigen retrieval was performed with Tris-EDTA buffer (pH 9.0, Epitope Retrieval Solution2) for 20 mins

Immunohistochemistry (Formalin/PFA-fixed paraffin-embedded sections) - Anti-Alkaline Phosphatase antibody [EPR20428-147] - BSA and Azide free (Capture) (AB252581)
  • IHC-P

Lab

Immunohistochemistry (Formalin/PFA-fixed paraffin-embedded sections) - Anti-Alkaline Phosphatase antibody [EPR20428-147] - BSA and Azide free (Capture) (AB252581)

Immunohistochemical analysis of paraffin-embedded Human spleen tissue labeling Alkaline Phosphatase with ab252581 at 1/500 (2.0 µg/ml) dilution, followed by a ready to use LeicaDS9800 (Bond™ Polymer Refine Detection).

Positive staining on human spleen.
The section was incubated with ab252581 for 30 mins at room temperature.
The immunostaining was performed on a Leica Biosystems BOND® RX instrument
Counterstained with hematoxylin.

Secondary antibody only control : Secondary antibody is a ready to use a ready to use LeicaDS9800 (Bond™ Polymer Refine Detection).

Heat mediated antigen retrieval was performed with Tris-EDTA buffer (pH 9.0, Epitope Retrieval Solution2) for 20 mins

Immunohistochemistry (Formalin/PFA-fixed paraffin-embedded sections) - Anti-Alkaline Phosphatase antibody [EPR20428-147] - BSA and Azide free (Capture) (AB252581)
  • IHC-P

Lab

Immunohistochemistry (Formalin/PFA-fixed paraffin-embedded sections) - Anti-Alkaline Phosphatase antibody [EPR20428-147] - BSA and Azide free (Capture) (AB252581)

Immunohistochemical analysis of paraffin-embedded Mouse liver tissue labeling Extracellular matrix protein 1 with ab259672 at 1/2000 (0.622 µg/ml) dilution, followed by a ready to use LeicaDS9800 (Bond™ Polymer Refine Detection).

Positive staining on the stroma in mouse liver. The section was incubated with ab259672 for 30 mins at room temperature.
The immunostaining was performed on a Leica Biosystems BOND® RX instrument
Counterstained with hematoxylin.

Secondary antibody only control : Secondary antibody is a ready to use a ready to use LeicaDS9800 (Bond™ Polymer Refine Detection).

Heat mediated antigen retrieval was performed with Tris-EDTA buffer (pH 9.0, Epitope Retrieval Solution2) for 20 mins

Immunohistochemistry (Formalin/PFA-fixed paraffin-embedded sections) - Anti-Alkaline Phosphatase antibody [EPR20428-147] - BSA and Azide free (Capture) (AB252581)
  • IHC-P

Lab

Immunohistochemistry (Formalin/PFA-fixed paraffin-embedded sections) - Anti-Alkaline Phosphatase antibody [EPR20428-147] - BSA and Azide free (Capture) (AB252581)

Immunohistochemical analysis of paraffin-embedded Mouse cerebrum tissue labeling Extracellular matrix protein 1 with ab259672 at 1/2000 (0.622 µg/ml) dilution, followed by a ready to use LeicaDS9800 (Bond™ Polymer Refine Detection).

Low expression : nearly no staining on the mouse brain. The section was incubated with ab259672 for 30 mins at room temperature.
The immunostaining was performed on a Leica Biosystems BOND® RX instrument
Counterstained with hematoxylin.

Secondary antibody only control : Secondary antibody is a ready to use a ready to use LeicaDS9800 (Bond™ Polymer Refine Detection).

Heat mediated antigen retrieval was performed with Tris-EDTA buffer (pH 9.0, Epitope Retrieval Solution2) for 20 mins

Immunocytochemistry/ Immunofluorescence - Anti-Alkaline Phosphatase antibody [EPR20428-147] - BSA and Azide free (Capture) (AB252581)
  • ICC/IF

Lab

Immunocytochemistry/ Immunofluorescence - Anti-Alkaline Phosphatase antibody [EPR20428-147] - BSA and Azide free (Capture) (AB252581)

Immunofluorescent analysis of 4% Paraformaldehyde-fixed, 0.1% TritonX-100 permeabilized Hepa1-6 (mouse hepatoma epithelial cell) cells labelling Extracellular matrix protein 1 with ab252581 at 1/500 (2.488 µg/ml) dilution, followed by ab150081 Goat Anti-Rabbit IgG H&L (Alexa Fluor® 488) preadsorbed antibody at 1/1000 (2 µg/ml) dilution (Green).

Confocal image showing cytoplasmic staining in Hepa1-6 cell line (shown in green). The counterstain was observed in magenta. Nuclear DNA was labelled with DAPI (shown in blue). Image was taken with a confocal microscope (Leica-Microsystems, TCS SP8).

ab195889 Anti-alpha Tubulin mouse monoclonal antibody - Microtubule Marker (Alexa Fluor® 594) was used to counterstain tubulin at 1/200 (2.5 µg/ml) dilution (Magenta).

Secondary antibody only control : Secondary antibody is ab150081 Goat Anti-Rabbit IgG H&L (Alexa Fluor® 488) preadsorbed at 1/1000 (2 µg/ml) dilution.

Western blot - Anti-Alkaline Phosphatase antibody [EPR20428-147] - BSA and Azide free (Capture) (AB252581)
  • WB

Lab

Western blot - Anti-Alkaline Phosphatase antibody [EPR20428-147] - BSA and Azide free (Capture) (AB252581)

Blocking and diluting buffer and concentration : 5% NFDM/TBST.

All lanes:

Western blot - Anti-Alkaline Phosphatase antibody [EPR20428-147] - BSA and Azide free (Capture) (ab252581) at 1/1000 dilution

Lane 1:

Human liver tissue lysate at 20 µg

Lane 2:

Human small intestine tissue lysate at 20 µg

Lane 3:

Mouse kidney tissue lysate at 20 µg

Secondary

All lanes:

Western blot - Goat Anti-Rabbit IgG H&L (HRP) (<a href='/en-us/products/secondary-antibodies/goat-rabbit-igg-h-l-hrp-ab97051'>ab97051</a>) at 1/100000 dilution

Observed band size: 80 kDa

false

Exposure time: 180s

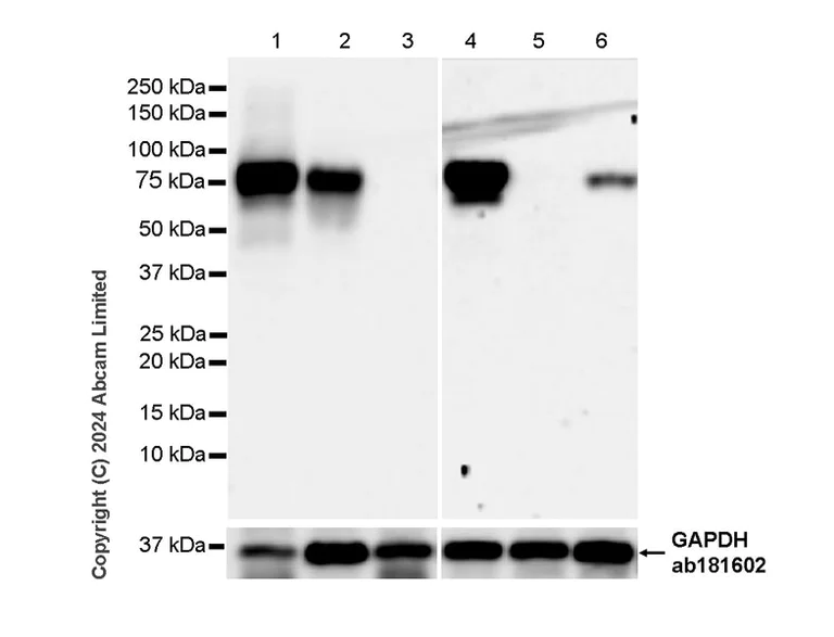
Western blot - Anti-Alkaline Phosphatase antibody [EPR20428-147] - BSA and Azide free (Capture) (AB252581)
  • WB

Lab

Western blot - Anti-Alkaline Phosphatase antibody [EPR20428-147] - BSA and Azide free (Capture) (AB252581)

Blocking and diluting buffer and concentration : 5% NFDM/TBST.
ab181602 was used as a GAPDH loading control at a 1/200000 dilution.
Low expression : A549 (PMID : 33858415).
In Western blot, ab252581 was shown to bind specifically to ALPL. Target of interest was observed at 80 kDa in wild-type HAP1 cell lysates (lane 4) with no signal observed at this size in ALPL knockout cell line (lane 5).

Exposure time :
Lanes 1-3 : 6 seconds;
Lanes 4-6 : 180 seconds

All lanes:

Western blot - Anti-Alkaline Phosphatase antibody [EPR20428-147] - BSA and Azide free (Capture) (ab252581) at 1/1000 dilution

Lane 1:

Saos-2 (human osteosarcoma epithelial cell) whole cell lysate at 20 µg

Lane 2:

HeLa (human cervical adenocarcinoma epithelial cell) whole cell lysate at 20 µg

Lane 3:

A549 (human lung carcinoma epithelial cell) whole cell lysate at 20 µg

Lane 4:

Wide-type HAP1 (human chronic myelogenous leukemia near-haploid cell) whole cell lysate at 20 µg

Lane 5:

ALPL knockout HAP1 whole cell lysate at 20 µg

Lane 6:

MEF (mouse embryo fibroblast) whole cell lysate at 20 µg

Secondary

All lanes:

Western blot - Goat Anti-Rabbit IgG H&L (HRP) (<a href='/en-us/products/secondary-antibodies/goat-rabbit-igg-h-l-hrp-ab97051'>ab97051</a>) at 1/100000 dilution

Observed band size: 80 kDa

false

Western blot - Anti-Alkaline Phosphatase antibody [EPR20428-147] - BSA and Azide free (Capture) (AB252581)
  • WB

Lab

Western blot - Anti-Alkaline Phosphatase antibody [EPR20428-147] - BSA and Azide free (Capture) (AB252581)

Blocking and diluting buffer and concentration : 5% NFDM/TBST.
ab181602 was used as a GAPDH loading control at a 1/200000 dilution.
This blot was developed using a high-sensitivity ECL substrate, allowing for the detection of proteins in the mid-femtogram range.
The identity of the lower MW band at approximately 35 kDa is unknown.

All lanes:

Western blot - Anti-Alkaline Phosphatase antibody [EPR20428-147] - BSA and Azide free (Capture) (ab252581) at 1/1000 dilution

All lanes:

Mouse liver tissue lysate at 20 µg

Secondary

All lanes:

Western blot - Goat Anti-Rabbit IgG H&L (HRP) (<a href='/en-us/products/secondary-antibodies/goat-rabbit-igg-h-l-hrp-ab97051'>ab97051</a>) at 1/100000 dilution

Observed band size: 85 kDa

true

Exposure time: 180s

Western blot - Anti-Alkaline Phosphatase antibody [EPR20428-147] - BSA and Azide free (Capture) (AB252581)
  • WB

Lab

Western blot - Anti-Alkaline Phosphatase antibody [EPR20428-147] - BSA and Azide free (Capture) (AB252581)

Blocking and diluting buffer and concentration : 5% NFDM/TBST.
ab181602 was used as a GAPDH loading control at a 1/200000 dilution.

All lanes:

Western blot - Anti-Alkaline Phosphatase antibody [EPR20428-147] - BSA and Azide free (Capture) (ab252581) at 1/1000 dilution

Lane 1:

Hepa1-6 (mouse hepatoma epithelial cell) whole cell lysate at 20 µg

Lane 2:

C2C12 (mouse myoblast) whole cell lysate at 20 µg

Secondary

All lanes:

Western blot - Goat Anti-Rabbit IgG H&L (HRP) (<a href='/en-us/products/secondary-antibodies/goat-rabbit-igg-h-l-hrp-ab97051'>ab97051</a>) at 1/100000 dilution

Observed band size: 85 kDa

false

Exposure time: 180s

Sandwich ELISA - Anti-Alkaline Phosphatase antibody [EPR20428-147] - BSA and Azide free (Capture) (AB252581)
  • sELISA

Supplier Data

Sandwich ELISA - Anti-Alkaline Phosphatase antibody [EPR20428-147] - BSA and Azide free (Capture) (AB252581)

Representative standard curve from corresponding SimpleStep ELISA® Kit (ab254503).

Key facts

Host species

Rabbit

Clonality

Monoclonal

Clone number

EPR20428-147

Isotype

IgG

Carrier free

Yes

Reacts with

Human, Mouse

Applications

sELISA, WB, IHC-P

applications

Immunogen

The exact immunogen used to generate this antibody is proprietary information.

Reactivity data

{ "title": "Reactivity Data", "filters": { "stats": ["", "Species", "Dilution Info", "Notes"], "tabs": { "all-applications": {"fullname" : "All Applications", "shortname": "All Applications"}, "ICCIF" : {"fullname" : "Immunocytochemistry/ Immunofluorescence", "shortname":"ICC/IF"}, "IP" : {"fullname" : "Immunoprecipitation", "shortname":"IP"}, "IHCP" : {"fullname" : "Immunohistochemistry (Formalin/PFA-fixed paraffin-embedded sections)", "shortname":"IHC-P"}, "WB" : {"fullname" : "Western blot", "shortname":"WB"}, "sELISA" : {"fullname" : "Sandwich ELISA", "shortname":"sELISA"} }, "product-promise": { "all": "all", "testedAndGuaranteed": "tested", "guaranteed": "expected", "predicted": "predicted", "notRecommended": "not-recommended" } }, "values": { "Human": { "ICCIF-species-checked": "notRecommended", "ICCIF-species-dilution-info": "", "ICCIF-species-notes": "<p></p>", "IP-species-checked": "notRecommended", "IP-species-dilution-info": "", "IP-species-notes": "<p></p>", "IHCP-species-checked": "testedAndGuaranteed", "IHCP-species-dilution-info": "1/500", "IHCP-species-notes": "<p></p>", "WB-species-checked": "testedAndGuaranteed", "WB-species-dilution-info": "1/1000", "WB-species-notes": "<p></p>", "sELISA-species-checked": "guaranteed", "sELISA-species-dilution-info": "", "sELISA-species-notes": "<p></p>" }, "Mouse": { "ICCIF-species-checked": "notRecommended", "ICCIF-species-dilution-info": "", "ICCIF-species-notes": "", "IP-species-checked": "notRecommended", "IP-species-dilution-info": "", "IP-species-notes": "", "IHCP-species-checked": "notRecommended", "IHCP-species-dilution-info": "", "IHCP-species-notes": "<p></p>", "WB-species-checked": "testedAndGuaranteed", "WB-species-dilution-info": "1/1000", "WB-species-notes": "<p></p>", "sELISA-species-checked": "predicted", "sELISA-species-dilution-info": "", "sELISA-species-notes": "" }, "Rat": { "ICCIF-species-checked": "notRecommended", "ICCIF-species-dilution-info": "", "ICCIF-species-notes": "", "IP-species-checked": "notRecommended", "IP-species-dilution-info": "", "IP-species-notes": "", "IHCP-species-checked": "notRecommended", "IHCP-species-dilution-info": "", "IHCP-species-notes": "<p></p>", "WB-species-checked": "notRecommended", "WB-species-dilution-info": "", "WB-species-notes": "", "sELISA-species-checked": "notRecommended", "sELISA-species-dilution-info": "", "sELISA-species-notes": "" } } }

Product details

ab252581 is a BSA and Azide Free antibody supplied in an unconjugated format and it is suitable for sandwich ELISAs to quantify Human ALPL. The recommended pair for sandwich ELISA is:
Capture: ab252581, Human ALPL Capture Antibody (unconjugated)
Detector: ab252640, Human ALPL Detector Antibody (unconjugated)
The reference range value is 1.09 - 70 ng/ml.

Patented technology
Our RabMAb® technology is a patented hybridoma-based technology for making rabbit monoclonal antibodies. For details on our patents, please refer to RabMAb® patents.

What are the advantages of a recombinant monoclonal antibody?
This product is a recombinant monoclonal antibody, which offers several advantages including:

  • - High batch-to-batch consistency and reproducibility
  • - Improved sensitivity and specificity
  • - Long-term security of supply
  • - Animal-free batch production

For more information, read more on recombinant antibodies.

Conjugation ready
Our carrier-free antibodies are typically supplied in a PBS-only formulation, purified and free of BSA, sodium azide and glycerol. This conjugation-ready format is designed for use with fluorochromes, metal isotopes, oligonucleotides, and enzymes, which makes them ideal for antibody labelling, functional and cell-based assays, flow-based assays (e.g. mass cytometry) and Multiplex Imaging applications.

Use our conjugation kits for antibody conjugates that are ready-to-use in as little as 20 minutes with 1 minute hands-on-time and 100% antibody recovery: available for fluorescent dyes, HRP, biotin and gold.

Sandwich ELISA
The recommended antibody orientation is based on internal optimization for ELISA-based assays. Antibody orientation is assay dependent and needs to be optimized for each assay type. Please note that the range provided for this antibody is only an estimation based on the performance of the product using the recommended antibody pair. Performance of the antibody pair will depend on the specific characteristics of your assay. We guarantee the product works in sandwich ELISA, but we do not guarantee the sensitivity or dynamic range of the antibody in your assay.

Properties and storage information

Form
Liquid
Purification technique
Affinity purification Protein A
Storage buffer
Constituents: PBS
Shipped at conditions
Blue Ice
Appropriate short-term storage conditions
+4°C
Appropriate long-term storage conditions
+4°C

Supplementary information

This supplementary information is collated from multiple sources and compiled automatically.

Alkaline Phosphatase also known as ALP or ALKPHOS is an enzyme that removes phosphate groups from various molecules like nucleotides and proteins. This enzymatic activity requires alkaline conditions with a pH optimum around 8–10. ALP is anchored to the cell membrane and exists in several isoforms each with a mass around 57-70 kDa. Different tissues express specific isoforms such as bone liver kidney and placenta. Osteoblasts for example show high levels of alkaline phosphatase expression often detected by techniques like ALP staining or alkaline phosphatase staining.
Biological function summary

Alkaline phosphatase plays important roles in dephosphorylation processes. Particularly in bone it is associated with osteoblast activity where it is important for bone mineralization. The enzyme is not known to be part of a large protein complex but its activity aids in the conversion of inorganic pyrophosphate into phosphate which promotes the deposition of calcium phosphate in bone. ALP staining and ALP staining osteoblast can be used in laboratory settings for studying the mineralization and function of osteoblasts.

Pathways

Alkaline phosphatase is key in the regulation of the phosphate group levels within the organism particularly in the bone mineralization process. It participates in the vitamin D metabolic pathway which influences calcium and phosphorus homeostasis. Its function has a dynamic relationship with proteins like NPP1 which regulates levels of inorganic pyrophosphate acting counter to alkaline phosphatase's phosphate-producing activity.

Defects in alkaline phosphatase activity are linked to conditions like hypophosphatasia and hyperphosphatasia where mineralization processes are disrupted. In hypophosphatasia decreased ALP activity leads to improper bone formation due to accumulation of inorganic pyrophosphate. This interaction is notable alongside proteins such as tissular nonspecific alkaline phosphatase. On the other hand elevated ALP levels often indicate liver or bone disease pathology where increased enzyme levels reflect altered tissue turnover.

Product protocols

For this product, it's our understanding that no specific protocols are required. You can visit:

Target data

Alkaline phosphatase that can hydrolyze various phosphate compounds.
See full target information ALPI

Product promise

We are committed to supporting your work with high-quality reagents, and we're here for you every step of the way. In the unlikely event that one of our products does not perform as expected, you're protected by our Product Promise.
For full details, please see our Terms & Conditions

Please note: All products are 'FOR RESEARCH USE ONLY. NOT FOR USE IN DIAGNOSTIC OR THERAPEUTIC PROCEDURES'.

For licensing inquiries, please contact partnerships@abcam.com