JavaScript is disabled in your browser. Please enable JavaScript to view this website.
AB305306

Anti-Alkaline Phosphatase antibody [EPR27506-72] (BSA and Azide free)

  • BOND RX™ Validated
  • RabMAb
  • Recombinant
  • KO Validated
  • What is this?

Be the first to review this product! Submit a review

|

(0 Publication)

Rabbit Recombinant Monoclonal PPBT antibody. Carrier free. Suitable for IHC-P, WB and reacts with Human samples.

View Alternative Names

AP-TNAP, TNS-ALP, TNSALP, Alkaline phosphatase liver/bone/kidney isozyme, Phosphoamidase, Phosphocreatine phosphatase, ALPL

6 Images
Immunohistochemistry - Anti-Alkaline Phosphatase antibody [EPR27506-72] (BSA and Azide free) (AB305306)
  • IHC

Supplier Data

Immunohistochemistry - Anti-Alkaline Phosphatase antibody [EPR27506-72] (BSA and Azide free) (AB305306)

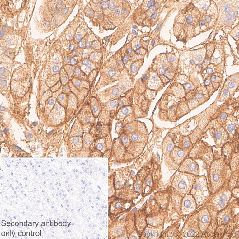
This data was developed using ab305305, the same antibody clone in a different buffer formulation. Immunohistochemical analysis of paraffin-embedded human adrenal gland tissue labeling Alkaline Phosphatase with ab305305 at 1/2000 (0.261 µg/ml) followed by ready to use Leica DS9800 (Bond® Polymer Refine Detection) kit. Positive staining on human adrenal gland (PMID : 31563571). The section was incubated with ab305305 for 30 mins at room temperature. The immunostaining was performed on a Leica Biosystems BOND® RX instrument. Counterstained with Hematoxylin. Secondary antibody only control : Secondary antibody is ready to use Leica DS9800 (Bond® Polymer Refine Detection) kit. Heat mediated antigen retrieval was performed with Tris-EDTA buffer (pH 9.0, Epitope Retrieval Solution 2) for 20 mins.

Immunohistochemistry - Anti-Alkaline Phosphatase antibody [EPR27506-72] (BSA and Azide free) (AB305306)
  • IHC

Supplier Data

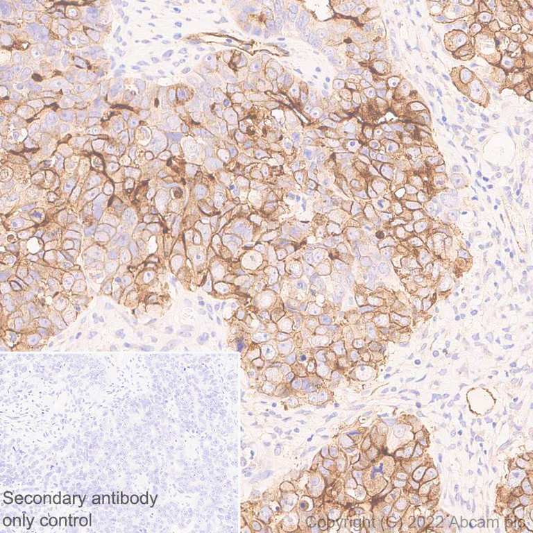
Immunohistochemistry - Anti-Alkaline Phosphatase antibody [EPR27506-72] (BSA and Azide free) (AB305306)

This data was developed using ab305305, the same antibody clone in a different buffer formulation. Immunohistochemical analysis of paraffin-embedded human serous ovarian tissue labeling Alkaline Phosphatase with ab305305 at 1/2000 (0.261 µg/ml) followed by ready to use Leica DS9800 (Bond® Polymer Refine Detection) kit. Positive staining on human serous ovarian carcinoma (PMID : 30979497). The section was incubated with ab305305 for 30 mins at room temperature. The immunostaining was performed on a Leica Biosystems BOND® RX instrument. Counterstained with Hematoxylin. Secondary antibody only control : Secondary antibody is ready to use Leica DS9800 (Bond® Polymer Refine Detection) kit. Heat mediated antigen retrieval was performed with Tris-EDTA buffer (pH 9.0, Epitope Retrieval Solution 2) for 20 mins.

Immunohistochemistry - Anti-Alkaline Phosphatase antibody [EPR27506-72] (BSA and Azide free) (AB305306)
  • IHC

Supplier Data

Immunohistochemistry - Anti-Alkaline Phosphatase antibody [EPR27506-72] (BSA and Azide free) (AB305306)

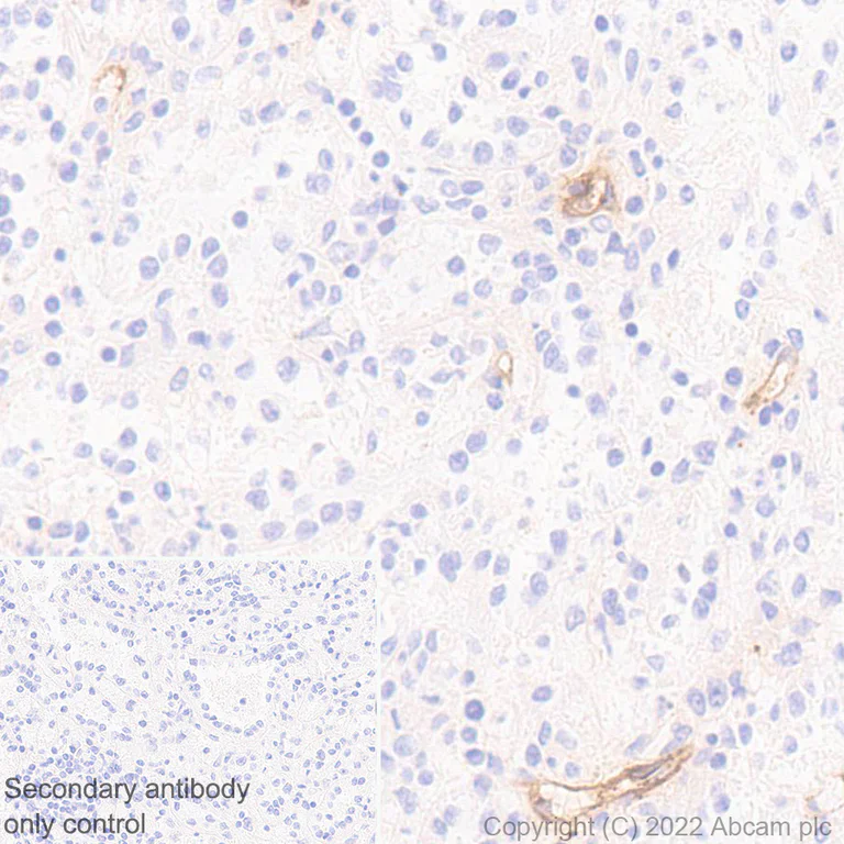
This data was developed using ab305305, the same antibody clone in a different buffer formulation. Immunohistochemical analysis of paraffin-embedded human spleen tissue labeling Alkaline Phosphatase with ab305305 at 1/2000 (0.261 µg/ml) followed by ready to use Leica DS9800 (Bond® Polymer Refine Detection) kit. Low expression in human spleen lymphocytes with positive staining on vascular endothelium. The section was incubated with ab305305 for 30 mins at room temperature. The immunostaining was performed on a Leica Biosystems BOND® RX instrument. Counterstained with Hematoxylin. Secondary antibody only control : Secondary antibody is ready to use Leica DS9800 (Bond® Polymer Refine Detection) kit. Heat mediated antigen retrieval was performed with Tris-EDTA buffer (pH 9.0, Epitope Retrieval Solution 2) for 20 mins.

Western blot - Anti-Alkaline Phosphatase antibody [EPR27506-72] (BSA and Azide free) (AB305306)
  • WB

Supplier Data

Western blot - Anti-Alkaline Phosphatase antibody [EPR27506-72] (BSA and Azide free) (AB305306)

This data was developed using ab305305, the same antibody clone in a different buffer formulation. Blocking and diluting buffer and concentration : 5% NFDM/TBST ALPL is a glycoprotein of approximately 80 kDa and detected as a 55 kDa band after treated with Protein Deglycosylation MIX II. Exposure time : 37 seconds

All lanes:

Western blot - Anti-Alkaline Phosphatase antibody [EPR27506-72] (<a href='/en-us/products/primary-antibodies/alkaline-phosphatase-antibody-epr27506-72-ab305305'>ab305305</a>) at 1/1000 dilution

Lane 1:

Untreated human adrenal gland tisuue lysate at 20 µg

Lane 2:

Human adrenal gland tissue lysate treated with Protein Deglycosylation Mix II at 20 µg

Secondary

All lanes:

Goat Anti-Rabbit IgG (HRP) with minimal cross-reactivity with human IgG at 1/2000 dilution

Observed band size: 55 kDa,80 kDa

false

Exposure time: 37s

Western blot - Anti-Alkaline Phosphatase antibody [EPR27506-72] (BSA and Azide free) (AB305306)
  • WB

Supplier Data

Western blot - Anti-Alkaline Phosphatase antibody [EPR27506-72] (BSA and Azide free) (AB305306)

This data was developed using ab305305, the same antibody clone in a different buffer formulation. Blocking and diluting buffer and concentration : Intercept® (TBS) Blocking Buffer diluted with an equal volume of 0.1% TBS. The samples were run on a Bis-Tris gel. Performed under reducing conditions. False colour image of Western blot : Anti-Alkaline Phosphatase antibody [EPR27506-72] (ab305305) staining at 1/1000 dilution, shown in green; Mouse anti-GAPDH antibody [6C5] (ab8245) loading control staining at 1/20000 dilution, shown in red. In Western blot, ab305305 was shown to bind specifically to Alkaline Phosphatase. A band was observed at 75 kDa in wild-type HAP1 cell lysates whereas no signal observed at this size in Alkaline Phosphatase knockout cell line. To generate this image, wild-type and Alkaline Phosphatase knockout HAP1 cell lysates were analyzed. First, samples were run on a SDS-PAGE gel then transferred onto an immobilon-FL PVDF membrane. Membranes were blocked in in Intercept® (TBS) Blocking Buffer diluted with an equal volume of 0.1% TBS before incubation with primary antibodies overnight at 4 °C. Blots were washed four times in TBS-T, incubated with secondary antibodies for 1 h at room temperature, washed again four times then imaged. Secondary antibodies used were Goat anti-Rabbit IgG H&L (IRDye® 800CW) preabsorbed (ab216773) at 1/10000 dilution and Goat anti-Mouse IgG H&L (IRDye® 680RD) preabsorbed (ab216776) at 1/20000 dilution.

All lanes:

Western blot - Anti-Alkaline Phosphatase antibody [EPR27506-72] (<a href='/en-us/products/primary-antibodies/alkaline-phosphatase-antibody-epr27506-72-ab305305'>ab305305</a>) at 1/1000 dilution

Lane 1:

Wild-type HAP1 whole cell lysate at 20 µg

Lane 2:

Alkaline Phosphatase knockout HAP1 whole cell lysate at 20 µg

Lane 3:

Human adrenal gland at 20 µg

Secondary

Lanes 1 - 3:

Western blot - Goat anti-Rabbit IgG H&L (IRDye® 800CW) preadsorbed (<a href='/en-us/products/secondary-antibodies/goat-rabbit-igg-h-l-irdye-800cw-preadsorbed-ab216773'>ab216773</a>) at 1/10000 dilution

Lanes 1 - 3:

Western blot - Goat anti-Mouse IgG H&L (IRDye® 680RD) preadsorbed (<a href='/en-us/products/secondary-antibodies/goat-mouse-igg-h-l-irdye-680rd-preadsorbed-ab216776'>ab216776</a>) at 1/20000 dilution

Observed band size: 75 kDa

false

Western blot - Anti-Alkaline Phosphatase antibody [EPR27506-72] (BSA and Azide free) (AB305306)
  • WB

Supplier Data

Western blot - Anti-Alkaline Phosphatase antibody [EPR27506-72] (BSA and Azide free) (AB305306)

This data was developed using ab305305, the same antibody clone in a different buffer formulation. Blocking and diluting buffer and concentration : 5% NFDM/TBST Low expression : A549 (PMID : 33858415 ). Exposure time : Lane 1 : 6 seconds Lanes 2 and 3 : 180 seconds

All lanes:

Western blot - Anti-Alkaline Phosphatase antibody [EPR27506-72] (<a href='/en-us/products/primary-antibodies/alkaline-phosphatase-antibody-epr27506-72-ab305305'>ab305305</a>) at 1/1000 dilution

Lane 1:

Saos-2 whole cell lysate at 20 µg

Lane 2:

HeLa whole cell lysate at 20 µg

Lane 3:

A549 whole cell lysate at 20 µg

Secondary

All lanes:

Western blot - Goat Anti-Rabbit IgG H&L (HRP) (<a href='/en-us/products/secondary-antibodies/goat-rabbit-igg-h-l-hrp-ab97051'>ab97051</a>) at 1/100000 dilution

Observed band size: 80 kDa

false

Exposure time: 6s

  • Unconjugated

    Anti-Alkaline Phosphatase antibody [EPR27506-72]

Key facts

Host species

Rabbit

Clonality

Monoclonal

Clone number

EPR27506-72

Isotype

IgG

Carrier free

Yes

Reacts with

Human

Applications

WB, IHC-P

applications

Immunogen

The exact immunogen used to generate this antibody is proprietary information.

Reactivity data

{ "title": "Reactivity Data", "filters": { "stats": ["", "Species", "Dilution Info", "Notes"], "tabs": { "all-applications": {"fullname" : "All Applications", "shortname": "All Applications"}, "FlowCytIntra" : {"fullname" : "Flow Cytometry (Intracellular)", "shortname":"Flow Cyt (Intra)"}, "ICCIF" : {"fullname" : "Immunocytochemistry/ Immunofluorescence", "shortname":"ICC/IF"}, "IHCP" : {"fullname" : "Immunohistochemistry (Formalin/PFA-fixed paraffin-embedded sections)", "shortname":"IHC-P"}, "WB" : {"fullname" : "Western blot", "shortname":"WB"} }, "product-promise": { "all": "all", "testedAndGuaranteed": "tested", "guaranteed": "expected", "predicted": "predicted", "notRecommended": "not-recommended" } }, "values": { "Human": { "FlowCytIntra-species-checked": "notRecommended", "FlowCytIntra-species-dilution-info": "", "FlowCytIntra-species-notes": "<p></p>", "ICCIF-species-checked": "notRecommended", "ICCIF-species-dilution-info": "", "ICCIF-species-notes": "<p></p>", "IHCP-species-checked": "testedAndGuaranteed", "IHCP-species-dilution-info": "", "IHCP-species-notes": "<p></p>", "WB-species-checked": "testedAndGuaranteed", "WB-species-dilution-info": "", "WB-species-notes": "<p></p>" }, "Mouse": { "FlowCytIntra-species-checked": "notRecommended", "FlowCytIntra-species-dilution-info": "", "FlowCytIntra-species-notes": "", "ICCIF-species-checked": "notRecommended", "ICCIF-species-dilution-info": "", "ICCIF-species-notes": "", "IHCP-species-checked": "notRecommended", "IHCP-species-dilution-info": "", "IHCP-species-notes": "<p></p>", "WB-species-checked": "notRecommended", "WB-species-dilution-info": "", "WB-species-notes": "<p></p>" }, "Rat": { "FlowCytIntra-species-checked": "notRecommended", "FlowCytIntra-species-dilution-info": "", "FlowCytIntra-species-notes": "", "ICCIF-species-checked": "notRecommended", "ICCIF-species-dilution-info": "", "ICCIF-species-notes": "", "IHCP-species-checked": "notRecommended", "IHCP-species-dilution-info": "", "IHCP-species-notes": "<p></p>", "WB-species-checked": "notRecommended", "WB-species-dilution-info": "", "WB-species-notes": "<p></p>" } } }

Product details

Patented technology
Our RabMAb® technology is a patented hybridoma-based technology for making rabbit monoclonal antibodies. For details on our patents, please refer to RabMAb® patents.

What are the advantages of a recombinant monoclonal antibody?
This product is a recombinant monoclonal antibody, which offers several advantages including:

  • - High batch-to-batch consistency and reproducibility
  • - Improved sensitivity and specificity
  • - Long-term security of supply
  • - Animal-free batch production

For more information, read more on recombinant antibodies.

Conjugation ready
Our carrier-free antibodies are typically supplied in a PBS-only formulation, purified and free of BSA, sodium azide and glycerol. This conjugation-ready format is designed for use with fluorochromes, metal isotopes, oligonucleotides, and enzymes, which makes them ideal for antibody labelling, functional and cell-based assays, flow-based assays (e.g. mass cytometry) and Multiplex Imaging applications.

Use our conjugation kits for antibody conjugates that are ready-to-use in as little as 20 minutes with 1 minute hands-on-time and 100% antibody recovery: available for fluorescent dyes, HRP, biotin and gold.

Compatibility
This product is compatible with the Maxpar® Antibody Labeling Kit from Fluidigm, without the need for antibody preparation. Maxpar® is a trademark of Fluidigm Canada Inc.

Properties and storage information

Form
Liquid
Purification technique
Affinity purification Protein A
Storage buffer
pH: 7.2 - 7.4 Constituents: PBS
Shipped at conditions
Blue Ice
Appropriate short-term storage conditions
+4°C
Appropriate long-term storage conditions
+4°C
Storage information
Do Not Freeze

Supplementary information

This supplementary information is collated from multiple sources and compiled automatically.

Alkaline Phosphatase also known as ALP or ALKPHOS is an enzyme that removes phosphate groups from various molecules like nucleotides and proteins. This enzymatic activity requires alkaline conditions with a pH optimum around 8–10. ALP is anchored to the cell membrane and exists in several isoforms each with a mass around 57-70 kDa. Different tissues express specific isoforms such as bone liver kidney and placenta. Osteoblasts for example show high levels of alkaline phosphatase expression often detected by techniques like ALP staining or alkaline phosphatase staining.
Biological function summary

Alkaline phosphatase plays important roles in dephosphorylation processes. Particularly in bone it is associated with osteoblast activity where it is important for bone mineralization. The enzyme is not known to be part of a large protein complex but its activity aids in the conversion of inorganic pyrophosphate into phosphate which promotes the deposition of calcium phosphate in bone. ALP staining and ALP staining osteoblast can be used in laboratory settings for studying the mineralization and function of osteoblasts.

Pathways

Alkaline phosphatase is key in the regulation of the phosphate group levels within the organism particularly in the bone mineralization process. It participates in the vitamin D metabolic pathway which influences calcium and phosphorus homeostasis. Its function has a dynamic relationship with proteins like NPP1 which regulates levels of inorganic pyrophosphate acting counter to alkaline phosphatase's phosphate-producing activity.

Defects in alkaline phosphatase activity are linked to conditions like hypophosphatasia and hyperphosphatasia where mineralization processes are disrupted. In hypophosphatasia decreased ALP activity leads to improper bone formation due to accumulation of inorganic pyrophosphate. This interaction is notable alongside proteins such as tissular nonspecific alkaline phosphatase. On the other hand elevated ALP levels often indicate liver or bone disease pathology where increased enzyme levels reflect altered tissue turnover.

Product protocols

For this product, it's our understanding that no specific protocols are required. You can visit:

Target data

Alkaline phosphatase that metabolizes various phosphate compounds and plays a key role in skeletal mineralization and adaptive thermogenesis (PubMed : 12162492, PubMed : 23688511, PubMed : 25982064). Has broad substrate specificity and can hydrolyze a considerable variety of compounds : however, only a few substrates, such as diphosphate (inorganic pyrophosphate; PPi), pyridoxal 5'-phosphate (PLP) and N-phosphocreatine are natural substrates (PubMed : 12162492, PubMed : 2220817). Plays an essential role in skeletal and dental mineralization via its ability to hydrolyze extracellular diphosphate, a potent mineralization inhibitor, to phosphate : it thereby promotes hydroxyapatite crystal formation and increases inorganic phosphate concentration (PubMed : 23688511, PubMed : 25982064). Acts in a non-redundant manner with PHOSPHO1 in skeletal mineralization : while PHOSPHO1 mediates the initiation of hydroxyapatite crystallization in the matrix vesicles (MVs), ALPL/TNAP catalyzes the spread of hydroxyapatite crystallization in the extracellular matrix (By similarity). Also promotes dephosphorylation of osteopontin (SSP1), an inhibitor of hydroxyapatite crystallization in its phosphorylated state; it is however unclear whether ALPL/TNAP mediates SSP1 dephosphorylation via a direct or indirect manner (By similarity). Catalyzes dephosphorylation of PLP to pyridoxal (PL), the transportable form of vitamin B6, in order to provide a sufficient amount of PLP in the brain, an essential cofactor for enzymes catalyzing the synthesis of diverse neurotransmitters (PubMed : 20049532, PubMed : 2220817). Additionally, also able to mediate ATP degradation in a stepwise manner to adenosine, thereby regulating the availability of ligands for purinergic receptors (By similarity). Also capable of dephosphorylating microbial products, such as lipopolysaccharides (LPS) as well as other phosphorylated small-molecules, such as poly-inosine : cytosine (poly I : C) (PubMed : 28448526). Acts as a key regulator of adaptive thermogenesis as part of the futile creatine cycle : localizes to the mitochondria of thermogenic fat cells and acts by mediating hydrolysis of N-phosphocreatine to initiate a futile cycle of creatine dephosphorylation and phosphorylation (By similarity). During the futile creatine cycle, creatine and N-phosphocreatine are in a futile cycle, which dissipates the high energy charge of N-phosphocreatine as heat without performing any mechanical or chemical work (By similarity).
See full target information Alkaline phosphatase, tissue-nonspecific isozyme

Product promise

We are committed to supporting your work with high-quality reagents, and we're here for you every step of the way. In the unlikely event that one of our products does not perform as expected, you're protected by our Product Promise.
For full details, please see our Terms & Conditions

Please note: All products are 'FOR RESEARCH USE ONLY. NOT FOR USE IN DIAGNOSTIC OR THERAPEUTIC PROCEDURES'.

For licensing inquiries, please contact partnerships@abcam.com