JavaScript is disabled in your browser. Please enable JavaScript to view this website.
AB81655

Alkaline Phosphatase Anti-DDDDK tag (Binds to FLAG® tag sequence) antibody [M2]

Be the first to review this product! Submit a review

|

(1 Publication)

Mouse Monoclonal DDDDK tag (Binds to FLAG® tag sequence) antibody - conjugated to Alkaline Phosphatase. Suitable for WB and reacts with Tag samples. Cited in 1 publication.

View Alternative Names

DDDDK epitope tag, DDDK, DYKDDDDK, DYKDDDDK (also known as the FLAG搴 tag sequence), DYKDDDDK epitope tag, DYKDDDDK tag, ECS epitope tag, ECS tag, Enterokinase Cleavage Site epitope tag, Enterokinase Cleavage Site tag, FLAG搴, FLAG搴 tag, ddk

1 Images
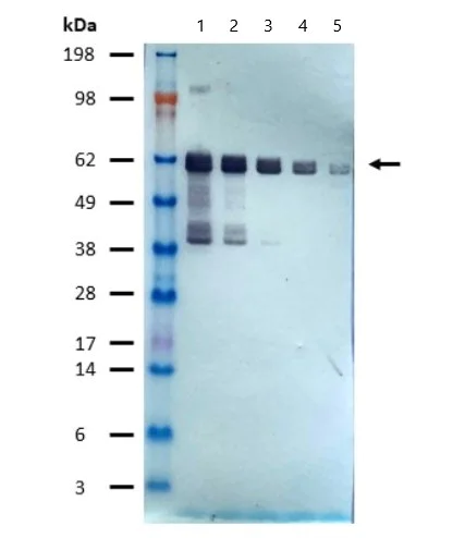
Western blot - Alkaline Phosphatase Anti-DDDDK tag (Binds to FLAG® tag sequence) antibody [M2] (AB81655)
  • WB

Supplier Data

Western blot - Alkaline Phosphatase Anti-DDDDK tag (Binds to FLAG® tag sequence) antibody [M2] (AB81655)

Imaged using stabilized Alkaline Phosphatase substrate.

All lanes:

Western blot - Alkaline Phosphatase Anti-DDDDK tag (Binds to FLAG® tag sequence) antibody [M2] (ab81655) at 1/10000 dilution

Lane 1:

60 kDa DYKDDDDK-tagged protein at 0.3 µg

Lane 2:

60 kDa DYKDDDDK-tagged protein at 0.01 µg

Lane 3:

60 kDa DYKDDDDK-tagged protein at 0.03 µg

Lane 4:

60 kDa DYKDDDDK-tagged protein at 0.001 µg

Lane 5:

60 kDa DYKDDDDK-tagged protein at 0.003 µg

false

Key facts

Host species

Mouse

Clonality

Monoclonal

Clone number

M2

Isotype

IgG1

Conjugation

Alkaline Phosphatase

Excitation/Emission
Carrier free

No

Applications

WB

applications

Specificity

ab81655 recognizes the DYKDDDDK tag sequence (also known as the FLAG® tag sequence) at an N-terminal, Met-N-terminal, C-terminal, or internal site.

Reactivity data

{ "title": "Reactivity Data", "filters": { "stats": ["", "Species", "Dilution Info", "Notes"], "tabs": { "all-applications": {"fullname" : "All Applications", "shortname": "All Applications"}, "WB" : {"fullname" : "Western blot", "shortname":"WB"} }, "product-promise": { "all": "all", "testedAndGuaranteed": "tested", "guaranteed": "expected", "predicted": "predicted", "notRecommended": "not-recommended" } }, "values": { "Tag": { "WB-species-checked": "testedAndGuaranteed", "WB-species-dilution-info": "1/5000", "WB-species-notes": "<p></p>" } } }

Product details

FLAG® is a registered trade mark of Sigma Aldrich Biotechnology LP. It is used here for informational purposes only.

Properties and storage information

Form
Liquid
Storage buffer
pH: 7.2 Preservative: 0.013% Sodium azide Constituents: 0.87% Sodium chloride, 0.3025% Tris
Shipped at conditions
Blue Ice
Appropriate short-term storage duration
1-2 weeks
Appropriate short-term storage conditions
+4°C
Appropriate long-term storage conditions
-20°C
Storage information
Avoid freeze / thaw cycle

Product protocols

For this product, it's our understanding that no specific protocols are required. You can visit:

Publications (1)

Recent publications for all applications. Explore the full list and refine your search

Molecular and cellular biology 5:3610-6 PubMed3915782

1985

Isolation of monoclonal antibodies specific for human c-myc proto-oncogene product.

Applications

Unspecified application

Species

Unspecified reactive species

G I Evan,G K Lewis,G Ramsay,J M Bishop
View all publications

Product promise

We are committed to supporting your work with high-quality reagents, and we're here for you every step of the way. In the unlikely event that one of our products does not perform as expected, you're protected by our Product Promise.
For full details, please see our Terms & Conditions

Please note: All products are 'FOR RESEARCH USE ONLY. NOT FOR USE IN DIAGNOSTIC OR THERAPEUTIC PROCEDURES'.

For licensing inquiries, please contact partnerships@abcam.com