JavaScript is disabled in your browser. Please enable JavaScript to view this website.
AB195376

Anti-ALKBH1 antibody [EPR19215]

5

(1 Review)

|

(9 Publications)

Rabbit Recombinant Monoclonal ALKBH1 antibody. Suitable for WB, IP and reacts with Human, Mouse, Rat samples. Cited in 9 publications.

View Alternative Names

ABH, ABH1, ALKBH, ALKBH1, Nucleic acid dioxygenase ALKBH1, Alkylated DNA repair protein alkB homolog 1, Alpha-ketoglutarate-dependent dioxygenase ABH1, DNA 6mA demethylase, DNA N6-methyl adenine demethylase ALKBH1, DNA lyase ABH1, DNA oxidative demethylase ALKBH1, mRNA N(3)-methylcytidine demethylase

6 Images
Immunoprecipitation - Anti-ALKBH1 antibody [EPR19215] (AB195376)
  • IP

Supplier Data

Immunoprecipitation - Anti-ALKBH1 antibody [EPR19215] (AB195376)

ALKBH1 was immunoprecipitated from 1mg of K562 (Human chronic myelogenous leukemia cell line from bone marrow) whole cell lysate with ab195376 at 1/30 dilution.

Western blot was performed from the immunoprecipitate using ab195376 at 1/1000 dilution.

VeriBlot for IP Detection Reagent (HRP) (ab131366), was used for detection at 1/10000 dilution.

Lane 1 : K562 whole cell lysate 10μg (Input).

Lane 2 : ab195376 IP in K562 whole cell lysate.

Lane 3 : Rabbit monoclonal IgG (ab172730) instead of ab195376 in K562 whole cell lysate.

Blocking and dilution buffer and concentration : 5% NFDM/TBST.

Exposure time : 10 seconds.

All lanes:

Immunoprecipitation - Anti-ALKBH1 antibody [EPR19215] (ab195376)

Predicted band size: 43 kDa

false

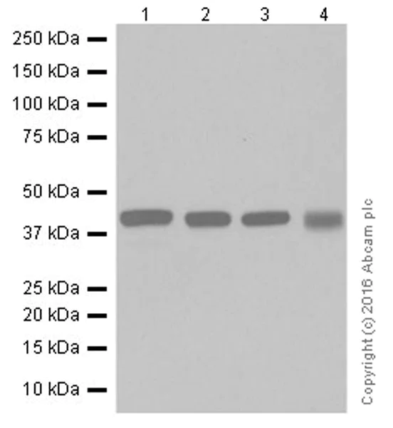
Western blot - Anti-ALKBH1 antibody [EPR19215] (AB195376)
  • WB

Supplier Data

Western blot - Anti-ALKBH1 antibody [EPR19215] (AB195376)

Blocking/Dilution buffer : 5% NFDM/TBST.

All lanes:

Western blot - Anti-ALKBH1 antibody [EPR19215] (ab195376) at 1/1000 dilution

Lane 1:

Jurkat (Human T cell leukemia cell line from peripheral blood) whole cell lysate at 10 µg

Lane 2:

K562 (Human chronic myelogenous leukemia cell line from bone marrow) whole cell lysate at 10 µg

Lane 3:

A549 (Human lung carcinoma cell line) whole cell lysate at 10 µg

Lane 4:

A431 (Human epidermoid carcinoma cell line) whole cell lysate at 10 µg

Secondary

All lanes:

Western blot - Goat Anti-Rabbit IgG H&L (HRP) (<a href='/en-us/products/secondary-antibodies/goat-rabbit-igg-h-l-hrp-ab97051'>ab97051</a>) at 1/100000 dilution

Predicted band size: 43 kDa

Observed band size: 44 kDa

false

Exposure time: 30s

Western blot - Anti-ALKBH1 antibody [EPR19215] (AB195376)
  • WB

Supplier Data

Western blot - Anti-ALKBH1 antibody [EPR19215] (AB195376)

Blocking/Dilution buffer : 5% NFDM/TBST.

All lanes:

Western blot - Anti-ALKBH1 antibody [EPR19215] (ab195376) at 1/1000 dilution

Lane 1:

Human fetal kidney lysate at 10 µg

Lane 2:

Human colon lysate at 10 µg

Lane 3:

Human fetal liver lysate at 10 µg

Secondary

All lanes:

Goat Anti-Rabbit IgG Peroxidase Conjugate, specific to the non-reduced form of IgG at 1/10000 dilution

Predicted band size: 43 kDa

Observed band size: 44 kDa

false

Exposure time: 3min

Western blot - Anti-ALKBH1 antibody [EPR19215] (AB195376)
  • WB

Lab

Western blot - Anti-ALKBH1 antibody [EPR19215] (AB195376)

Lanes 1 - 3 : Merged signal (red and green). Green - ab195376 observed at 43 kDa. Red - loading control, ab8245, observed at 37 kDa.

ab195376 was shown to specifically react with in wild-type HAP1 cells as signal was lost in ALKBH1 knockout cells. Wild-type and ALKBH1 knockout samples were subjected to SDS-PAGE. The membrane was blocked with 3% Milk. ab195376 and ab8245 (Mouse anti-GAPDH loading control) were incubated overnight at 4°C at 1/1000 dilution and 1/20000 dilution respectively. Blots were developed with Goat anti-Rabbit IgG H&L (IRDye® 800CW) preabsorbed ab216773 and Goat anti-Mouse IgG H&L (IRDye® 680RD) preabsorbed ab216776 secondary antibodies at 1/20000 dilution for 1 hour at room temperature before imaging.

All lanes:

Western blot - Anti-ALKBH1 antibody [EPR19215] (ab195376) at 1/1000 dilution

Lane 1:

Wild-type HAP1 whole cell lysate at 20 µg

Lane 2:

ALKBH1 knockout HAP1 whole cell lysate at 20 µg

Lane 3:

A549 whole cell lysate at 20 µg

Predicted band size: 43 kDa

false

Western blot - Anti-ALKBH1 antibody [EPR19215] (AB195376)
  • WB

Lab

Western blot - Anti-ALKBH1 antibody [EPR19215] (AB195376)

Blocking and diluting buffer : 5% NFDM/TBST

All lanes:

Western blot - Anti-ALKBH1 antibody [EPR19215] (ab195376) at 1/1000 dilution

Lane 1:

A549 (Human lung carcinoma epithelial cell) transfected with scrambled siRNA control whole cell lysate at 20 µg

Lane 2:

A549 (Human lung carcinoma epithelial cell) transfected with siRNA specifically targeting ALKBH1 whole cell lysate at 20 µg

Secondary

All lanes:

Western blot - Goat Anti-Rabbit IgG H&L (HRP) (<a href='/en-us/products/secondary-antibodies/goat-rabbit-igg-h-l-hrp-ab97051'>ab97051</a>) at 1/20000 dilution

false

Exposure time: 120s

Western blot - Anti-ALKBH1 antibody [EPR19215] (AB195376)
  • WB

Supplier Data

Western blot - Anti-ALKBH1 antibody [EPR19215] (AB195376)

Blocking/Dilution buffer : 5% NFDM/TBST.

Exposure time : Lane 1-4 : 30 seconds Lane 5-7 : 3 minutes.

All lanes:

Western blot - Anti-ALKBH1 antibody [EPR19215] (ab195376) at 1/1000 dilution

Lane 1:

C6 (Rat glial tumor cell line) whole cell lysate at 10 µg

Lane 2:

RAW 264.7 (Mouse macrophage cell line transformed with Abelson murine leukemia virus) whole cell lysate at 10 µg

Lane 3:

PC-12 (Rat adrenal gland pheochromocytoma cell line) whole cell lysate at 10 µg

Lane 4:

NIH/3T3 (Mouse embryonic fibroblast cell line) whole cell lysate at 10 µg

Lane 5:

Mouse brain lysate at 10 µg

Lane 6:

Mouse spleen lysate at 10 µg

Lane 7:

Rat spleen lysate at 10 µg

Secondary

All lanes:

Western blot - Goat Anti-Rabbit IgG H&L (HRP) (<a href='/en-us/products/secondary-antibodies/goat-rabbit-igg-h-l-hrp-ab97051'>ab97051</a>) at 1/100000 dilution

Predicted band size: 43 kDa

Observed band size: 44 kDa

false

  • Carrier free

    Anti-ALKBH1 antibody [EPR19215] - BSA and Azide free

Key facts

Host species

Rabbit

Clonality

Monoclonal

Clone number

EPR19215

Isotype

IgG

Carrier free

No

Reacts with

Mouse, Rat, Human

Applications

WB, IP

applications

Immunogen

The exact immunogen used to generate this antibody is proprietary information.

Reactivity data

{ "title": "Reactivity Data", "filters": { "stats": ["", "Species", "Dilution Info", "Notes"], "tabs": { "all-applications": {"fullname" : "All Applications", "shortname": "All Applications"}, "WB" : {"fullname" : "Western blot", "shortname":"WB"}, "ICCIF" : {"fullname" : "Immunocytochemistry/ Immunofluorescence", "shortname":"ICC/IF"}, "IP" : {"fullname" : "Immunoprecipitation", "shortname":"IP"} }, "product-promise": { "all": "all", "testedAndGuaranteed": "tested", "guaranteed": "expected", "predicted": "predicted", "notRecommended": "not-recommended" } }, "values": { "Human": { "WB-species-checked": "testedAndGuaranteed", "WB-species-dilution-info": "1/1000", "WB-species-notes": "<p>Milk recommended as blocking agent.</p>", "ICCIF-species-checked": "notRecommended", "ICCIF-species-dilution-info": "", "ICCIF-species-notes": "<p></p>", "IP-species-checked": "testedAndGuaranteed", "IP-species-dilution-info": "1/30", "IP-species-notes": "<p></p>" }, "Mouse": { "WB-species-checked": "testedAndGuaranteed", "WB-species-dilution-info": "1/1000", "WB-species-notes": "<p>Milk recommended as blocking agent.</p>", "ICCIF-species-checked": "notRecommended", "ICCIF-species-dilution-info": "", "ICCIF-species-notes": "<p></p>", "IP-species-checked": "guaranteed", "IP-species-dilution-info": "", "IP-species-notes": "" }, "Rat": { "WB-species-checked": "testedAndGuaranteed", "WB-species-dilution-info": "1/1000", "WB-species-notes": "<p>Milk recommended as blocking agent.</p>", "ICCIF-species-checked": "notRecommended", "ICCIF-species-dilution-info": "", "ICCIF-species-notes": "<p></p>", "IP-species-checked": "guaranteed", "IP-species-dilution-info": "", "IP-species-notes": "" } } }

Product details

Patented technology
Our RabMAb® technology is a patented hybridoma-based technology for making rabbit monoclonal antibodies. For details on our patents, please refer to RabMAb® patents.

What are the advantages of a recombinant monoclonal antibody?
This product is a recombinant monoclonal antibody, which offers several advantages including:

  • - High batch-to-batch consistency and reproducibility
  • - Improved sensitivity and specificity
  • - Long-term security of supply
  • - Animal-free batch production

For more information, read more on recombinant antibodies.

Properties and storage information

Form
Liquid
Purification technique
Affinity purification Protein A
Storage buffer
pH: 7.2 - 7.4 Preservative: 0.01% Sodium azide Constituents: PBS, 40% Glycerol (glycerin, glycerine), 0.05% BSA
Shipped at conditions
Blue Ice
Appropriate short-term storage duration
1-2 weeks
Appropriate short-term storage conditions
+4°C
Appropriate long-term storage conditions
-20°C
Aliquoting information
Upon delivery aliquot
Storage information
Avoid freeze / thaw cycle

Product protocols

For this product, it's our understanding that no specific protocols are required. You can visit:

Target data

Dioxygenase that acts as on nucleic acids, such as DNA and tRNA (PubMed : 18603530, PubMed : 27497299, PubMed : 27745969). Requires molecular oxygen, alpha-ketoglutarate and iron (PubMed : 18603530, PubMed : 27497299). A number of activities have been described for this dioxygenase, but recent results suggest that it mainly acts as on tRNAs and mediates their demethylation or oxidation depending on the context and subcellular compartment (PubMed : 27497299, PubMed : 27745969). Mainly acts as a tRNA demethylase by removing N(1)-methyladenine from various tRNAs, with a preference for N(1)-methyladenine at position 58 (m1A58) present on a stem loop structure of tRNAs (PubMed : 27745969). Acts as a regulator of translation initiation and elongation in response to glucose deprivation : regulates both translation initiation, by mediating demethylation of tRNA(Met), and translation elongation, N(1)-methyladenine-containing tRNAs being preferentially recruited to polysomes to promote translation elongation (PubMed : 27745969). In mitochondrion, specifically interacts with mt-tRNA(Met) and mediates oxidation of mt-tRNA(Met) methylated at cytosine(34) to form 5-formylcytosine (f(5)c) at this position (PubMed : 27497299). mt-tRNA(Met) containing the f(5)c modification at the wobble position enables recognition of the AUA codon in addition to the AUG codon, expanding codon recognition in mitochondrial translation (PubMed : 27497299). Specifically demethylates DNA methylated on the 6th position of adenine (N(6)-methyladenosine) DNA (PubMed : 30017583, PubMed : 30392959). N(6)-methyladenosine (m6A) DNA is present at some L1 elements in embryonic stem cells and probably promotes their silencing (By similarity). Demethylates mRNAs containing N(3)-methylcytidine modification (PubMed : 31188562). Also able to repair alkylated single-stranded DNA by oxidative demethylation, but with low activity (PubMed : 18603530). Also has DNA lyase activity and introduces double-stranded breaks at abasic sites : cleaves both single-stranded DNA and double-stranded DNA at abasic sites, with the greatest activity towards double-stranded DNA with two abasic sites (PubMed : 19959401). DNA lyase activity does not require alpha-ketboglutarate and iron and leads to the formation of an irreversible covalent protein-DNA adduct with the 5' DNA product (PubMed : 19959401, PubMed : 23577621). DNA lyase activity is not required during base excision repair and class switch recombination of the immunoglobulin heavy chain during B lymphocyte activation. May play a role in placental trophoblast lineage differentiation (By similarity).
See full target information ALKBH1

Publications (9)

Recent publications for all applications. Explore the full list and refine your search

Cancer cell international 24:121 PubMed38555451

2024

β-hydroxybutyrate inhibits malignant phenotypes of prostate cancer cells through β-hydroxybutyrylation of indoleacetamide-N-methyltransferase.

Applications

Unspecified application

Species

Unspecified reactive species

Yifan Zhang,Yunlong Li

Nature 617:386-394 PubMed37100912

2023

A druggable copper-signalling pathway that drives inflammation.

Applications

WB

Species

Mouse

Stéphanie Solier,Sebastian Müller,Tatiana Cañeque,Antoine Versini,Arnaud Mansart,Fabien Sindikubwabo,Leeroy Baron,Laila Emam,Pierre Gestraud,G Dan Pantoș,Vincent Gandon,Christine Gaillet,Ting-Di Wu,Florent Dingli,Damarys Loew,Sylvain Baulande,Sylvère Durand,Valentin Sencio,Cyril Robil,François Trottein,David Péricat,Emmanuelle Näser,Céline Cougoule,Etienne Meunier,Anne-Laure Bègue,Hélène Salmon,Nicolas Manel,Alain Puisieux,Sarah Watson,Mark A Dawson,Nicolas Servant,Guido Kroemer,Djillali Annane,Raphaël Rodriguez

Cellular and molecular gastroenterology and hepatology 14:1213-1233 PubMed36058506

2022

DNA 6mA Demethylase ALKBH1 Orchestrates Fatty Acid Metabolism and Suppresses Diet-Induced Hepatic Steatosis.

Applications

WB, ChIP

Species

Mouse, Mouse

Liping Luo,Ya Liu,Paul Nizigiyimana,Mingsheng Ye,Ye Xiao,Qi Guo,Tian Su,Xianghang Luo,Yan Huang,Haiyan Zhou

Neuroscience 501:103-130 PubMed35987429

2022

Codon Usage and mRNA Stability are Translational Determinants of Cellular Response to Canonical Ferroptosis Inducers.

Applications

WB

Species

Rat

Sherif Rashad,Shane R Byrne,Daisuke Saigusa,Jingdong Xiang,Yuan Zhou,Liyin Zhang,Thomas J Begley,Teiji Tominaga,Kuniyasu Niizuma

Cell proliferation 55:e13178 PubMed35018683

2022

Alkbh1-mediated DNA N6-methyladenine modification regulates bone marrow mesenchymal stem cell fate during skeletal aging.

Applications

WB

Species

Mouse

Guang-Ping Cai,Ya-Lin Liu,Li-Ping Luo,Ye Xiao,Tie-Jian Jiang,Jian Yuan,Min Wang

Bioengineered 13:190-205 PubMed34964699

2021

Comprehensive analysis of PPPCs family reveals the clinical significance of PPP1CA and PPP4C in breast cancer.

Applications

Unspecified application

Species

Unspecified reactive species

Wenjun Xie,Ying Sun,Yu Zeng,Linfei Hu,Jingtai Zhi,Hang Ling,Xiangqian Zheng,Xianhui Ruan,Ming Gao

RNA biology 17:1092-1103 PubMed32521209

2020

The stress specific impact of ALKBH1 on tRNA cleavage and tiRNA generation.

Applications

Unspecified application

Species

Unspecified reactive species

Sherif Rashad,Xiaobo Han,Kanako Sato,Eikan Mishima,Takaaki Abe,Teiji Tominaga,Kuniyasu Niizuma

Cell death & disease 10:909 PubMed31797919

2019

Association of N-methyladenine DNA with plaque progression in atherosclerosis via myocardial infarction-associated transcripts.

Applications

WB, WB, IHC-Fr, IHC-Fr

Species

Human, Mouse, Mouse, Human

Lianpin Wu,Yuqing Pei,Yinhuan Zhu,Minghua Jiang,Cheng Wang,Wei Cui,Donghong Zhang

Science (New York, N.Y.) 365: PubMed31273098

2019

A glycine-specific N-degron pathway mediates the quality control of protein -myristoylation.

Applications

Unspecified application

Species

Unspecified reactive species

Richard T Timms,Zhiqian Zhang,David Y Rhee,J Wade Harper,Itay Koren,Stephen J Elledge
View all publications

Product promise

We are committed to supporting your work with high-quality reagents, and we're here for you every step of the way. In the unlikely event that one of our products does not perform as expected, you're protected by our Product Promise.
For full details, please see our Terms & Conditions

Please note: All products are 'FOR RESEARCH USE ONLY. NOT FOR USE IN DIAGNOSTIC OR THERAPEUTIC PROCEDURES'.

For licensing inquiries, please contact partnerships@abcam.com