JavaScript is disabled in your browser. Please enable JavaScript to view this website.
AB154859

Anti-ALKBH2 antibody [EPR6177(2)]

Be the first to review this product! Submit a review

|

(1 Publication)

Rabbit Recombinant Monoclonal ALKBH2 antibody. Suitable for WB and reacts with Human, Mouse, Rat samples. Cited in 1 publication.

View Alternative Names

ABH2, ALKBH2, DNA oxidative demethylase ALKBH2, Alkylated DNA repair protein alkB homolog 2, Alpha-ketoglutarate-dependent dioxygenase alkB homolog 2, Oxy DC1

3 Images
Western blot - Anti-ALKBH2 antibody [EPR6177(2)] (AB154859)
  • WB

Unknown

Western blot - Anti-ALKBH2 antibody [EPR6177(2)] (AB154859)

All lanes:

Western blot - Anti-ALKBH2 antibody [EPR6177(2)] (ab154859) at 1/1000 dilution

Lanes 1 and 3:

Human fetal brain tissue lysate at 10 µg

Lane 2:

Human testis tissue lysate at 10 µg

Lane 4:

HeLa cell lysate at 10 µg

Secondary

All lanes:

Goat anti-rabbit HRP at 1/2000 dilution

Predicted band size: 29 kDa

false

Western blot - Anti-ALKBH2 antibody [EPR6177(2)] (AB154859)
  • WB

Lab

Western blot - Anti-ALKBH2 antibody [EPR6177(2)] (AB154859)

All lanes:

Western blot - Anti-ALKBH2 antibody [EPR6177(2)] (ab154859) at 1/1000 dilution

Lane 1:

Human fetal brain lysates at 20 µg

Lane 2:

293T (Human embryonic kidney epithelial cell) whole cell lysates at 20 µg

Lane 3:

Mouse brain lysates at 20 µg

Lane 4:

Mouse heart lysates at 20 µg

Lane 5:

Rat brain lysates at 20 µg

Lane 6:

Rat heart lysates at 20 µg

Secondary

All lanes:

Goat Anti-Rabbit IgG (HRP) with minimal cross-reactivity with human IgG at 1/2000 dilution

Predicted band size: 29 kDa

Observed band size: 25 kDa

false

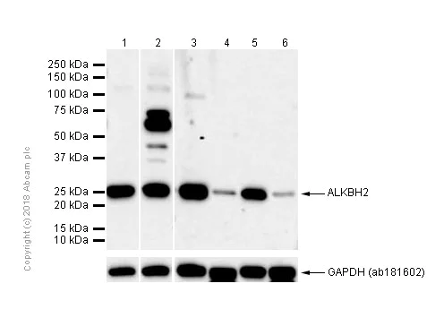
Western blot - Anti-ALKBH2 antibody [EPR6177(2)] (AB154859)
  • WB

Lab

Western blot - Anti-ALKBH2 antibody [EPR6177(2)] (AB154859)

All lanes:

Western blot - Anti-ALKBH2 antibody [EPR6177(2)] (ab154859) at 1/1000 dilution

All lanes:

HeLa (Human cervix adenocarcinoma epithelial cell) whole cell lysates at 15 µg

Secondary

All lanes:

Western blot - Goat Anti-Rabbit IgG H&L (HRP) (<a href='/en-us/products/secondary-antibodies/goat-rabbit-igg-h-l-hrp-ab97051'>ab97051</a>) at 1/20000 dilution

Predicted band size: 29 kDa

Observed band size: 25 kDa

false

  • Carrier free

    Anti-ALKBH2 antibody [EPR6177(2)] - BSA and Azide free

Key facts

Host species

Rabbit

Clonality

Monoclonal

Clone number

EPR6177(2)

Isotype

IgG

Carrier free

No

Reacts with

Mouse, Rat, Human

Applications

WB

applications

Immunogen

The exact immunogen used to generate this antibody is proprietary information.

Reactivity data

{ "title": "Reactivity Data", "filters": { "stats": ["", "Species", "Dilution Info", "Notes"], "tabs": { "all-applications": {"fullname" : "All Applications", "shortname": "All Applications"}, "IP" : {"fullname" : "Immunoprecipitation", "shortname":"IP"}, "WB" : {"fullname" : "Western blot", "shortname":"WB"}, "IHCP" : {"fullname" : "Immunohistochemistry (Formalin/PFA-fixed paraffin-embedded sections)", "shortname":"IHC-P"}, "ICCIF" : {"fullname" : "Immunocytochemistry/ Immunofluorescence", "shortname":"ICC/IF"} }, "product-promise": { "all": "all", "testedAndGuaranteed": "tested", "guaranteed": "expected", "predicted": "predicted", "notRecommended": "not-recommended" } }, "values": { "Human": { "IP-species-checked": "notRecommended", "IP-species-dilution-info": "", "IP-species-notes": "<p></p>", "WB-species-checked": "testedAndGuaranteed", "WB-species-dilution-info": "1/1000 - 1/10000", "WB-species-notes": "<p></p>", "IHCP-species-checked": "notRecommended", "IHCP-species-dilution-info": "", "IHCP-species-notes": "<p></p>", "ICCIF-species-checked": "notRecommended", "ICCIF-species-dilution-info": "", "ICCIF-species-notes": "<p></p>" }, "Mouse": { "IP-species-checked": "notRecommended", "IP-species-dilution-info": "", "IP-species-notes": "<p></p>", "WB-species-checked": "testedAndGuaranteed", "WB-species-dilution-info": "1/1000 - 1/10000", "WB-species-notes": "<p></p>", "IHCP-species-checked": "notRecommended", "IHCP-species-dilution-info": "", "IHCP-species-notes": "<p></p>", "ICCIF-species-checked": "notRecommended", "ICCIF-species-dilution-info": "", "ICCIF-species-notes": "<p></p>" }, "Rat": { "IP-species-checked": "notRecommended", "IP-species-dilution-info": "", "IP-species-notes": "<p></p>", "WB-species-checked": "testedAndGuaranteed", "WB-species-dilution-info": "1/1000 - 1/10000", "WB-species-notes": "<p></p>", "IHCP-species-checked": "notRecommended", "IHCP-species-dilution-info": "", "IHCP-species-notes": "<p></p>", "ICCIF-species-checked": "notRecommended", "ICCIF-species-dilution-info": "", "ICCIF-species-notes": "<p></p>" } } }

Product details

Patented technology
Our RabMAb® technology is a patented hybridoma-based technology for making rabbit monoclonal antibodies. For details on our patents, please refer to RabMAb® patents.

What are the advantages of a recombinant monoclonal antibody?
This product is a recombinant monoclonal antibody, which offers several advantages including:

  • - High batch-to-batch consistency and reproducibility
  • - Improved sensitivity and specificity
  • - Long-term security of supply
  • - Animal-free batch production

For more information, read more on recombinant antibodies.

Properties and storage information

Form
Liquid
Purification technique
Affinity purification Protein A
Storage buffer
Preservative: 0.01% Sodium azide Constituents: 59% PBS, 40% Glycerol (glycerin, glycerine), 0.05% BSA
Shipped at conditions
Blue Ice
Appropriate short-term storage conditions
+4°C
Appropriate long-term storage conditions
-20°C

Product protocols

For this product, it's our understanding that no specific protocols are required. You can visit:

Target data

Dioxygenase that repairs alkylated nucleic acid bases by direct reversal oxidative dealkylation. Can process both double-stranded (ds) and single-stranded (ss) DNA substrates, with a strong preference for dsDNA (PubMed : 12486230, PubMed : 12594517, PubMed : 16174769, PubMed : 20714506, PubMed : 23972994, PubMed : 25797601). Uses molecular oxygen, 2-oxoglutarate and iron as cofactors to oxidize the alkyl groups that are subsequently released as aldehydes, regenerating the undamaged bases. Probes the base pair stability, locates a weakened base pair and flips the damaged base to accommodate the lesion in its active site for efficient catalysis (PubMed : 18432238, PubMed : 22659876). Repairs monoalkylated bases, specifically N1-methyladenine and N3-methylcytosine, as well as higher order alkyl adducts such as bases modified with exocyclic bridged adducts known as etheno adducts including 1,N6-ethenoadenine, 3,N4-ethenocytosine and 1,N2-ethenoguanine (PubMed : 12486230, PubMed : 12594517, PubMed : 16174769, PubMed : 20714506, PubMed : 23972994, PubMed : 25797601, PubMed : 26408825). Acts as a gatekeeper of genomic integrity under alkylation stress. Efficiently repairs alkylated lesions in ribosomal DNA (rDNA). These lesions can cause ss- and dsDNA strand breaks that severely impair rDNA transcription (PubMed : 23972994). In a response mechanism to DNA damage, associates with PCNA at replication forks to repair alkylated adducts prior to replication (PubMed : 19736315, PubMed : 26408825).
See full target information ALKBH2

Publications (1)

Recent publications for all applications. Explore the full list and refine your search

eLife 10: PubMed34723799

2021

The Shu complex prevents mutagenesis and cytotoxicity of single-strand specific alkylation lesions.

Applications

Unspecified application

Species

Unspecified reactive species

Braulio Bonilla,Alexander J Brown,Sarah R Hengel,Kyle S Rapchak,Debra Mitchell,Catherine A Pressimone,Adeola A Fagunloye,Thong T Luong,Reagan A Russell,Rudri K Vyas,Tony M Mertz,Hani S Zaher,Nima Mosammaparast,Ewa P Malc,Piotr A Mieczkowski,Steven A Roberts,Kara A Bernstein
View all publications

Product promise

We are committed to supporting your work with high-quality reagents, and we're here for you every step of the way. In the unlikely event that one of our products does not perform as expected, you're protected by our Product Promise.
For full details, please see our Terms & Conditions

Please note: All products are 'FOR RESEARCH USE ONLY. NOT FOR USE IN DIAGNOSTIC OR THERAPEUTIC PROCEDURES'.

For licensing inquiries, please contact partnerships@abcam.com