JavaScript is disabled in your browser. Please enable JavaScript to view this website.
AB113500

Anti-ALKBH4 antibody

Be the first to review this product! Submit a review

|

(1 Publication)

Rabbit Polyclonal ALKBH4 antibody. Suitable for WB, IHC-P and reacts with Human samples. Cited in 1 publication. Immunogen corresponding to Recombinant Fragment Protein within Human ALKBH4 aa 1-300.

View Alternative Names

ABH4, ALKBH4, Alpha-ketoglutarate-dependent dioxygenase alkB homolog 4, Alkylated DNA repair protein alkB homolog 4, DNA N6-methyl adenine demethylase ALKBH4, Lysine-specific demethylase ALKBH4

2 Images
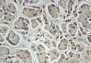
Immunohistochemistry (Formalin/PFA-fixed paraffin-embedded sections) - Anti-ALKBH4 antibody (AB113500)
  • IHC-P

Unknown

Immunohistochemistry (Formalin/PFA-fixed paraffin-embedded sections) - Anti-ALKBH4 antibody (AB113500)

ab113500, at 1/100 dilution, staining ALKBH4 in Formalin-fixed, Paraffin-embedded Human fetal pancreas tissue by Immunohistochemistry.
Note cytoplasmic and nuclear staining.

Western blot - Anti-ALKBH4 antibody (AB113500)
  • WB

Unknown

Western blot - Anti-ALKBH4 antibody (AB113500)

All lanes:

Western blot - Anti-ALKBH4 antibody (ab113500) at 1/500 dilution

Lane 1:

Human fetal spleen lysate

Lane 2:

Human fetal liver lysate

Lane 3:

Human fetal kidney lysate

Predicted band size: 34 kDa

Observed band size: 36 kDa

false

Key facts

Host species

Rabbit

Clonality

Polyclonal

Isotype

IgG

Carrier free

No

Reacts with

Human

Applications

IHC-P, WB

applications

Immunogen

Recombinant Fragment Protein within Human ALKBH4 aa 1-300. The exact immunogen used to generate this antibody is proprietary information.

Q9NXW9

Reactivity data

{ "title": "Reactivity Data", "filters": { "stats": ["", "Species", "Dilution Info", "Notes"], "tabs": { "all-applications": {"fullname" : "All Applications", "shortname": "All Applications"}, "WB" : {"fullname" : "Western blot", "shortname":"WB"}, "IHCP" : {"fullname" : "Immunohistochemistry (Formalin/PFA-fixed paraffin-embedded sections)", "shortname":"IHC-P"} }, "product-promise": { "all": "all", "testedAndGuaranteed": "tested", "guaranteed": "expected", "predicted": "predicted", "notRecommended": "not-recommended" } }, "values": { "Human": { "WB-species-checked": "testedAndGuaranteed", "WB-species-dilution-info": "1/500 - 1/1000", "WB-species-notes": "<p></p>", "IHCP-species-checked": "testedAndGuaranteed", "IHCP-species-dilution-info": "1/100 - 1/500", "IHCP-species-notes": "<p></p>" }, "Mouse": { "WB-species-checked": "predicted", "WB-species-dilution-info": "", "WB-species-notes": "", "IHCP-species-checked": "predicted", "IHCP-species-dilution-info": "", "IHCP-species-notes": "" }, "Rat": { "WB-species-checked": "predicted", "WB-species-dilution-info": "", "WB-species-notes": "", "IHCP-species-checked": "predicted", "IHCP-species-dilution-info": "", "IHCP-species-notes": "" } } }

Properties and storage information

Form
Lyophilized
Reconstitution
reconstitute with water at 200µL
Purification technique
Affinity purification Immunogen
Storage buffer
pH: 7.2 Preservative: 0.02% Sodium azide Constituents: 1% BSA
Shipped at conditions
Blue Ice
Appropriate short-term storage conditions
+4°C
Appropriate long-term storage conditions
-20°C
Aliquoting information
Upon delivery aliquot
Storage information
Avoid freeze / thaw cycle

Product protocols

For this product, it's our understanding that no specific protocols are required. You can visit:

Target data

Dioxygenase that mediates demethylation of actin monomethylated at 'Lys-84' (K84me1), thereby acting as a regulator of actomyosin-processes (PubMed : 23673617). Demethylation of actin K84me1 is required for maintaining actomyosin dynamics supporting normal cleavage furrow ingression during cytokinesis and cell migration (PubMed : 23673617). In addition to proteins, also demethylates DNA : specifically demethylates DNA methylated on the 6th position of adenine (N(6)-methyladenosine) DNA, thereby regulating Polycomb silencing (By similarity).
See full target information ALKBH4

Publications (1)

Recent publications for all applications. Explore the full list and refine your search

Experimental dermatology 32:1412-1419 PubMed37260420

2023

Divergent in situ expression of IL-31 and IL-31RA between bullous pemphigoid and pemphigus vulgaris.

Applications

Unspecified application

Species

Unspecified reactive species

Ecem Zeliha Ergun,Rui Aoki,Orsolya N Horváth,Daniela Hartmann,Takashi K Satoh,Laura Calabrese,Ayşe Esra Koku Aksu,Mehmet Salih Gürel,Vildan Manav,Michael J Flaig,Miklós Sárdy,Thomas Ruzicka,Lars E French,Işın Sinem Bağcı
View all publications

Product promise

We are committed to supporting your work with high-quality reagents, and we're here for you every step of the way. In the unlikely event that one of our products does not perform as expected, you're protected by our Product Promise.
For full details, please see our Terms & Conditions

Please note: All products are 'FOR RESEARCH USE ONLY. NOT FOR USE IN DIAGNOSTIC OR THERAPEUTIC PROCEDURES'.

For licensing inquiries, please contact partnerships@abcam.com