JavaScript is disabled in your browser. Please enable JavaScript to view this website.
AB195377

Anti-ALKBH5 antibody [EPR18958]

  • RabMAb
  • Recombinant
  • KO Validated
  • 20ul selling size
  • What is this?

4

(4 Reviews)

|

(113 Publications)

Anti-ALKBH5 antibody [EPR18958] (ab195377) is a rabbit monoclonal antibody detecting ALKBH5 in Western Blot, IHC-P. Suitable for Human, Mouse, Rat.

- KO validated for confirmed specificity
- Biophysical QC for unrivalled batch-batch consistency
- Over 60 publications

View Alternative Names

ABH5, OFOXD1, ALKBH5, RNA demethylase ALKBH5, Alkylated DNA repair protein alkB homolog 5, Alpha-ketoglutarate-dependent dioxygenase alkB homolog 5

5 Images
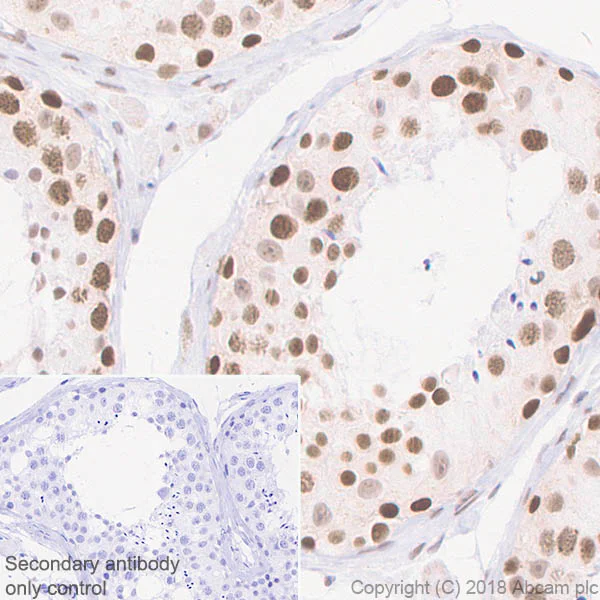
Immunohistochemistry (Formalin/PFA-fixed paraffin-embedded sections) - Anti-ALKBH5 antibody [EPR18958] (AB195377)
  • IHC-P

Supplier Data

Immunohistochemistry (Formalin/PFA-fixed paraffin-embedded sections) - Anti-ALKBH5 antibody [EPR18958] (AB195377)

Immunohistochemical analysis of paraffin-embedded human testis tissue labeling ALKBH5 with ab195377 at 1/2000 dilution, followed by Goat Anti-Rabbit IgG H&L (HRP) Ready to use. Nuclear staining in human testis (PMID : 21264265; PMID : 27590511; PMID : 17979886) is observed. Counter stained with hematoxylin. Heat mediated antigen retrieval was performed using Tris/EDTA buffer pH 9.0 before commencing with IHC staining protocol.

Secondary antibody only control : Used PBS instead of primary antibody, secondary antibody is Goat Anti-Rabbit IgG H&L (HRP) Ready to use.

Immunohistochemistry (Formalin/PFA-fixed paraffin-embedded sections) - Anti-ALKBH5 antibody [EPR18958] (AB195377)
  • IHC-P

Supplier Data

Immunohistochemistry (Formalin/PFA-fixed paraffin-embedded sections) - Anti-ALKBH5 antibody [EPR18958] (AB195377)

Immunohistochemical analysis of paraffin-embedded human kidney tissue labeling ALKBH5 with ab195377 at 1/2000 dilution, followed by Goat Anti-Rabbit IgG H&L (HRP) Ready to use. Nuclear staining in human kidney (PMID : 21264265) is observed. Counter stained with hematoxylin. Heat mediated antigen retrieval was performed using Tris/EDTA buffer pH 9.0 before commencing with IHC staining protocol.

Secondary antibody only control : Used PBS instead of primary antibody, secondary antibody is Goat Anti-Rabbit IgG H&L (HRP) Ready to use.

Western blot - Anti-ALKBH5 antibody [EPR18958] (AB195377)
  • WB

Supplier Data

Western blot - Anti-ALKBH5 antibody [EPR18958] (AB195377)

Blocking/Dilution buffer : 5% NFDM/TBST.

The Wt and ALKBH5 KO cell lysates were kindly provided by an anonymous collaborator.

The molecular mass observed is consistent with the literature (PMID 21264265).

All lanes:

Western blot - Anti-ALKBH5 antibody [EPR18958] (ab195377) at 1/5000 dilution

Lane 1:

Wild type MEF whole cell lysate at 20 µg

Lane 2:

ALKBH5 knockout MEF whole cell lysate at 20 µg

Lane 3:

HeLa (human epithelial cell line from cervix adenocarcinoma) whole cell lysate at 20 µg

Lane 4:

HepG2 (human liver hepatocellular carcinoma cell line) whole cell lysate at 20 µg

Secondary

All lanes:

Western blot - Goat Anti-Rabbit IgG H&L (HRP) (<a href='/en-us/products/secondary-antibodies/goat-rabbit-igg-h-l-hrp-ab97051'>ab97051</a>) at 1/100000 dilution

Predicted band size: 44 kDa

Observed band size: 35-44 kDa

true

Exposure time: 70s

Western blot - Anti-ALKBH5 antibody [EPR18958] (AB195377)
  • WB

Lab

Western blot - Anti-ALKBH5 antibody [EPR18958] (AB195377)

Lanes 1 - 2 : Merged signal (red and green). Green - ab195377 observed at 48 kDa. Red - loading control ab8245 (Mouse anti-GAPDH antibody [6C5]) observed at 37kDa.

ab195377 was shown to react with ALKBH5 in wild-type HEK-293T cells in western blot with loss of signal observed in ALKBH5 knockout cell line ab266762 (ALKBH5 knockout cell lysate ab257349). Wild-type and ALKBH5 knockout HEK-293T cell lysates were subjected to SDS-PAGE. Membranes were blocked in 3% milk in TBS-T (0.1% Tween®) before incubation with ab195377 and ab8245 (Mouse anti-GAPDH antibody [6C5]) overnight at 4°C at a 1 in 1000 dilution and a 1 in 20000 dilution respectively. Blots were incubated with Goat anti-Mouse IgG H&L (IRDye® 800CW) preabsorbed (ab216772) and Goat anti-Rabbit IgG H&L (IRDye® 680RD) preabsorbed (ab216777) secondary antibodies at 1 in 20000 dilution for 1 hour at room temperature before imaging.

All lanes:

Western blot - Anti-ALKBH5 antibody [EPR18958] (ab195377) at 1/1000 dilution

Lane 1:

Wild-type HEK-293T cell lysate at 20 µg

Lane 2:

ALKBH5 knockout HEK-293T cell lysate at 20 µg

Lane 2:

Western blot - Human ALKBH5 knockout HEK-293T cell line (<a href='/en-us/products/cell-lines/human-alkbh5-knockout-hek-293t-cell-line-ab266762'>ab266762</a>)

Predicted band size: 44 kDa

Observed band size: 48 kDa

false

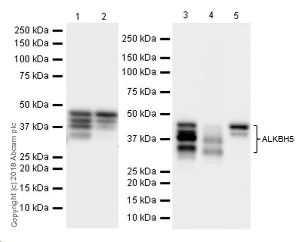
Western blot - Anti-ALKBH5 antibody [EPR18958] (AB195377)
  • WB

Supplier Data

Western blot - Anti-ALKBH5 antibody [EPR18958] (AB195377)

Exposure time : Lanes 1 and 2 : 15 seconds; Lanes 3 and 4 : 26 seconds.

Blocking/Dilution buffer : 5% NFDM/TBST.

The molecular mass observed is consistent with the literature (PMID 21264265).

Lanes 1 - 2:

Western blot - Anti-ALKBH5 antibody [EPR18958] (ab195377) at 1/1000 dilution

Lanes 3 - 5:

Western blot - Anti-ALKBH5 antibody [EPR18958] (ab195377) at 1/2000 dilution

Lane 1:

PC-12 (rat adrenal gland pheochromocytoma cell line) whole cell lysate at 10 µg

Lane 2:

NIH/3T3 (mouse embyro fibroblast cell line) whole cell lysate at 10 µg

Lane 3:

Jurkat (human T cell leukemia cell line from peripheral blood) whole cell lysate at 10 µg

Lane 4:

Neuro-2a (mouse neuroblastoma cell line) whole cell lysate at 10 µg

Lane 5:

F9 (mouse embryonic testicular cancer cell line) whole cell lysate at 10 µg

Secondary

All lanes:

Western blot - Goat Anti-Rabbit IgG H&L (HRP) (<a href='/en-us/products/secondary-antibodies/goat-rabbit-igg-h-l-hrp-ab97051'>ab97051</a>) at 1/100000 dilution

Predicted band size: 44 kDa

Observed band size: 35-44 kDa

true

  • Carrier free

    Anti-ALKBH5 antibody [EPR18958] - BSA and Azide free

Key facts

Host species

Rabbit

Clonality

Monoclonal

Clone number

EPR18958

Isotype

IgG

Carrier free

No

Reacts with

Mouse, Rat, Human

Applications

IHC-P, WB

applications

Immunogen

The exact immunogen used to generate this antibody is proprietary information.

Specificity

This antibody has been tested in IHC-P on Human, Mouse and Rat testis sections. It worked well on Human, but not on the Mouse or Rat sections, under our experimental conditions.

Reactivity data

{ "title": "Reactivity Data", "filters": { "stats": ["", "Species", "Dilution Info", "Notes"], "tabs": { "all-applications": {"fullname" : "All Applications", "shortname": "All Applications"}, "WB" : {"fullname" : "Western blot", "shortname":"WB"}, "IHCP" : {"fullname" : "Immunohistochemistry (Formalin/PFA-fixed paraffin-embedded sections)", "shortname":"IHC-P"} }, "product-promise": { "all": "all", "testedAndGuaranteed": "tested", "guaranteed": "expected", "predicted": "predicted", "notRecommended": "not-recommended" } }, "values": { "Human": { "WB-species-checked": "testedAndGuaranteed", "WB-species-dilution-info": "1/1000", "WB-species-notes": "<p></p>", "IHCP-species-checked": "testedAndGuaranteed", "IHCP-species-dilution-info": "1/2000", "IHCP-species-notes": "<p>Suitable for human tissues only.</p> Perform heat-mediated antigen retrieval with Tris/EDTA buffer pH 9.0 before commencing with IHC staining protocol." }, "Mouse": { "WB-species-checked": "testedAndGuaranteed", "WB-species-dilution-info": "1/1000", "WB-species-notes": "<p></p>", "IHCP-species-checked": "guaranteed", "IHCP-species-dilution-info": "", "IHCP-species-notes": "" }, "Rat": { "WB-species-checked": "testedAndGuaranteed", "WB-species-dilution-info": "1/1000", "WB-species-notes": "<p></p>", "IHCP-species-checked": "guaranteed", "IHCP-species-dilution-info": "", "IHCP-species-notes": "" }, "Cat": { "WB-species-checked": "predicted", "WB-species-dilution-info": "", "WB-species-notes": "", "IHCP-species-checked": "predicted", "IHCP-species-dilution-info": "", "IHCP-species-notes": "" }, "Cow": { "WB-species-checked": "predicted", "WB-species-dilution-info": "", "WB-species-notes": "", "IHCP-species-checked": "predicted", "IHCP-species-dilution-info": "", "IHCP-species-notes": "" }, "Dog": { "WB-species-checked": "predicted", "WB-species-dilution-info": "", "WB-species-notes": "", "IHCP-species-checked": "predicted", "IHCP-species-dilution-info": "", "IHCP-species-notes": "" }, "Goat": { "WB-species-checked": "predicted", "WB-species-dilution-info": "", "WB-species-notes": "", "IHCP-species-checked": "predicted", "IHCP-species-dilution-info": "", "IHCP-species-notes": "" }, "Guinea pig": { "WB-species-checked": "predicted", "WB-species-dilution-info": "", "WB-species-notes": "", "IHCP-species-checked": "predicted", "IHCP-species-dilution-info": "", "IHCP-species-notes": "" }, "Horse": { "WB-species-checked": "predicted", "WB-species-dilution-info": "", "WB-species-notes": "", "IHCP-species-checked": "predicted", "IHCP-species-dilution-info": "", "IHCP-species-notes": "" }, "Pig": { "WB-species-checked": "predicted", "WB-species-dilution-info": "", "WB-species-notes": "", "IHCP-species-checked": "predicted", "IHCP-species-dilution-info": "", "IHCP-species-notes": "" }, "Primates": { "WB-species-checked": "predicted", "WB-species-dilution-info": "", "WB-species-notes": "", "IHCP-species-checked": "predicted", "IHCP-species-dilution-info": "", "IHCP-species-notes": "" }, "Sheep": { "WB-species-checked": "predicted", "WB-species-dilution-info": "", "WB-species-notes": "", "IHCP-species-checked": "predicted", "IHCP-species-dilution-info": "", "IHCP-species-notes": "" } } }

Product details

What is this antibody validated in?
Anti-ALKBH5 antibody [EPR18958] (ab195377) is a rabbit recombinant monoclonal antibody and is validated for use in Western Blot (WB), Immunohistochemistry (IHC-P) in Human, Mouse, Rat samples.

What is the molecular weight of ALKBH5?
Anti-ALKBH5 [EPR18958] (ab195377) specifically detects a band for ALKBH5 (UniProt: Q6P6C2) at a molecular weight of 44kDa.

Trusted by the scientific community
Anti-ALKBH5 [EPR18958] (ab195377) was first used in a scientific publication in 2018 and has been cited over 60 times in peer-reviewed journals.

Trial sizes available!
Test your antibody or perform pre-screening before committing to a larger quantity. Sold in 10µl. Discover our selection of trial-size antibodies.

Specificity confirmed
The specificity of Anti-ALKBH5 antibody [EPR18958] (ab195377) has been confirmed by Western blot testing in ALKBH5 Knockout HEK293T cell line, ab266762.

Other related products
We have a range of other formats of antibody clone [EPR18958] also available for your convenience: ab195377, Carrier free - ab234528, Alexa Fluor® 647 - ab245891

Patented technology
Our RabMAb® technology is a patented hybridoma-based technology for making rabbit monoclonal antibodies. For details on our patents, please refer to RabMAb® patents.

What are the advantages of a recombinant monoclonal antibody?
This product is a recombinant monoclonal antibody, which offers several advantages including:

  • - High batch-to-batch consistency and reproducibility
  • - Improved sensitivity and specificity
  • - Long-term security of supply
  • - Animal-free batch production

For more information, read more on recombinant antibodies.

Properties and storage information

Form
Liquid
Purification technique
Affinity purification Protein A
Storage buffer
pH: 7.2 - 7.4 Preservative: 0.01% Sodium azide Constituents: PBS, 40% Glycerol (glycerin, glycerine), 0.05% BSA
Shipped at conditions
Blue Ice
Appropriate short-term storage duration
1-2 weeks
Appropriate short-term storage conditions
+4°C
Appropriate long-term storage conditions
-20°C
Aliquoting information
Upon delivery aliquot
Storage information
Avoid freeze / thaw cycle

Product protocols

For this product, it's our understanding that no specific protocols are required. You can visit:

Target data

Dioxygenase that specifically demethylates N(6)-methyladenosine (m6A) RNA, the most prevalent internal modification of messenger RNA (mRNA) in higher eukaryotes (PubMed : 23177736, PubMed : 24489119, PubMed : 24616105, PubMed : 24778178, PubMed : 34048572, PubMed : 36944332, PubMed : 37257451, PubMed : 37369679). Demethylates RNA by oxidative demethylation, which requires molecular oxygen, alpha-ketoglutarate and iron (PubMed : 21264265, PubMed : 23177736, PubMed : 24489119, PubMed : 24616105, PubMed : 24778178). Demethylation of m6A mRNA affects mRNA processing, translation and export (PubMed : 23177736, PubMed : 34048572, PubMed : 36944332, PubMed : 37257451). Can also demethylate N(6)-methyladenosine in single-stranded DNA (in vitro) (PubMed : 24616105). Required for the late meiotic and haploid phases of spermatogenesis by mediating m6A demethylation in spermatocytes and round spermatids : m6A demethylation of target transcripts is required for correct splicing and the production of longer 3'-UTR mRNAs in male germ cells (By similarity). Involved in paraspeckle assembly, a nuclear membraneless organelle, by undergoing liquid-liquid phase separation (PubMed : 37369679, PubMed : 37474102). Paraspeckle assembly is coupled with m6A demethylation of RNAs, such as NEAT1 non-coding RNA (PubMed : 37474102). Also acts as a negative regulator of T-cell development : inhibits gamma-delta T-cell proliferation via demethylation of JAG1 and NOTCH2 transcripts (By similarity). Inhibits regulatory T-cell (Treg) recruitment by mediating demethylation and destabilization of CCL28 mRNAs (By similarity).
See full target information ALKBH5

Publications (113)

Recent publications for all applications. Explore the full list and refine your search

iScience 28:113520 PubMed41069850

2025

ALKBH5-IGF2BP2 axis mediates prostate cancer progression and docetaxel resistance via m6A-stabilized CLSPN RNA.

Applications

Unspecified application

Species

Unspecified reactive species

Yutong Chen,Yang Li,Zongzhu Liang,Zhao Yang,Haotian Ren,Wanqing Wei,Yuanjie Niu,Zhiqun Shang

Annals of medicine 57:2546670 PubMed40798940

2025

METTL3-mediated mA modification promotes intervertebral disc degeneration.

Applications

Unspecified application

Species

Unspecified reactive species

Qinghua Yang,Feihong Huang,Congyang Wang,Xiao Liang,Longao Huang,Hongyuan Xu,Jianwei Liu,Qingjun Wei,Hua Jiang

Renal failure 47:2519815 PubMed40570826

2025

ALKBH5 induces macrophage activation to promote renal fibrosis via Retnla.

Applications

Unspecified application

Species

Unspecified reactive species

Long Zheng,Wenjun Gao,Zhenan Zhang,An He,Qi Huangfu,Jinyu Luo,Ming Wang,Juntao Chen,Ming Cai

Neurochemical research 50:188 PubMed40481942

2025

Low-Dose Lipopolysaccharide Alleviates Neuronal Apoptosis and Oxidative Stress in Rats with Spinal Cord Injury by Inducing Nrf2 m6A Methylation Modification via Suppressing ALKBH5.

Applications

Unspecified application

Species

Unspecified reactive species

Kun Huang,Yayu Zhao,Wen Lei,Hongran Ge,Tiannan Zou,Weichao Li

Science advances 11:eadq3052 PubMed40435251

2025

FTO regulates ELK3-mediated metabolic rewiring and represents a unique therapeutic target in T cell leukemia.

Applications

Unspecified application

Species

Unspecified reactive species

Hao Huang,Xinlu Li,Jinlian Luo,Chuan Gao,Mengjie Yang,Jin Xu,Ting Xie,Zhi Chen,Donghai Wang,Yuan Wang,Hua-Bing Li,Jinyan Huang,Yu Liu,Haojian Zhang,Panagiotis Ntziachristos,Yun Zhao,Guoliang Qing,Hudan Liu

Cancer control : journal of the Moffitt Cancer Center 32:10732748251342685 PubMed40381190

2025

M6A Methylation Regulators METTL3 and ALKBH5 are Risk Factors for EGFR-Mutant NSCLC.

Applications

Unspecified application

Species

Unspecified reactive species

Yaofeng Zhi,Silin Liu,Xuefei Chang,Wanxian Guan,Ronggang Li,Qiongru Liu,Jiaqing Chen,Jie Ling,Xulin Zhao,Aibin Liu,Jiarong Chen,Xin Zhang,Yanming Huang

Cancers 17: PubMed40361322

2025

Analysis of Genotype and Expression of FTO and ALKBH5 in a MENA-Region Renal Cell Carcinoma Cohort.

Applications

Unspecified application

Species

Unspecified reactive species

Muna Abdalla Alhammadi,Burcu Yener Ilce,Poorna Manasa Bhamidimarri,Amal Bouzid,Nival Ali,Reem Sami Alhamidi,Alaa Mohamed Hamad,Mona Mahfood,Abdelaziz Tlili,Iman M Talaat,Rifat Hamoudi

BMC cardiovascular disorders 25:295 PubMed40251485

2025

Alkbh5 promotes Ythdf1 expression through demethylation thereby facilitating Fth1 translation to inhibit ferroptosis of myocardial infarction.

Applications

Unspecified application

Species

Unspecified reactive species

Mingnan Yin,Heping Liu

Journal of cosmetic dermatology 24:e70177 PubMed40214031

2025

ALKBH5 Inhibits YTHDF2-m6A-Mediated Degradation of RCN1 mRNA to Promote Keloid Formation by Activating IRE1α-XBP1-Mediated ER Stress.

Applications

Unspecified application

Species

Unspecified reactive species

Min Shi,Lu Zhang,Fangfang Bi,Zhuo Zhou

Cellular & molecular biology letters 30:41 PubMed40186131

2025

Follicle-stimulating hormone promotes EndMT in endothelial cells by upregulating ALKBH5 expression.

Applications

Unspecified application

Species

Unspecified reactive species

Ping Li,Yixiao Xiang,Jinzhi Wei,Xingyan Xu,Jiale Wang,Haowei Yu,Xiaosa Li,Huiping Lin,Xiaodong Fu
View all publications

Product promise

We are committed to supporting your work with high-quality reagents, and we're here for you every step of the way. In the unlikely event that one of our products does not perform as expected, you're protected by our Product Promise.
For full details, please see our Terms & Conditions

Please note: All products are 'FOR RESEARCH USE ONLY. NOT FOR USE IN DIAGNOSTIC OR THERAPEUTIC PROCEDURES'.

For licensing inquiries, please contact partnerships@abcam.com