JavaScript is disabled in your browser. Please enable JavaScript to view this website.
AB234528

Anti-ALKBH5 antibody [EPR18958] - BSA and Azide free

Be the first to review this product! Submit a review

|

(8 Publications)

Rabbit Recombinant Monoclonal ALKBH5 antibody. Carrier free. Suitable for WB, IHC-P and reacts with Mouse, Rat, Human samples. Cited in 8 publications.

View Alternative Names

ABH5, OFOXD1, ALKBH5, RNA demethylase ALKBH5, Alkylated DNA repair protein alkB homolog 5, Alpha-ketoglutarate-dependent dioxygenase alkB homolog 5

3 Images
Immunohistochemistry (Formalin/PFA-fixed paraffin-embedded sections) - Anti-ALKBH5 antibody [EPR18958] - BSA and Azide free (AB234528)
  • IHC-P

Supplier Data

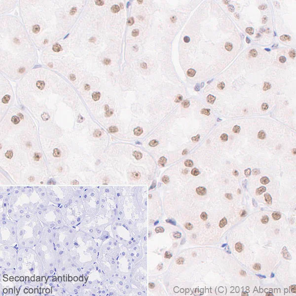
Immunohistochemistry (Formalin/PFA-fixed paraffin-embedded sections) - Anti-ALKBH5 antibody [EPR18958] - BSA and Azide free (AB234528)

Immunohistochemical analysis of paraffin-embedded human kidney tissue labeling ALKBH5 with ab195377 at 1/2000 dilution, followed by Goat Anti-Rabbit IgG H&L (HRP) Ready to use. Nuclear staining in human kidney (PMID : 21264265) is observed. Counter stained with hematoxylin.

Secondary antibody only control : Used PBS instead of primary antibody, secondary antibody is Goat Anti-Rabbit IgG H&L (HRP) Ready to use.

This data was developed using the same antibody clone in a different buffer formulation containing PBS, BSA, glycerol, and sodium azide (ab195377).

Heat mediated antigen retrieval was performed with Tris/EDTA buffer pH 9.0 before commencing with IHC staining protocol.

Immunohistochemistry (Formalin/PFA-fixed paraffin-embedded sections) - Anti-ALKBH5 antibody [EPR18958] - BSA and Azide free (AB234528)
  • IHC-P

Supplier Data

Immunohistochemistry (Formalin/PFA-fixed paraffin-embedded sections) - Anti-ALKBH5 antibody [EPR18958] - BSA and Azide free (AB234528)

Immunohistochemical analysis of paraffin-embedded human testis tissue labeling ALKBH5 with ab195377 at 1/2000 dilution, followed by Goat Anti-Rabbit IgG H&L (HRP) Ready to use. Nuclear staining in human testis (PMID : 21264265; PMID : 27590511; PMID : 17979886)is observed. Counter stained with hematoxylin.

Secondary antibody only control : Used PBS instead of primary antibody, secondary antibody is Goat Anti-Rabbit IgG H&L (HRP) Ready to use.

This data was developed using the same antibody clone in a different buffer formulation containing PBS, BSA, glycerol, and sodium azide (ab195377).

Heat mediated antigen retrieval was performed with Tris/EDTA buffer pH 9.0 before commencing with IHC staining protocol.

Western blot - Anti-ALKBH5 antibody [EPR18958] - BSA and Azide free (AB234528)
  • WB

Lab

Western blot - Anti-ALKBH5 antibody [EPR18958] - BSA and Azide free (AB234528)

This data was developed using the same antibody clone in a different buffer formulation (ab195377).

Lanes 1 - 2 : Merged signal (red and green). Green - ab195377 observed at 48 kDa. Red - loading control ab8245 (Mouse anti-GAPDH antibody [6C5]) observed at 37kDa.

ab195377 was shown to react with ALKBH5 in wild-type HEK-293T cells in western blot with loss of signal observed in ALKBH5 knockout cell line ab266762 (ALKBH5 knockout cell lysate ab257349). Wild-type and ALKBH5 knockout HEK-293T cell lysates were subjected to SDS-PAGE. Membranes were blocked in 3% milk in TBS-T (0.1% Tween®) before incubation with ab195377 and ab8245 (Mouse anti-GAPDH antibody [6C5]) overnight at 4°C at a 1 in 1000 dilution and a 1 in 20000 dilution respectively. Blots were incubated with Goat anti-Mouse IgG H&L (IRDye® 800CW) preabsorbed (ab216772) and Goat anti-Rabbit IgG H&L (IRDye® 680RD) preabsorbed (ab216777) secondary antibodies at 1 in 20000 dilution for 1 hour at room temperature before imaging.

All lanes:

Western blot - Anti-ALKBH5 antibody [EPR18958] (<a href='/en-us/products/primary-antibodies/alkbh5-antibody-epr18958-ab195377'>ab195377</a>) at 1/1000 dilution

Lane 1:

Wild-type HEK-293T cell lysate at 20 µg

Lane 2:

ALKBH5 knockout HEK-293T cell lysate at 20 µg

Lane 2:

Western blot - Human ALKBH5 knockout HEK-293T cell line (<a href='/en-us/products/cell-lines/human-alkbh5-knockout-hek-293t-cell-line-ab266762'>ab266762</a>)

Predicted band size: 44 kDa

Observed band size: 48 kDa

false

Key facts

Host species

Rabbit

Clonality

Monoclonal

Clone number

EPR18958

Isotype

IgG

Carrier free

Yes

Reacts with

Mouse, Rat, Human

Applications

IHC-P, WB

applications

Immunogen

The exact immunogen used to generate this antibody is proprietary information.

Specificity

This antibody has been tested in IHC-P on Human, Mouse and Rat testis sections. It worked well on Human, but not on the Mouse or Rat sections, under our experimental conditions.

Reactivity data

{ "title": "Reactivity Data", "filters": { "stats": ["", "Species", "Dilution Info", "Notes"], "tabs": { "all-applications": {"fullname" : "All Applications", "shortname": "All Applications"}, "WB" : {"fullname" : "Western blot", "shortname":"WB"}, "IHCP" : {"fullname" : "Immunohistochemistry (Formalin/PFA-fixed paraffin-embedded sections)", "shortname":"IHC-P"} }, "product-promise": { "all": "all", "testedAndGuaranteed": "tested", "guaranteed": "expected", "predicted": "predicted", "notRecommended": "not-recommended" } }, "values": { "Human": { "WB-species-checked": "testedAndGuaranteed", "WB-species-dilution-info": "", "WB-species-notes": "<p></p> Perform heat-mediated antigen retrieval with Tris/EDTA buffer pH 9.0 before commencing with IHC staining protocol.", "IHCP-species-checked": "testedAndGuaranteed", "IHCP-species-dilution-info": "", "IHCP-species-notes": "<p>Suitable for human tissues only.</p> Perform heat-mediated antigen retrieval with Tris/EDTA buffer pH 9.0 before commencing with IHC staining protocol." }, "Mouse": { "WB-species-checked": "testedAndGuaranteed", "WB-species-dilution-info": "", "WB-species-notes": "<p></p>", "IHCP-species-checked": "guaranteed", "IHCP-species-dilution-info": "", "IHCP-species-notes": "" }, "Rat": { "WB-species-checked": "testedAndGuaranteed", "WB-species-dilution-info": "", "WB-species-notes": "<p></p>", "IHCP-species-checked": "guaranteed", "IHCP-species-dilution-info": "", "IHCP-species-notes": "" } } }

Product details

ab234528 is the carrier-free version of ab195377.

Patented technology
Our RabMAb® technology is a patented hybridoma-based technology for making rabbit monoclonal antibodies. For details on our patents, please refer to RabMAb® patents.

What are the advantages of a recombinant monoclonal antibody?
This product is a recombinant monoclonal antibody, which offers several advantages including:

  • - High batch-to-batch consistency and reproducibility
  • - Improved sensitivity and specificity
  • - Long-term security of supply
  • - Animal-free batch production

For more information, read more on recombinant antibodies.

Conjugation ready
Our carrier-free antibodies are typically supplied in a PBS-only formulation, purified and free of BSA, sodium azide and glycerol. This conjugation-ready format is designed for use with fluorochromes, metal isotopes, oligonucleotides, and enzymes, which makes them ideal for antibody labelling, functional and cell-based assays, flow-based assays (e.g. mass cytometry) and Multiplex Imaging applications.

Use our conjugation kits for antibody conjugates that are ready-to-use in as little as 20 minutes with 1 minute hands-on-time and 100% antibody recovery: available for fluorescent dyes, HRP, biotin and gold.

Compatibility
This product is compatible with the Maxpar® Antibody Labeling Kit from Fluidigm, without the need for antibody preparation. Maxpar® is a trademark of Fluidigm Canada Inc.

Properties and storage information

Form
Liquid
Purification technique
Affinity purification Protein A
Storage buffer
pH: 7.2 - 7.4 Constituents: PBS
Shipped at conditions
Blue Ice
Appropriate short-term storage conditions
+4°C
Appropriate long-term storage conditions
+4°C
Storage information
Do Not Freeze

Product protocols

For this product, it's our understanding that no specific protocols are required. You can visit:

Target data

Dioxygenase that specifically demethylates N(6)-methyladenosine (m6A) RNA, the most prevalent internal modification of messenger RNA (mRNA) in higher eukaryotes (PubMed : 23177736, PubMed : 24489119, PubMed : 24616105, PubMed : 24778178, PubMed : 34048572, PubMed : 36944332, PubMed : 37257451, PubMed : 37369679). Demethylates RNA by oxidative demethylation, which requires molecular oxygen, alpha-ketoglutarate and iron (PubMed : 21264265, PubMed : 23177736, PubMed : 24489119, PubMed : 24616105, PubMed : 24778178). Demethylation of m6A mRNA affects mRNA processing, translation and export (PubMed : 23177736, PubMed : 34048572, PubMed : 36944332, PubMed : 37257451). Can also demethylate N(6)-methyladenosine in single-stranded DNA (in vitro) (PubMed : 24616105). Required for the late meiotic and haploid phases of spermatogenesis by mediating m6A demethylation in spermatocytes and round spermatids : m6A demethylation of target transcripts is required for correct splicing and the production of longer 3'-UTR mRNAs in male germ cells (By similarity). Involved in paraspeckle assembly, a nuclear membraneless organelle, by undergoing liquid-liquid phase separation (PubMed : 37369679, PubMed : 37474102). Paraspeckle assembly is coupled with m6A demethylation of RNAs, such as NEAT1 non-coding RNA (PubMed : 37474102). Also acts as a negative regulator of T-cell development : inhibits gamma-delta T-cell proliferation via demethylation of JAG1 and NOTCH2 transcripts (By similarity). Inhibits regulatory T-cell (Treg) recruitment by mediating demethylation and destabilization of CCL28 mRNAs (By similarity).
See full target information ALKBH5

Publications (8)

Recent publications for all applications. Explore the full list and refine your search

The Journal of biological chemistry 300:107598 PubMed39059495

2024

N6-methyladenosine triggers renal fibrosis via enhancing translation and stability of ZEB2 mRNA.

Applications

WB

Species

Human

Yating Cai,Jiawang Zhou,Abai Xu,Jinchang Huang,Haisheng Zhang,Guoyou Xie,Ke Zhong,You Wu,Pengfei Ye,Hongsheng Wang,Hongxin Niu

Cell death & disease 15:406 PubMed38858351

2024

Histone acetyltransferase Kat2a regulates ferroptosis via enhancing Tfrc and Hmox1 expression in diabetic cardiomyopathy.

Applications

RIP

Species

Mouse

Juan Zhen,Xia Sheng,Tianlong Chen,Haitao Yu

Heliyon 10:e26767 PubMed38463829

2024

MiR-186-5p prevents hepatocellular carcinoma progression by targeting methyltransferase-like 3 that regulates m6A-mediated stabilization of follistatin-like 5.

Applications

WB

Species

Human

Shuoshuo Ma,Fangfang Chen,Chuanle Lin,Wanliang Sun,Dongdong Wang,Shuo Zhou,ShiRu Chang,Zheng Lu,Dengyong Zhang

Molecular neurobiology : PubMed38430350

2024

Arginine Methylation of β-Catenin Induced by PRMT2 Aggravates LPS-Induced Cognitive Dysfunction and Depression-Like Behaviors by Promoting Ferroptosis.

Applications

RIP

Species

Mouse

Lei Mao,Jiyue You,Min Xie,Yunxia Hu,Qin Zhou

iScience 25:105620 PubMed36465115

2022

TWIK-related acid-sensitive K channel 2 promotes renal fibrosis by inducing cell-cycle arrest.

Applications

WB

Species

Mouse

Jian Zhang,Jing Chen,Yufei Lu,Yan Yang,Weize Chen,Bo Shen,Jiachang Hu,Ping Jia,Sujuan Xu,Yiqin Shi,Yichun Ning,Jialin Wang,Yi Fang,Shuan Zhao,Yang Li,Yan Dai,Xiaoyan Zhang,Meng Xiang,Yang Tian,Zhichao Liu,Nana Song,Xiaoqiang Ding

Science advances 6:eaba0647 PubMed32875102

2020

Interplay of mA and H3K27 trimethylation restrains inflammation during bacterial infection.

Applications

Unspecified application

Species

Unspecified reactive species

Chenglei Wu,Weixin Chen,Jincan He,Shouheng Jin,Yukun Liu,Yang Yi,Zhuoxing Gao,Jiayan Yang,Jianhua Yang,Jun Cui,Wei Zhao

Molecular cancer 19:40 PubMed32106857

2020

mA demethylase ALKBH5 inhibits tumor growth and metastasis by reducing YTHDFs-mediated YAP expression and inhibiting miR-107/LATS2-mediated YAP activity in NSCLC.

Applications

Unspecified application

Species

Unspecified reactive species

Dan Jin,Jiwei Guo,Yan Wu,Lijuan Yang,Xiaohong Wang,Jing Du,Juanjuan Dai,Weiwei Chen,Kaikai Gong,Shuang Miao,Xuelin Li,Hongliang Sun

Journal of experimental & clinical cancer research 38:163 PubMed30987661

2019

ALKBH5 inhibited autophagy of epithelial ovarian cancer through miR-7 and BCL-2.

Applications

Unspecified application

Species

Unspecified reactive species

Hongtao Zhu,Xiaoling Gan,Xingwei Jiang,Shuai Diao,Huan Wu,Jianguo Hu
View all publications

Product promise

We are committed to supporting your work with high-quality reagents, and we're here for you every step of the way. In the unlikely event that one of our products does not perform as expected, you're protected by our Product Promise.
For full details, please see our Terms & Conditions

Please note: All products are 'FOR RESEARCH USE ONLY. NOT FOR USE IN DIAGNOSTIC OR THERAPEUTIC PROCEDURES'.

For licensing inquiries, please contact partnerships@abcam.com