JavaScript is disabled in your browser. Please enable JavaScript to view this website.
AB305097

Anti-ALK(pY1586) antibody [EPR26900-88]

Be the first to review this product! Submit a review

|

(0 Publication)

Rabbit Recombinant Monoclonal ALK phospho Y1586 antibody. Suitable for WB, Dot, Flow Cyt (Intra), IP and reacts with Human, Synthetic peptide - Human samples.

View Alternative Names

CD246, ALK tyrosine kinase receptor, Anaplastic lymphoma kinase, ALK

5 Images
Flow Cytometry (Intracellular) - Anti-ALK(pY1586) antibody [EPR26900-88] (AB305097)
  • Flow Cyt (Intra)

Supplier Data

Flow Cytometry (Intracellular) - Anti-ALK(pY1586) antibody [EPR26900-88] (AB305097)

Flow cytometric analysis of 4% paraformaldehyde fixed 90% methanol permeabilized KARPAS-299 (human anaplastic large cell lymphoma) treated with 50uM pervanadate for 30min (Red) / Untreated control (Green) cells labelling ALK(pY1586) with ab305097 at 1/500 dilution (0.1ug) (Red) and Green (Red) compared with a Rabbit monoclonal IgG (ab172730) (Black) isotype control and an unlabelled control (cells without incubation with primary antibody and secondary antibody) (Blue). A Goat Anti-Rabbit IgG (Alexa Fluor® 488, ab150081) at 1/2000 dilution was used as the secondary antibody.

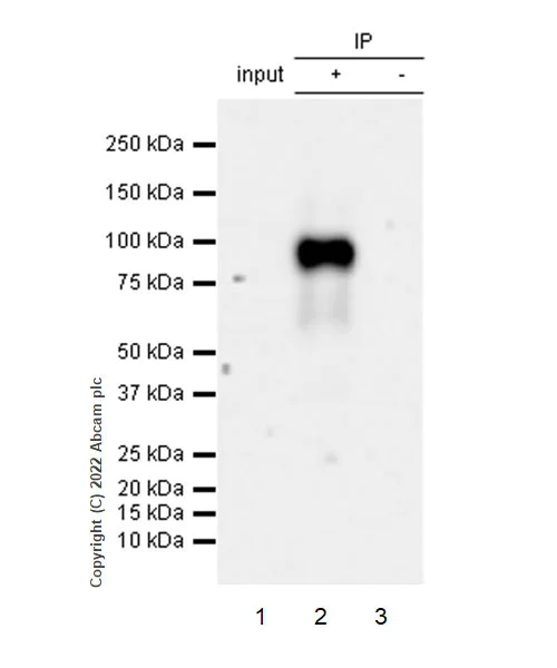
Immunoprecipitation - Anti-ALK(pY1586) antibody [EPR26900-88] (AB305097)
  • IP

Supplier Data

Immunoprecipitation - Anti-ALK(pY1586) antibody [EPR26900-88] (AB305097)

ALK (pY1586) was immunoprecipitated from 0.35 mg KARPAS-299 (human T cell lymphoma cell) treated with 50uM pervanadate for 30min, whole cell lysate 10ug with ab305097 at 1/30 dilution (2ug in 0.35mg lysates). Western blot was performed on the immunoprecipitate using ab305097 at 1/1000 dilution. VeriBlot for IP secondary antibody (HRP)(ab131366) was used at 1/5000 dilution.

Lane 1 : KARPAS-299 (human T cell lymphoma cell) treated with 50uM pervanadate for 30min, whole cell lysate 10ug

Lane 2 : ab305097 IP in KARPAS-299 treated with 50uM pervanadate for 30min, whole cell lysate

Lane 3 : Rabbit monoclonal IgG (ab172730) instead of ab305097 in KARPAS-299 treated with 50uM pervanadate for 30min, whole cell lysate

Blocking and dilution buffer and concentration : 5% NFDM/TBST.

Exposure time : 32 seconds

Lysate was freshly made and used for IP immediately to minimize protein degradation.

All lanes:

Immunoprecipitation - Anti-ALK(pY1586) antibody [EPR26900-88] (ab305097) at 1/1000 dilution

Lane 1:

KARPAS-299 (human T cell lymphoma cell) treated with 50uM pervanadate for 30min, whole cell lysate 10ug

Lane 2:

ab305097 IP in KARPAS-299 treated with 50uM pervanadate for 30min, whole cell lysate

Secondary

All lanes:

Immunoprecipitation - VeriBlot for IP Detection Reagent (HRP) (<a href='/en-us/products/reagents/veriblot-for-ip-detection-reagent-hrp-ab131366'>ab131366</a>) at 1/5000 dilution

Predicted band size: 80 kDa

Observed band size: 80 kDa

false

Exposure time: 32s

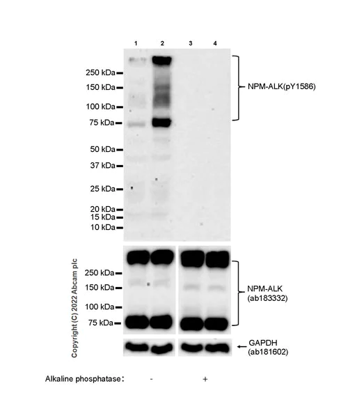
Western blot - Anti-ALK(pY1586) antibody [EPR26900-88] (AB305097)
  • WB

Supplier Data

Western blot - Anti-ALK(pY1586) antibody [EPR26900-88] (AB305097)

Blocking and diluting buffer and concentration : 5% NFDM/TBST KARPAS-299 cells carry the NPM-ALK fusion (PMID : 32193476, 9736036). Phosphorylated Tyr646 of NPM-ALK is equivalent to Tyr1586 of full length ALK. Bands around 300 kDa may be due to protein aggregation (PMID : 9121481). Lysates were freshly made and used for Western blotting immediately to minimize protein degradation. Exposure time : 180 seconds

All lanes:

Western blot - Anti-ALK(pY1586) antibody [EPR26900-88] (ab305097) at 1/1000 dilution

Lane 1:

KARPAS-299 (human anaplastic large cell lymphoma) whole cell fresh lysate (Untreated membrane) at 20 µg

Lane 2:

KARPAS-299 treated with 50 uM pervanadate for 30 minutes, whole cell fresh lysate (Untreated membrane) at 20 µg

Lane 3:

KARPAS-299 whole cell fresh lysate (phosphatase treated membrane) at 20 µg

Lane 4:

KARPAS-299 treated with 50 uM pervanadate for 30 minutes, whole cell fresh lysate (phosphatase treated membrane) at 20 µg

Secondary

All lanes:

Western blot - Goat Anti-Rabbit IgG H&L (HRP) (<a href='/en-us/products/secondary-antibodies/goat-rabbit-igg-h-l-hrp-ab97051'>ab97051</a>) at 1/100000 dilution

Predicted band size: 176 kDa

Observed band size: 80 kDa,300 kDa

false

Exposure time: 180s

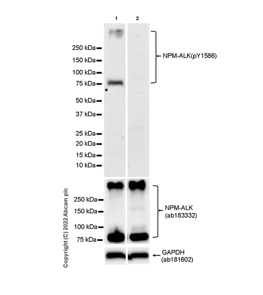
Western blot - Anti-ALK(pY1586) antibody [EPR26900-88] (AB305097)
  • WB

Supplier Data

Western blot - Anti-ALK(pY1586) antibody [EPR26900-88] (AB305097)

Blocking and diluting buffer and concentration : 5% NFDM/TBST KARPAS-299 cells carry the NPM-ALK fusion (PMID : 32193476, 9736036). Phosphorylated Tyr646 of NPM-ALK is equivalent to Tyr1586 of full length ALK. Bands around 300 kDa may be due to protein aggregation (PMID : 9121481). Lysates were freshly made and used for Western blotting immediately to minimize protein degradation. Exposure time : 180 seconds

All lanes:

Western blot - Anti-ALK(pY1586) antibody [EPR26900-88] (ab305097) at 1/1000 dilution

Lane 1:

Untreated KARPAS-299 (human anaplastic large cell lymphoma) whole cell lysate at 20 µg

Lane 2:

KARPAS-299 treated with 1 uM Crizotinib for 1 hour whole cell lysate at 20 µg

Secondary

All lanes:

Western blot - Goat Anti-Rabbit IgG H&L (HRP) (<a href='/en-us/products/secondary-antibodies/goat-rabbit-igg-h-l-hrp-ab97051'>ab97051</a>) at 1/100000 dilution

Predicted band size: 176 kDa

Observed band size: 80 kDa,300 kDa

false

Exposure time: 180s

Dot Blot - Anti-ALK(pY1586) antibody [EPR26900-88] (AB305097)
  • Dot

Supplier Data

Dot Blot - Anti-ALK(pY1586) antibody [EPR26900-88] (AB305097)

Dot blot analysis of ALK(pY1586) using ab305097 at 1 : 1000 (0.507 ug/ml) followed by a Goat Anti-Rabbit IgG (H+L) Peroxidase conjugated (ab97051) at 1 : 100000 dilution. Exposure time : 180 secondsBlocking and diluting buffer and concentration : 5% NFDM/TBST

  • Carrier free

    Anti-ALK(pY1586) antibody [EPR26900-88] - BSA and Azide free

Key facts

Host species

Rabbit

Clonality

Monoclonal

Clone number

EPR26900-88

Isotype

IgG

Carrier free

No

Reacts with

Human

Applications

WB, Flow Cyt (Intra), IP, Dot

applications

Immunogen

The exact immunogen used to generate this antibody is proprietary information.

Reactivity data

{ "title": "Reactivity Data", "filters": { "stats": ["", "Species", "Dilution Info", "Notes"], "tabs": { "all-applications": {"fullname" : "All Applications", "shortname": "All Applications"}, "WB" : {"fullname" : "Western blot", "shortname":"WB"}, "Dot" : {"fullname" : "Dot Blot", "shortname":"Dot"}, "IHCP" : {"fullname" : "Immunohistochemistry (Formalin/PFA-fixed paraffin-embedded sections)", "shortname":"IHC-P"}, "ICCIF" : {"fullname" : "Immunocytochemistry/ Immunofluorescence", "shortname":"ICC/IF"}, "FlowCytIntra" : {"fullname" : "Flow Cytometry (Intracellular)", "shortname":"Flow Cyt (Intra)"}, "IP" : {"fullname" : "Immunoprecipitation", "shortname":"IP"} }, "product-promise": { "all": "all", "testedAndGuaranteed": "tested", "guaranteed": "expected", "predicted": "predicted", "notRecommended": "not-recommended" } }, "values": { "Human": { "WB-species-checked": "testedAndGuaranteed", "WB-species-dilution-info": "1/1000", "WB-species-notes": "<p></p>", "Dot-species-checked": "guaranteed", "Dot-species-dilution-info": "", "Dot-species-notes": "", "IHCP-species-checked": "notRecommended", "IHCP-species-dilution-info": "", "IHCP-species-notes": "<p></p> Perform heat-mediated antigen retrieval with Tris/EDTA buffer pH 9.0 before commencing with IHC staining protocol.", "ICCIF-species-checked": "notRecommended", "ICCIF-species-dilution-info": "", "ICCIF-species-notes": "<p></p>", "FlowCytIntra-species-checked": "testedAndGuaranteed", "FlowCytIntra-species-dilution-info": "1/500", "FlowCytIntra-species-notes": "<p></p>", "IP-species-checked": "testedAndGuaranteed", "IP-species-dilution-info": "1/30", "IP-species-notes": "<p></p>" }, "Mouse": { "WB-species-checked": "notRecommended", "WB-species-dilution-info": "1/1000", "WB-species-notes": "<p></p>", "Dot-species-checked": "notRecommended", "Dot-species-dilution-info": "", "Dot-species-notes": "", "IHCP-species-checked": "notRecommended", "IHCP-species-dilution-info": "", "IHCP-species-notes": "<p></p> Perform heat-mediated antigen retrieval with Tris/EDTA buffer pH 9.0 before commencing with IHC staining protocol.", "ICCIF-species-checked": "notRecommended", "ICCIF-species-dilution-info": "", "ICCIF-species-notes": "", "FlowCytIntra-species-checked": "notRecommended", "FlowCytIntra-species-dilution-info": "", "FlowCytIntra-species-notes": "", "IP-species-checked": "notRecommended", "IP-species-dilution-info": "", "IP-species-notes": "" }, "Rat": { "WB-species-checked": "notRecommended", "WB-species-dilution-info": "1/1000", "WB-species-notes": "<p></p>", "Dot-species-checked": "notRecommended", "Dot-species-dilution-info": "", "Dot-species-notes": "", "IHCP-species-checked": "notRecommended", "IHCP-species-dilution-info": "", "IHCP-species-notes": "<p></p> Perform heat-mediated antigen retrieval with Tris/EDTA buffer pH 9.0 before commencing with IHC staining protocol.", "ICCIF-species-checked": "notRecommended", "ICCIF-species-dilution-info": "", "ICCIF-species-notes": "", "FlowCytIntra-species-checked": "notRecommended", "FlowCytIntra-species-dilution-info": "", "FlowCytIntra-species-notes": "", "IP-species-checked": "notRecommended", "IP-species-dilution-info": "", "IP-species-notes": "" }, "Synthetic peptide - Human": { "WB-species-checked": "notRecommended", "WB-species-dilution-info": "", "WB-species-notes": "", "Dot-species-checked": "testedAndGuaranteed", "Dot-species-dilution-info": "1/1000", "Dot-species-notes": "<p></p>", "IHCP-species-checked": "notRecommended", "IHCP-species-dilution-info": "", "IHCP-species-notes": "", "ICCIF-species-checked": "notRecommended", "ICCIF-species-dilution-info": "", "ICCIF-species-notes": "", "FlowCytIntra-species-checked": "notRecommended", "FlowCytIntra-species-dilution-info": "", "FlowCytIntra-species-notes": "", "IP-species-checked": "notRecommended", "IP-species-dilution-info": "", "IP-species-notes": "" } } }

Product details

What are the advantages of a recombinant monoclonal antibody?
This product is a recombinant monoclonal antibody, which offers several advantages including:

  • - High batch-to-batch consistency and reproducibility
  • - Improved sensitivity and specificity
  • - Long-term security of supply
  • - Animal-free batch production

For more information, read more on recombinant antibodies.

Patented technology
Our RabMAb® technology is a patented hybridoma-based technology for making rabbit monoclonal antibodies. For details on our patents, please refer to RabMAb® patents.

Properties and storage information

Form
Liquid
Purification technique
Affinity purification Protein A
Storage buffer
pH: 7.2 - 7.4 Preservative: 0.01% Sodium azide Constituents: PBS, 40% Glycerol (glycerin, glycerine), 0.05% BSA
Shipped at conditions
Blue Ice
Appropriate short-term storage duration
1-2 weeks
Appropriate short-term storage conditions
+4°C
Appropriate long-term storage conditions
-20°C
Aliquoting information
Upon delivery aliquot
Storage information
Avoid freeze / thaw cycle

Supplementary information

This supplementary information is collated from multiple sources and compiled automatically.

The Anaplastic Lymphoma Kinase commonly referred to as ALK is a receptor tyrosine kinase known for its role in cell signaling. It is sometimes called CD246. ALK has a molecular mass of approximately 180 kDa. This protein finds expression predominantly in the central and peripheral nervous system with prominence in neural tissue during development. The ALK protein belongs to the insulin receptor superfamily exhibiting kinase activity that promotes signal transduction processes associated with growth and differentiation.
Biological function summary

ALK influences cell growth survival and differentiation playing a significant role during the development of the nervous system. As part of its biological activity the ALK protein can become a component of larger signaling complexes participating as an important activator or mediator. Evidence suggests ALK's involvement in neuronal differentiation and synaptogenesis. Its activity impacts intracellular pathways consequently modulating biological processes relevant to neural tissue and oncogenesis.

Pathways

ALK acts within the MAPK and PI3K-AKT signaling pathways. These pathways enable the transduction of signals from the cell surface to the nucleus influencing cellular outcomes such as proliferation and survival. In these pathways ALK interacts with various other proteins including GRB2 and PI3K which further facilitate downstream signaling. Proper functioning of these pathways is essential to maintaining cellular homeostasis and development.

ALK has a significant relationship with certain types of cancer such as non-small cell lung carcinoma and anaplastic large cell lymphoma. Genetic alterations in ALK such as translocations or mutations can lead to the uncontrolled activation of its kinase activity resulting in oncogenic transformation. In these contexts the ALK protein often interacts with EML4 in lung cancer through a fusion forming an oncogenic driver. Targeting ALK with anti-ALK antibodies or small molecule inhibitors has emerged as a therapeutic strategy to manage these malignancies.

Product protocols

For this product, it's our understanding that no specific protocols are required. You can visit:

Target data

Neuronal receptor tyrosine kinase that is essentially and transiently expressed in specific regions of the central and peripheral nervous systems and plays an important role in the genesis and differentiation of the nervous system (PubMed : 11121404, PubMed : 11387242, PubMed : 16317043, PubMed : 17274988, PubMed : 30061385, PubMed : 34646012, PubMed : 34819673). Also acts as a key thinness protein involved in the resistance to weight gain : in hypothalamic neurons, controls energy expenditure acting as a negative regulator of white adipose tissue lipolysis and sympathetic tone to fine-tune energy homeostasis (By similarity). Following activation by ALKAL2 ligand at the cell surface, transduces an extracellular signal into an intracellular response (PubMed : 30061385, PubMed : 33411331, PubMed : 34646012, PubMed : 34819673). In contrast, ALKAL1 is not a potent physiological ligand for ALK (PubMed : 34646012). Ligand-binding to the extracellular domain induces tyrosine kinase activation, leading to activation of the mitogen-activated protein kinase (MAPK) pathway (PubMed : 34819673). Phosphorylates almost exclusively at the first tyrosine of the Y-x-x-x-Y-Y motif (PubMed : 15226403, PubMed : 16878150). Induces tyrosine phosphorylation of CBL, FRS2, IRS1 and SHC1, as well as of the MAP kinases MAPK1/ERK2 and MAPK3/ERK1 (PubMed : 15226403, PubMed : 16878150). ALK activation may also be regulated by pleiotrophin (PTN) and midkine (MDK) (PubMed : 11278720, PubMed : 11809760, PubMed : 12107166, PubMed : 12122009). PTN-binding induces MAPK pathway activation, which is important for the anti-apoptotic signaling of PTN and regulation of cell proliferation (PubMed : 11278720, PubMed : 11809760, PubMed : 12107166). MDK-binding induces phosphorylation of the ALK target insulin receptor substrate (IRS1), activates mitogen-activated protein kinases (MAPKs) and PI3-kinase, resulting also in cell proliferation induction (PubMed : 12122009). Drives NF-kappa-B activation, probably through IRS1 and the activation of the AKT serine/threonine kinase (PubMed : 15226403, PubMed : 16878150). Recruitment of IRS1 to activated ALK and the activation of NF-kappa-B are essential for the autocrine growth and survival signaling of MDK (PubMed : 15226403, PubMed : 16878150). May function as regulator of gastric epithelial differentiation (By similarity).
See full target information ALK phospho Y1586

Product promise

We are committed to supporting your work with high-quality reagents, and we're here for you every step of the way. In the unlikely event that one of our products does not perform as expected, you're protected by our Product Promise.
For full details, please see our Terms & Conditions

Please note: All products are 'FOR RESEARCH USE ONLY. NOT FOR USE IN DIAGNOSTIC OR THERAPEUTIC PROCEDURES'.

For licensing inquiries, please contact partnerships@abcam.com