JavaScript is disabled in your browser. Please enable JavaScript to view this website.
AB310328

Anti-Allergin 1 antibody [EPR27238-51] - BSA and Azide free

  • BOND RX™ Validated
  • RabMAb
  • Advanced Validation
  • Recombinant
  • What is this?

Be the first to review this product! Submit a review

|

(0 Publication)

Rabbit Recombinant Monoclonal Allergin 1 antibody. Carrier free. Suitable for mIHC, IHC-P and reacts with Human samples.

View Alternative Names

C17orf60, MCA32, MILR1, Allergin-1, Allergy inhibitory receptor 1, Mast cell antigen 32, Mast cell immunoglobulin-like receptor 1, MCA-32

6 Images
Immunohistochemistry (Formalin/PFA-fixed paraffin-embedded sections) - Anti-Allergin 1 antibody [EPR27238-51] - BSA and Azide free (AB310328)
  • IHC-P

Supplier Data

Immunohistochemistry (Formalin/PFA-fixed paraffin-embedded sections) - Anti-Allergin 1 antibody [EPR27238-51] - BSA and Azide free (AB310328)

This data was developed using ab310327, the same antibody clone in a different buffer formulation. Immunohistochemical analysis of paraffin-embedded Human skeletal muscl tissue labeling Allergin 1 with ab310327 at 1/100 (5.4 ug/ml) followed by a ready to use LeicaDS9800 (Bond™ Polymer Refine Detection). Negative control : No staining on human skeletal muscle. The section was incubated with ab310327 for 30 mins at room temperature.The immunostaining was performed on a Leica Biosystems BOND® RX instrument Counterstained with Hematoxylin. Secondary antibody only control : Secondary antibody is a ready to use LeicaDS9800 (Bond™ Polymer Refine Detection). Heat mediated antigen retrieval was performed with Tris-EDTA buffer (pH 9.0, Epitope Retrieval Solution2) for 20 mins

Immunohistochemistry (Formalin/PFA-fixed paraffin-embedded sections) - Anti-Allergin 1 antibody [EPR27238-51] - BSA and Azide free (AB310328)
  • IHC-P

Supplier Data

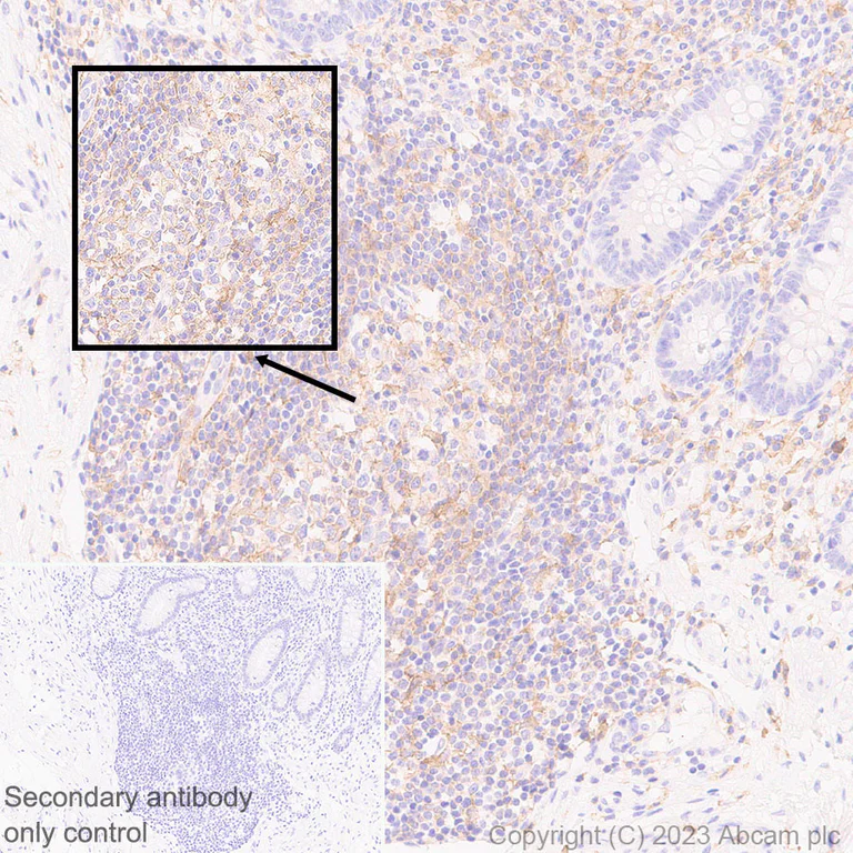
Immunohistochemistry (Formalin/PFA-fixed paraffin-embedded sections) - Anti-Allergin 1 antibody [EPR27238-51] - BSA and Azide free (AB310328)

This data was developed using ab310327, the same antibody clone in a different buffer formulation. Immunohistochemical analysis of paraffin-embedded Human appendix tissue labeling Allergin 1 with ab310327 at 1/100 (5.4 ug/ml) followed by a ready to use LeicaDS9800 (Bond™ Polymer Refine Detection). Positive staining on peripheral lymph node in human appendix. The section was incubated with ab310327 for 30 mins at room temperature.The immunostaining was performed on a Leica Biosystems BOND® RX instrument Counterstained with Hematoxylin. Secondary antibody only control : Secondary antibody is a ready to use LeicaDS9800 (Bond™ Polymer Refine Detection). Heat mediated antigen retrieval was performed with Tris-EDTA buffer (pH 9.0, Epitope Retrieval Solution2) for 20 mins

Immunohistochemistry (Formalin/PFA-fixed paraffin-embedded sections) - Anti-Allergin 1 antibody [EPR27238-51] - BSA and Azide free (AB310328)
  • IHC-P

Supplier Data

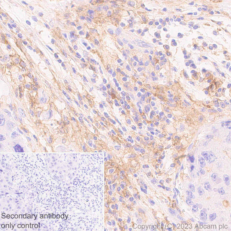
Immunohistochemistry (Formalin/PFA-fixed paraffin-embedded sections) - Anti-Allergin 1 antibody [EPR27238-51] - BSA and Azide free (AB310328)

This data was developed using ab310327, the same antibody clone in a different buffer formulation. Immunohistochemical analysis of paraffin-embedded Human hepatocellular tissue labeling Allergin 1 with ab310327 at 1/100 (5.4 ug/ml) followed by a ready to use LeicaDS9800 (Bond™ Polymer Refine Detection). Positive staining on immune cells in human hepatocellular cancer. The section was incubated with ab310327 for 30 mins at room temperature.The immunostaining was performed on a Leica Biosystems BOND® RX instrument Counterstained with Hematoxylin. Secondary antibody only control : Secondary antibody is a ready to use LeicaDS9800 (Bond™ Polymer Refine Detection). Heat mediated antigen retrieval was performed with Tris-EDTA buffer (pH 9.0, Epitope Retrieval Solution2) for 20 mins

Immunohistochemistry (Formalin/PFA-fixed paraffin-embedded sections) - Anti-Allergin 1 antibody [EPR27238-51] - BSA and Azide free (AB310328)
  • IHC-P

Supplier Data

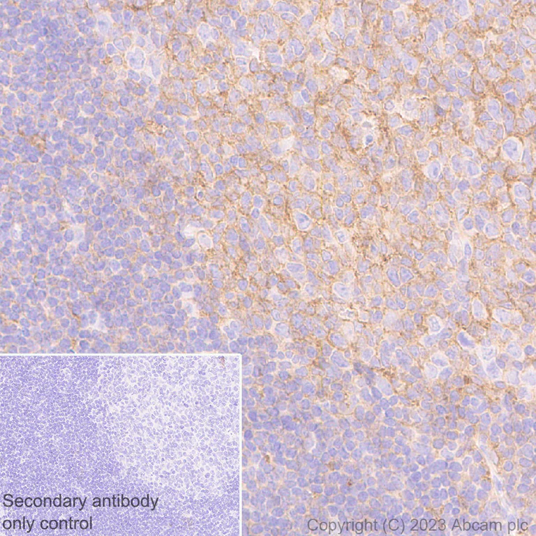
Immunohistochemistry (Formalin/PFA-fixed paraffin-embedded sections) - Anti-Allergin 1 antibody [EPR27238-51] - BSA and Azide free (AB310328)

This data was developed using ab310327, the same antibody clone in a different buffer formulation. Immunohistochemical analysis of paraffin-embedded Human tonsil tissue labeling Allergin 1 with ab310327 at 1/100 (5.4 ug/ml) followed by a ready to use LeicaDS9800 (Bond™ Polymer Refine Detection). Positive staining on human tonsil. The section was incubated with ab310327 for 30 mins at room temperature.The immunostaining was performed on a Leica Biosystems BOND® RX instrument Counterstained with Hematoxylin. Secondary antibody only control : Secondary antibody is a ready to use LeicaDS9800 (Bond™ Polymer Refine Detection). Heat mediated antigen retrieval was performed with Tris-EDTA buffer (pH 9.0, Epitope Retrieval Solution2) for 20 mins

Multiplex immunohistochemistry - Anti-Allergin 1 antibody [EPR27238-51] - BSA and Azide free (AB310328)
  • mIHC

Supplier Data

Multiplex immunohistochemistry - Anti-Allergin 1 antibody [EPR27238-51] - BSA and Azide free (AB310328)

This data was developed using ab310327, the same antibody clone in a different buffer formulation. Multiplex immunohistochemistry analysis of formalin/PFA-fixed paraffin-embedded Human tonsil tissue labeling Allergin 1 with ab310327 at 1/100 Panel A : merged staining of anti-Mast Cell Chymase (green; Opal™520) and anti-Allergin-1 (red; Opal™570) on human tonsil. Panel B : anti-Allergin-1 stained on various immune cells. Panel C : anti-Mast Cell Chymase stained on mast cells. The section was incubated in two rounds of staining : in the order of ab186417 and ab310327 for 30 mins at room temperature. Each round was followed by a separate fluorescent tyramide signal amplification system. The immunostaining was performed on a Leica Biosystems BOND® RX instrument with an Opal™ 4-color kit. Image acquisition was performed with Leica SP8 confocal microscope. Counterstained with DAPI. Heat mediated antigen retrieval was performed with Tris-EDTA buffer (pH 9.0, Epitope Retrieval Solution2) for 20 mins

Multiplex immunohistochemistry - Anti-Allergin 1 antibody [EPR27238-51] - BSA and Azide free (AB310328)
  • mIHC

Supplier Data

Multiplex immunohistochemistry - Anti-Allergin 1 antibody [EPR27238-51] - BSA and Azide free (AB310328)

This data was developed using ab310327, the same antibody clone in a different buffer formulation. Multiplex immunohistochemistry analysis of formalin/PFA-fixed paraffin-embedded Human appendix tissue labeling Allergin 1 with ab310327 at 1/100 Panel A : merged staining of anti-Mast Cell Chymase (green; Opal™520) and anti-Allergin-1 (red; Opal™570) on human appendix. Panel B : anti-Allergin-1 stained on various immune cells. Panel C : anti-Mast Cell Chymase stained on mast cells. The section was incubated in two rounds of staining : in the order of ab186417 and ab310327 for 30 mins at room temperature. Each round was followed by a separate fluorescent tyramide signal amplification system. The immunostaining was performed on a Leica Biosystems BOND® RX instrument with an Opal™ 4-color kit. Image acquisition was performed with Leica SP8 confocal microscope. Counterstained with DAPI. Heat mediated antigen retrieval was performed with Tris-EDTA buffer (pH 9.0, Epitope Retrieval Solution2) for 20 mins

Key facts

Host species

Rabbit

Clonality

Monoclonal

Clone number

EPR27238-51

Isotype

IgG

Carrier free

Yes

Reacts with

Human

Applications

mIHC, IHC-P

applications

Immunogen

The exact immunogen used to generate this antibody is proprietary information.

Reactivity data

{ "title": "Reactivity Data", "filters": { "stats": ["", "Species", "Dilution Info", "Notes"], "tabs": { "all-applications": {"fullname" : "All Applications", "shortname": "All Applications"}, "mIHC" : {"fullname" : "Multiplex immunohistochemistry", "shortname":"mIHC"}, "IHCP" : {"fullname" : "Immunohistochemistry (Formalin/PFA-fixed paraffin-embedded sections)", "shortname":"IHC-P"}, "FlowCyt" : {"fullname" : "Flow Cytometry", "shortname":"Flow Cyt"}, "IP" : {"fullname" : "Immunoprecipitation", "shortname":"IP"}, "WB" : {"fullname" : "Western blot", "shortname":"WB"}, "IHCFr" : {"fullname" : "Immunohistochemistry (Frozen sections)", "shortname":"IHC-Fr"}, "ICCIF" : {"fullname" : "Immunocytochemistry/ Immunofluorescence", "shortname":"ICC/IF"} }, "product-promise": { "all": "all", "testedAndGuaranteed": "tested", "guaranteed": "expected", "predicted": "predicted", "notRecommended": "not-recommended" } }, "values": { "Human": { "mIHC-species-checked": "testedAndGuaranteed", "mIHC-species-dilution-info": "", "mIHC-species-notes": "<p>Heat mediated antigen retrieval was performed with Tris-EDTA buffer (pH 9.0, Epitope Retrieval Solution2) for 20 mins</p>", "IHCP-species-checked": "testedAndGuaranteed", "IHCP-species-dilution-info": "", "IHCP-species-notes": "<p></p>", "FlowCyt-species-checked": "notRecommended", "FlowCyt-species-dilution-info": "", "FlowCyt-species-notes": "<p></p>", "IP-species-checked": "notRecommended", "IP-species-dilution-info": "", "IP-species-notes": "<p></p>", "WB-species-checked": "notRecommended", "WB-species-dilution-info": "", "WB-species-notes": "<p></p>", "IHCFr-species-checked": "notRecommended", "IHCFr-species-dilution-info": "", "IHCFr-species-notes": "", "ICCIF-species-checked": "notRecommended", "ICCIF-species-dilution-info": "", "ICCIF-species-notes": "<p></p>" }, "Mouse": { "mIHC-species-checked": "notRecommended", "mIHC-species-dilution-info": "", "mIHC-species-notes": "", "IHCP-species-checked": "notRecommended", "IHCP-species-dilution-info": "", "IHCP-species-notes": "<p></p>", "FlowCyt-species-checked": "notRecommended", "FlowCyt-species-dilution-info": "", "FlowCyt-species-notes": "<p></p>", "IP-species-checked": "notRecommended", "IP-species-dilution-info": "", "IP-species-notes": "", "WB-species-checked": "notRecommended", "WB-species-dilution-info": "", "WB-species-notes": "<p></p>", "IHCFr-species-checked": "notRecommended", "IHCFr-species-dilution-info": "", "IHCFr-species-notes": "<p></p>", "ICCIF-species-checked": "notRecommended", "ICCIF-species-dilution-info": "", "ICCIF-species-notes": "<p></p>" }, "Rat": { "mIHC-species-checked": "notRecommended", "mIHC-species-dilution-info": "", "mIHC-species-notes": "", "IHCP-species-checked": "notRecommended", "IHCP-species-dilution-info": "", "IHCP-species-notes": "<p></p>", "FlowCyt-species-checked": "notRecommended", "FlowCyt-species-dilution-info": "", "FlowCyt-species-notes": "", "IP-species-checked": "notRecommended", "IP-species-dilution-info": "", "IP-species-notes": "", "WB-species-checked": "notRecommended", "WB-species-dilution-info": "", "WB-species-notes": "<p></p>", "IHCFr-species-checked": "notRecommended", "IHCFr-species-dilution-info": "", "IHCFr-species-notes": "<p></p>", "ICCIF-species-checked": "notRecommended", "ICCIF-species-dilution-info": "", "ICCIF-species-notes": "" } } }

Product details

Patented technology
Our RabMAb® technology is a patented hybridoma-based technology for making rabbit monoclonal antibodies. For details on our patents, please refer to RabMAb® patents.

What are the advantages of a recombinant monoclonal antibody?
This product is a recombinant monoclonal antibody, which offers several advantages including:

  • - High batch-to-batch consistency and reproducibility
  • - Improved sensitivity and specificity
  • - Long-term security of supply
  • - Animal-free batch production

For more information, read more on recombinant antibodies.

Conjugation ready
Our carrier-free antibodies are typically supplied in a PBS-only formulation, purified and free of BSA, sodium azide and glycerol. This conjugation-ready format is designed for use with fluorochromes, metal isotopes, oligonucleotides, and enzymes, which makes them ideal for antibody labelling, functional and cell-based assays, flow-based assays (e.g. mass cytometry) and Multiplex Imaging applications.

Use our conjugation kits for antibody conjugates that are ready-to-use in as little as 20 minutes with 1 minute hands-on-time and 100% antibody recovery: available for fluorescent dyes, HRP, biotin and gold.

Compatibility
This product is compatible with the Maxpar® Antibody Labeling Kit from Fluidigm, without the need for antibody preparation. Maxpar® is a trademark of Fluidigm Canada Inc.

Properties and storage information

Form
Liquid
Purification technique
Affinity purification Protein A
Storage buffer
pH: 7.2 - 7.4 Constituents: PBS
Shipped at conditions
Blue Ice
Appropriate short-term storage conditions
+4°C
Appropriate long-term storage conditions
+4°C

Supplementary information

This supplementary information is collated from multiple sources and compiled automatically.

Allergin-1 also known as allergine or epityphlon is a membrane protein expressed in myeloid cells particularly mast cells and basophils. The protein has a mass of approximately 50 kDa. Allergin-1 plays a role in signaling processes that regulate immune responses especially those involving allergen recognition and response. This protein contributes to modulating the activation and deactivation of these immune cells helping maintain a balanced immune reaction.
Biological function summary

Allergin-1 functions as an inhibitory receptor on myeloid cells. It forms part of a complex with other signaling proteins to suppress excessive immune responses that can lead to allergic reactions. This modulation involves interacting with several intracellular signaling proteins which in turn influence the release of mediators that affect the immune response. Allergin-1 through its inhibitory actions helps prevent over-activation of immune pathways that can contribute to allergic inflammation.

Pathways

Allergin-1 is involved in immune regulatory pathways such as the Fc receptor signaling pathway. It interacts with proteins like Syk kinase and SH2-containing phosphatases contributing to the negative regulation of cell activation. These pathways are key in the immune system's ability to distinguish between harmful and benign stimuli playing a protective role against unwarranted inflammatory responses.

Allergin-1 has connections to allergic conditions such as asthma and atopic dermatitis. Allergin-1's ability to modulate immune cell activation can influence the severity and occurrence of these allergic diseases. The protein’s interaction with other immune regulators such as SHIP1 demonstrates its importance in managing diseases where exaggerated immune responses occur. Understanding these connections is essential for developing therapeutic strategies aimed at treating allergic disorders.

Product protocols

For this product, it's our understanding that no specific protocols are required. You can visit:

Target data

Immunoglobulin-like receptor which plays an inhibitory role in degranulation of mast cells. Negatively regulates IgE-mediated mast cell activation and suppresses the type I immediate hypersensitivity reaction (By similarity).
See full target information MILR1

Product promise

We are committed to supporting your work with high-quality reagents, and we're here for you every step of the way. In the unlikely event that one of our products does not perform as expected, you're protected by our Product Promise.
For full details, please see our Terms & Conditions

Please note: All products are 'FOR RESEARCH USE ONLY. NOT FOR USE IN DIAGNOSTIC OR THERAPEUTIC PROCEDURES'.

For licensing inquiries, please contact partnerships@abcam.com