JavaScript is disabled in your browser. Please enable JavaScript to view this website.
AB224335

Anti-ALP antibody

Be the first to review this product! Submit a review

|

(34 Publications)

Rabbit Polyclonal ALP antibody. Suitable for IHC-P, ICC/IF and reacts with Human samples. Cited in 34 publications. Immunogen corresponding to Recombinant Fragment Protein within Human PDLIM3 aa 1-100.

View Alternative Names

ALP, PDLIM3, PDZ and LIM domain protein 3, Actinin-associated LIM protein, Alpha-actinin-2-associated LIM protein

2 Images
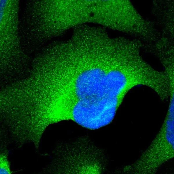
Immunocytochemistry/ Immunofluorescence - Anti-ALP antibody (AB224335)
  • ICC/IF

Supplier Data

Immunocytochemistry/ Immunofluorescence - Anti-ALP antibody (AB224335)

PFA-fixed, Triton X-100 permeabilized U-2 OS (human bone osteosarcoma epithelial cell line) cells stained for ALP (green) using ab224335 at 4 μg/ml in ICC/IF.

Immunohistochemistry (Formalin/PFA-fixed paraffin-embedded sections) - Anti-ALP antibody (AB224335)
  • IHC-P

Supplier Data

Immunohistochemistry (Formalin/PFA-fixed paraffin-embedded sections) - Anti-ALP antibody (AB224335)

Paraffin-embedded human skeletal muscle tissue stained for ALP using ab224335 at 1/200 dilution in immunohistochemical analysis.

Key facts

Host species

Rabbit

Clonality

Polyclonal

Isotype

IgG

Carrier free

No

Reacts with

Human

Applications

IHC-P, ICC/IF

applications

Immunogen

Recombinant Fragment Protein within Human PDLIM3 aa 1-100. The exact immunogen used to generate this antibody is proprietary information.

Q53GG5

Reactivity data

{ "title": "Reactivity Data", "filters": { "stats": ["", "Species", "Dilution Info", "Notes"], "tabs": { "all-applications": {"fullname" : "All Applications", "shortname": "All Applications"}, "IHCP" : {"fullname" : "Immunohistochemistry (Formalin/PFA-fixed paraffin-embedded sections)", "shortname":"IHC-P"}, "ICCIF" : {"fullname" : "Immunocytochemistry/ Immunofluorescence", "shortname":"ICC/IF"} }, "product-promise": { "all": "all", "testedAndGuaranteed": "tested", "guaranteed": "expected", "predicted": "predicted", "notRecommended": "not-recommended" } }, "values": { "Human": { "IHCP-species-checked": "testedAndGuaranteed", "IHCP-species-dilution-info": "1/200 - 1/500", "IHCP-species-notes": "<p></p> Perform heat-mediated antigen retrieval with citrate buffer pH 6 before commencing with IHC staining protocol.", "ICCIF-species-checked": "testedAndGuaranteed", "ICCIF-species-dilution-info": "1-4 µg/mL", "ICCIF-species-notes": "<p>Fixation/Permeabilization: PFA/Triton X-100.</p>" }, "Mouse": { "IHCP-species-checked": "predicted", "IHCP-species-dilution-info": "", "IHCP-species-notes": "", "ICCIF-species-checked": "predicted", "ICCIF-species-dilution-info": "", "ICCIF-species-notes": "" }, "Rat": { "IHCP-species-checked": "predicted", "IHCP-species-dilution-info": "", "IHCP-species-notes": "", "ICCIF-species-checked": "predicted", "ICCIF-species-dilution-info": "", "ICCIF-species-notes": "" }, "Cow": { "IHCP-species-checked": "predicted", "IHCP-species-dilution-info": "", "IHCP-species-notes": "", "ICCIF-species-checked": "predicted", "ICCIF-species-dilution-info": "", "ICCIF-species-notes": "" }, "Pig": { "IHCP-species-checked": "predicted", "IHCP-species-dilution-info": "", "IHCP-species-notes": "", "ICCIF-species-checked": "predicted", "ICCIF-species-dilution-info": "", "ICCIF-species-notes": "" } } }

Properties and storage information

Form
Liquid
Purification technique
Affinity purification Immunogen
Storage buffer
pH: 7.2 Preservative: 0.02% Sodium azide Constituents: PBS, 40% Glycerol (glycerin, glycerine)
Shipped at conditions
Blue Ice
Appropriate short-term storage duration
1-2 weeks
Appropriate short-term storage conditions
+4°C
Appropriate long-term storage conditions
-20°C
Aliquoting information
Upon delivery aliquot
Storage information
Avoid freeze / thaw cycle

Product protocols

For this product, it's our understanding that no specific protocols are required. You can visit:

Target data

May play a role in the organization of actin filament arrays within muscle cells.
See full target information PDLIM3

Publications (34)

Recent publications for all applications. Explore the full list and refine your search

Odontology : PubMed40975852

2025

Injectable GSK3 inhibitor (Tideglusib) hydrogel versus enhanced β-tricalcium phosphate in tibial bone healing (in vitro and in vivo study).

Applications

Unspecified application

Species

Unspecified reactive species

Mahitabe Elgamily,Mona Denewar,Ahmed A Emam,Basma Hamed Othman,Nessma Sultan

Journal of bone and mineral metabolism : PubMed40956314

2025

Trolox, r-irisin and resveratrol cocktail to counteract osteoblast metabolism alterations in osteoarthritis and osteoporosis.

Applications

Unspecified application

Species

Unspecified reactive species

Roberto Bonanni,Angela Falvino,Amarildo Smakaj,Lucia Tranquillo,Anna Maria Rinaldi,Giovanna D'Arcangelo,Pierangelo Cifelli,Virginia Tancredi,Ida Cariati,Umberto Tarantino

International journal of biological sciences 21:4428-4449 PubMed40765829

2025

Fibroblast Growth Factor 19 Disrupts Cartilage Development Via the FGFR4/β-catenin Axis.

Applications

Unspecified application

Species

Unspecified reactive species

Hao Chen,Yujia Cui,Jiazhou Li,Mengmeng Duan,Caixia Pi,Xuedong Zhou,Jing Xie

Bioactive materials 50:364-381 PubMed40589547

2025

In situ implantation of type II collagen-based double-layer scaffolds for Articular Osteochondral Regeneration comprising hyaline cartilage and vascularized subchondral bones.

Applications

Unspecified application

Species

Unspecified reactive species

Zhen Zhang,Ye Huang,Xu Hu,Yulei Mu,Huiqun Zhou,Liang Ma,Bangheng Liu,Hang Yao,Xieyuan Jiang,Dong-An Wang

Nature communications 16:3093 PubMed40164597

2025

Optogenetic activation of mechanical nociceptions to enhance implant osseointegration.

Applications

Unspecified application

Species

Unspecified reactive species

Qijin Wang,Yang Chen,Haiqi Ding,Yuanqing Cai,Xuhui Yuan,Jianhua Lv,Jiagu Huang,Jiexin Huang,Chaofan Zhang,Zihao Hong,Hongyan Li,Ying Huang,Jiamin Lin,Lin Yuan,Lan Lin,Shaolin Yu,Canhong Zhang,Jianhua Lin,Wenbo Li,Cheng Chang,Bin Yang,Wenming Zhang,Xinyu Fang

Journal of orthopaedic surgery and research 20:58 PubMed39819480

2025

Tetramethylpyrazine promotes osteo-angiogenesis during bone fracture repair.

Applications

Unspecified application

Species

Unspecified reactive species

Jiangbo Ai,Jingzhou Zheng

European journal of medical research 29:315 PubMed38849933

2024

CircZfp644-205 inhibits osteoblast differentiation and induces apoptosis of pre-osteoblasts via sponging miR-455-3p and promoting SMAD2 expression.

Applications

Unspecified application

Species

Unspecified reactive species

Peng Zhang,Jie Liu,Zijia Chai,Jinjin Fu,Shuwen Li,Zhe Yang

The Journal of biological chemistry 300:107394 PubMed38768813

2024

Kaempferol attenuates particle-induced osteogenic impairment by regulating ER stress via the IRE1α-XBP1s pathway.

Applications

Unspecified application

Species

Unspecified reactive species

Xin Yu,Zhengrong Ren,Yuxiang Wang,Guodong Yuan,Jianlun Hu,Lin Song,Cheng Pan,Kangkang Feng,Yuqiao Liu,Longgang Shao,Li Zhang,Jinjuan Wang,Jianning Zhao,Nirong Bao,Zhongyang Sun

Cellular and molecular biology (Noisy-le-Grand, France) 70:95-101 PubMed38650149

2024

Ginsenoside Rc alleviates osteoporosis by the TGF-β/Smad signaling pathway.

Applications

Unspecified application

Species

Unspecified reactive species

Shanfu Wang,Bing Xu,Heng Yin,Zhen Hua,Yang Shao,Jianwei Wang

International journal of nanomedicine 19:3423-3440 PubMed38617800

2024

Microdroplets Encapsulated with NFATc1-siRNA and Exosomes-Derived from MSCs Onto 3D Porous PLA Scaffold for Regulating Osteoclastogenesis and Promoting Osteogenesis.

Applications

Unspecified application

Species

Unspecified reactive species

Peng Luo,Yi Zhang,Maodi Huang,Guochen Luo,Yaping Ma,Xin Wang
View all publications

Product promise

We are committed to supporting your work with high-quality reagents, and we're here for you every step of the way. In the unlikely event that one of our products does not perform as expected, you're protected by our Product Promise.
For full details, please see our Terms & Conditions

Please note: All products are 'FOR RESEARCH USE ONLY. NOT FOR USE IN DIAGNOSTIC OR THERAPEUTIC PROCEDURES'.

For licensing inquiries, please contact partnerships@abcam.com