JavaScript is disabled in your browser. Please enable JavaScript to view this website.
AB313578

Anti-alpha 1 Adrenergic Receptor antibody [EPR27512-50] - BSA and Azide free

Be the first to review this product! Submit a review

|

(0 Publication)

Rabbit Recombinant Monoclonal alpha 1d Adrenergic Receptor antibody. Carrier free. Suitable for IHC-P, WB and reacts with Mouse, Transfected cell line - Mouse samples.

View Alternative Names

Adra1a, Gpcr8, Adra1d, Alpha-1D adrenergic receptor, Alpha-1A adrenergic receptor, Alpha-1D adrenoreceptor, Alpha-1D adrenoceptor

5 Images
Immunohistochemistry (Formalin/PFA-fixed paraffin-embedded sections) - Anti-alpha 1 Adrenergic Receptor antibody [EPR27512-50] - BSA and Azide free (AB313578)
  • IHC-P

Supplier Data

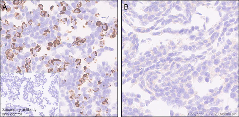
Immunohistochemistry (Formalin/PFA-fixed paraffin-embedded sections) - Anti-alpha 1 Adrenergic Receptor antibody [EPR27512-50] - BSA and Azide free (AB313578)

This data was developed using ab313577, the same antibody clone in a different buffer formulation. Immunohistochemical analysis of paraffin-embedded (A) HEK-293T cells tissue labeling alpha 1 Adrenergic Receptor with ab313577 at 1/10000 (0.051 ug/ml) followed by a ready to use LeicaDS9800 (Bond™ Polymer Refine Detection). Positive staining staining on (A) HEK-293T cells transfected with a mouse ADRA1D expression vector containing a his tag, almost no staining on (B) HEK-293T cells transfected with empty vector containing a his tag. The section was incubated with ab313577 for 30 mins at room temperature.The immunostaining was performed on a Leica Biosystems BOND® RX instrument Counterstained with Hematoxylin. Secondary antibody only control : Secondary antibody is a ready to use LeicaDS9800 (Bond™ Polymer Refine Detection). Heat mediated antigen retrieval was performed with Tris-EDTA buffer (pH 9.0, Epitope Retrieval Solution2) for 20 mins

Immunohistochemistry (Formalin/PFA-fixed paraffin-embedded sections) - Anti-alpha 1 Adrenergic Receptor antibody [EPR27512-50] - BSA and Azide free (AB313578)
  • IHC-P

Supplier Data

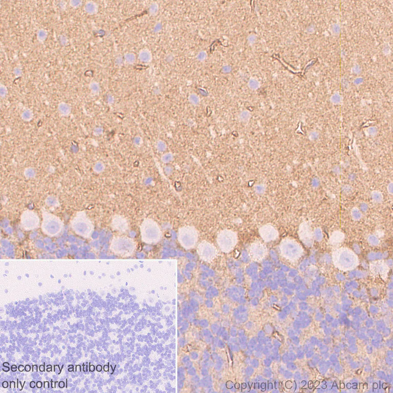
Immunohistochemistry (Formalin/PFA-fixed paraffin-embedded sections) - Anti-alpha 1 Adrenergic Receptor antibody [EPR27512-50] - BSA and Azide free (AB313578)

This data was developed using ab313577, the same antibody clone in a different buffer formulation. Immunohistochemical analysis of paraffin-embedded Mouse cerebrum tissue labeling alpha 1 Adrenergic Receptor with ab313577 at 1/500 (1.028 ug/ml) followed by a ready to use LeicaDS9800 (Bond™ Polymer Refine Detection). Positive staining staining on mouse cerebrum. The section was incubated with ab313577 for 30 mins at room temperature.The immunostaining was performed on a Leica Biosystems BOND® RX instrument Counterstained with Hematoxylin. Secondary antibody only control : Secondary antibody is a ready to use LeicaDS9800 (Bond™ Polymer Refine Detection). Heat mediated antigen retrieval was performed with Tris-EDTA buffer (pH 9.0, Epitope Retrieval Solution2) for 20 mins

Immunohistochemistry (Formalin/PFA-fixed paraffin-embedded sections) - Anti-alpha 1 Adrenergic Receptor antibody [EPR27512-50] - BSA and Azide free (AB313578)
  • IHC-P

Supplier Data

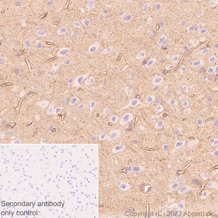
Immunohistochemistry (Formalin/PFA-fixed paraffin-embedded sections) - Anti-alpha 1 Adrenergic Receptor antibody [EPR27512-50] - BSA and Azide free (AB313578)

This data was developed using ab313577, the same antibody clone in a different buffer formulation. Immunohistochemical analysis of paraffin-embedded Mouse cerebellum tissue labeling alpha 1 Adrenergic Receptor with ab313577 at 1/500 (1.028 ug/ml) followed by a ready to use LeicaDS9800 (Bond™ Polymer Refine Detection). Positive staining staining on mouse cerebellum. The section was incubated with ab313577 for 30 mins at room temperature.The immunostaining was performed on a Leica Biosystems BOND® RX instrument Counterstained with Hematoxylin. Secondary antibody only control : Secondary antibody is a ready to use LeicaDS9800 (Bond™ Polymer Refine Detection). Heat mediated antigen retrieval was performed with Tris-EDTA buffer (pH 9.0, Epitope Retrieval Solution2) for 20 mins

Immunohistochemistry (Formalin/PFA-fixed paraffin-embedded sections) - Anti-alpha 1 Adrenergic Receptor antibody [EPR27512-50] - BSA and Azide free (AB313578)
  • IHC-P

Supplier Data

Immunohistochemistry (Formalin/PFA-fixed paraffin-embedded sections) - Anti-alpha 1 Adrenergic Receptor antibody [EPR27512-50] - BSA and Azide free (AB313578)

This data was developed using ab313577, the same antibody clone in a different buffer formulation. Immunohistochemical analysis of paraffin-embedded Mouse kidney tissue labeling alpha 1 Adrenergic Receptor with ab313577 at 1/500 (1.028 ug/ml) followed by a ready to use LeicaDS9800 (Bond™ Polymer Refine Detection). Positive staining staining on mouse kidney. The section was incubated with ab313577 for 30 mins at room temperature.The immunostaining was performed on a Leica Biosystems BOND® RX instrument Counterstained with Hematoxylin. Secondary antibody only control : Secondary antibody is a ready to use LeicaDS9800 (Bond™ Polymer Refine Detection). Heat mediated antigen retrieval was performed with Tris-EDTA buffer (pH 9.0, Epitope Retrieval Solution2) for 20 mins

Western blot - Anti-alpha 1 Adrenergic Receptor antibody [EPR27512-50] - BSA and Azide free (AB313578)
  • WB

Supplier Data

Western blot - Anti-alpha 1 Adrenergic Receptor antibody [EPR27512-50] - BSA and Azide free (AB313578)

This data was developed using ab313577, the same antibody clone in a different buffer formulation. Blocking and diluting buffer and concentration : 5% NFDM/TBST Negative control : liver (PMID : 9326654). Low expression : hypothalamus (PMID : 9285356). 120kDa (dimer) is due to polymerization (PMID : 27382054). Samples are non-boiled as boiling may cause protein aggregation. In Western blot, anti-GAPDH antibody (ab181602) loading control staining at 1/200000 dilution. Exposure time : 180 seconds

All lanes:

Western blot - Anti-alpha 1 Adrenergic Receptor antibody [EPR27512-50] (<a href='/en-us/products/primary-antibodies/alpha-1-adrenergic-receptor-antibody-epr27512-50-ab313577'>ab313577</a>) at 1/1000 dilution

Lane 1:

Mouse cerebral cortex tissue lysate at 40 µg

Lane 2:

Mouse cerebellum tissue lysate at 40 µg

Lane 3:

Mouse hypothalamus tissue lysate at 40 µg

Lane 4:

Mouse liver tissue lysate at 40 µg

Secondary

All lanes:

Goat Anti-Rabbit IgG (HRP) with minimal cross-reactivity with human IgG at 1/2000 dilution

Observed band size: 120 kDa

false

Exposure time: 180s

  • Unconjugated

    Anti-alpha 1 Adrenergic Receptor antibody [EPR27512-50]

Key facts

Host species

Rabbit

Clonality

Monoclonal

Clone number

EPR27512-50

Isotype

IgG

Carrier free

Yes

Reacts with

Mouse

Applications

IHC-P, WB

applications

Immunogen

The exact immunogen used to generate this antibody is proprietary information.

Reactivity data

{ "title": "Reactivity Data", "filters": { "stats": ["", "Species", "Dilution Info", "Notes"], "tabs": { "all-applications": {"fullname" : "All Applications", "shortname": "All Applications"}, "IHCP" : {"fullname" : "Immunohistochemistry (Formalin/PFA-fixed paraffin-embedded sections)", "shortname":"IHC-P"}, "WB" : {"fullname" : "Western blot", "shortname":"WB"}, "ICCIF" : {"fullname" : "Immunocytochemistry/ Immunofluorescence", "shortname":"ICC/IF"}, "IHCFr" : {"fullname" : "Immunohistochemistry (Frozen sections)", "shortname":"IHC-Fr"}, "FlowCyt" : {"fullname" : "Flow Cytometry", "shortname":"Flow Cyt"}, "IP" : {"fullname" : "Immunoprecipitation", "shortname":"IP"} }, "product-promise": { "all": "all", "testedAndGuaranteed": "tested", "guaranteed": "expected", "predicted": "predicted", "notRecommended": "not-recommended" } }, "values": { "Human": { "IHCP-species-checked": "notRecommended", "IHCP-species-dilution-info": "", "IHCP-species-notes": "<p></p>", "WB-species-checked": "notRecommended", "WB-species-dilution-info": "", "WB-species-notes": "<p></p>", "ICCIF-species-checked": "notRecommended", "ICCIF-species-dilution-info": "", "ICCIF-species-notes": "<p></p>", "IHCFr-species-checked": "notRecommended", "IHCFr-species-dilution-info": "", "IHCFr-species-notes": "", "FlowCyt-species-checked": "notRecommended", "FlowCyt-species-dilution-info": "", "FlowCyt-species-notes": "", "IP-species-checked": "notRecommended", "IP-species-dilution-info": "", "IP-species-notes": "" }, "Mouse": { "IHCP-species-checked": "testedAndGuaranteed", "IHCP-species-dilution-info": "", "IHCP-species-notes": "<p></p>", "WB-species-checked": "testedAndGuaranteed", "WB-species-dilution-info": "", "WB-species-notes": "<p></p>", "ICCIF-species-checked": "notRecommended", "ICCIF-species-dilution-info": "", "ICCIF-species-notes": "<p></p>", "IHCFr-species-checked": "notRecommended", "IHCFr-species-dilution-info": "", "IHCFr-species-notes": "<p></p>", "FlowCyt-species-checked": "notRecommended", "FlowCyt-species-dilution-info": "", "FlowCyt-species-notes": "<p></p>", "IP-species-checked": "notRecommended", "IP-species-dilution-info": "", "IP-species-notes": "<p></p>" }, "Rat": { "IHCP-species-checked": "notRecommended", "IHCP-species-dilution-info": "", "IHCP-species-notes": "<p></p>", "WB-species-checked": "notRecommended", "WB-species-dilution-info": "", "WB-species-notes": "<p></p>", "ICCIF-species-checked": "notRecommended", "ICCIF-species-dilution-info": "", "ICCIF-species-notes": "", "IHCFr-species-checked": "notRecommended", "IHCFr-species-dilution-info": "", "IHCFr-species-notes": "", "FlowCyt-species-checked": "notRecommended", "FlowCyt-species-dilution-info": "", "FlowCyt-species-notes": "", "IP-species-checked": "notRecommended", "IP-species-dilution-info": "", "IP-species-notes": "" }, "Transfected cell line - Mouse": { "IHCP-species-checked": "testedAndGuaranteed", "IHCP-species-dilution-info": "", "IHCP-species-notes": "<p></p>", "WB-species-checked": "notRecommended", "WB-species-dilution-info": "", "WB-species-notes": "", "ICCIF-species-checked": "notRecommended", "ICCIF-species-dilution-info": "", "ICCIF-species-notes": "", "IHCFr-species-checked": "notRecommended", "IHCFr-species-dilution-info": "", "IHCFr-species-notes": "", "FlowCyt-species-checked": "notRecommended", "FlowCyt-species-dilution-info": "", "FlowCyt-species-notes": "", "IP-species-checked": "notRecommended", "IP-species-dilution-info": "", "IP-species-notes": "" } } }

Product details

Patented technology
Our RabMAb® technology is a patented hybridoma-based technology for making rabbit monoclonal antibodies. For details on our patents, please refer to RabMAb® patents.

What are the advantages of a recombinant monoclonal antibody?
This product is a recombinant monoclonal antibody, which offers several advantages including:

  • - High batch-to-batch consistency and reproducibility
  • - Improved sensitivity and specificity
  • - Long-term security of supply
  • - Animal-free batch production

For more information, read more on recombinant antibodies.

Conjugation ready
Our carrier-free antibodies are typically supplied in a PBS-only formulation, purified and free of BSA, sodium azide and glycerol. This conjugation-ready format is designed for use with fluorochromes, metal isotopes, oligonucleotides, and enzymes, which makes them ideal for antibody labelling, functional and cell-based assays, flow-based assays (e.g. mass cytometry) and Multiplex Imaging applications.

Use our conjugation kits for antibody conjugates that are ready-to-use in as little as 20 minutes with 1 minute hands-on-time and 100% antibody recovery: available for fluorescent dyes, HRP, biotin and gold.

Compatibility
This product is compatible with the Maxpar® Antibody Labeling Kit from Fluidigm, without the need for antibody preparation. Maxpar® is a trademark of Fluidigm Canada Inc.

Properties and storage information

Form
Liquid
Purification technique
Affinity purification Protein A
Storage buffer
pH: 7.2 - 7.4 Constituents: PBS
Shipped at conditions
Blue Ice
Appropriate short-term storage conditions
+4°C
Appropriate long-term storage conditions
+4°C

Supplementary information

This supplementary information is collated from multiple sources and compiled automatically.

The alpha 1d adrenergic receptor also known as the alpha-1d adrenoceptor is a G-protein-coupled receptor with mass approximately 70 kDa. It plays a critical role in the modulation of physiological responses by binding catecholamines like norepinephrine and epinephrine. Alpha-1d adrenergic receptor is widely expressed in vascular smooth muscle heart liver and central nervous system. This receptor remains an important target for pharmacological research due to its involvement in various physiological processes.
Biological function summary

The alpha-1d adrenergic receptor promotes vasoconstriction and increases blood pressure through the activation of phospholipase C pathway resulting in calcium release from intracellular stores. It functions as part of a receptor complex that interacts with other alpha-1 adrenergic subtypes such as alpha-1a and alpha-1b adrenergic receptors differentiating their roles in tissue-specific actions. These receptor activities affect muscle contraction and influence systemic vascular resistance.

Pathways

This adrenergic receptor is engaged in the adrenergic signaling in cardiomyocytes and vascular smooth muscle contraction pathways. It facilitates communication between the signaling molecules and cellular responses. The alpha-1d adrenergic receptor partners with proteins like Gq/11 protein family which mediates signal transduction leading to its physiological effects. Interaction with other receptors such as beta-adrenergic receptors shapes the overall cardiovascular outcomes by providing a balance between constriction and relaxation.

The alpha-1d adrenergic receptor links to hypertension and benign prostatic hyperplasia where its modulation can influence disease progression and treatment outcomes. In hypertension dysregulation of alpha-1d adrenergic signaling may alter vascular tone and resistance contributing to elevated blood pressure. Connections with proteins such as phospholipase C confirm its involvement in the signaling cascade that affects these conditions. Modulation of this receptor activity offers therapeutic potential for related cardiovascular and urological disorders.

Product protocols

For this product, it's our understanding that no specific protocols are required. You can visit:

Target data

This alpha-adrenergic receptor mediates its effect through the influx of extracellular calcium.
See full target information Adra1d

Product promise

We are committed to supporting your work with high-quality reagents, and we're here for you every step of the way. In the unlikely event that one of our products does not perform as expected, you're protected by our Product Promise.
For full details, please see our Terms & Conditions

Please note: All products are 'FOR RESEARCH USE ONLY. NOT FOR USE IN DIAGNOSTIC OR THERAPEUTIC PROCEDURES'.

For licensing inquiries, please contact partnerships@abcam.com