JavaScript is disabled in your browser. Please enable JavaScript to view this website.
AB218933

Anti-alpha 1 Antitrypsin antibody [AAT/1378] - BSA and Azide free

Be the first to review this product! Submit a review

|

(1 Publication)

Mouse Monoclonal alpha 1 Antitrypsin antibody. Carrier free. Suitable for IHC-P, WB and reacts with Human samples. Cited in 1 publication. Immunogen corresponding to Recombinant Fragment Protein within Human SERPINA1.

View Alternative Names

AAT, PI, PRO0684, PRO2209, SERPINA1, Alpha-1-antitrypsin, Alpha-1 protease inhibitor, Alpha-1-antiproteinase, Serpin A1

2 Images
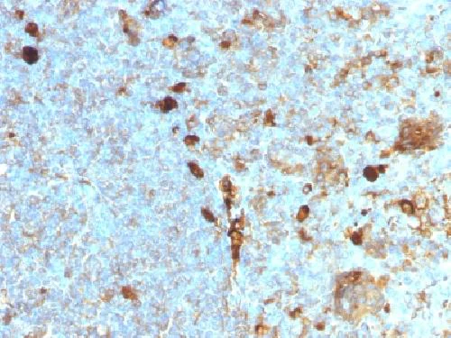
Immunohistochemistry (Formalin/PFA-fixed paraffin-embedded sections) - Anti-alpha 1 Antitrypsin antibody [AAT/1378] - BSA and Azide free (AB218933)
  • IHC-P

Supplier Data

Immunohistochemistry (Formalin/PFA-fixed paraffin-embedded sections) - Anti-alpha 1 Antitrypsin antibody [AAT/1378] - BSA and Azide free (AB218933)

Immunohistochemical analysis of formalin fixed, paraffin embedded Human tonsil tissue labeling alpha 1 Antitrypsin with ab218933 at 1 μg/mL.

Western blot - Anti-alpha 1 Antitrypsin antibody [AAT/1378] - BSA and Azide free (AB218933)
  • WB

Supplier Data

Western blot - Anti-alpha 1 Antitrypsin antibody [AAT/1378] - BSA and Azide free (AB218933)

All lanes:

Western blot - Anti-alpha 1 Antitrypsin antibody [AAT/1378] - BSA and Azide free (ab218933) at 1 µg/mL

Lane 1:

Recombinant Human alpha-1-Antitrypsin Protein Fragment

Lane 2:

Jurkat Cell Line Lysate

Lane 3:

A549 Cell Line Lysate

Predicted band size: 46 kDa

false

Key facts

Host species

Mouse

Clonality

Monoclonal

Clone number

AAT/1378

Isotype

IgG1

Carrier free

Yes

Reacts with

Human

Applications

IHC-P, WB

applications

Immunogen

Recombinant Fragment Protein within Human SERPINA1. The exact immunogen used to generate this antibody is proprietary information.

P01009

Reactivity data

{ "title": "Reactivity Data", "filters": { "stats": ["", "Species", "Dilution Info", "Notes"], "tabs": { "all-applications": {"fullname" : "All Applications", "shortname": "All Applications"}, "IHCP" : {"fullname" : "Immunohistochemistry (Formalin/PFA-fixed paraffin-embedded sections)", "shortname":"IHC-P"}, "WB" : {"fullname" : "Western blot", "shortname":"WB"} }, "product-promise": { "all": "all", "testedAndGuaranteed": "tested", "guaranteed": "expected", "predicted": "predicted", "notRecommended": "not-recommended" } }, "values": { "Human": { "IHCP-species-checked": "testedAndGuaranteed", "IHCP-species-dilution-info": "0.5-1 µg/mL", "IHCP-species-notes": "<p></p> Perform heat-mediated antigen retrieval with citrate buffer pH 6 before commencing with IHC staining protocol.", "WB-species-checked": "testedAndGuaranteed", "WB-species-dilution-info": "0.5-1 µg/mL", "WB-species-notes": "<p></p>" } } }

Properties and storage information

Form
Liquid
Purification technique
Affinity purification Protein G
Storage buffer
pH: 7.2 - 7.4 Constituents: PBS
Shipped at conditions
Blue Ice
Appropriate short-term storage duration
1-2 weeks
Appropriate short-term storage conditions
+4°C
Appropriate long-term storage conditions
-20°C
Aliquoting information
Upon delivery aliquot
Storage information
Avoid freeze / thaw cycle

Supplementary information

This supplementary information is collated from multiple sources and compiled automatically.

Alpha 1 Antitrypsin also known as A1AT or alpha-1 proteinase inhibitor is a serine protease inhibitor with a molecular mass of about 52 kDa. This protein mainly expresses in the liver and found in high concentrations in the blood plasma. A1AT protects tissues from enzymes of inflammatory cells especially neutrophil elastase. Its expression level is regulated by the liver making it a significant player in maintaining tissue integrity.
Biological function summary

A1AT regulates protease activity by forming complexes with target enzymes. It specifically inhibits neutrophil elastase a powerful enzyme capable of degrading elastin an important component of connective tissues. A1AT prevents excessive tissue damage during inflammation by maintaining a balance in protease activity within connective tissues across various organs.

Pathways

Alpha 1 Antitrypsin functions within the proteolytic pathways involved in inflammatory response and tissue remodeling. A1AT is closely related to neutrophil elastase in these processes. It interacts with other protease inhibitors like alpha 2-macroglobulin reinforcing its protective role against enzymatic activity that can lead to tissue destruction under pathophysiological conditions.

Alpha 1 Antitrypsin deficiency is a genetic condition that can cause chronic obstructive pulmonary disease (COPD) and liver cirrhosis. Deficient A1AT levels result in unregulated elastase activity leading to lung tissue damage and impaired liver function. Other proteins such as MMP-9 collaborate with elastase in exacerbating tissue damage illustrating how insufficient A1AT can significantly contribute to disease development.

Product protocols

For this product, it's our understanding that no specific protocols are required. You can visit:

Target data

Inhibitor of serine proteases. Its primary target is elastase, but it also has a moderate affinity for plasmin and thrombin. Irreversibly inhibits trypsin, chymotrypsin and plasminogen activator. The aberrant form inhibits insulin-induced NO synthesis in platelets, decreases coagulation time and has proteolytic activity against insulin and plasmin.. Short peptide from AAT. Reversible chymotrypsin inhibitor. It also inhibits elastase, but not trypsin. Its major physiological function is the protection of the lower respiratory tract against proteolytic destruction by human leukocyte elastase (HLE).
See full target information SERPINA1

Publications (1)

Recent publications for all applications. Explore the full list and refine your search

Cells 13: PubMed39056799

2024

Widespread Distribution of Luteinizing Hormone/Choriogonadotropin Receptor in Human Juvenile Angiofibroma: Implications for a Sex-Specific Nasal Tumor.

Applications

Unspecified application

Species

Unspecified reactive species

Silke Wemmert,Martina Pyrski,Lukas Pillong,Maximilian Linxweiler,Frank Zufall,Trese Leinders-Zufall,Bernhard Schick
View all publications

Product promise

We are committed to supporting your work with high-quality reagents, and we're here for you every step of the way. In the unlikely event that one of our products does not perform as expected, you're protected by our Product Promise.
For full details, please see our Terms & Conditions

Please note: All products are 'FOR RESEARCH USE ONLY. NOT FOR USE IN DIAGNOSTIC OR THERAPEUTIC PROCEDURES'.

For licensing inquiries, please contact partnerships@abcam.com