JavaScript is disabled in your browser. Please enable JavaScript to view this website.
AB207303

Anti-alpha 1 Antitrypsin antibody [EPR17087-50]

  • RabMAb
  • Recombinant
  • KO Validated
  • 20ul selling size
  • What is this?

4

(2 Reviews)

|

(16 Publications)

Anti-alpha 1 Antitrypsin antibody [EPR17087-50] (ab207303) is a rabbit monoclonal antibody detecting alpha 1 Antitrypsin in Western Blot, IP, IHC-P, ICC/IF. Suitable for Human.

- Biophysical QC for unrivalled batch-batch consistency
- Over 10 publications

View Alternative Names

AAT, PI, PRO0684, PRO2209, SERPINA1, Alpha-1-antitrypsin, Alpha-1 protease inhibitor, Alpha-1-antiproteinase, Serpin A1

9 Images
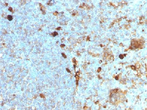
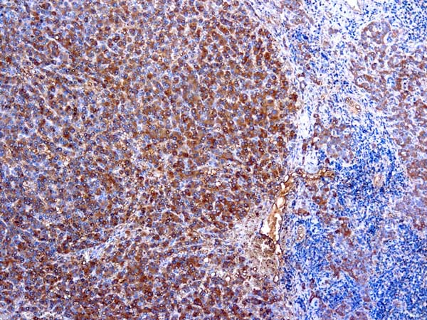
Immunohistochemistry (Formalin/PFA-fixed paraffin-embedded sections) - Anti-alpha 1 Antitrypsin antibody [EPR17087-50] (AB207303)
  • IHC-P

Supplier Data

Immunohistochemistry (Formalin/PFA-fixed paraffin-embedded sections) - Anti-alpha 1 Antitrypsin antibody [EPR17087-50] (AB207303)

Immunohistochemical analysis of paraffin-embedded human hepatocellular carcinoma tissue labeling alpha 1 Antitrypsin with ab207303 at 1/400 dilution, followed by Goat Anti-Rabbit IgG H&L (HRP) (ab97051) at 1/500 dilution. Cytoplasmic staining on cancer cells of human hepatocellular carcinoma is observed. Counter stained with Hematoxylin.

Secondary antibody only control : Used PBS instead of primary antibody, secondary antibody is Goat Anti-Rabbit IgG H&L (HRP) (ab97051) at 1/500 dilution.

Perform heat mediated antigen retrieval with Tris/EDTA buffer pH 9.0 before commencing with IHC staining protocol.

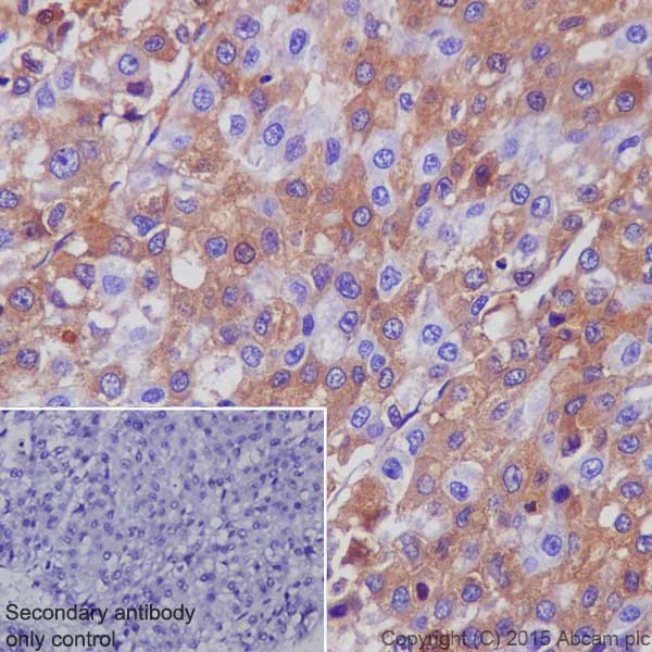
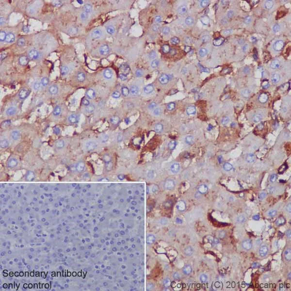
Immunohistochemistry (Formalin/PFA-fixed paraffin-embedded sections) - Anti-alpha 1 Antitrypsin antibody [EPR17087-50] (AB207303)
  • IHC-P

Supplier Data

Immunohistochemistry (Formalin/PFA-fixed paraffin-embedded sections) - Anti-alpha 1 Antitrypsin antibody [EPR17087-50] (AB207303)

Immunohistochemical analysis of paraffin-embedded human liver tissue labeling alpha 1 Antitrypsin with ab207303 at 1/400 dilution, followed by Goat Anti-Rabbit IgG H&L (HRP) (ab97051) at 1/500 dilution. Cytoplasmic staining on human liver is observed. Counter stained with Hematoxylin.

Secondary antibody only control : Used PBS instead of primary antibody, secondary antibody is Goat Anti-Rabbit IgG H&L (HRP) (ab97051) at 1/500 dilution.

Perform heat mediated antigen retrieval with Tris/EDTA buffer pH 9.0 before commencing with IHC staining protocol.

Immunocytochemistry/ Immunofluorescence - Anti-alpha 1 Antitrypsin antibody [EPR17087-50] (AB207303)
  • ICC/IF

Supplier Data

Immunocytochemistry/ Immunofluorescence - Anti-alpha 1 Antitrypsin antibody [EPR17087-50] (AB207303)

Immunofluorescent analysis of 4% paraformaldehyde-fixed, 0.1% Triton X-100 permeabilized K562 (Human chronic myelogenous leukemia cells from bone marrow) cells labeling alpha 1 Antitrypsin with ab207303 at 1/50 dilution, followed by Goat Anti-Rabbit IgG H&L (Alexa Fluor® 488) (ab150077) secondary antibody at 1/1000 dilution (green). Confocal image showing cytoplasmic staining on K562 cell line. The nuclear counter stain is DAPI (blue).

Tubulin is detected with Anti-alpha Tubulin mouse mAb (ab7291) at 1/1000 dilution, followed by Goat Anti-Mouse IgG H&L (Alexa Fluor® 594) (ab150120) secondary at 1/1000 dilution (red).

The negative controls are as follows :
-ve control 1 : ab207303 at 1/50 dilution followed by Goat Anti-Mouse IgG H&L (Alexa Fluor® 594) (ab150120) secondary at 1/1000 dilution.
-ve control 2 : Anti-alpha Tubulin mouse mAb (ab7291) at 1/1000 dilution followed by Goat Anti-Rabbit IgG H&L (Alexa Fluor® 488) (ab150077) at 1/1000 dilution.

Immunocytochemistry/ Immunofluorescence - Anti-alpha 1 Antitrypsin antibody [EPR17087-50] (AB207303)
  • ICC/IF

Supplier Data

Immunocytochemistry/ Immunofluorescence - Anti-alpha 1 Antitrypsin antibody [EPR17087-50] (AB207303)

Immunofluorescent analysis of 4% paraformaldehyde-fixed, 0.1% Triton X-100 permeabilized HepG2 (Human liver hepatocellular carcinoma) cells labeling alpha 1 Antitrypsin with ab207303 at 1/50 dilution, followed by Goat Anti-Rabbit IgG H&L (Alexa Fluor® 488) (ab150077) secondary antibody at 1/1000 dilution (green). Confocal image showing cytoplasmic staining on HepG2 cell line. The nuclear counter stain is DAPI (blue). Tubulin is detected with Anti-alpha Tubulin mouse mAb (ab7291) at 1/1000 dilution, followed by Goat Anti-Mouse Alexa Fluor® 594 (ab150120) secondary antibody at 1/1000 dilution (red).

The negative controls are as follows :
-ve control 1 : ab207303 at 1/50 dilution, followed by Goat Anti-Mouse Alexa Fluor® 594 (ab150120) secondary antibody at 1/1000 dilution.
-ve control 2 : Anti-alpha Tubulin mouse mAb (ab7291) at 1/1000 dilution, followed by Goat Anti-Rabbit IgG H&L (Alexa Fluor® 488) (ab150077) seconday antibody at 1/1000 dilution.

Immunoprecipitation - Anti-alpha 1 Antitrypsin antibody [EPR17087-50] (AB207303)
  • IP

Supplier Data

Immunoprecipitation - Anti-alpha 1 Antitrypsin antibody [EPR17087-50] (AB207303)

alpha 1 Antitrypsin was immunoprecipitated from 1mg of HepG2 (Human liver hepatocellular carcinoma) whole cell lysate with ab207303 at 1/20 dilution. Western blot was performed from the immunoprecipitate using ab207303 at 1/1000 dilution. VeriBlot for IP Detection Reagent (HRP) (ab131366), was used for detection at 1/10000 dilution.
Lane 1 : HepG2 whole cell lysate 10ug (Input).
Lane 2 : ab207303 IP in HepG2 whole cell lysate.
Lane 3 : Rabbit monoclonal IgG (ab172730) instead of ab207303 in HepG2 whole cell lysate.
Blocking and dilution buffer and concentration : 5% NFDM/TBST.
Exposure time : 3 seconds.

All lanes:

Immunoprecipitation - Anti-alpha 1 Antitrypsin antibody [EPR17087-50] (ab207303)

Predicted band size: 46 kDa

false

Western blot - Anti-alpha 1 Antitrypsin antibody [EPR17087-50] (AB207303)
  • WB

Collaborator

Western blot - Anti-alpha 1 Antitrypsin antibody [EPR17087-50] (AB207303)

ab207303 was shown to react with SERPINA1 in wild-type HepG2 cells in Western blot with loss of signal observed in a SERPINA1 knockout cell line. Wild-type HepG2 and SERPINA1 knockout cell lysates were subjected to SDS-PAGE. Membranes were blocked in 5% milk in TBST for 1 hr before incubation with ab207303 overnight at 4 °C at a 1/5000 dilution. Blots were incubated with secondary antibodies at 0.2 µg/mL before imaging.

This data was provided by YCharOS Inc., an open science company with the mission of characterizing commercially available antibody reagents for all human proteins. Abcam and YCharOS are working together to help address the reproducibility crisis by enabling the life science community to better evaluate commercially available antibodies.

All lanes:

Western blot - Anti-alpha 1 Antitrypsin antibody [EPR17087-50] (ab207303) at 1/5000 dilution

Lane 1:

Wild-type HepG2 lysate at 30 µg

Lane 2:

SERPINA1 knock-out HepG2 lysate at 30 µg

false

Western blot - Anti-alpha 1 Antitrypsin antibody [EPR17087-50] (AB207303)
  • WB

Supplier Data

Western blot - Anti-alpha 1 Antitrypsin antibody [EPR17087-50] (AB207303)

Blocking/Dilution buffer : 5% NFDM/TBST.

All lanes:

Western blot - Anti-alpha 1 Antitrypsin antibody [EPR17087-50] (ab207303) at 1/5000 dilution

All lanes:

Human fetal liver lysate at 10 µg

Secondary

All lanes:

Goat Anti-Rabbit IgG Peroxidase Conjugate, specific to the non-reduced form of IgG. at 1/10000 dilution

Predicted band size: 46 kDa

Observed band size: 51 kDa,55 kDa

false

Exposure time: 1min

Western blot - Anti-alpha 1 Antitrypsin antibody [EPR17087-50] (AB207303)
  • WB

Supplier Data

Western blot - Anti-alpha 1 Antitrypsin antibody [EPR17087-50] (AB207303)

Blocking/Dilution buffer : 5% NFDM/TBST.

All lanes:

Western blot - Anti-alpha 1 Antitrypsin antibody [EPR17087-50] (ab207303) at 1/5000 dilution

Lane 1:

Human liver lysate at 20 µg

Lane 2:

Human heart lysate at 20 µg

Lane 3:

Human kidney lysate at 20 µg

Lane 4:

Human spleen lysate at 20 µg

Secondary

All lanes:

Goat Anti-Rabbit IgG Peroxidase Conjugate, specific to the non-reduced form of IgG at 1/10000 dilution

Predicted band size: 46 kDa

Observed band size: 51 kDa,55 kDa

false

Exposure time: 1min

Western blot - Anti-alpha 1 Antitrypsin antibody [EPR17087-50] (AB207303)
  • WB

CiteAb

Western blot - Anti-alpha 1 Antitrypsin antibody [EPR17087-50] (AB207303)

alpha 1 Antitrypsin western blot using anti-alpha 1 Antitrypsin antibody [EPR17087-50] ab207303. Publication image and figure legend from Sarabhai, T., Peter, C., et al., 2017, PLoS One, PubMed 28493974.

ab207303 was used in this publication in western blot. This may not be the same as the application(s) guaranteed by Abcam. For a full list of applications guaranteed by Abcam for ab207303 please see the product overview.

Serum from trauma patients induces intrinsic apoptosis resistance by up-regulating AAT expression in neutrophils.A. Levels of AAT were quantified in the serum isolated from healthy volunteers (n = 6) and major trauma patients (n = 13) at days 1–2, days 5–6 and days 10–11 after admission by Elisa. *p<0.05; **p<0.01 (Kruskal-Wallis test with Dunns post hoc test) B. Additionally, AAT gene expression levels were quantified in neutrophils isolated from healthy volunteers and trauma patients by Real time PCR. Gene expression was normalized to that of 18S RNA. Expression levels are reflected as fold-change of expression relative to control levels (healthy volunteers). No significant differences were found. C. Neutrophils from healthy donors (2.5 × 106/ml) were cultured in medium containing FCS (1%) or pooled patient serum (1%) and treated with STS (0.2 μM). After 14 h, 3 μg/ml Brefeldin A was added to the cultures and cells were further cultured for additional 4 h. AAT gene expression was quantified by Real time PCR. Values were normalized to 18S RNA expression. Results of seven independent experiments are depicted. No statistical differences could be detected (one-way ANOVA with Newman keuls post-hoc test). D. AAT protein expression was analyzed in neutrophils after 18 h of culture by western blot analysis. Relative expression was quantified vs. GAPDH expression. One representative blot of five independent experiments is depicted. **p<0.01 (one-way ANOVA with Newman keuls post-hoc test). E. Neutrophils from healthy donors (2.5 × 106/ml) were cultured in medium containing FCS (1%) or pooled patient serum (1%) overnight. AAT levels in culture supernatants were quantified by Elisa at 0 h as well as after 18 h. Results of three independent experiments are depicted. ***p<0.001; n.s. = not significant (one-way ANOVA with Newman keuls post-hoc test).

false

  • Carrier free

    Anti-alpha 1 Antitrypsin antibody [EPR17087-50] - BSA and Azide free

  • HRP

    HRP Anti-alpha 1 Antitrypsin antibody [EPR17087-50]

Key facts

Host species

Rabbit

Clonality

Monoclonal

Clone number

EPR17087-50

Isotype

IgG

Carrier free

No

Reacts with

Human

Applications

WB, ICC/IF, IP, IHC-P

applications

Immunogen

The exact immunogen used to generate this antibody is proprietary information.

Reactivity data

{ "title": "Reactivity Data", "filters": { "stats": ["", "Species", "Dilution Info", "Notes"], "tabs": { "all-applications": {"fullname" : "All Applications", "shortname": "All Applications"}, "IP" : {"fullname" : "Immunoprecipitation", "shortname":"IP"}, "WB" : {"fullname" : "Western blot", "shortname":"WB"}, "ICCIF" : {"fullname" : "Immunocytochemistry/ Immunofluorescence", "shortname":"ICC/IF"}, "IHCP" : {"fullname" : "Immunohistochemistry (Formalin/PFA-fixed paraffin-embedded sections)", "shortname":"IHC-P"} }, "product-promise": { "all": "all", "testedAndGuaranteed": "tested", "guaranteed": "expected", "predicted": "predicted", "notRecommended": "not-recommended" } }, "values": { "Human": { "IP-species-checked": "testedAndGuaranteed", "IP-species-dilution-info": "1/20", "IP-species-notes": "<p></p>", "WB-species-checked": "testedAndGuaranteed", "WB-species-dilution-info": "1/5000", "WB-species-notes": "<p></p>", "ICCIF-species-checked": "testedAndGuaranteed", "ICCIF-species-dilution-info": "1/50", "ICCIF-species-notes": "<p></p>", "IHCP-species-checked": "testedAndGuaranteed", "IHCP-species-dilution-info": "1/400", "IHCP-species-notes": "<p></p> Perform heat-mediated antigen retrieval with Tris/EDTA buffer pH 9.0 before commencing with IHC staining protocol." } } }

Product details

What is this antibody validated in?
Anti-alpha 1 Antitrypsin antibody [EPR17087-50] (ab207303) is a rabbit recombinant monoclonal antibody and is validated for use in Western Blot (WB), Immunoprecipitation (IP), Immunohistochemistry (IHC-P), Immunocytochemistry/immunofluorescence (ICC/IF) in Human samples.

What is the molecular weight of alpha 1 Antitrypsin?
Anti-alpha 1 Antitrypsin [EPR17087-50] (ab207303) specifically detects a band for alpha 1 Antitrypsin (UniProt: P01009) at a molecular weight of 46kDa.

Trusted by the scientific community
Anti-alpha 1 Antitrypsin [EPR17087-50] (ab207303) was first used in a scientific publication in 2016 and has been cited over 10 times in peer-reviewed journals.

Trial sizes available!
Test your antibody or perform pre-screening before committing to a larger quantity. Sold in 10µl. Discover our selection of trial-size antibodies.

Other related products
We have a range of other formats of antibody clone [EPR17087-50] also available for your convenience: ab207303, Carrier free - ab240375, HRP - ab309499

Patented technology
Our RabMAb® technology is a patented hybridoma-based technology for making rabbit monoclonal antibodies. For details on our patents, please refer to RabMAb® patents.

What are the advantages of a recombinant monoclonal antibody?
This product is a recombinant monoclonal antibody, which offers several advantages including:

  • - High batch-to-batch consistency and reproducibility
  • - Improved sensitivity and specificity
  • - Long-term security of supply
  • - Animal-free batch production

For more information, read more on recombinant antibodies.

Properties and storage information

Form
Liquid
Purification technique
Affinity purification Protein A
Storage buffer
pH: 7.2 - 7.4 Preservative: 0.01% Sodium azide Constituents: PBS, 40% Glycerol (glycerin, glycerine), 0.05% BSA
Shipped at conditions
Blue Ice
Appropriate short-term storage duration
1-2 weeks
Appropriate short-term storage conditions
+4°C
Appropriate long-term storage conditions
-20°C
Aliquoting information
Upon delivery aliquot
Storage information
Avoid freeze / thaw cycle

Supplementary information

This supplementary information is collated from multiple sources and compiled automatically.

Alpha 1 Antitrypsin also known as A1AT or alpha-1 proteinase inhibitor is a serine protease inhibitor with a molecular mass of about 52 kDa. This protein mainly expresses in the liver and found in high concentrations in the blood plasma. A1AT protects tissues from enzymes of inflammatory cells especially neutrophil elastase. Its expression level is regulated by the liver making it a significant player in maintaining tissue integrity.
Biological function summary

A1AT regulates protease activity by forming complexes with target enzymes. It specifically inhibits neutrophil elastase a powerful enzyme capable of degrading elastin an important component of connective tissues. A1AT prevents excessive tissue damage during inflammation by maintaining a balance in protease activity within connective tissues across various organs.

Pathways

Alpha 1 Antitrypsin functions within the proteolytic pathways involved in inflammatory response and tissue remodeling. A1AT is closely related to neutrophil elastase in these processes. It interacts with other protease inhibitors like alpha 2-macroglobulin reinforcing its protective role against enzymatic activity that can lead to tissue destruction under pathophysiological conditions.

Alpha 1 Antitrypsin deficiency is a genetic condition that can cause chronic obstructive pulmonary disease (COPD) and liver cirrhosis. Deficient A1AT levels result in unregulated elastase activity leading to lung tissue damage and impaired liver function. Other proteins such as MMP-9 collaborate with elastase in exacerbating tissue damage illustrating how insufficient A1AT can significantly contribute to disease development.

Product protocols

For this product, it's our understanding that no specific protocols are required. You can visit:

Target data

Inhibitor of serine proteases. Its primary target is elastase, but it also has a moderate affinity for plasmin and thrombin. Irreversibly inhibits trypsin, chymotrypsin and plasminogen activator. The aberrant form inhibits insulin-induced NO synthesis in platelets, decreases coagulation time and has proteolytic activity against insulin and plasmin.. Short peptide from AAT. Reversible chymotrypsin inhibitor. It also inhibits elastase, but not trypsin. Its major physiological function is the protection of the lower respiratory tract against proteolytic destruction by human leukocyte elastase (HLE).
See full target information SERPINA1

Publications (16)

Recent publications for all applications. Explore the full list and refine your search

Communications medicine 5:382 PubMed40890430

2025

Proteomics-based monitoring of heatstroke recovery identifies molecular signatures of organ stress.

Applications

Unspecified application

Species

Unspecified reactive species

Jiayi Jin,Sing Ying Wong,Kenta Kondo,Toshiaki Iba,Nobuhiro Hayashi

International journal of molecular sciences 24: PubMed37511325

2023

Serpin Family A Member 1 Is Prognostic and Involved in Immunological Regulation in Human Cancers.

Applications

Unspecified application

Species

Unspecified reactive species

Xingwang Kuai,Jiaying Lv,Junyu Zhang,Manyu Xu,Juling Ji

Frontiers in immunology 13:1023553 PubMed36703990

2023

Alpha-1 antitrypsin limits neutrophil extracellular trap disruption of airway epithelial barrier function.

Applications

Unspecified application

Species

Unspecified reactive species

K M Hudock,M S Collins,M A Imbrogno,E L Kramer,J J Brewington,A Ziady,N Zhang,J Snowball,Y Xu,B C Carey,Y Horio,S M O'Grady,E J Kopras,J Meeker,H Morgan,A J Ostmann,E Skala,M E Siefert,C L Na,C R Davidson,K Gollomp,N Mangalmurti,B C Trapnell,J P Clancy

Genes 14: PubMed36833193

2023

, Adult-Onset Immunodeficiency, and Generalized Pustular Psoriasis.

Applications

Unspecified application

Species

Unspecified reactive species

Piranit Kantaputra,Teerada Daroontum,Mati Chuamanochan,Suteeraporn Chaowattanapanit,Salin Kiratikanon,Charoen Choonhakarn,Worrachet Intachai,Bjorn Olsen,Sissades Tongsima,Chumpol Ngamphiw,Patrizia Pontisso,Timothy C Cox,Puey Ounjai

eLife 11: PubMed36548025

2022

Cellular features of localized microenvironments in human meniscal degeneration: a single-cell transcriptomic study.

Applications

Unspecified application

Species

Unspecified reactive species

Weili Fu,Sijie Chen,Runze Yang,Chen Li,Haoxiang Gao,Jian Li,Xuegong Zhang

Open medicine (Warsaw, Poland) 17:1645-1654 PubMed36349191

2022

Serpin family A member 1 is an oncogene in glioma and its translation is enhanced by NAD(P)H quinone dehydrogenase 1 through RNA-binding activity.

Applications

Unspecified application

Species

Unspecified reactive species

Wenjun Liu,Min Du,Hongping Wan,Hao Yang,Xiaorong Deng,Yu Chen,Qian Zhang

Experimental biology and medicine (Maywood, N.J.) 247:972-981 PubMed35470702

2022

New and effective method to develop primary hepatocytes from liver cancer patients.

Applications

Unspecified application

Species

Unspecified reactive species

Jia-Yan Li,Li-Li Wang,Jing Fan,Du-Xian Liu,Jian-Bo Han,Yu-Feng Zhang,Dan-Dan Yin,Yong-Xiang Yi

Molecular cell 81:5052-5065.e6 PubMed34847358

2021

HRD1-mediated METTL14 degradation regulates mA mRNA modification to suppress ER proteotoxic liver disease.

Applications

Unspecified application

Species

Unspecified reactive species

Juncheng Wei,Bryan T Harada,Dan Lu,Ruihua Ma,Beixue Gao,Yanan Xu,Elena Montauti,Nikita Mani,Shuvam M Chaudhuri,Shana Gregory,Samuel E Weinberg,Donna D Zhang,Richard Green,Chuan He,Deyu Fang

FASEB journal : official publication of the Federation of American Societies for Experimental Biology 35:e21800 PubMed34324733

2021

Cullin 2-RBX1 E3 ligase and USP2 regulate antithrombin ubiquitination and stability.

Applications

Unspecified application

Species

Unspecified reactive species

Dacai Xu,Jiawen Wu,Jinghong Chen,Liling Jiang,Juan Chen,Wenhao Bao,Xin Chen,Qianqian Yang,Xiaolan Zhang,Leyi Yao,Huabo Su,Jinbao Liu

Oncology letters 20:278 PubMed33014156

2020

Serpin peptidase inhibitor clade A member 1-overexpression in gastric cancer promotes tumor progression and is associated with poor prognosis.

Applications

Unspecified application

Species

Unspecified reactive species

Longchang Jiang,Liangbiao George Hu
View all publications

Product promise

We are committed to supporting your work with high-quality reagents, and we're here for you every step of the way. In the unlikely event that one of our products does not perform as expected, you're protected by our Product Promise.
For full details, please see our Terms & Conditions

Please note: All products are 'FOR RESEARCH USE ONLY. NOT FOR USE IN DIAGNOSTIC OR THERAPEUTIC PROCEDURES'.

For licensing inquiries, please contact partnerships@abcam.com