JavaScript is disabled in your browser. Please enable JavaScript to view this website.
AB290648

Anti-alpha 1 Fetoprotein antibody [EPR26548-19] - BSA and Azide free

Be the first to review this product! Submit a review

|

(0 Publication)

Rabbit Recombinant Monoclonal alpha 1 Fetoprotein antibody. Carrier free. Suitable for WB, IHC-P and reacts with Mouse, Rat samples.

View Alternative Names

Alpha-fetoprotein, Alpha-1-fetoprotein, Alpha-fetoglobulin, Afp

7 Images
Immunohistochemistry (Formalin/PFA-fixed paraffin-embedded sections) - Anti-alpha 1 Fetoprotein antibody [EPR26548-19] - BSA and Azide free (AB290648)
  • IHC-P

Supplier Data

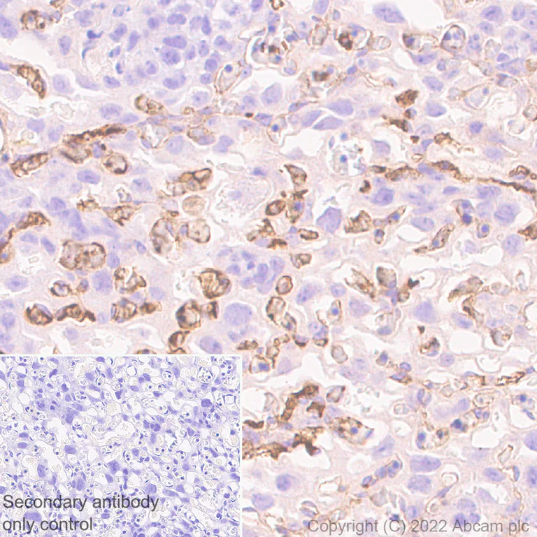
Immunohistochemistry (Formalin/PFA-fixed paraffin-embedded sections) - Anti-alpha 1 Fetoprotein antibody [EPR26548-19] - BSA and Azide free (AB290648)

This data was developed using ab290637, the same antibody clone in a different buffer formulation.

Immunohistochemical analysis of paraffin-embedded rat placenta tissue labelling alpha 1 Fetoprotein with ab290637 at 1/1000 (0.534 μg/ml) followed by a ready to use Rabbit specific IHC polymer detection kit HRP/DAB (ab209101). Positive staining was found on rat placenta. The section was incubated with ab290637 for 30 mins at room temperature.The immunostaining was performed on a Leica Biosystems BOND® RX instrument. Counterstained with Hematoxylin.

Secondary antibody only control : Secondary antibody is a ready to use Rabbit specific IHC polymer detection kit HRP/DAB (ab209101).

Heat mediated antigen retrieval with Tris-EDTA buffer (pH 9.0, epitope retrieval solution2) for 20 mins

Immunohistochemistry (Formalin/PFA-fixed paraffin-embedded sections) - Anti-alpha 1 Fetoprotein antibody [EPR26548-19] - BSA and Azide free (AB290648)
  • IHC-P

Supplier Data

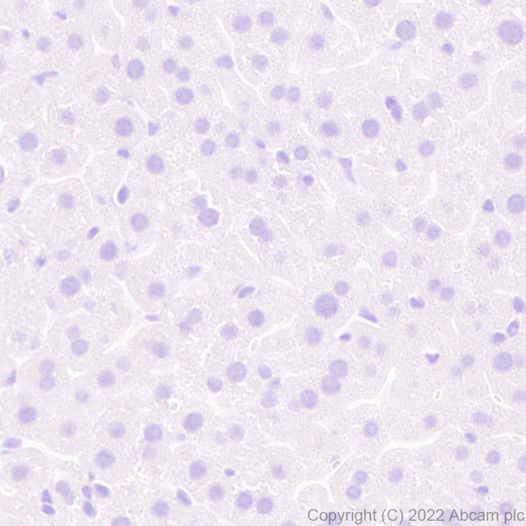
Immunohistochemistry (Formalin/PFA-fixed paraffin-embedded sections) - Anti-alpha 1 Fetoprotein antibody [EPR26548-19] - BSA and Azide free (AB290648)

This data was developed using ab290637, the same antibody clone in a different buffer formulation.

Immunohistochemical analysis of paraffin-embedded rat liver tissue labelling alpha 1 Fetoprotein with ab290637 at 1/1000 (0.534 μg/ml) followed by a ready to use Rabbit specific IHC polymer detection kit HRP/DAB (ab209101). Negative control : No staining on adult rat liver. The section was incubated with ab290637 for 30 mins at room temperature.The immunostaining was performed on a Leica Biosystems BOND® RX instrument. Counterstained with Hematoxylin.

Secondary antibody only control : Secondary antibody is a ready to use Rabbit specific IHC polymer detection kit HRP/DAB (ab209101).

Heat mediated antigen retrieval with Tris-EDTA buffer (pH 9.0, epitope retrieval solution2) for 20 mins

Immunohistochemistry (Formalin/PFA-fixed paraffin-embedded sections) - Anti-alpha 1 Fetoprotein antibody [EPR26548-19] - BSA and Azide free (AB290648)
  • IHC-P

Supplier Data

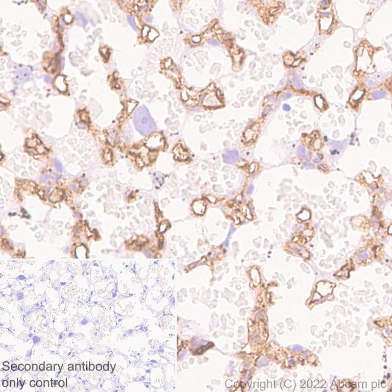
Immunohistochemistry (Formalin/PFA-fixed paraffin-embedded sections) - Anti-alpha 1 Fetoprotein antibody [EPR26548-19] - BSA and Azide free (AB290648)

This data was developed using ab290637, the same antibody clone in a different buffer formulation.

Immunohistochemical analysis of paraffin-embedded mouse liver E16.5 tissue labelling alpha 1 Fetoprotein with ab290637 at 1/1000 (0.534 μg/ml) followed by a ready to use Rabbit specific IHC polymer detection kit HRP/DAB (ab209101). Positive staining on mouse fetal liver (E16.5) (PMID : 15005571). The section was incubated with ab290637 for 30 mins at room temperature.The immunostaining was performed on a Leica Biosystems BOND® RX instrument. Counterstained with Hematoxylin.

Secondary antibody only control : Secondary antibody is a ready to use Rabbit specific IHC polymer detection kit HRP/DAB (ab209101).

Heat mediated antigen retrieval with Tris-EDTA buffer (pH 9.0, epitope retrieval solution2) for 20 mins

Immunohistochemistry (Formalin/PFA-fixed paraffin-embedded sections) - Anti-alpha 1 Fetoprotein antibody [EPR26548-19] - BSA and Azide free (AB290648)
  • IHC-P

Supplier Data

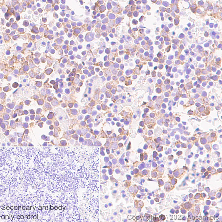
Immunohistochemistry (Formalin/PFA-fixed paraffin-embedded sections) - Anti-alpha 1 Fetoprotein antibody [EPR26548-19] - BSA and Azide free (AB290648)

This data was developed using ab290637, the same antibody clone in a different buffer formulation.

Immunohistochemical analysis of paraffin-embedded mouse liver tissue labelling alpha 1 Fetoprotein with ab290637 at 1/1000 (0.534 μg/ml) followed by a ready to use Rabbit specific IHC polymer detection kit HRP/DAB (ab209101). Negative control : No staining on adult mouse liver. The section was incubated with ab290637 for 30 mins at room temperature.The immunostaining was performed on a Leica Biosystems BOND® RX instrument. Counterstained with Hematoxylin.

Secondary antibody only control : Secondary antibody is a ready to use Rabbit specific IHC polymer detection kit HRP/DAB (ab209101).

Heat mediated antigen retrieval with Tris-EDTA buffer (pH 9.0, epitope retrieval solution2) for 20 mins

Immunohistochemistry (Formalin/PFA-fixed paraffin-embedded sections) - Anti-alpha 1 Fetoprotein antibody [EPR26548-19] - BSA and Azide free (AB290648)
  • IHC-P

Supplier Data

Immunohistochemistry (Formalin/PFA-fixed paraffin-embedded sections) - Anti-alpha 1 Fetoprotein antibody [EPR26548-19] - BSA and Azide free (AB290648)

This data was developed using ab290637, the same antibody clone in a different buffer formulation.

Immunohistochemical analysis of paraffin-embedded mouse placenta tissue labelling alpha 1 Fetoprotein with ab290637 at 1/1000 (0.534 μg/ml) followed by a ready to use Rabbit specific IHC polymer detection kit HRP/DAB (ab209101). Positive staining was found on mouse placenta. The section was incubated with ab290637 for 30 mins at room temperature.The immunostaining was performed on a Leica Biosystems BOND® RX instrument. Counterstained with Hematoxylin.

Secondary antibody only control : Secondary antibody is a ready to use Rabbit specific IHC polymer detection kit HRP/DAB (ab209101).

Heat mediated antigen retrieval with Tris-EDTA buffer (pH 9.0, epitope retrieval solution2) for 20 mins

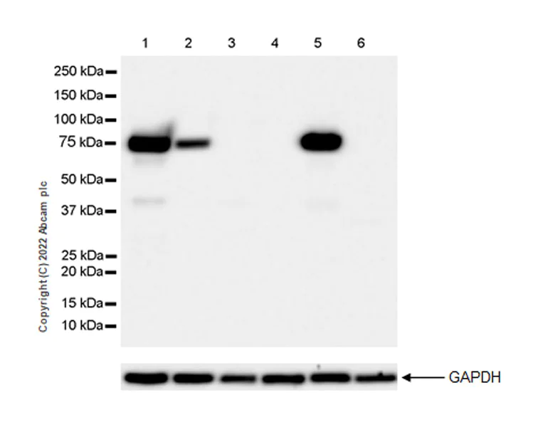
Western blot - Anti-alpha 1 Fetoprotein antibody [EPR26548-19] - BSA and Azide free (AB290648)
  • WB

Supplier Data

Western blot - Anti-alpha 1 Fetoprotein antibody [EPR26548-19] - BSA and Azide free (AB290648)

This data was developed using ab290637, the same antibody clone in different buffer formulation.

Blocking and dilution buffer and concentration was 5% NFDM/TBST.

Negative control : liver, brain(PMID : 16708394, PMID : 9891062).

All lanes:

Western blot - Anti-alpha 1 Fetoprotein antibody [EPR26548-19] (<a href='/en-us/products/primary-antibodies/alpha-1-fetoprotein-antibody-epr26548-19-ab290637'>ab290637</a>) at 1/1000 dilution

Lane 1:

Mouse E14 embryo tissue lysate at 20 µg

Lane 2:

Mouse placenta tissue lysate at 20 µg

Lane 3:

Mouse liver tissue lysate at 20 µg

Lane 4:

Mouse brain tissue lysate at 20 µg

Lane 5:

Rat placenta tissue lysate at 20 µg

Lane 6:

Rat liver tissue lysate at 20 µg

Secondary

All lanes:

Western blot - Goat Anti-Rabbit IgG H&L (HRP) (<a href='/en-us/products/secondary-antibodies/goat-rabbit-igg-h-l-hrp-ab97051'>ab97051</a>) at 1/100000 dilution

Predicted band size: 68 kDa

Observed band size: 70 kDa

false

Exposure time: 8s

Western blot - Anti-alpha 1 Fetoprotein antibody [EPR26548-19] - BSA and Azide free (AB290648)
  • WB

Unknown

Western blot - Anti-alpha 1 Fetoprotein antibody [EPR26548-19] - BSA and Azide free (AB290648)

This data was developed using ab290637, the same antibody clone in different buffer formulation.

Blocking and dilution buffer and concentration was 5% NFDM/TBST.

All lanes:

Western blot - Anti-alpha 1 Fetoprotein antibody [EPR26548-19] (<a href='/en-us/products/primary-antibodies/alpha-1-fetoprotein-antibody-epr26548-19-ab290637'>ab290637</a>) at 1000 Cells

Lane 1:

Untreated Hepa1-6 (mouse hepatoma epithelial cell) whole cell lysate at 20 µg

Lane 2:

Hepa1-6 treated with 300ng/ml Brefeldin A for 24h whole cell lysate at 20 µg

Secondary

All lanes:

Western blot - Goat Anti-Rabbit IgG H&L (HRP) (<a href='/en-us/products/secondary-antibodies/goat-rabbit-igg-h-l-hrp-ab97051'>ab97051</a>) at 1/100000 dilution

Predicted band size: 68 kDa

Observed band size: 70 kDa

false

Exposure time: 37s

Key facts

Host species

Rabbit

Clonality

Monoclonal

Clone number

EPR26548-19

Isotype

IgG

Carrier free

Yes

Reacts with

Rat, Mouse

Applications

WB, IHC-P

applications

Immunogen

The exact immunogen used to generate this antibody is proprietary information.

Reactivity data

{ "title": "Reactivity Data", "filters": { "stats": ["", "Species", "Dilution Info", "Notes"], "tabs": { "all-applications": {"fullname" : "All Applications", "shortname": "All Applications"}, "ICCIF" : {"fullname" : "Immunocytochemistry/ Immunofluorescence", "shortname":"ICC/IF"}, "IP" : {"fullname" : "Immunoprecipitation", "shortname":"IP"}, "WB" : {"fullname" : "Western blot", "shortname":"WB"}, "IHCP" : {"fullname" : "Immunohistochemistry (Formalin/PFA-fixed paraffin-embedded sections)", "shortname":"IHC-P"}, "FlowCytIntra" : {"fullname" : "Flow Cytometry (Intracellular)", "shortname":"Flow Cyt (Intra)"} }, "product-promise": { "all": "all", "testedAndGuaranteed": "tested", "guaranteed": "expected", "predicted": "predicted", "notRecommended": "not-recommended" } }, "values": { "Human": { "ICCIF-species-checked": "notRecommended", "ICCIF-species-dilution-info": "", "ICCIF-species-notes": "<p></p>", "IP-species-checked": "notRecommended", "IP-species-dilution-info": "", "IP-species-notes": "", "WB-species-checked": "notRecommended", "WB-species-dilution-info": "", "WB-species-notes": "<p></p>", "IHCP-species-checked": "notRecommended", "IHCP-species-dilution-info": "", "IHCP-species-notes": "<p></p>", "FlowCytIntra-species-checked": "notRecommended", "FlowCytIntra-species-dilution-info": "", "FlowCytIntra-species-notes": "<p></p>" }, "Mouse": { "ICCIF-species-checked": "notRecommended", "ICCIF-species-dilution-info": "", "ICCIF-species-notes": "<p></p>", "IP-species-checked": "notRecommended", "IP-species-dilution-info": "", "IP-species-notes": "<p></p>", "WB-species-checked": "testedAndGuaranteed", "WB-species-dilution-info": "", "WB-species-notes": "<p></p>", "IHCP-species-checked": "testedAndGuaranteed", "IHCP-species-dilution-info": "", "IHCP-species-notes": "<p></p>", "FlowCytIntra-species-checked": "notRecommended", "FlowCytIntra-species-dilution-info": "", "FlowCytIntra-species-notes": "<p></p>" }, "Rat": { "ICCIF-species-checked": "notRecommended", "ICCIF-species-dilution-info": "", "ICCIF-species-notes": "", "IP-species-checked": "notRecommended", "IP-species-dilution-info": "", "IP-species-notes": "", "WB-species-checked": "testedAndGuaranteed", "WB-species-dilution-info": "", "WB-species-notes": "<p></p>", "IHCP-species-checked": "testedAndGuaranteed", "IHCP-species-dilution-info": "", "IHCP-species-notes": "<p></p>", "FlowCytIntra-species-checked": "notRecommended", "FlowCytIntra-species-dilution-info": "", "FlowCytIntra-species-notes": "" } } }

Product details

ab290648 is a carrier free version of ab290637.

Patented technology
Our RabMAb® technology is a patented hybridoma-based technology for making rabbit monoclonal antibodies. For details on our patents, please refer to RabMAb® patents.

What are the advantages of a recombinant monoclonal antibody?
This product is a recombinant monoclonal antibody, which offers several advantages including:

  • - High batch-to-batch consistency and reproducibility
  • - Improved sensitivity and specificity
  • - Long-term security of supply
  • - Animal-free batch production

For more information, read more on recombinant antibodies.

Conjugation ready
Our carrier-free antibodies are typically supplied in a PBS-only formulation, purified and free of BSA, sodium azide and glycerol. This conjugation-ready format is designed for use with fluorochromes, metal isotopes, oligonucleotides, and enzymes, which makes them ideal for antibody labelling, functional and cell-based assays, flow-based assays (e.g. mass cytometry) and Multiplex Imaging applications.

Use our conjugation kits for antibody conjugates that are ready-to-use in as little as 20 minutes with 1 minute hands-on-time and 100% antibody recovery: available for fluorescent dyes, HRP, biotin and gold.

Properties and storage information

Form
Liquid
Purification technique
Affinity purification Protein A
Storage buffer
pH: 7.2 - 7.4 Constituents: PBS
Shipped at conditions
Blue Ice
Appropriate short-term storage conditions
+4°C
Appropriate long-term storage conditions
+4°C

Supplementary information

This supplementary information is collated from multiple sources and compiled automatically.

Alpha-fetoprotein also known as alpha 1-fetoprotein or AFP is a glycoprotein composed of a single polypeptide chain with a molecular mass of approximately 69 kDa. AFP is primarily expressed in the fetal liver yolk sac and gastrointestinal tract during embryonic development. In adults the expression of AFP is limited and occurs mainly in the liver. The protein belongs to the albuminoid gene family and shares structural similarity with serum albumin contributing to its role in fetal serum transport.
Biological function summary

Alpha-fetoprotein functions as a fetal plasma protein with roles similar to serum albumin including the binding and transport of ligands such as bilirubin and fatty acids. It does not form part of any larger protein complex but is significant in modulating fetal immune tolerance. In the fetal environment AFP helps protect cells from maternal immune attacks by binding to estrogens and other growth-modulating factors. Its function during pregnancy is critical for maintaining homeostasis and ensuring the fetus's viability.

Pathways

Alpha 1-fetoprotein plays a role in several important biological pathways related to cellular growth and immune response modulation. One such pathway involves regulation of cell proliferation and differentiation in the developing liver. AFP interacts with cellular receptors that influence these processes. Additionally it plays a part in immune pathways interacting with elements that control immune overlooking to fetal antigens hence being linked to both hepatic and immune system proteins like albumin and estrogen receptors.

High levels of alpha-fetoprotein are linked to hepatocellular carcinoma and germ cell tumors such as yolk sac tumor. AFP serves as a tumor marker in these conditions aiding in both diagnosis and monitoring treatment response. In liver cancer AFP levels often correlate with tumor burden while in germ cell tumors it connects to proteins like beta-human chorionic gonadotropin (beta-hCG). Both markers are used together in clinical settings to provide insights into tumor progression and therapeutic efficacy.

Product protocols

For this product, it's our understanding that no specific protocols are required. You can visit:

Target data

Binds estrogens, fatty acids and metals.
See full target information Afp

Product promise

We are committed to supporting your work with high-quality reagents, and we're here for you every step of the way. In the unlikely event that one of our products does not perform as expected, you're protected by our Product Promise.
For full details, please see our Terms & Conditions

Please note: All products are 'FOR RESEARCH USE ONLY. NOT FOR USE IN DIAGNOSTIC OR THERAPEUTIC PROCEDURES'.

For licensing inquiries, please contact partnerships@abcam.com