JavaScript is disabled in your browser. Please enable JavaScript to view this website.
AB169552

Anti-alpha 1 Fetoprotein antibody [EPR9309]

Be the first to review this product! Submit a review

|

(21 Publications)

Rabbit Recombinant Monoclonal alpha 1 Fetoprotein antibody. Suitable for IHC-P, IP, WB, ICC/IF, Flow Cyt (Intra) and reacts with Human samples. Cited in 21 publications.

View Alternative Names

HPAFP, AFP, Alpha-fetoprotein, Alpha-1-fetoprotein, Alpha-fetoglobulin

6 Images
Immunohistochemistry (Formalin/PFA-fixed paraffin-embedded sections) - Anti-alpha 1 Fetoprotein antibody [EPR9309] (AB169552)
  • IHC-P

Unknown

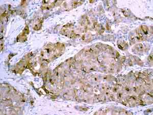
Immunohistochemistry (Formalin/PFA-fixed paraffin-embedded sections) - Anti-alpha 1 Fetoprotein antibody [EPR9309] (AB169552)

Immunohistochemical analysis of paraffin embedded human moderately differentiated hepatocellular carcinoma tissue labeling alpha 1 Fetoprotein with ab169552 antibody at 1/50.

Perform heat mediated antigen retrieval with citrate buffer pH 6 before commencing with IHC staining protocol.

Immunocytochemistry/ Immunofluorescence - Anti-alpha 1 Fetoprotein antibody [EPR9309] (AB169552)
  • ICC/IF

Unknown

Immunocytochemistry/ Immunofluorescence - Anti-alpha 1 Fetoprotein antibody [EPR9309] (AB169552)

Immunofluorescent analysis of HepG2 cells labeling alpha 1 Fetoprotein with ab169552 at 1/100.

Flow Cytometry (Intracellular) - Anti-alpha 1 Fetoprotein antibody [EPR9309] (AB169552)
  • Flow Cyt (Intra)

Unknown

Flow Cytometry (Intracellular) - Anti-alpha 1 Fetoprotein antibody [EPR9309] (AB169552)

Intracellular Flow Cytometry analysis of HepG2 (human hepatocellular carcinoma) cells labeling alpha 1 Fetoprotein with purified ab169552 at 1/50 dilution (red). The secondary antibody was Goat anti rabbit IgG (Alexa Fluor® 488) at 1/2000 dilution. A Rabbit monoclonal IgG (Black) was used as the isotype control and cells without incubation with primary antibody and secondary antibody (Blue) were used as unlabeled control.

Immunohistochemistry (Formalin/PFA-fixed paraffin-embedded sections) - Anti-alpha 1 Fetoprotein antibody [EPR9309] (AB169552)
  • IHC-P

Unknown

Immunohistochemistry (Formalin/PFA-fixed paraffin-embedded sections) - Anti-alpha 1 Fetoprotein antibody [EPR9309] (AB169552)

Immunohistochemical analysis of paraffin embedded Human poorly differentiated hepatocellular carcinoma tissue labeling alpha 1 Fetoprotein with ab169552 antibody at 1/50.

Perform heat mediated antigen retrieval with citrate buffer pH 6 before commencing with IHC staining protocol.

Immunoprecipitation - Anti-alpha 1 Fetoprotein antibody [EPR9309] (AB169552)
  • IP

Unknown

Immunoprecipitation - Anti-alpha 1 Fetoprotein antibody [EPR9309] (AB169552)

Immunoprecipitation. ab169552 at 1/1000 staining alpha 1 Fetoprotein in HepG2 cell lysate immunoprecipitated using ab169552 at 1/10. Predicted band size : 68 kDa.

All lanes:

Immunoprecipitation - Anti-alpha 1 Fetoprotein antibody [EPR9309] (ab169552)

Predicted band size: 68 kDa

false

Western blot - Anti-alpha 1 Fetoprotein antibody [EPR9309] (AB169552)
  • WB

Unknown

Western blot - Anti-alpha 1 Fetoprotein antibody [EPR9309] (AB169552)

All lanes:

Western blot - Anti-alpha 1 Fetoprotein antibody [EPR9309] (ab169552) at 1/1000 dilution

Lane 1:

Human plasma lysate at 10 µg

Lane 2:

HepG2 lysate at 10 µg

Lane 3:

Human fetal liver lysate at 10 µg

Secondary

All lanes:

HRP labelled goat anti-rabbit at 1/2000 dilution

Predicted band size: 68 kDa

Observed band size: 70 kDa

false

Key facts

Host species

Rabbit

Clonality

Monoclonal

Clone number

EPR9309

Isotype

IgG

Carrier free

No

Reacts with

Human

Applications

IHC-P, ICC/IF, Flow Cyt (Intra), WB, IP

applications

Immunogen

The exact immunogen used to generate this antibody is proprietary information.

Reactivity data

{ "title": "Reactivity Data", "filters": { "stats": ["", "Species", "Dilution Info", "Notes"], "tabs": { "all-applications": {"fullname" : "All Applications", "shortname": "All Applications"}, "IHCP" : {"fullname" : "Immunohistochemistry (Formalin/PFA-fixed paraffin-embedded sections)", "shortname":"IHC-P"}, "IP" : {"fullname" : "Immunoprecipitation", "shortname":"IP"}, "WB" : {"fullname" : "Western blot", "shortname":"WB"}, "ICCIF" : {"fullname" : "Immunocytochemistry/ Immunofluorescence", "shortname":"ICC/IF"}, "FlowCytIntra" : {"fullname" : "Flow Cytometry (Intracellular)", "shortname":"Flow Cyt (Intra)"} }, "product-promise": { "all": "all", "testedAndGuaranteed": "tested", "guaranteed": "expected", "predicted": "predicted", "notRecommended": "not-recommended" } }, "values": { "Human": { "IHCP-species-checked": "testedAndGuaranteed", "IHCP-species-dilution-info": "1/50 - 1/100", "IHCP-species-notes": "<p></p> Perform heat-mediated antigen retrieval with citrate buffer pH 6 before commencing with IHC staining protocol.", "IP-species-checked": "testedAndGuaranteed", "IP-species-dilution-info": "1/10 - 1/100", "IP-species-notes": "<p></p>", "WB-species-checked": "testedAndGuaranteed", "WB-species-dilution-info": "1/1000 - 1/10000", "WB-species-notes": "<p></p>", "ICCIF-species-checked": "testedAndGuaranteed", "ICCIF-species-dilution-info": "1/100 - 1/250", "ICCIF-species-notes": "<p></p>", "FlowCytIntra-species-checked": "testedAndGuaranteed", "FlowCytIntra-species-dilution-info": "1/50", "FlowCytIntra-species-notes": "<p><a href='/en-us/products/primary-antibodies/rabbit-igg-monoclonal-epr25a-isotype-control-ab172730'>ab172730</a>-Rabbit monoclonal IgG, is suitable for use as an isotype control with this antibody.</p>" } } }

Product details

Species reactivity
Mouse, Rat: We have preliminary internal testing data to indicate this antibody may not react with these species.
Please contact us for more information.

Patented technology
Our RabMAb® technology is a patented hybridoma-based technology for making rabbit monoclonal antibodies. For details on our patents, please refer to RabMAb® patents.

What are the advantages of a recombinant monoclonal antibody?
This product is a recombinant monoclonal antibody, which offers several advantages including:

  • - High batch-to-batch consistency and reproducibility
  • - Improved sensitivity and specificity
  • - Long-term security of supply
  • - Animal-free batch production

For more information, read more on recombinant antibodies.

Properties and storage information

Form
Liquid
Purification technique
Affinity purification Protein A
Storage buffer
pH: 7.2 - 7.4 Preservative: 0.01% Sodium azide Constituents: PBS, 40% Glycerol (glycerin, glycerine), 0.05% BSA
Shipped at conditions
Blue Ice
Appropriate short-term storage duration
1-2 weeks
Appropriate short-term storage conditions
+4°C
Appropriate long-term storage conditions
-20°C
Aliquoting information
Upon delivery aliquot

Supplementary information

This supplementary information is collated from multiple sources and compiled automatically.

Alpha-fetoprotein also known as alpha 1-fetoprotein or AFP is a glycoprotein composed of a single polypeptide chain with a molecular mass of approximately 69 kDa. AFP is primarily expressed in the fetal liver yolk sac and gastrointestinal tract during embryonic development. In adults the expression of AFP is limited and occurs mainly in the liver. The protein belongs to the albuminoid gene family and shares structural similarity with serum albumin contributing to its role in fetal serum transport.
Biological function summary

Alpha-fetoprotein functions as a fetal plasma protein with roles similar to serum albumin including the binding and transport of ligands such as bilirubin and fatty acids. It does not form part of any larger protein complex but is significant in modulating fetal immune tolerance. In the fetal environment AFP helps protect cells from maternal immune attacks by binding to estrogens and other growth-modulating factors. Its function during pregnancy is critical for maintaining homeostasis and ensuring the fetus's viability.

Pathways

Alpha 1-fetoprotein plays a role in several important biological pathways related to cellular growth and immune response modulation. One such pathway involves regulation of cell proliferation and differentiation in the developing liver. AFP interacts with cellular receptors that influence these processes. Additionally it plays a part in immune pathways interacting with elements that control immune overlooking to fetal antigens hence being linked to both hepatic and immune system proteins like albumin and estrogen receptors.

High levels of alpha-fetoprotein are linked to hepatocellular carcinoma and germ cell tumors such as yolk sac tumor. AFP serves as a tumor marker in these conditions aiding in both diagnosis and monitoring treatment response. In liver cancer AFP levels often correlate with tumor burden while in germ cell tumors it connects to proteins like beta-human chorionic gonadotropin (beta-hCG). Both markers are used together in clinical settings to provide insights into tumor progression and therapeutic efficacy.

Product protocols

For this product, it's our understanding that no specific protocols are required. You can visit:

Target data

Binds copper, nickel, and fatty acids as well as, and bilirubin less well than, serum albumin. Only a small percentage (less than 2%) of the human AFP shows estrogen-binding properties.
See full target information AFP

Publications (21)

Recent publications for all applications. Explore the full list and refine your search

American journal of cancer research 15:1689-1704 PubMed40371156

2025

Clinicopathological characteristics and prognostic outcomes of resectable hepatoid adenocarcinoma of the stomach: insights from a multicenter case-control study.

Applications

Unspecified application

Species

Unspecified reactive species

Zhi-Yi Xiang,Yu-Ying Hu,Qi Zheng,Wei-Ming Yu,Xing-Chen Liu,Ping Chen,Feng Wu,Jun-Hai Pan,Sheng-Qiang Ji,Li-Hu Gu

Nature communications 15:7875 PubMed39285180

2024

Targeted transcriptional downregulation of MYC using epigenomic controllers demonstrates antitumor activity in hepatocellular carcinoma models.

Applications

Unspecified application

Species

Unspecified reactive species

William Senapedis,Kayleigh M Gallagher,Elmer Figueroa,Jeremiah D Farelli,Robert Lyng,J Graeme Hodgson,Charles W O'Donnell,Joseph V Newman,Madison Pacaro,Stephen K Siecinski,Justin Chen,Thomas G McCauley

Nature communications 15:5117 PubMed38879551

2024

Chip collection of hepatocellular carcinoma based on O heterogeneity from patient tissue.

Applications

Unspecified application

Species

Unspecified reactive species

Sewoom Baek,Hyun-Su Ha,Jeong Su Park,Min Jeong Cho,Hye-Seon Kim,Seung Eun Yu,Seyong Chung,Chansik Kim,Jueun Kim,Ji Youn Lee,Yerin Lee,Hyunjae Kim,Yujin Nam,Sungwoo Cho,Kyubae Lee,Ja Kyung Yoon,Jin Sub Choi,Dai Hoon Han,Hak-Joon Sung

iScience 27:108912 PubMed38323006

2024

Schisandrin B promotes hepatic differentiation from human umbilical cord mesenchymal stem cells.

Applications

Unspecified application

Species

Unspecified reactive species

Meixian Jin,Xiao Yi,Xiaojuan Zhu,Wei Hu,Simin Wang,Qi Chen,Wanren Yang,Yang Li,Shao Li,Qing Peng,Mingxin Pan,Yi Gao,Shiyuan Xu,Ying Zhang,Shuqin Zhou

Stem cell research & therapy 14:314 PubMed37907977

2023

Extracellular matrix modulates the spatial hepatic features in hepatocyte-like cells derived from human embryonic stem cells.

Applications

Unspecified application

Species

Unspecified reactive species

Faiza Farhan,Manjari Trivedi,Priscilla Di Wu,Wei Cui

Journal of molecular cell biology 15: PubMed37204028

2023

Cellular gp96 upregulates AFP expression by blocking NR5A2 SUMOylation and ubiquitination in hepatocellular carcinoma.

Applications

Unspecified application

Species

Unspecified reactive species

Liyuan Qian,Zhentao Liang,Zihao Wang,Jiuru Wang,Xin Li,Jingmin Zhao,Zihai Li,Lizhao Chen,Yongai Liu,Ying Ju,Changfei Li,Songdong Meng

Cell reports 41:111775 PubMed36476855

2022

Human iPSC-hepatocyte modeling of alpha-1 antitrypsin heterozygosity reveals metabolic dysregulation and cellular heterogeneity.

Applications

Unspecified application

Species

Unspecified reactive species

Joseph E Kaserman,Rhiannon B Werder,Feiya Wang,Taylor Matte,Michelle I Higgins,Mark Dodge,Jonathan Lindstrom-Vautrin,Pushpinder Bawa,Anne Hinds,Esther Bullitt,Ignacio S Caballero,Xu Shi,Robert E Gerszten,Nicola Brunetti-Pierri,Marc Liesa,Carlos Villacorta-Martin,Anthony N Hollenberg,Darrell N Kotton,Andrew A Wilson

Scientific reports 12:15347 PubMed36096917

2022

Salivary orosomucoid 1 as a biomarker of hepatitis B associated hepatocellular carcinoma.

Applications

Unspecified application

Species

Unspecified reactive species

Jiaoxia He,Zhongling Zheng,Tingting Liu,Yupei Ao,Yixuan Yang,Huaidong Hu

EMBO reports 23:e54275 PubMed35437924

2022

Transforming primary human hepatocytes into hepatocellular carcinoma with genetically defined factors.

Applications

Unspecified application

Species

Unspecified reactive species

Zhiwu Jiang,Lin Cheng,Zhiping Wu,Linfu Zhou,Haitao Wang,Qilan Hong,Qiting Wu,Youguo Long,Yunlin Huang,Gaoqi Xu,Yao Yao,Zhaoyang Tang,Zhenfeng Zhang,Lili Yang,Wei Luo,Jie Yang,Likun Gong,Pentao Liu,Xinwen Chen,Shuzhong Cui,Qi Zhang,Yinxiong Li,Peng Li

Frontiers in pharmacology 12:658197 PubMed34776939

2021

Therapeutic Potential of CUDC-907 (Fimepinostat) for Hepatocarcinoma Treatment Revealed by Tumor Spheroids-Based Drug Screening.

Applications

Unspecified application

Species

Unspecified reactive species

Wei Liao,Wanren Yang,Jiecheng Xu,Zhengming Yan,Mingxin Pan,Xiaoping Xu,Shuqin Zhou,Yu Zhu,Jianqiang Lan,Min Zeng,Xu Han,Shao Li,Yang Li,Kangyan Liang,Yi Gao,Qing Peng
View all publications

Product promise

We are committed to supporting your work with high-quality reagents, and we're here for you every step of the way. In the unlikely event that one of our products does not perform as expected, you're protected by our Product Promise.
For full details, please see our Terms & Conditions

Please note: All products are 'FOR RESEARCH USE ONLY. NOT FOR USE IN DIAGNOSTIC OR THERAPEUTIC PROCEDURES'.

For licensing inquiries, please contact partnerships@abcam.com