JavaScript is disabled in your browser. Please enable JavaScript to view this website.
AB284388

Anti-alpha 1 Fetoprotein antibody [RM1011]

  • BOND RX™ Validated
  • 20ul selling size
  • RabMAb
  • Recombinant
  • What is this?

0

(1 Review)

|

(7 Publications)

Rabbit Recombinant Multiclonal alpha 1 Fetoprotein antibody. Suitable for ICC, IP, Flow Cyt, I-ELISA, WB, IHC-P and reacts with Mouse, Human, Rat, Recombinant fragment samples. Cited in 7 publications.

View Alternative Names

HPAFP, AFP, Alpha-fetoprotein, Alpha-1-fetoprotein, Alpha-fetoglobulin, Alpha-fetoprotein, Alpha-1-fetoprotein, Alpha-fetoglobulin, Afp

9 Images
Immunohistochemistry (Formalin/PFA-fixed paraffin-embedded sections) - Anti-alpha 1 Fetoprotein antibody [RM1011] (AB284388)
  • IHC-P

Supplier Data

Immunohistochemistry (Formalin/PFA-fixed paraffin-embedded sections) - Anti-alpha 1 Fetoprotein antibody [RM1011] (AB284388)

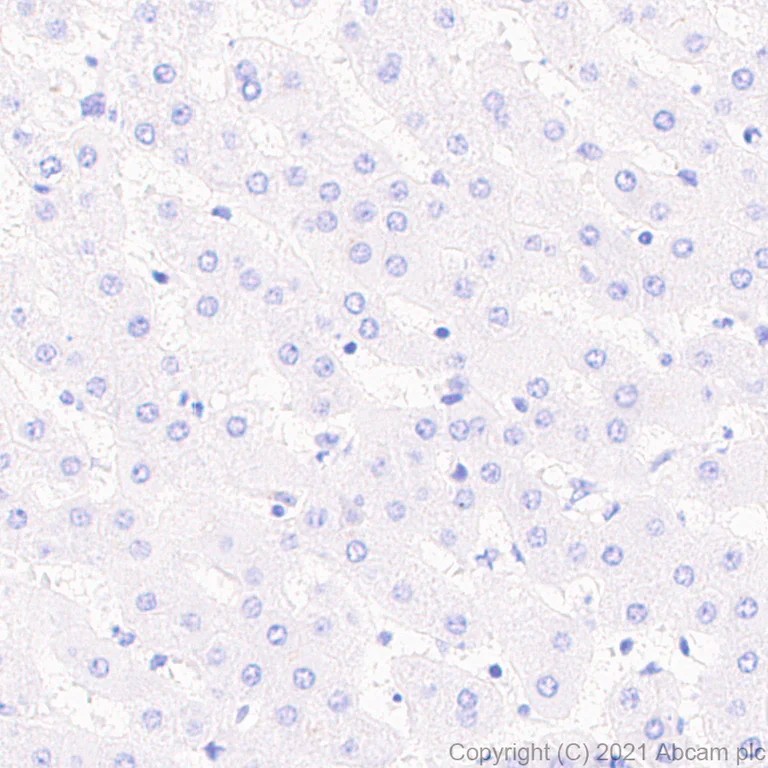
Negative control : No staining on human liver.

Immunohistochemical analysis of paraffin-embedded Human liver tissue labelling alpha 1 Fetoprotein with ab284388 at 1/2000 (0.231 μg/mL) followed by a ready to use LeicaDS9800 (Bond™ Polymer Refine Detection). The section was incubated with ab284388 for 30 mins at room temperature. The immunostaining was performed on a Leica Biosystems BOND® RX instrument Counterstained with Hematoxylin.

Secondary antibody only control : Secondary antibody is a ready to use LeicaDS9800 (Bond™ Polymer Refine Detection).

Heat mediated antigen retrieval with Tris-EDTA buffer (pH 9.0, epitope retrieval solution2) for 20 mins.

Immunohistochemistry (Formalin/PFA-fixed paraffin-embedded sections) - Anti-alpha 1 Fetoprotein antibody [RM1011] (AB284388)
  • IHC-P

Supplier Data

Immunohistochemistry (Formalin/PFA-fixed paraffin-embedded sections) - Anti-alpha 1 Fetoprotein antibody [RM1011] (AB284388)

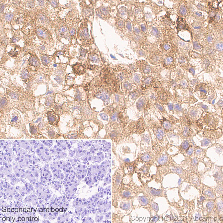
Immunohistochemical analysis of paraffin-embedded Human hepatic carcinoma tissue labelling alpha 1 Fetoprotein with ab284388 at 1/2000 (0.231 μg/mL) followed by a ready to use LeicaDS9800 (Bond™ Polymer Refine Detection). Positive staining on human hepatic carcinoma. The section was incubated with ab284388 for 30 mins at room temperature. The immunostaining was performed on a Leica Biosystems BOND® RX instrument Counterstained with Hematoxylin.

Secondary antibody only control : Secondary antibody is a ready to use LeicaDS9800 (Bond™ Polymer Refine Detection).

Heat mediated antigen retrieval with Tris-EDTA buffer (pH 9.0, epitope retrieval solution2) for 20 mins.

Immunocytochemistry - Anti-alpha 1 Fetoprotein antibody [RM1011] (AB284388)
  • ICC

Supplier Data

Immunocytochemistry - Anti-alpha 1 Fetoprotein antibody [RM1011] (AB284388)

This data was developed using ab284388, the same antibody clone in a different buffer formulation.

Immunofluorescent analysis of 4% Paraformaldehyde-fixed, 0.1% TritonX-100 permeabilized HepG2 cells labelling alpha 1 Fetoprotein with ab284388 at 1/50 dilution, followed by ab150077 Goat Anti-Rabbit IgG H&L (Alexa Fluor® 488) antibody at 1/1000 (2μg/mL) dilution (Green). ab195889 Anti-alpha Tubulin mouse monoclonal antibody - Microtubule Marker (Alexa Fluor® 594) was used to counterstain tubulin at 1/200 2.5μg/mL dilution (Red). The Nuclear counterstain was DAPI (Blue).

Confocal image showing cytoplasmic staining in HepG2 cells is observed.

Secondary antibody only control : Secondary antibody is ab150077 Goat Anti-Rabbit IgG H&L (Alexa Fluor® 488) at 1/1000 (2μg/mL) dilution.

Flow Cytometry - Anti-alpha 1 Fetoprotein antibody [RM1011] (AB284388)
  • Flow Cyt

Supplier Data

Flow Cytometry - Anti-alpha 1 Fetoprotein antibody [RM1011] (AB284388)

Flow cytometric analysis of 4% paraformaldehyde fixed 90% methanol permeabilized HepG2 (Human hepatocellular carcinoma epithelial cell) cells labelling alpha 1 Fetoprotein with ab284388 at 1/500 dilution Right (Red) compared with a Rabbit monoclonal IgG (ab172730) / Left isotype control. A Goat Anti-Rabbit IgG (Alexa Fluor® 488, ab150081) at 1/2000 dilution was used as the secondary antibody.

Immunoprecipitation - Anti-alpha 1 Fetoprotein antibody [RM1011] (AB284388)
  • IP

Supplier Data

Immunoprecipitation - Anti-alpha 1 Fetoprotein antibody [RM1011] (AB284388)

alpha 1 Fetoprotein was immunoprecipitated from 0.35 mg HepG2 (Human hepatocellular carcinoma epithelial cell) whole cell lysate 10ug with ab284388 at 1/30 dilution (2 μg in 0.35mg lysates). Western blot was performed on the immunoprecipitate using ab284388 at 1/1000 dilution. VeriBlot for IP Detection Reagent (HRP) (ab131366) was used at 1/5000 dilution.

Lane 1 : HepG2 (Human hepatocellular carcinoma epithelial cell) whole cell lysate 10ug

Lane 2 : ab284388 IP in HepG2 whole cell lysate

Lane 3 : Rabbit monoclonal IgG (ab172730) instead of ab284388 in HepG2 whole cell lysate

Blocking and dilution buffer and concentration : 5% NFDM/TBST.

Exposure time : 3 seconds

All lanes:

Immunoprecipitation - Anti-alpha 1 Fetoprotein antibody [RM1011] (ab284388)

Predicted band size: 68 kDa

Observed band size: 68 kDa

false

Immunocytochemistry - Anti-alpha 1 Fetoprotein antibody [RM1011] (AB284388)
  • ICC

Supplier Data

Immunocytochemistry - Anti-alpha 1 Fetoprotein antibody [RM1011] (AB284388)

Immunofluorescent analysis of 4% Paraformaldehyde-fixed, 0.1% TritonX-100 permeabilized Hepa1-6 cells labelling alpha 1 Fetoprotein with ab284388 at 1/50 dilution, followed by ab150081 Goat Anti-Rabbit IgG H&L (Alexa Fluor® 488) preadsorbed antibody at 1/1000 2μg/mL dilution (Green). ab195889 Anti-alpha Tubulin mouse monoclonal antibody - Microtubule Marker (Alexa Fluor® 594) was used to counterstain tubulin at 1/200 (2.5μg/mL) dilution (Red). The Nuclear counterstain was DAPI (Blue).

Confocal image showing increased cytoplasmic staining in Hepa1-6 cells treated with Brefeldin A (300 ng/ml) for 24 h is observed.

Secondary antibody only control : Secondary antibody is ab150081 Goat Anti-Rabbit IgG H&L (Alexa Fluor® 488) preadsorbed at 1/1000 (2μg/mL) dilution.

Flow Cytometry - Anti-alpha 1 Fetoprotein antibody [RM1011] (AB284388)
  • Flow Cyt

Supplier Data

Flow Cytometry - Anti-alpha 1 Fetoprotein antibody [RM1011] (AB284388)

Flow cytometric analysis of 4% paraformaldehyde fixed 0.1% Tween-20 permeabilized Hepa1-6 (Mouse hepatoma epithelial cell) treated with 300ng/ml BFA for 24h (Right) / Untreated control (Left) cells labelling alpha 1 Fetoprotein with ab284388 at 1/500 dilution. A Goat Anti-Rabbit IgG (Alexa Fluor® 488, ab150081) at 1/2000 dilution was used as the secondary antibody.

Western blot - Anti-alpha 1 Fetoprotein antibody [RM1011] (AB284388)
  • WB

Lab

Western blot - Anti-alpha 1 Fetoprotein antibody [RM1011] (AB284388)

Blocking and diluting buffer and concentration : 5% NFDM/TBST

Negative control : MDA-MB-231.

Exposure time : Lane 4-5 : 26 seconds ; Others : 5 seconds

All lanes:

Western blot - Anti-alpha 1 Fetoprotein antibody [RM1011] (ab284388) at 1/1000 dilution

Lane 1:

HepG2 (Human hepatocellar carcinoma epithelial cell) whole cell lysate at 20 µg

Lane 2:

Huh7 (Human hepatocellar carcinoma epithelial cell) whole cell lysate at 20 µg

Lane 3:

MDA-MB-231 (Human breast adenocarcinoma epithelial cell) whole cell lysate at 20 µg

Lane 4:

Hepa1-6 (Mouse hepatoma epithelial cell) whole cell lysate at 20 µg

Lane 5:

Hepa1-6 treated with 300ng/ml BFA for 24h whole cell lysate at 20 µg

Lane 6:

Mouse placenta lysate at 20 µg

Lane 7:

Rat placenta lysate at 20 µg

Secondary

All lanes:

Goat Anti-Rabbit IgG, (H+L), Peroxidase conjugated (<a href='/en-us/products/secondary-antibodies/goat-rabbit-igg-h-l-hrp-ab97051'>ab97051</a>) at 1/100000 dilution

Predicted band size: 68 kDa

Observed band size: 68 kDa

false

Indirect ELISA - Anti-alpha 1 Fetoprotein antibody [RM1011] (AB284388)
  • I-ELISA

Supplier Data

Indirect ELISA - Anti-alpha 1 Fetoprotein antibody [RM1011] (AB284388)

ELISA using ab284388 at varying antibody concentrations and antigen concentration at 1000 ng/ml. An Alkaline Phosphatase-conjugated AffiniPure Goat Anti-Rabbit IgG (H+L) (1/2500) was used as the secondary antibody.

  • Carrier free

    Anti-alpha 1 Fetoprotein antibody [RM1011] - BSA and Azide free

Key facts

Host species

Rabbit

Clonality

Multiclonal

Clone number

RM1011

Isotype

IgG

Carrier free

No

Reacts with

Human, Rat, Mouse

Applications

IHC-P, WB, IP, ICC, I-ELISA, Flow Cyt

applications

Immunogen

The exact immunogen used to generate this antibody is proprietary information.

Reactivity data

{ "title": "Reactivity Data", "filters": { "stats": ["", "Species", "Dilution Info", "Notes"], "tabs": { "all-applications": {"fullname" : "All Applications", "shortname": "All Applications"}, "ICC" : {"fullname" : "Immunocytochemistry", "shortname":"ICC"}, "IP" : {"fullname" : "Immunoprecipitation", "shortname":"IP"}, "FlowCyt" : {"fullname" : "Flow Cytometry", "shortname":"Flow Cyt"}, "IELISA" : {"fullname" : "Indirect ELISA", "shortname":"I-ELISA"}, "WB" : {"fullname" : "Western blot", "shortname":"WB"}, "IHCP" : {"fullname" : "Immunohistochemistry (Formalin/PFA-fixed paraffin-embedded sections)", "shortname":"IHC-P"} }, "product-promise": { "all": "all", "testedAndGuaranteed": "tested", "guaranteed": "expected", "predicted": "predicted", "notRecommended": "not-recommended" } }, "values": { "Human": { "ICC-species-checked": "testedAndGuaranteed", "ICC-species-dilution-info": "1/50", "ICC-species-notes": "<p></p>", "IP-species-checked": "testedAndGuaranteed", "IP-species-dilution-info": "1/30", "IP-species-notes": "<p></p>", "FlowCyt-species-checked": "testedAndGuaranteed", "FlowCyt-species-dilution-info": "1/500", "FlowCyt-species-notes": "<p></p>", "IELISA-species-checked": "guaranteed", "IELISA-species-dilution-info": "", "IELISA-species-notes": "", "WB-species-checked": "testedAndGuaranteed", "WB-species-dilution-info": "1/1000", "WB-species-notes": "<p></p>", "IHCP-species-checked": "testedAndGuaranteed", "IHCP-species-dilution-info": "1/2000", "IHCP-species-notes": "<p>IHC suitable for Human only.</p>" }, "Mouse": { "ICC-species-checked": "testedAndGuaranteed", "ICC-species-dilution-info": "1/50", "ICC-species-notes": "<p></p>", "IP-species-checked": "guaranteed", "IP-species-dilution-info": "", "IP-species-notes": "", "FlowCyt-species-checked": "testedAndGuaranteed", "FlowCyt-species-dilution-info": "1/500", "FlowCyt-species-notes": "<p></p>", "IELISA-species-checked": "guaranteed", "IELISA-species-dilution-info": "", "IELISA-species-notes": "", "WB-species-checked": "testedAndGuaranteed", "WB-species-dilution-info": "1/1000", "WB-species-notes": "<p></p>", "IHCP-species-checked": "notRecommended", "IHCP-species-dilution-info": "", "IHCP-species-notes": "<p>IHC suitable for Human only.</p>" }, "Rat": { "ICC-species-checked": "guaranteed", "ICC-species-dilution-info": "", "ICC-species-notes": "", "IP-species-checked": "guaranteed", "IP-species-dilution-info": "", "IP-species-notes": "", "FlowCyt-species-checked": "guaranteed", "FlowCyt-species-dilution-info": "", "FlowCyt-species-notes": "", "IELISA-species-checked": "guaranteed", "IELISA-species-dilution-info": "", "IELISA-species-notes": "", "WB-species-checked": "testedAndGuaranteed", "WB-species-dilution-info": "1/1000", "WB-species-notes": "<p></p>", "IHCP-species-checked": "notRecommended", "IHCP-species-dilution-info": "", "IHCP-species-notes": "<p>IHC suitable for Human only.</p>" }, "Recombinant fragment": { "ICC-species-checked": "notRecommended", "ICC-species-dilution-info": "", "ICC-species-notes": "", "IP-species-checked": "notRecommended", "IP-species-dilution-info": "", "IP-species-notes": "", "FlowCyt-species-checked": "notRecommended", "FlowCyt-species-dilution-info": "", "FlowCyt-species-notes": "", "IELISA-species-checked": "testedAndGuaranteed", "IELISA-species-dilution-info": "", "IELISA-species-notes": "<p>Use at 125 ng/ml</p>", "WB-species-checked": "notRecommended", "WB-species-dilution-info": "", "WB-species-notes": "", "IHCP-species-checked": "notRecommended", "IHCP-species-dilution-info": "", "IHCP-species-notes": "" } } }

Product details

IHC suitable for Human only.

What are recombinant multiclonals?
Recombinant multiclonals are a mixture of recombinant antibodies co-expressed from a library of heavy and light chains. They offer several advantages including:

  • - The sensitivity of polyclonal antibodies by recognising multiple epitopes
  • - High batch-to-batch consistency and reproducibility
  • - Improved sensitivity and specificity
  • - Long-term security of supply
  • - Animal-free batch production

View our range of recombinant multiclonal antibodies.

Patented technology
Our RabMAb® technology is a patented hybridoma-based technology for making rabbit monoclonal antibodies. For details on our patents, please refer to RabMAb® patents.

Properties and storage information

Form
Liquid
Purification technique
Affinity purification Protein A
Storage buffer
pH: 7.2 - 7.4 Preservative: 0.01% Sodium azide Constituents: PBS, 40% Glycerol (glycerin, glycerine), 0.05% BSA
Shipped at conditions
Blue Ice
Appropriate short-term storage duration
1-2 weeks
Appropriate short-term storage conditions
+4°C
Appropriate long-term storage conditions
-20°C
Aliquoting information
Upon delivery aliquot
Storage information
Avoid freeze / thaw cycle

Supplementary information

This supplementary information is collated from multiple sources and compiled automatically.

Alpha-fetoprotein also known as alpha 1-fetoprotein or AFP is a glycoprotein composed of a single polypeptide chain with a molecular mass of approximately 69 kDa. AFP is primarily expressed in the fetal liver yolk sac and gastrointestinal tract during embryonic development. In adults the expression of AFP is limited and occurs mainly in the liver. The protein belongs to the albuminoid gene family and shares structural similarity with serum albumin contributing to its role in fetal serum transport.
Biological function summary

Alpha-fetoprotein functions as a fetal plasma protein with roles similar to serum albumin including the binding and transport of ligands such as bilirubin and fatty acids. It does not form part of any larger protein complex but is significant in modulating fetal immune tolerance. In the fetal environment AFP helps protect cells from maternal immune attacks by binding to estrogens and other growth-modulating factors. Its function during pregnancy is critical for maintaining homeostasis and ensuring the fetus's viability.

Pathways

Alpha 1-fetoprotein plays a role in several important biological pathways related to cellular growth and immune response modulation. One such pathway involves regulation of cell proliferation and differentiation in the developing liver. AFP interacts with cellular receptors that influence these processes. Additionally it plays a part in immune pathways interacting with elements that control immune overlooking to fetal antigens hence being linked to both hepatic and immune system proteins like albumin and estrogen receptors.

High levels of alpha-fetoprotein are linked to hepatocellular carcinoma and germ cell tumors such as yolk sac tumor. AFP serves as a tumor marker in these conditions aiding in both diagnosis and monitoring treatment response. In liver cancer AFP levels often correlate with tumor burden while in germ cell tumors it connects to proteins like beta-human chorionic gonadotropin (beta-hCG). Both markers are used together in clinical settings to provide insights into tumor progression and therapeutic efficacy.

Product protocols

For this product, it's our understanding that no specific protocols are required. You can visit:

Target data

Binds copper, nickel, and fatty acids as well as, and bilirubin less well than, serum albumin. Only a small percentage (less than 2%) of the human AFP shows estrogen-binding properties.
See full target information AFP

Additional targets

Afp

Publications (7)

Recent publications for all applications. Explore the full list and refine your search

Journal of clinical and translational hepatology 13:555-567 PubMed40937080

2025

CCNE1 Promotes the Progression of Hepatic Precancerous Lesion and the Malignant Phenotype of Hepatocellular Carcinoma.

Applications

Unspecified application

Species

Unspecified reactive species

Kai Zhang,Xue Hu,Lichao Yao,Wenzhi Guo

Breast cancer (Dove Medical Press) 17:471-482 PubMed40496172

2025

ALKBH5 Promotes Breast Cancer Stemness Through Regulating Wnt/β-Catenin Signaling.

Applications

Unspecified application

Species

Unspecified reactive species

Kailin Wang,Kaiting Wang

Materials today. Bio 32:101700 PubMed40225139

2025

Engineering a dynamic extracellular matrix using thrombospondin-1 to propel hepatocyte organoids reprogramming and improve mouse liver regeneration post-transplantation.

Applications

Unspecified application

Species

Unspecified reactive species

Zi-Yan Xu,Min Wang,Jing-Yan Shi,Ye Liu,Chao Yu,Xin-Yi Zhang,Chen-Wei Zhang,Qi-Feng He,Chao Pan,Jin Zhou,Hua Xiao,Hong-Yong Cao,Yong Ma

Journal of clinical and translational hepatology 11:1118-1129 PubMed37577230

2023

CENPA-driven STMN1 Transcription Inhibits Ferroptosis in Hepatocellular Carcinoma.

Applications

Unspecified application

Species

Unspecified reactive species

Daomiao Liang,Lanzhu Luo,Jiang Wang,Tongyu Liu,Chao Guo

The EMBO journal 41:e110595 PubMed36305367

2022

BCL7A-containing SWI/SNF/BAF complexes modulate mitochondrial bioenergetics during neural progenitor differentiation.

Applications

Unspecified application

Species

Unspecified reactive species

Lena Wischhof,Hang-Mao Lee,Janine Tutas,Clemens Overkott,Eileen Tedt,Miriam Stork,Michael Peitz,Oliver Brüstle,Thomas Ulas,Kristian Händler,Joachim L Schultze,Dan Ehninger,Pierluigi Nicotera,Paolo Salomoni,Daniele Bano

Cell death discovery 8:59 PubMed35149670

2022

YAP ISGylation increases its stability and promotes its positive regulation on PPP by stimulating 6PGL transcription.

Applications

Unspecified application

Species

Unspecified reactive species

Xiangfei Xue,Xiaoting Tian,Congcong Zhang,Yayou Miao,Yikun Wang,Yingxiu Peng,Shiyu Qiu,Hong Wang,Jiangtao Cui,Leiqun Cao,Fenyong Sun,Yongxia Qiao,Xiao Zhang

Cells 10: PubMed34831042

2021

Functional Recellularization of Acellular Rat Liver Scaffold by Induced Pluripotent Stem Cells: Molecular Evidence for Wnt/B-Catenin Upregulation.

Applications

Unspecified application

Species

Unspecified reactive species

Nesrine Ebrahim,Omnia A M Badr,Mohamed M Yousef,Amira Hassouna,Dina Sabry,Ayman Samir Farid,Ola Mostafa,Hajir A Al Saihati,Yasmin Seleem,Eman Abd El Aziz,Ahmed Hassan Khalil,Ahmed Nawar,Ahmed A Shoulah,Mohammad Aljasir,Amira Zaki Mohamed,Mohamed El-Sherbiny,Nehal M Elsherbiny,Mohamed Ahmed Eladl,Nicholas Robert Forsyth,Rabab F Salim
View all publications

Product promise

We are committed to supporting your work with high-quality reagents, and we're here for you every step of the way. In the unlikely event that one of our products does not perform as expected, you're protected by our Product Promise.
For full details, please see our Terms & Conditions

Please note: All products are 'FOR RESEARCH USE ONLY. NOT FOR USE IN DIAGNOSTIC OR THERAPEUTIC PROCEDURES'.

For licensing inquiries, please contact partnerships@abcam.com