JavaScript is disabled in your browser. Please enable JavaScript to view this website.
AB240675

Anti-alpha 1 Fetoprotein antibody [SP154] - BSA and Azide free

Be the first to review this product! Submit a review

|

(0 Publication)

Rabbit Recombinant Monoclonal alpha 1 Fetoprotein antibody. Carrier free. Suitable for IHC-P, ICC/IF, Flow Cyt, WB and reacts with Human samples.

View Alternative Names

HPAFP, AFP, Alpha-fetoprotein, Alpha-1-fetoprotein, Alpha-fetoglobulin

3 Images
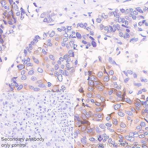
Immunohistochemistry (Formalin/PFA-fixed paraffin-embedded sections) - Anti-alpha 1 Fetoprotein antibody [SP154] - BSA and Azide free (AB240675)
  • IHC-P

Unknown

Immunohistochemistry (Formalin/PFA-fixed paraffin-embedded sections) - Anti-alpha 1 Fetoprotein antibody [SP154] - BSA and Azide free (AB240675)

Immunohistochemistry (Formalin/PFA-fixed paraffin-embedded sections) analysis of Human hepatocellular carcinoma tissue sections labeling alpha 1 Fetoprotein with ab130748 at 1/50 dilution (4.98 µg/ml). Heat mediated antigen retrieval was performed Heat mediated antigen retrieval with sodium citrate buffer (pH 6.0, epitope retrieval solution 1) for 10 mins. Rabbit specific IHC polymer detection kit HRP/DAB (ab209101) was used as the secondary antibody. Negative control : PBS instead of the primary antibody. Hematoxylin was used as a counterstain.
This data was developed using the same antibody clone in a different buffer formulation containing PBS, BSA, glycerol, and sodium azide (ab130748)

Immunocytochemistry/ Immunofluorescence - Anti-alpha 1 Fetoprotein antibody [SP154] - BSA and Azide free (AB240675)
  • ICC/IF

Unknown

Immunocytochemistry/ Immunofluorescence - Anti-alpha 1 Fetoprotein antibody [SP154] - BSA and Azide free (AB240675)

Immunocytochemistry/ Immunofluorescence analysis of HepG2 (human hepatocellular carcinoma epithelial cell) cells labeling alpha 1 Fetoprotein with purified ab130748 at 1 : 100 (2.5 µg/ml). Cells were fixed in 4% paraformaldehyde and permeabilized with 0.1% Triton X-100. Cells were counterstained with ab195889 Anti-alpha Tubulin antibody [DM1A] - Microtubule Marker (Alexa Fluor® 594) 1 : 200 (2.5 µg/ml). Goat anti rabbit IgG (Alexa Fluor® 488, ab150077) was used as the secondary antibody at 1 : 1000 (2 µg/ml) dilution. DAPI nuclear counterstain. PBS instead of the primary antibody was used as the secondary antibody only control.
This data was developed using the same antibody clone in a different buffer formulation containing PBS, BSA, glycerol, and sodium azide (ab93689).

Flow Cytometry - Anti-alpha 1 Fetoprotein antibody [SP154] - BSA and Azide free (AB240675)
  • Flow Cyt

Unknown

Flow Cytometry - Anti-alpha 1 Fetoprotein antibody [SP154] - BSA and Azide free (AB240675)

Flow Cytometry analysis of HepG2(Human hepatocellular carcinoma epithelial cell) cells labeling alpha 1 Fetoprotein with purified ab130748 at 1 : 240 dilution (1.04 µg/ml) Red. Cells were fixed with 4% paraformaldehyde . A Goat anti rabbit IgG (Alexa Fluor® 488, ab150077) secondary antibody was used at 1 : 2000 dilution. Isotype control - Rabbit monoclonal IgG (ab172730) / Black. Unlabeled control - Unlabelled cells / Blue.
This data was developed using the same antibody clone in a different buffer formulation containing PBS, BSA, glycerol, and sodium azide (ab93689).

Key facts

Host species

Rabbit

Clonality

Monoclonal

Clone number

SP154

Isotype

IgG

Carrier free

Yes

Reacts with

Human

Applications

ICC/IF, IHC-P, Flow Cyt, WB

applications

Immunogen

The exact immunogen used to generate this antibody is proprietary information.

Reactivity data

{ "title": "Reactivity Data", "filters": { "stats": ["", "Species", "Dilution Info", "Notes"], "tabs": { "all-applications": {"fullname" : "All Applications", "shortname": "All Applications"}, "IHCP" : {"fullname" : "Immunohistochemistry (Formalin/PFA-fixed paraffin-embedded sections)", "shortname":"IHC-P"}, "ICCIF" : {"fullname" : "Immunocytochemistry/ Immunofluorescence", "shortname":"ICC/IF"}, "FlowCyt" : {"fullname" : "Flow Cytometry", "shortname":"Flow Cyt"}, "WB" : {"fullname" : "Western blot", "shortname":"WB"} }, "product-promise": { "all": "all", "testedAndGuaranteed": "tested", "guaranteed": "expected", "predicted": "predicted", "notRecommended": "not-recommended" } }, "values": { "Human": { "IHCP-species-checked": "testedAndGuaranteed", "IHCP-species-dilution-info": "", "IHCP-species-notes": "<p>Incubate for 10 minutes at room temperature.</p>", "ICCIF-species-checked": "testedAndGuaranteed", "ICCIF-species-dilution-info": "", "ICCIF-species-notes": "<p></p>", "FlowCyt-species-checked": "testedAndGuaranteed", "FlowCyt-species-dilution-info": "", "FlowCyt-species-notes": "<p></p>", "WB-species-checked": "testedAndGuaranteed", "WB-species-dilution-info": "", "WB-species-notes": "<p>Incubate for 1 hour at room temperature.</p>" } } }

You may be interested in:

AB193765

Human alpha Fetoprotein ELISA Kit

0

0 Reviews

View product

We recommend this product because it’s often used in the same experiment or related research.

We advise that you always check the datasheet to ensure it fits your experiments, or contact ourtechnical teamfor help.

Product details

ab240675 is the carrier-free version of ab130748.

What are the advantages of a recombinant monoclonal antibody?
This product is a recombinant monoclonal antibody, which offers several advantages including:

  • - High batch-to-batch consistency and reproducibility
  • - Improved sensitivity and specificity
  • - Long-term security of supply
  • - Animal-free batch production

For more information, read more on recombinant antibodies.

Conjugation ready
Our carrier-free antibodies are typically supplied in a PBS-only formulation, purified and free of BSA, sodium azide and glycerol. This conjugation-ready format is designed for use with fluorochromes, metal isotopes, oligonucleotides, and enzymes, which makes them ideal for antibody labelling, functional and cell-based assays, flow-based assays (e.g. mass cytometry) and Multiplex Imaging applications.

Use our conjugation kits for antibody conjugates that are ready-to-use in as little as 20 minutes with 1 minute hands-on-time and 100% antibody recovery: available for fluorescent dyes, HRP, biotin and gold.

Compatibility
This product is compatible with the Maxpar® Antibody Labeling Kit from Fluidigm, without the need for antibody preparation. Maxpar® is a trademark of Fluidigm Canada Inc.

Properties and storage information

Form
Liquid
Purification technique
Affinity purification Protein A/G
Purification notes
Purified from TCS by protein A/G.
Storage buffer
pH: 7.2 - 7.4 Constituents: PBS
Shipped at conditions
Blue Ice
Appropriate short-term storage conditions
+4°C
Appropriate long-term storage conditions
+4°C
Storage information
Do Not Freeze

Supplementary information

This supplementary information is collated from multiple sources and compiled automatically.

Alpha-fetoprotein also known as alpha 1-fetoprotein or AFP is a glycoprotein composed of a single polypeptide chain with a molecular mass of approximately 69 kDa. AFP is primarily expressed in the fetal liver yolk sac and gastrointestinal tract during embryonic development. In adults the expression of AFP is limited and occurs mainly in the liver. The protein belongs to the albuminoid gene family and shares structural similarity with serum albumin contributing to its role in fetal serum transport.
Biological function summary

Alpha-fetoprotein functions as a fetal plasma protein with roles similar to serum albumin including the binding and transport of ligands such as bilirubin and fatty acids. It does not form part of any larger protein complex but is significant in modulating fetal immune tolerance. In the fetal environment AFP helps protect cells from maternal immune attacks by binding to estrogens and other growth-modulating factors. Its function during pregnancy is critical for maintaining homeostasis and ensuring the fetus's viability.

Pathways

Alpha 1-fetoprotein plays a role in several important biological pathways related to cellular growth and immune response modulation. One such pathway involves regulation of cell proliferation and differentiation in the developing liver. AFP interacts with cellular receptors that influence these processes. Additionally it plays a part in immune pathways interacting with elements that control immune overlooking to fetal antigens hence being linked to both hepatic and immune system proteins like albumin and estrogen receptors.

High levels of alpha-fetoprotein are linked to hepatocellular carcinoma and germ cell tumors such as yolk sac tumor. AFP serves as a tumor marker in these conditions aiding in both diagnosis and monitoring treatment response. In liver cancer AFP levels often correlate with tumor burden while in germ cell tumors it connects to proteins like beta-human chorionic gonadotropin (beta-hCG). Both markers are used together in clinical settings to provide insights into tumor progression and therapeutic efficacy.

Product protocols

For this product, it's our understanding that no specific protocols are required. You can visit:

Target data

Binds copper, nickel, and fatty acids as well as, and bilirubin less well than, serum albumin. Only a small percentage (less than 2%) of the human AFP shows estrogen-binding properties.
See full target information AFP

Product promise

We are committed to supporting your work with high-quality reagents, and we're here for you every step of the way. In the unlikely event that one of our products does not perform as expected, you're protected by our Product Promise.
For full details, please see our Terms & Conditions

Associated Products

Select an associated product type
Alternative Product
Primary Antibodies

AB133617

Anti-alpha 1 Fetoprotein antibody [EPAFP61]

primary-antibodies

alpha-1-fetoprotein-antibody-epafp61-ab133617

0

(0 reviews)

Alternative Product
Primary Antibodies

AB169552

Anti-alpha 1 Fetoprotein antibody [EPR9309]

primary-antibodies

alpha-1-fetoprotein-antibody-epr9309-ab169552

0

(0 reviews)

Alternative Product
Primary Antibodies

AB271896

Anti-alpha 1 Fetoprotein antibody [EPAFP61] - BSA and Azide free

primary-antibodies

alpha-1-fetoprotein-antibody-epafp61-bsa-and-azide-free-ab271896

0

(0 reviews)

Alternative Product
Primary Antibodies

AB215379

Anti-alpha 1 Fetoprotein antibody [EPAFP61] - Low endotoxin, Azide free

primary-antibodies

alpha-1-fetoprotein-antibody-epafp61-low-endotoxin-azide-free-ab215379

0

(0 reviews)

Alternative Product
Primary Antibodies

AB199231

Alexa Fluor® 488 Anti-alpha 1 Fetoprotein antibody [EPAFP61]

primary-antibodies

alexa-fluor-488-alpha-1-fetoprotein-antibody-epafp61-ab199231

0

(0 reviews)

Alternative Product
Primary Antibodies

AB199469

Alexa Fluor® 647 Anti-alpha 1 Fetoprotein antibody [EPAFP61]

primary-antibodies

alexa-fluor-647-alpha-1-fetoprotein-antibody-epafp61-ab199469

0

(0 reviews)

Alternative Product
Primary Antibodies

AB188828

Anti-alpha 1 Fetoprotein antibody [EPR9309] - BSA and Azide free

primary-antibodies

alpha-1-fetoprotein-antibody-epr9309-bsa-and-azide-free-ab188828

0

(0 reviews)

Alternative Product
Primary Antibodies

AB213328

Anti-alpha 1 Fetoprotein antibody [EPR20667]

primary-antibodies

alpha-1-fetoprotein-antibody-epr20667-ab213328

5

(1 reviews)

Please note: All products are 'FOR RESEARCH USE ONLY. NOT FOR USE IN DIAGNOSTIC OR THERAPEUTIC PROCEDURES'.

For licensing inquiries, please contact partnerships@abcam.com