JavaScript is disabled in your browser. Please enable JavaScript to view this website.
AB2872

Anti-alpha 1 Sodium Potassium ATPase antibody [M8-P1-A3] - Plasma Membrane Loading Control

5

(3 Reviews)

|

(28 Publications)

Mouse Monoclonal alpha 1 Sodium Potassium ATPase antibody. Suitable for IHC-P, Flow Cyt, WB, ICC/IF and reacts with Human samples. Cited in 28 publications.

View Alternative Names

Sodium/potassium-transporting ATPase subunit alpha-1, Na(+)/K(+) ATPase alpha-1 subunit, Sodium pump subunit alpha-1, ATP1A1

8 Images
Immunohistochemistry (Formalin/PFA-fixed paraffin-embedded sections) - Anti-alpha 1 Sodium Potassium ATPase antibody [M8-P1-A3] - Plasma Membrane Loading Control (AB2872)
  • IHC-P

Unknown

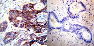
Immunohistochemistry (Formalin/PFA-fixed paraffin-embedded sections) - Anti-alpha 1 Sodium Potassium ATPase antibody [M8-P1-A3] - Plasma Membrane Loading Control (AB2872)

Immunohistochemistry was performed on both normal and cancer biopsies of deparaffinized Human colon carcinoma tissues. To expose target proteins heat induced antigen retrieval was performed using 10mM sodium citrate (pH6.0) buffer microwaved for 8-15 minutes. Following antigen retrieval tissues were blocked in 3% BSA-PBS for 30 minutes at room temperature. Tissues were then probed at a dilution of 1 : 200 with a mouse monoclonal antibody recognizing Sodium/Potassium ATPase alpha-1 ab2872 or without primary antibody (negative control) overnight at 4°C in a humidified chamber. Tissues were washed extensively with PBST and endogenous peroxidase activity was quenched with a peroxidase suppressor. Detection was performed using a biotin-conjugated secondary antibody and SA-HRP followed by colorimetric detection using DAB. Tissues were counterstained with hematoxylin and prepped for mounting.

Immunohistochemistry (Formalin/PFA-fixed paraffin-embedded sections) - Anti-alpha 1 Sodium Potassium ATPase antibody [M8-P1-A3] - Plasma Membrane Loading Control (AB2872)
  • IHC-P

Unknown

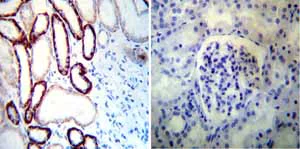
Immunohistochemistry (Formalin/PFA-fixed paraffin-embedded sections) - Anti-alpha 1 Sodium Potassium ATPase antibody [M8-P1-A3] - Plasma Membrane Loading Control (AB2872)

Immunohistochemistry was performed on both normal and cancer biopsies of deparaffinized Human kidney tissue tissues. To expose target proteins heat induced antigen retrieval was performed using 10mM sodium citrate (pH6.0) buffer microwaved for 8-15 minutes. Following antigen retrieval tissues were blocked in 3% BSA-PBS for 30 minutes at room temperature. Tissues were then probed at a dilution of 1 : 100 with a mouse monoclonal antibody recognizing Sodium/Potassium ATPase alpha-1 ab2872 or without primary antibody (negative control) overnight at 4°C in a humidified chamber. Tissues were washed extensively with PBST and endogenous peroxidase activity was quenched with a peroxidase suppressor. Detection was performed using a biotin-conjugated secondary antibody and SA-HRP followed by colorimetric detection using DAB. Tissues were counterstained with hematoxylin and prepped for mounting.

Immunohistochemistry (Formalin/PFA-fixed paraffin-embedded sections) - Anti-alpha 1 Sodium Potassium ATPase antibody [M8-P1-A3] - Plasma Membrane Loading Control (AB2872)
  • IHC-P

Unknown

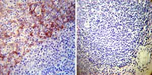
Immunohistochemistry (Formalin/PFA-fixed paraffin-embedded sections) - Anti-alpha 1 Sodium Potassium ATPase antibody [M8-P1-A3] - Plasma Membrane Loading Control (AB2872)

Immunohistochemistry was performed on both normal and cancer biopsies of deparaffinized Human tonsil tissue tissues. To expose target proteins heat induced antigen retrieval was performed using 10mM sodium citrate (pH6.0) buffer microwaved for 8-15 minutes. Following antigen retrieval tissues were blocked in 3% BSA-PBS for 30 minutes at room temperature. Tissues were then probed at a dilution of 1 : 50 with a mouse monoclonal antibody recognizing Sodium/Potassium ATPase alpha-1 ab2872 or without primary antibody (negative control) overnight at 4°C in a humidified chamber. Tissues were washed extensively with PBST and endogenous peroxidase activity was quenched with a peroxidase suppressor. Detection was performed using a biotin-conjugated secondary antibody and SA-HRP followed by colorimetric detection using DAB. Tissues were counterstained with hematoxylin and prepped for mounting.

Flow Cytometry - Anti-alpha 1 Sodium Potassium ATPase antibody [M8-P1-A3] - Plasma Membrane Loading Control (AB2872)
  • Flow Cyt

Unknown

Flow Cytometry - Anti-alpha 1 Sodium Potassium ATPase antibody [M8-P1-A3] - Plasma Membrane Loading Control (AB2872)

Overlay histogram showing HEK293 cells stained with ab2872 (red line). The cells were fixed with 100% methanol (5 min) and incubated in 1x PBS / 10% normal goat serum / 0.3M glycine to block non-specific protein-protein interactions. The cells were then incubated with the antibody (ab2872, 1/100 dilution) for 30 min at 22°C. The secondary antibody used was DyLight® 488 goat anti-mouse IgG (H+L) (ab96879) at 1/500 dilution for 30 min at 22°C. Isotype control antibody (black line) was mouse IgG1 [ICIGG1] (ab91353, 2μg/1x106 cells) used under the same conditions. Acquisition of >5,000 events was performed. This antibody gave a positive signal in HEK293 cells fixed with 4% paraformaldehyde used under the same conditions.

Please note that Abcam do not have any data for use of this antibody on non-fixed cells. We welcome any customer feedback.

Immunocytochemistry/ Immunofluorescence - Anti-alpha 1 Sodium Potassium ATPase antibody [M8-P1-A3] - Plasma Membrane Loading Control (AB2872)
  • ICC/IF

Supplier Data

Immunocytochemistry/ Immunofluorescence - Anti-alpha 1 Sodium Potassium ATPase antibody [M8-P1-A3] - Plasma Membrane Loading Control (AB2872)

Immunocytochemistry/Immunofluorescence analysis of alpha 1 Sodium Potassium ATPase (green) in HeLa cells. Formalin-fixed cells were permeabilized with 0.1% Triton X-100 in TBS for 15 minutes at room temperature and blocked with 0.3% BSA for 15 minutes at room temperature. Cells were incubated with ab2872 (1 : 100) for at least 1 hour at room temperature, washed with PBS, and incubated with a DyLight 488-conjugated goat anti-mouse IgG secondary antibody (1 : 500) for 30 minutes at room temperature. F-actin (red) was stained with DyLight 594 Phalloidin and nuclei (blue) were stained with Hoechst 33342 dye. Images were taken at 20X magnification.

Western blot - Anti-alpha 1 Sodium Potassium ATPase antibody [M8-P1-A3] - Plasma Membrane Loading Control (AB2872)
  • WB

Unknown

Western blot - Anti-alpha 1 Sodium Potassium ATPase antibody [M8-P1-A3] - Plasma Membrane Loading Control (AB2872)

The 100 kDa band observed is comparable to the molecular weight seen with other commercially available antibodies to alpha 1 Sodium Potassium ATPase.

All lanes:

Western blot - Anti-alpha 1 Sodium Potassium ATPase antibody [M8-P1-A3] - Plasma Membrane Loading Control (ab2872) at 1/500 dilution

Lane 1:

Human brain normal tissue lysate - membrane extract (<a href='/en-us/products/unavailable/human-brain-normal-tissue-lysate-membrane-extract-ab29456'>ab29456</a>) at 10 µg

Lane 2:

Human testis tissue lysate - total protein (<a href='/en-us/products/unavailable/human-testis-tissue-lysate-total-protein-ab30257'>ab30257</a>) at 10 µg

Secondary

All lanes:

Western blot - Goat Anti-Mouse IgG H&L (HRP) preadsorbed (<a href='/en-us/products/secondary-antibodies/goat-mouse-igg-h-l-hrp-preadsorbed-ab97040'>ab97040</a>) at 1/5000 dilution

Predicted band size: 113 kDa

Observed band size: 100 kDa,25 kDa,70 kDa

true

Exposure time: 8min

Western blot - Anti-alpha 1 Sodium Potassium ATPase antibody [M8-P1-A3] - Plasma Membrane Loading Control (AB2872)
  • WB

Supplier Data

Western blot - Anti-alpha 1 Sodium Potassium ATPase antibody [M8-P1-A3] - Plasma Membrane Loading Control (AB2872)

Samples were electrophoresed using Novex® NuPAGE® 4-12 % Bis-Tris gel. Resolved proteins were then transferred onto a nitrocellulose membrane by iBlot® 2 Dry Blotting System.

Chemiluminescent detection was performed using Novex® ECL Chemiluminescent Substrate Reagent Kit.

All lanes:

Western blot - Anti-alpha 1 Sodium Potassium ATPase antibody [M8-P1-A3] - Plasma Membrane Loading Control (ab2872) at 1/1000 dilution

Lane 1:

Hep G2 (Human liver hepatocellular carcinoma cell line) whole cell lysate at 30 µg

Lane 2:

MCF7 (Human breast adenocarcinoma cell line) whole cell lysate at 30 µg

Lane 3:

MDA-MB-231 (Human breast adenocarcinoma cell line) whole cell lysate at 30 µg

Secondary

All lanes:

Goat anti-Mouse IgG (H+L) Superclonal™ Recombinant Secondary Antibody, HRP at 1/4000 dilution

Predicted band size: 113 kDa

false

Immunohistochemistry (Formalin/PFA-fixed paraffin-embedded sections) - Anti-alpha 1 Sodium Potassium ATPase antibody [M8-P1-A3] - Plasma Membrane Loading Control (AB2872)
  • IHC-P

AbReview10357****

Immunohistochemistry (Formalin/PFA-fixed paraffin-embedded sections) - Anti-alpha 1 Sodium Potassium ATPase antibody [M8-P1-A3] - Plasma Membrane Loading Control (AB2872)

ab2872 staining pig hepatocyte tissue sections by IHC-P. The section was fixed with Bouins and subjected to heat mediated antigen retrieval (at pH 9) prior to incubating with the primary antibody, diluted 1/2000, for 1 hour at 20°C. A Cy3® conjugated goat anti-mouse IgG antibody was used as the secondary.

This image is courtesy of an anonymous Abreview

Key facts

Host species

Mouse

Clonality

Monoclonal

Clone number

M8-P1-A3

Isotype

IgG1

Carrier free

No

Reacts with

Human

Applications

IHC-P, Flow Cyt, WB, ICC/IF

applications

Immunogen

The exact immunogen used to generate this antibody is proprietary information.

Epitope

This antibody recognizes an epitope between amino acid residues 496-506 of lamb kidney sodium/potassium ATPase.

Reactivity data

{ "title": "Reactivity Data", "filters": { "stats": ["", "Species", "Dilution Info", "Notes"], "tabs": { "all-applications": {"fullname" : "All Applications", "shortname": "All Applications"}, "IHCP" : {"fullname" : "Immunohistochemistry (Formalin/PFA-fixed paraffin-embedded sections)", "shortname":"IHC-P"}, "FlowCyt" : {"fullname" : "Flow Cytometry", "shortname":"Flow Cyt"}, "WB" : {"fullname" : "Western blot", "shortname":"WB"}, "ICCIF" : {"fullname" : "Immunocytochemistry/ Immunofluorescence", "shortname":"ICC/IF"} }, "product-promise": { "all": "all", "testedAndGuaranteed": "tested", "guaranteed": "expected", "predicted": "predicted", "notRecommended": "not-recommended" } }, "values": { "Human": { "IHCP-species-checked": "testedAndGuaranteed", "IHCP-species-dilution-info": "1/100 - 1/2000", "IHCP-species-notes": "<p></p>", "FlowCyt-species-checked": "testedAndGuaranteed", "FlowCyt-species-dilution-info": "1/20 - 1/100", "FlowCyt-species-notes": "<p><a href='/en-us/products/primary-antibodies/mouse-igg1-kappa-monoclonal-15-6e10a7-isotype-control-ab170190'>ab170190</a> - Mouse monoclonal IgG1, is suitable for use as an isotype control with this antibody.</p>", "WB-species-checked": "testedAndGuaranteed", "WB-species-dilution-info": "1/200 - 1/2000", "WB-species-notes": "<p></p>", "ICCIF-species-checked": "testedAndGuaranteed", "ICCIF-species-dilution-info": "1/50 - 1/200", "ICCIF-species-notes": "<p></p>" } } }

Properties and storage information

Form
Liquid
Purification technique
Affinity purification Protein A
Storage buffer
Preservative: 0.05% Sodium azide Constituents: PBS, 0.1% BSA
Shipped at conditions
Blue Ice
Appropriate short-term storage duration
1-2 weeks
Appropriate short-term storage conditions
+4°C
Appropriate long-term storage conditions
-20°C
Aliquoting information
Upon delivery aliquot
Storage information
Avoid freeze / thaw cycle

Supplementary information

This supplementary information is collated from multiple sources and compiled automatically.

The alpha 1 Sodium Potassium ATPase often called Na+/K+ ATPase or Na K ATPase plays a critical role in cellular processes by maintaining the electrochemical gradients of sodium (Na+) and potassium (K+) across the plasma membrane. Also known as ATP1 or anti sodium this enzyme facilitates the active transport of Na+ and K+ ions against their concentration gradients a vital function for cellular homeostasis. The molecular weight of this enzyme is approximately 112 kDa with expression observed in various tissues including neuronal and muscular tissues indicating its importance in both central and peripheral cellular functions.
Biological function summary

The alpha 1 Sodium Potassium ATPase establishes ionic balance and is a component of the larger Na K ATPase complex which comprises multiple subunits. This complex not only aids in nerve impulse transmission but also supports muscle contraction and intracellular fluid regulation. Through its activity it significantly influences cellular volume and internal osmotic conditions thereby affecting overall tissue functionality.

Pathways

Alpha 1 Sodium Potassium ATPase is an important player in ion transport and cellular signaling pathways. It closely interacts with pathways such as the renin-angiotensin-aldosterone system and is vital for maintaining blood pressure homeostasis. The enzyme also interacts with several proteins including ankyrin and phospholemman which modulate its activity and are integral to various signaling cascades involved in cardiovascular and renal function.

The dysregulation of alpha 1 Sodium Potassium ATPase activity is linked to conditions like hypertension and congestive heart failure. Malfunctions in this enzyme can lead to improper ionic balance contributing to these diseases. The enzyme interacts with other proteins such as aldosterone synthase in hypertension and these interactions are critical in understanding their pathogenic mechanisms. A greater understanding of these associations may guide therapeutic strategies targeting ion transport abnormalities.

Product protocols

For this product, it's our understanding that no specific protocols are required. You can visit:

Target data

This is the catalytic component of the active enzyme, which catalyzes the hydrolysis of ATP coupled with the exchange of sodium and potassium ions across the plasma membrane. This action creates the electrochemical gradient of sodium and potassium ions, providing the energy for active transport of various nutrients (PubMed : 29499166, PubMed : 30388404). Could also be part of an osmosensory signaling pathway that senses body-fluid sodium levels and controls salt intake behavior as well as voluntary water intake to regulate sodium homeostasis (By similarity).
See full target information ATP1A1

Publications (28)

Recent publications for all applications. Explore the full list and refine your search

eLife 13: PubMed39259200

2024

Dysregulated Ca signaling, fluid secretion, and mitochondrial function in a mouse model of early Sjögren's disease.

Applications

Unspecified application

Species

Unspecified reactive species

Kai-Ting Huang,Larry E Wagner,Takahiro Takano,Xiao-Xuan Lin,Harini Bagavant,Umesh Deshmukh,David I Yule

Cell death & disease 15:363 PubMed38796484

2024

Neuronal autosis is Na/K-ATPase alpha 3-dependent and involved in hypoxic-ischemic neuronal death.

Applications

Unspecified application

Species

Unspecified reactive species

Pauline Depierre,Vanessa Ginet,Anita C Truttmann,Julien Puyal

Bio-protocol 13:e4728 PubMed37575399

2023

Enrichment of Membrane Proteins for Downstream Analysis Using Styrene Maleic Acid Lipid Particles (SMALPs) Extraction.

Applications

Unspecified application

Species

Unspecified reactive species

Benedict Dirnberger,Dagmara Korona,Rebeka Popovic,Michael J Deery,Helen Barber,Steven Russell,Kathryn S Lilley

Bulletin of mathematical biology 84:84 PubMed35799078

2022

A Mathematical Model of Salivary Gland Duct Cells.

Applications

Unspecified application

Species

Unspecified reactive species

Shan Su,John Rugis,Amanda Wahl,Sam Doak,Yating Li,Vinod Suresh,David Yule,James Sneyd

Proteome science 20:10 PubMed35681168

2022

Identification of different proteins binding to Na, K-ATPase α1 in LPS-induced ARDS cell model by proteomic analysis.

Applications

Unspecified application

Species

Unspecified reactive species

Xu-Peng Wen,Guo Long,Yue-Zhong Zhang,He Huang,Tao-Hua Liu,Qi-Quan Wan

Clinical & experimental ophthalmology 48:689-700 PubMed32249477

2020

Successful culture of human transition zone cells.

Applications

Unspecified application

Species

Unspecified reactive species

Jie Zhang,Amatul M Ahmad,Hannah Ng,Jane Shi,Charles N J McGhee,Dipika V Patel

British journal of pharmacology 176:1700-1716 PubMed30808064

2019

Molecular mechanisms of caffeine-mediated intestinal epithelial ion transports.

Applications

Unspecified application

Species

Unspecified reactive species

Fenglian Zhang,Hanxing Wan,Xin Yang,Jialin He,Cheng Lu,Shiming Yang,Biguang Tuo,Hui Dong

The Journal of biological chemistry 294:6375-6386 PubMed30792309

2019

A CASPR1-ATP1B3 protein interaction modulates plasma membrane localization of Na/K-ATPase in brain microvascular endothelial cells.

Applications

Unspecified application

Species

Unspecified reactive species

Shu-Hong Zhang,Dong-Xin Liu,Li Wang,Yu-Hua Li,Yan-Hua Wang,Hu Zhang,Zheng-Kang Su,Wen-Gang Fang,Xiao-Xue Qin,De-Shu Shang,Bo Li,Xiao-Ning Han,Wei-Dong Zhao,Yu-Hua Chen

Oncology reports 40:1467-1476 PubMed30015972

2018

Combined assessment of low PGRMC1/positive ATP1A1 levels has enhanced prognostic value for renal cell carcinoma.

Applications

Unspecified application

Species

Unspecified reactive species

Yu He,Peng Zhang,Dan Zhang,Zijing Xia,Xixi Wang,Shi Deng,Haocheng Li,Hongxia Zhu,Ningzhi Xu,Shufang Liang

Immunity 47:875-889.e10 PubMed29166588

2017

Regulatory T Cell Migration Is Dependent on Glucokinase-Mediated Glycolysis.

Applications

Unspecified application

Species

Unspecified reactive species

Madhav Kishore,Kenneth C P Cheung,Hongmei Fu,Fabrizia Bonacina,Guosu Wang,David Coe,Eleanor J Ward,Alessandra Colamatteo,Maryam Jangani,Andrea Baragetti,Giuseppe Matarese,David M Smith,Robert Haas,Claudio Mauro,David C Wraith,Klaus Okkenhaug,Alberico L Catapano,Veronica De Rosa,Giuseppe D Norata,Federica M Marelli-Berg
View all publications

Product promise

We are committed to supporting your work with high-quality reagents, and we're here for you every step of the way. In the unlikely event that one of our products does not perform as expected, you're protected by our Product Promise.
For full details, please see our Terms & Conditions

Please note: All products are 'FOR RESEARCH USE ONLY. NOT FOR USE IN DIAGNOSTIC OR THERAPEUTIC PROCEDURES'.

For licensing inquiries, please contact partnerships@abcam.com