JavaScript is disabled in your browser. Please enable JavaScript to view this website.
AB284816

Anti-Alpha 2 Antiplasmin antibody [EPSIS17] - BSA and Azide free

Be the first to review this product! Submit a review

|

(0 Publication)

Rabbit Monoclonal Alpha 2 Antiplasmin antibody. Carrier free. Suitable for WB, IHC-P and reacts with Human samples.

View Alternative Names

AAP, PLI, SERPINF2, Alpha-2-antiplasmin, Alpha-2-AP, Alpha-2-plasmin inhibitor, Serpin F2, Alpha-2-PI

2 Images
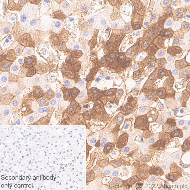
Immunohistochemistry (Formalin/PFA-fixed paraffin-embedded sections) - Anti-Alpha 2 Antiplasmin antibody [EPSIS17] - BSA and Azide free (AB284816)
  • IHC-P

Lab

Immunohistochemistry (Formalin/PFA-fixed paraffin-embedded sections) - Anti-Alpha 2 Antiplasmin antibody [EPSIS17] - BSA and Azide free (AB284816)

This data was developed using ab150414, the same antibody clone in a different buffer. Immunohistochemical analysis of paraffin-embedded Human liver tissue labeling Alpha 2 Antiplasmin with ab150414 at 1/150 dilution, followed by a ready to use LeicaDS9800 (Bond™ Polymer Refine Detection). The immunostaining was performed on a Leica Biosystems BOND® RX instrument. Counterstained with Hematoxylin. Secondary antibody only control : Secondary antibody is a ready to use LeicaDS9800 (Bond™ Polymer Refine Detection). Heat mediated antigen retrieval was performed with Tris-EDTA buffer (pH 9.0, epitope retrieval solution2) for 20 mins.

Western blot - Anti-Alpha 2 Antiplasmin antibody [EPSIS17] - BSA and Azide free (AB284816)
  • WB

Lab

Western blot - Anti-Alpha 2 Antiplasmin antibody [EPSIS17] - BSA and Azide free (AB284816)

This data was developed using ab150414, the same antibody clone in a different buffer. Blocking and diluting buffer and concentration : 5% NFDM/TBST.

All lanes:

Western blot - Anti-Alpha 2 Antiplasmin antibody [EPSIS17] (<a href='/en-us/products/primary-antibodies/alpha-2-antiplasmin-antibody-epsis17-ab150414'>ab150414</a>) at 1/10000 dilution

All lanes:

K-562 (Human chronic myelogenous leukemia lymphoblast) whole cell lysate

Secondary

All lanes:

Western blot - Goat Anti-Rabbit IgG H&L (HRP) (<a href='/en-us/products/secondary-antibodies/goat-rabbit-igg-h-l-hrp-ab97051'>ab97051</a>) at 1/20000 dilution

Observed band size: 65 kDa

false

Exposure time: 5s

Key facts

Host species

Rabbit

Clonality

Monoclonal

Clone number

EPSIS17

Isotype

IgG

Carrier free

Yes

Reacts with

Human

Applications

WB, IHC-P

applications

Immunogen

The exact immunogen used to generate this antibody is proprietary information.

Reactivity data

{ "title": "Reactivity Data", "filters": { "stats": ["", "Species", "Dilution Info", "Notes"], "tabs": { "all-applications": {"fullname" : "All Applications", "shortname": "All Applications"}, "IP" : {"fullname" : "Immunoprecipitation", "shortname":"IP"}, "FlowCyt" : {"fullname" : "Flow Cytometry", "shortname":"Flow Cyt"}, "WB" : {"fullname" : "Western blot", "shortname":"WB"}, "IHCP" : {"fullname" : "Immunohistochemistry (Formalin/PFA-fixed paraffin-embedded sections)", "shortname":"IHC-P"}, "ICCIF" : {"fullname" : "Immunocytochemistry/ Immunofluorescence", "shortname":"ICC/IF"} }, "product-promise": { "all": "all", "testedAndGuaranteed": "tested", "guaranteed": "expected", "predicted": "predicted", "notRecommended": "not-recommended" } }, "values": { "Human": { "IP-species-checked": "notRecommended", "IP-species-dilution-info": "", "IP-species-notes": "<p></p>", "FlowCyt-species-checked": "notRecommended", "FlowCyt-species-dilution-info": "", "FlowCyt-species-notes": "<p></p>", "WB-species-checked": "testedAndGuaranteed", "WB-species-dilution-info": "", "WB-species-notes": "<p></p>", "IHCP-species-checked": "testedAndGuaranteed", "IHCP-species-dilution-info": "", "IHCP-species-notes": "<p>Heat up to 98C, below boiling, and then let cool for 10-20 min.</p>", "ICCIF-species-checked": "notRecommended", "ICCIF-species-dilution-info": "", "ICCIF-species-notes": "<p></p>" } } }

Product details

ab284816 is the carrier-free version of ab150414

Patented technology
Our RabMAb® technology is a patented hybridoma-based technology for making rabbit monoclonal antibodies. For details on our patents, please refer to RabMAb® patents.

Conjugation ready
Our carrier-free antibodies are typically supplied in a PBS-only formulation, purified and free of BSA, sodium azide and glycerol. This conjugation-ready format is designed for use with fluorochromes, metal isotopes, oligonucleotides, and enzymes, which makes them ideal for antibody labelling, functional and cell-based assays, flow-based assays (e.g. mass cytometry) and Multiplex Imaging applications.

Use our conjugation kits for antibody conjugates that are ready-to-use in as little as 20 minutes with 1 minute hands-on-time and 100% antibody recovery: available for fluorescent dyes, HRP, biotin and gold.

Compatibility
This product is compatible with the Maxpar® Antibody Labeling Kit from Fluidigm, without the need for antibody preparation. Maxpar® is a trademark of Fluidigm Canada Inc.

What are the advantages of a recombinant monoclonal antibody?
This product is a recombinant monoclonal antibody, which offers several advantages including:

  • - High batch-to-batch consistency and reproducibility
  • - Improved sensitivity and specificity
  • - Long-term security of supply
  • - Animal-free batch production

For more information, read more on recombinant antibodies.

Properties and storage information

Form
Liquid
Purification technique
Affinity purification Protein A
Storage buffer
pH: 7.2 - 7.4 Constituents: PBS
Shipped at conditions
Blue Ice
Appropriate short-term storage conditions
+4°C
Appropriate long-term storage conditions
+4°C

Supplementary information

This supplementary information is collated from multiple sources and compiled automatically.

Alpha 2 Antiplasmin also known as A2AP or anti-alpha 2 plays an important role in inhibiting the fibrinolytic system by inactivating plasmin. Weighing around 70 kDa this glycoprotein is mainly expressed in the liver and circulates in plasma. Its alternative names include alpha-2-antiplasmin and anti-alpha 2 which highlight its blocking role against excess plasmin action.
Biological function summary

Alpha 2 Antiplasmin functions as the primary inhibitor of plasmin blocking unwanted fibrinolysis. It can form a complex with fibrin which enhances its efficiency in preventing premature fibrin clot dissolution. This regulation of plasmin activity ensures the stability of clots essential for proper wound healing and controlling bleeding.

Pathways

Alpha 2 Antiplasmin engages significantly with the fibrinolysis and coagulation pathways. Its action balances the fibrinolytic process which involves transforming plasminogen to plasmin. Related proteins like plasminogen activator inhibitor also regulate plasmin maintaining equilibrium between clot formation and degradation.

Alpha 2 Antiplasmin has implications in hemorrhagic conditions and thrombotic disorders. Its deficiency might lead to excessive bleeding due to unregulated plasmin activity whilst elevated levels could contribute to thrombotic problems causing harmful clot formation. The interplay with plasminogen and its activation is important in understanding its disease linkages.

Product protocols

For this product, it's our understanding that no specific protocols are required. You can visit:

Target data

Serine protease inhibitor. The major targets of this inhibitor are plasmin and trypsin, but it also inactivates matriptase-3/TMPRSS7 and chymotrypsin.
See full target information SERPINF2

Product promise

We are committed to supporting your work with high-quality reagents, and we're here for you every step of the way. In the unlikely event that one of our products does not perform as expected, you're protected by our Product Promise.
For full details, please see our Terms & Conditions

Please note: All products are 'FOR RESEARCH USE ONLY. NOT FOR USE IN DIAGNOSTIC OR THERAPEUTIC PROCEDURES'.

For licensing inquiries, please contact partnerships@abcam.com