JavaScript is disabled in your browser. Please enable JavaScript to view this website.
AB316101

Anti-alpha 2 Macroglobulin antibody [EPR25958-49]

  • BOND RX™ Validated
  • 20ul selling size
  • RabMAb
  • Recombinant
  • What is this?

Be the first to review this product! Submit a review

|

(3 Publications)

Rabbit Recombinant Monoclonal alpha 2 Macroglobulin antibody. Suitable for WB, IHC-P, IP and reacts with Rat samples. Cited in 3 publications.

View Alternative Names

A2m1, A2m, Alpha-2-macroglobulin, Alpha-2-M

5 Images
Immunohistochemistry (Formalin/PFA-fixed paraffin-embedded sections) - Anti-alpha 2 Macroglobulin antibody [EPR25958-49] (AB316101)
  • IHC-P

Supplier Data

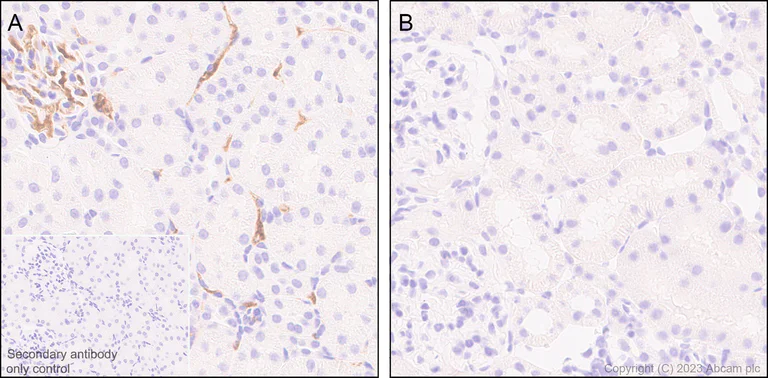
Immunohistochemistry (Formalin/PFA-fixed paraffin-embedded sections) - Anti-alpha 2 Macroglobulin antibody [EPR25958-49] (AB316101)

Immunohistochemical analysis of paraffin-embedded (A) Non-perfused fixed rat kidney (B) Perfused fixed rat kidney tissue labeling alpha 2 Macroglobulin with ab316101 at 1/500 (1.032 ug/ml) dilution, followed by a ready to use LeicaDS9800 (Bond™ Polymer Refine Detection).

Positive staining on plasma of (A) Non-perfused fixed rat kidney, negative staining on (B) Perfused fixed rat kidney. The section was incubated with ab316101 for 30 mins at room temperature.
The immunostaining was performed on a Leica Biosystems BOND® RX instrument.

Counterstained with Hematoxylin.

Secondary antibody only control : Secondary antibody is a ready to use LeicaDS9800 (Bond™ Polymer Refine Detection).

Heat mediated antigen retrieval was performed with Tris-EDTA buffer (pH 9.0, Epitope Retrieval Solution2) for 20 mins.

Immunohistochemistry (Formalin/PFA-fixed paraffin-embedded sections) - Anti-alpha 2 Macroglobulin antibody [EPR25958-49] (AB316101)
  • IHC-P

Supplier Data

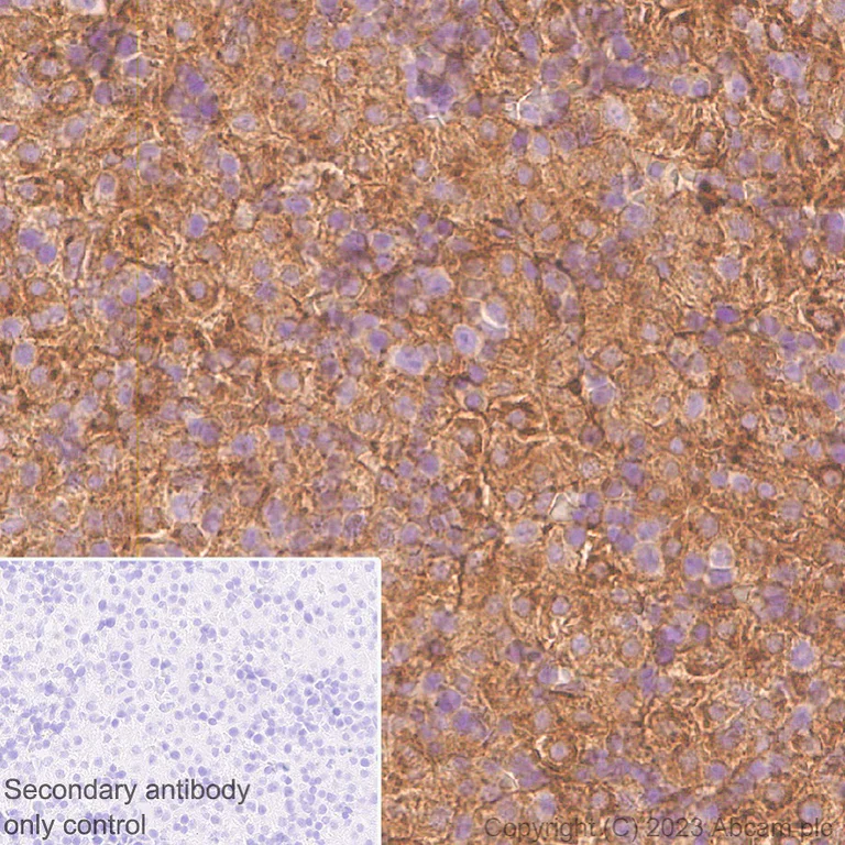
Immunohistochemistry (Formalin/PFA-fixed paraffin-embedded sections) - Anti-alpha 2 Macroglobulin antibody [EPR25958-49] (AB316101)

Immunohistochemical analysis of paraffin-embedded (A) Non-perfused fixed rat liver (B) Perfused fixed rat liver tissue labeling alpha 2 Macroglobulin with ab316101 at 1/500 (1.032 ug/ml) dilution, followed by a ready to use LeicaDS9800 (Bond™ Polymer Refine Detection).

Positive staining on plasma of (A) Non-perfused fixed rat liver, negative staining on (B) Perfused fixed rat liver. The section was incubated with ab316101 for 30 mins at room temperature.
The immunostaining was performed on a Leica Biosystems BOND® RX instrument

Counterstained with Hematoxylin.

Secondary antibody only control : Secondary antibody is a ready to use LeicaDS9800 (Bond™ Polymer Refine Detection).

Heat mediated antigen retrieval was performed with Tris-EDTA buffer (pH 9.0, Epitope Retrieval Solution2) for 20 mins

Immunohistochemistry (Formalin/PFA-fixed paraffin-embedded sections) - Anti-alpha 2 Macroglobulin antibody [EPR25958-49] (AB316101)
  • IHC-P

Supplier Data

Immunohistochemistry (Formalin/PFA-fixed paraffin-embedded sections) - Anti-alpha 2 Macroglobulin antibody [EPR25958-49] (AB316101)

Immunohistochemical analysis of paraffin-embedded Non-perfused fixed rat E20 liver tissue labeling alpha 2 Macroglobulin with ab316101 at 1/500 (1.032 ug/ml) dilution, followed by a ready to use LeicaDS9800 (Bond™ Polymer Refine Detection).

Positive staining on non-perfused fixed rat E20 liver. The section was incubated with ab316101 for 30 mins at room temperature.
The immunostaining was performed on a Leica Biosystems BOND® RX instrument.

Counterstained with Hematoxylin.

Secondary antibody only control : Secondary antibody is a ready to use LeicaDS9800 (Bond™ Polymer Refine Detection).

Heat mediated antigen retrieval was performed with Tris-EDTA buffer (pH 9.0, Epitope Retrieval Solution2) for 20 mins.

Immunoprecipitation - Anti-alpha 2 Macroglobulin antibody [EPR25958-49] (AB316101)
  • IP

Supplier Data

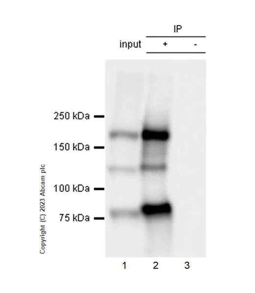
Immunoprecipitation - Anti-alpha 2 Macroglobulin antibody [EPR25958-49] (AB316101)

alpha 2 Macroglobulin was immunoprecipitated from 0.35 mg Rat E20 liver tissue lysate with ab316101 at 1/30 dilution (2ug in 0.35mg lysates). Western blot was performed on the immunoprecipitate using ab316101 at 1/1000 dilution. VeriBlot for IP secondary antibody(HRP)(ab131366) was used at 1/5000 dilution.

Blocking and diluting buffer and concentration : 5% NFDM/TBST.

All lanes:

Immunoprecipitation - Anti-alpha 2 Macroglobulin antibody [EPR25958-49] (ab316101) at 1/1000 dilution

Lane 1:

Rat E20 liver tissue lysate

Lane 2:

ab316101 at 1/30 IP in Rat E20 liver tissue lysate

Lane 3:

Rabbit monoclonal IgG (<a href='/en-us/products/primary-antibodies/rabbit-igg-monoclonal-epr25a-isotype-control-ab172730'>ab172730</a>) instead of ab316101 in rat E20 liver tissue lysate

Secondary

All lanes:

Immunoprecipitation - VeriBlot for IP Detection Reagent (HRP) (<a href='/en-us/products/reagents/veriblot-for-ip-detection-reagent-hrp-ab131366'>ab131366</a>) at 1/5000 dilution

false

Exposure time: 3s

Western blot - Anti-alpha 2 Macroglobulin antibody [EPR25958-49] (AB316101)
  • WB

Supplier Data

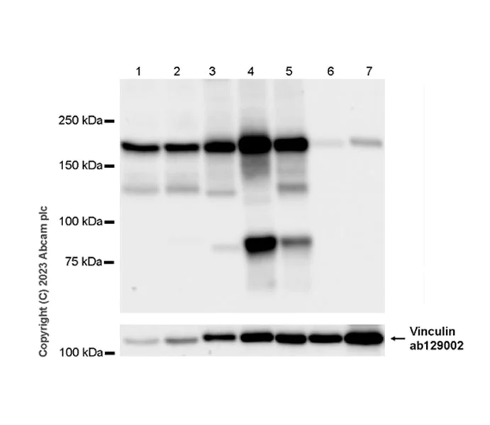
Western blot - Anti-alpha 2 Macroglobulin antibody [EPR25958-49] (AB316101)

Blocking and diluting buffer and concentration : 5% NFDM/TBST.

Low expression : liver, heart (PMID : 2450021).

The molecular weight observed is consistent with what has been described in the literature (PMID : 31642940).

In Western blot, Anti-Vinculin antibody [EPR8185] (ab129002) staining at 1/10000 dilution.

All lanes:

Western blot - Anti-alpha 2 Macroglobulin antibody [EPR25958-49] (ab316101) at 1/1000 dilution

Lane 1:

Rat plasma at 20 µg

Lane 2:

Rat serum at 20 µg

Lane 3:

Rat eyeball tissue lysate at 20 µg

Lane 4:

Rat E20 liver tissue lysate at 20 µg

Lane 5:

Rat E17 liver tissue lysate at 20 µg

Lane 6:

Rat liver tissue lysate at 20 µg

Lane 7:

Rat heart tissue lysate at 20 µg

Secondary

All lanes:

Western blot - Goat Anti-Rabbit IgG H&L (HRP) (<a href='/en-us/products/secondary-antibodies/goat-rabbit-igg-h-l-hrp-ab97051'>ab97051</a>) at 1/100000 dilution

Observed band size: 180 kDa,125 kDa,90 kDa,124 kDa

false

Exposure time: 15s

Key facts

Host species

Rabbit

Clonality

Monoclonal

Clone number

EPR25958-49

Isotype

IgG

Carrier free

No

Reacts with

Rat

Applications

IP, IHC-P, WB

applications

Immunogen

The exact immunogen used to generate this antibody is proprietary information.

Specificity

This antibody does not cross-react with rat alpha 1 Macroglobulin and Murinoglobulin-1.

Reactivity data

{ "title": "Reactivity Data", "filters": { "stats": ["", "Species", "Dilution Info", "Notes"], "tabs": { "all-applications": {"fullname" : "All Applications", "shortname": "All Applications"}, "WB" : {"fullname" : "Western blot", "shortname":"WB"}, "IHCP" : {"fullname" : "Immunohistochemistry (Formalin/PFA-fixed paraffin-embedded sections)", "shortname":"IHC-P"}, "IP" : {"fullname" : "Immunoprecipitation", "shortname":"IP"} }, "product-promise": { "all": "all", "testedAndGuaranteed": "tested", "guaranteed": "expected", "predicted": "predicted", "notRecommended": "not-recommended" } }, "values": { "Human": { "WB-species-checked": "notRecommended", "WB-species-dilution-info": "", "WB-species-notes": "<p></p>", "IHCP-species-checked": "notRecommended", "IHCP-species-dilution-info": "", "IHCP-species-notes": "<p></p>", "IP-species-checked": "notRecommended", "IP-species-dilution-info": "", "IP-species-notes": "" }, "Mouse": { "WB-species-checked": "notRecommended", "WB-species-dilution-info": "", "WB-species-notes": "<p></p>", "IHCP-species-checked": "notRecommended", "IHCP-species-dilution-info": "", "IHCP-species-notes": "<p></p>", "IP-species-checked": "notRecommended", "IP-species-dilution-info": "", "IP-species-notes": "" }, "Rat": { "WB-species-checked": "testedAndGuaranteed", "WB-species-dilution-info": "1/1000", "WB-species-notes": "<p></p>", "IHCP-species-checked": "testedAndGuaranteed", "IHCP-species-dilution-info": "1/500", "IHCP-species-notes": "<p></p> Perform heat-mediated antigen retrieval with Tris/EDTA buffer pH 9.0 before commencing with IHC staining protocol.", "IP-species-checked": "testedAndGuaranteed", "IP-species-dilution-info": "1/30", "IP-species-notes": "<p></p>" } } }

Product details

Patented technology
Our RabMAb® technology is a patented hybridoma-based technology for making rabbit monoclonal antibodies. For details on our patents, please refer to RabMAb® patents.

What are the advantages of a recombinant monoclonal antibody?
This product is a recombinant monoclonal antibody, which offers several advantages including:

  • - High batch-to-batch consistency and reproducibility
  • - Improved sensitivity and specificity
  • - Long-term security of supply
  • - Animal-free batch production

For more information, read more on recombinant antibodies.

Properties and storage information

Form
Liquid
Purification technique
Affinity purification Protein A
Storage buffer
pH: 7.2 - 7.4 Preservative: 0.01% Sodium azide Constituents: PBS, 40% Glycerol (glycerin, glycerine), 0.05% BSA
Shipped at conditions
Blue Ice
Appropriate short-term storage duration
1-2 weeks
Appropriate short-term storage conditions
+4°C
Appropriate long-term storage conditions
-20°C
Aliquoting information
Upon delivery aliquot
Storage information
Avoid freeze / thaw cycle

Supplementary information

This supplementary information is collated from multiple sources and compiled automatically.

Alpha-2-macroglobulin also known as alpha-2-M and A2M is a large glycoprotein with a molecular mass of approximately 725 kDa. It is expressed in the liver and is found in high concentrations in the blood plasma. This protein functions mechanically as a broad-spectrum protease inhibitor. It can trap proteases within its structure preventing them from accessing substrates. Additionally alpha-2-macroglobulin can bind to cytokines and growth factors altering their availability and activities.
Biological function summary

Alpha-2-macroglobulin plays an important role in maintaining homeostasis by regulating protease activities and modulating immune system reactions. It does not form a permanent complex but can transiently associate with the proteases and various molecules mentioned. By interacting with proteases it controls processes like coagulation and fibrinolysis and participates in the clearance of proteinases and growth factors from the circulation. It influences cell signaling pathways and inflammatory responses highlighting its significance in maintaining balance within the body.

Pathways

Alpha-2-macroglobulin is an important component in the immune response and coagulation pathways. In the complement system it binds with complement components to regulate their activities. It associates with proteins such as plasmin and thrombin which are important for blood clotting and fibrinolysis. These relationships emphasize the protein's involvement in both protective mechanisms against pathogens and the regulation of blood coagulation and breakdown connecting the immune and hemostatic systems.

Alpha-2-macroglobulin has been linked to Alzheimer's disease and liver diseases. In Alzheimer's altered levels of this protein might affect the amyloid-beta peptide clearance due to its protease inhibition and binding properties. It associates with proteins like lipoprotein receptor-related protein-1 (LRP1) influencing amyloid-beta metabolism. In liver diseases its levels can indicate liver dysfunction or inflammation given its synthesis in the liver and can relate to proteins involved in inflammation such as cytokines. Its modulation of protease activity makes it a critical target in understanding these disorders.

Product protocols

For this product, it's our understanding that no specific protocols are required. You can visit:

Target data

Is able to inhibit all four classes of proteinases by a unique 'trapping' mechanism. This protein has a peptide stretch, called the 'bait region' which contains specific cleavage sites for different proteinases. When a proteinase cleaves the bait region, a conformational change is induced in the protein which traps the proteinase. The entrapped enzyme remains active against low molecular weight substrates (activity against high molecular weight substrates is greatly reduced). Following cleavage in the bait region a thioester bond is hydrolyzed and mediates the covalent binding of the protein to the proteinase.
See full target information A2m

Publications (3)

Recent publications for all applications. Explore the full list and refine your search

Chinese medicine 20:160 PubMed41044788

2025

Multi-omics and network pharmacology approaches reveal the mechanism of action of KeKe tablet against post-infectious cough.

Applications

Unspecified application

Species

Unspecified reactive species

Mengyue Su,Jiahe Zhang,Shukun Wang,Weixuan Chen,Minling Lai,Lihua Peng,Yanling Liang,Yu Feng,Hua Zhou,Weilin Qiao,Peng Sun

Scientific reports 15:14401 PubMed40274967

2025

Identification of pivotal genes and regulatory networks associated with SAH based on multi-omics analysis and machine learning.

Applications

Unspecified application

Species

Unspecified reactive species

Haoran Lu,Teng Xie,Xiaohong Qin,Shanshan Wei,Zilong Zhao,Xizhi Liu,Liquan Wu,Rui Ding,Zhibiao Chen

Acta biochimica et biophysica Sinica : PubMed39980347

2025

Pyruvate dehydrogenase alleviates macrophage autophagy in Hcy-induced ApoE mice.

Applications

Unspecified application

Species

Unspecified reactive species

Qiujun Liu,Feng Li,Shutong Hu,Ning Ding,Fang Ma,Yinju Hao,Guizhong Li,Jiantuan Xiong,Huiping Zhang,Yideng Jiang
View all publications

Product promise

We are committed to supporting your work with high-quality reagents, and we're here for you every step of the way. In the unlikely event that one of our products does not perform as expected, you're protected by our Product Promise.
For full details, please see our Terms & Conditions

Please note: All products are 'FOR RESEARCH USE ONLY. NOT FOR USE IN DIAGNOSTIC OR THERAPEUTIC PROCEDURES'.

For licensing inquiries, please contact partnerships@abcam.com