JavaScript is disabled in your browser. Please enable JavaScript to view this website.
AB247855

Anti-alpha 2 Macroglobulin antibody [EPR4432] - BSA and Azide free

Be the first to review this product! Submit a review

|

(1 Publication)

Rabbit Recombinant Monoclonal alpha 2 Macroglobulin antibody. Carrier free. Suitable for IHC-P, WB and reacts with Human samples. Cited in 1 publication.

View Alternative Names

CPAMD5, FWP007, A2M, Alpha-2-macroglobulin, Alpha-2-M, C3 and PZP-like alpha-2-macroglobulin domain-containing protein 5

2 Images
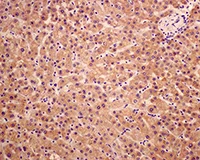
Immunohistochemistry (Formalin/PFA-fixed paraffin-embedded sections) - Anti-alpha 2 Macroglobulin antibody [EPR4432] - BSA and Azide free (AB247855)
  • IHC-P

Unknown

Immunohistochemistry (Formalin/PFA-fixed paraffin-embedded sections) - Anti-alpha 2 Macroglobulin antibody [EPR4432] - BSA and Azide free (AB247855)

This data was developed using ab109422, the same antibody clone in a different buffer formulation.

ab109422, at 1/500 dilution, staining alpha 2 Macroglobulin in paraffin-embedded Human liver by Immunohistochemistry.

Perform heat mediated antigen retrieval with citrate buffer pH 6 before commencing with IHC staining protocol.

Western blot - Anti-alpha 2 Macroglobulin antibody [EPR4432] - BSA and Azide free (AB247855)
  • WB

Unknown

Western blot - Anti-alpha 2 Macroglobulin antibody [EPR4432] - BSA and Azide free (AB247855)

This data was developed using ab109422, the same antibody clone in a different buffer formulation.

All lanes:

Western blot - Anti-alpha 2 Macroglobulin antibody [EPR4432] (<a href='/en-us/products/primary-antibodies/alpha-2-macroglobulin-antibody-epr4432-ab109422'>ab109422</a>) at 1/1000 dilution

All lanes:

Human plasma lysate at 10 µg

Predicted band size: 163 kDa

false

  • Unconjugated

    Anti-alpha 2 Macroglobulin antibody [EPR4432]

Key facts

Host species

Rabbit

Clonality

Monoclonal

Clone number

EPR4432

Isotype

IgG

Carrier free

Yes

Reacts with

Human

Applications

IHC-P, WB

applications

Immunogen

The exact immunogen used to generate this antibody is proprietary information.

Reactivity data

{ "title": "Reactivity Data", "filters": { "stats": ["", "Species", "Dilution Info", "Notes"], "tabs": { "all-applications": {"fullname" : "All Applications", "shortname": "All Applications"}, "IHCP" : {"fullname" : "Immunohistochemistry (Formalin/PFA-fixed paraffin-embedded sections)", "shortname":"IHC-P"}, "ICCIF" : {"fullname" : "Immunocytochemistry/ Immunofluorescence", "shortname":"ICC/IF"}, "IP" : {"fullname" : "Immunoprecipitation", "shortname":"IP"}, "FlowCyt" : {"fullname" : "Flow Cytometry", "shortname":"Flow Cyt"}, "WB" : {"fullname" : "Western blot", "shortname":"WB"} }, "product-promise": { "all": "all", "testedAndGuaranteed": "tested", "guaranteed": "expected", "predicted": "predicted", "notRecommended": "not-recommended" } }, "values": { "Human": { "IHCP-species-checked": "testedAndGuaranteed", "IHCP-species-dilution-info": "", "IHCP-species-notes": "<p></p>", "ICCIF-species-checked": "notRecommended", "ICCIF-species-dilution-info": "", "ICCIF-species-notes": "<p></p>", "IP-species-checked": "notRecommended", "IP-species-dilution-info": "", "IP-species-notes": "<p></p>", "FlowCyt-species-checked": "notRecommended", "FlowCyt-species-dilution-info": "", "FlowCyt-species-notes": "<p></p>", "WB-species-checked": "testedAndGuaranteed", "WB-species-dilution-info": "", "WB-species-notes": "<p></p>" } } }

Product details

ab247855 is the carrier-free version of ab109422.

Species reactivity
Mouse, Rat: We have preliminary internal testing data to indicate this antibody may not react with these species.
Please contact us for more information.

Patented technology
Our RabMAb® technology is a patented hybridoma-based technology for making rabbit monoclonal antibodies. For details on our patents, please refer to RabMAb® patents.

What are the advantages of a recombinant monoclonal antibody?
This product is a recombinant monoclonal antibody, which offers several advantages including:

  • - High batch-to-batch consistency and reproducibility
  • - Improved sensitivity and specificity
  • - Long-term security of supply
  • - Animal-free batch production

For more information, read more on recombinant antibodies.

Conjugation ready
Our carrier-free antibodies are typically supplied in a PBS-only formulation, purified and free of BSA, sodium azide and glycerol. This conjugation-ready format is designed for use with fluorochromes, metal isotopes, oligonucleotides, and enzymes, which makes them ideal for antibody labelling, functional and cell-based assays, flow-based assays (e.g. mass cytometry) and Multiplex Imaging applications.

Use our conjugation kits for antibody conjugates that are ready-to-use in as little as 20 minutes with 1 minute hands-on-time and 100% antibody recovery: available for fluorescent dyes, HRP, biotin and gold.

Compatibility
This product is compatible with the Maxpar® Antibody Labeling Kit from Fluidigm, without the need for antibody preparation. Maxpar® is a trademark of Fluidigm Canada Inc.

Properties and storage information

Form
Liquid
Purification technique
Affinity purification Protein A
Storage buffer
pH: 7.2 - 7.4 Constituents: PBS
Shipped at conditions
Blue Ice
Appropriate short-term storage conditions
+4°C
Appropriate long-term storage conditions
+4°C
Storage information
Do Not Freeze

Supplementary information

This supplementary information is collated from multiple sources and compiled automatically.

Alpha-2-macroglobulin also known as alpha-2-M and A2M is a large glycoprotein with a molecular mass of approximately 725 kDa. It is expressed in the liver and is found in high concentrations in the blood plasma. This protein functions mechanically as a broad-spectrum protease inhibitor. It can trap proteases within its structure preventing them from accessing substrates. Additionally alpha-2-macroglobulin can bind to cytokines and growth factors altering their availability and activities.
Biological function summary

Alpha-2-macroglobulin plays an important role in maintaining homeostasis by regulating protease activities and modulating immune system reactions. It does not form a permanent complex but can transiently associate with the proteases and various molecules mentioned. By interacting with proteases it controls processes like coagulation and fibrinolysis and participates in the clearance of proteinases and growth factors from the circulation. It influences cell signaling pathways and inflammatory responses highlighting its significance in maintaining balance within the body.

Pathways

Alpha-2-macroglobulin is an important component in the immune response and coagulation pathways. In the complement system it binds with complement components to regulate their activities. It associates with proteins such as plasmin and thrombin which are important for blood clotting and fibrinolysis. These relationships emphasize the protein's involvement in both protective mechanisms against pathogens and the regulation of blood coagulation and breakdown connecting the immune and hemostatic systems.

Alpha-2-macroglobulin has been linked to Alzheimer's disease and liver diseases. In Alzheimer's altered levels of this protein might affect the amyloid-beta peptide clearance due to its protease inhibition and binding properties. It associates with proteins like lipoprotein receptor-related protein-1 (LRP1) influencing amyloid-beta metabolism. In liver diseases its levels can indicate liver dysfunction or inflammation given its synthesis in the liver and can relate to proteins involved in inflammation such as cytokines. Its modulation of protease activity makes it a critical target in understanding these disorders.

Product protocols

For this product, it's our understanding that no specific protocols are required. You can visit:

Target data

Is able to inhibit all four classes of proteinases by a unique 'trapping' mechanism. This protein has a peptide stretch, called the 'bait region' which contains specific cleavage sites for different proteinases. When a proteinase cleaves the bait region, a conformational change is induced in the protein which traps the proteinase. The entrapped enzyme remains active against low molecular weight substrates (activity against high molecular weight substrates is greatly reduced). Following cleavage in the bait region, a thioester bond is hydrolyzed and mediates the covalent binding of the protein to the proteinase.
See full target information A2M

Publications (1)

Recent publications for all applications. Explore the full list and refine your search

NPJ precision oncology 7:95 PubMed37723227

2023

Targeted single-cell proteomic analysis identifies new liquid biopsy biomarkers associated with multiple myeloma.

Applications

Unspecified application

Species

Unspecified reactive species

Sonia M Setayesh,Libere J Ndacayisaba,Kate E Rappard,Valerie Hennes,Luz Yurany Moreno Rueda,Guilin Tang,Pei Lin,Robert Z Orlowski,David E Symer,Elisabet E Manasanch,Stephanie N Shishido,Peter Kuhn
View all publications

Product promise

We are committed to supporting your work with high-quality reagents, and we're here for you every step of the way. In the unlikely event that one of our products does not perform as expected, you're protected by our Product Promise.
For full details, please see our Terms & Conditions

Please note: All products are 'FOR RESEARCH USE ONLY. NOT FOR USE IN DIAGNOSTIC OR THERAPEUTIC PROCEDURES'.

For licensing inquiries, please contact partnerships@abcam.com