JavaScript is disabled in your browser. Please enable JavaScript to view this website.
AB85570

Anti-alpha 2a Adrenergic Receptor antibody

Be the first to review this product! Submit a review

|

(14 Publications)

Rabbit Polyclonal alpha 2a Adrenergic Receptor antibody. Suitable for WB, IHC-P and reacts with Human samples. Cited in 14 publications.

View Alternative Names

ADRA2R, ADRAR, ADRA2A, Alpha-2A adrenergic receptor, Alpha-2 adrenergic receptor subtype C10, Alpha-2A adrenoreceptor, Alpha-2A adrenoceptor, Alpha-2AAR

2 Images
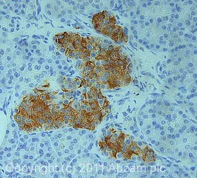
Immunohistochemistry (Formalin/PFA-fixed paraffin-embedded sections) - Anti-alpha 2a Adrenergic Receptor antibody (AB85570)
  • IHC-P

Unknown

Immunohistochemistry (Formalin/PFA-fixed paraffin-embedded sections) - Anti-alpha 2a Adrenergic Receptor antibody (AB85570)

IHC image of alpha 2a Adrenergic Receptor staining in human Pancreas FFPE section, performed on a BondTM system using the standard protocol F. The section was pre-treated using heat mediated antigen retrieval with sodium citrate buffer (pH6, epitope retrieval solution 1) for 20 mins. The section was then incubated with ab85570, 1µg/ml, for 15 mins at room temperature and detected using an HRP conjugated compact polymer system. DAB was used as the chromogen. The section was then counterstained with haematoxylin and mounted with DPX

Western blot - Anti-alpha 2a Adrenergic Receptor antibody (AB85570)
  • WB

Supplier Data

Western blot - Anti-alpha 2a Adrenergic Receptor antibody (AB85570)

Blocking buffer : 2% BSA

Gel type : MOPS

All lanes:

Western blot - Anti-alpha 2a Adrenergic Receptor antibody (ab85570) at 2 µg/mL

All lanes:

Human Pancreas at 20 µg

Secondary

All lanes:

Goat polyclonal to Rabbit IgG - H&L - Pre-Adsorbed (HRP) at 1/50000 dilution

Predicted band size: 48 kDa

Observed band size: 52 kDa

false

Exposure time: 20min

Key facts

Host species

Rabbit

Clonality

Polyclonal

Isotype

IgG

Carrier free

No

Reacts with

Human

Applications

IHC-P, WB

applications

Immunogen

The exact immunogen used to generate this antibody is proprietary information.

Specificity

From September 2024, QC testing of replenishment batches of this polyclonal changed. All tested and expected application and reactive species combinations are still covered by our Abcam product promise. However, we no longer test all applications. For more information on a specific batch, please contact our Scientific Support who will be happy to help.

Reactivity data

{ "title": "Reactivity Data", "filters": { "stats": ["", "Species", "Dilution Info", "Notes"], "tabs": { "all-applications": {"fullname" : "All Applications", "shortname": "All Applications"}, "WB" : {"fullname" : "Western blot", "shortname":"WB"}, "IHCP" : {"fullname" : "Immunohistochemistry (Formalin/PFA-fixed paraffin-embedded sections)", "shortname":"IHC-P"}, "ICCIF" : {"fullname" : "Immunocytochemistry/ Immunofluorescence", "shortname":"ICC/IF"} }, "product-promise": { "all": "all", "testedAndGuaranteed": "tested", "guaranteed": "expected", "predicted": "predicted", "notRecommended": "not-recommended" } }, "values": { "Human": { "WB-species-checked": "testedAndGuaranteed", "WB-species-dilution-info": "1 µg/mL", "WB-species-notes": "<p></p>", "IHCP-species-checked": "guaranteed", "IHCP-species-dilution-info": "1 µg/mL", "IHCP-species-notes": "<p></p>", "ICCIF-species-checked": "notRecommended", "ICCIF-species-dilution-info": "", "ICCIF-species-notes": "<p></p>" }, "Mouse": { "WB-species-checked": "predicted", "WB-species-dilution-info": "", "WB-species-notes": "", "IHCP-species-checked": "predicted", "IHCP-species-dilution-info": "", "IHCP-species-notes": "", "ICCIF-species-checked": "notRecommended", "ICCIF-species-dilution-info": "", "ICCIF-species-notes": "" }, "Rat": { "WB-species-checked": "predicted", "WB-species-dilution-info": "", "WB-species-notes": "", "IHCP-species-checked": "predicted", "IHCP-species-dilution-info": "", "IHCP-species-notes": "", "ICCIF-species-checked": "notRecommended", "ICCIF-species-dilution-info": "", "ICCIF-species-notes": "" }, "Cow": { "WB-species-checked": "predicted", "WB-species-dilution-info": "", "WB-species-notes": "", "IHCP-species-checked": "predicted", "IHCP-species-dilution-info": "", "IHCP-species-notes": "", "ICCIF-species-checked": "notRecommended", "ICCIF-species-dilution-info": "", "ICCIF-species-notes": "" }, "Pig": { "WB-species-checked": "predicted", "WB-species-dilution-info": "", "WB-species-notes": "", "IHCP-species-checked": "predicted", "IHCP-species-dilution-info": "", "IHCP-species-notes": "", "ICCIF-species-checked": "notRecommended", "ICCIF-species-dilution-info": "", "ICCIF-species-notes": "" } } }

Properties and storage information

Form
Liquid
Purification technique
Affinity purification Immunogen
Storage buffer
pH: 7.4 Preservative: 0.02% Sodium azide Constituents: PBS, 1% BSA
Shipped at conditions
Blue Ice
Appropriate short-term storage duration
1-2 weeks
Appropriate short-term storage conditions
+4°C
Appropriate long-term storage conditions
-20°C
Aliquoting information
Upon delivery aliquot
Storage information
Avoid freeze / thaw cycle

Supplementary information

This supplementary information is collated from multiple sources and compiled automatically.

The alpha-2a adrenergic receptor also known as alpha-2A adrenoceptor plays an important role in the modulation of neurotransmission. This G-protein coupled receptor with an approximate mass of 50 kDa primarily binds to norepinephrine and epinephrine acting to inhibit adenylate cyclase activity. These receptors are expressed widely in the central nervous system especially in the locus coeruleus and also in peripheral tissues like vascular smooth muscle cells. Through their function alpha-2a receptors regulate several physiological processes including blood pressure and insulin release.
Biological function summary

Alpha-2a adrenergic receptors help modulate neurotransmitter release at presynaptic sites. They are known to form part of a signaling complex involving G proteins. This interaction reduces intracellular cAMP levels which in turn decreases neural excitability and releases neurotransmitters such as norepinephrine. The regulation of neurotransmitter release helps maintain homeostasis in stress response and other physiological states.

Pathways

Alpha-2a adrenergic receptors play significant roles in the adrenergic signaling pathway. This pathway influences various physiological responses as part of the larger catecholamine pathway. Interactions with proteins such as G-protein alpha-i inhibit adenylyl cyclase showcasing how the receptor helps modulate the sympathetic nervous system. Additionally it affects related receptors like the alpha-1 adrenergic receptor which have roles in opposing physiological functions.

Alpha-2a adrenergic receptors have been implicated in hypertension and attention-deficit hyperactivity disorder (ADHD). Their role in vascular smooth muscle cells affects blood pressure regulation linking them to hypertension. In the context of ADHD they interact with proteins involved in executive function and attention playing a part in the disorder's neurochemical basis. Their dysfunction can lead to disrupted signaling pathways contributing to these health issues.

Product protocols

For this product, it's our understanding that no specific protocols are required. You can visit:

Target data

Alpha-2 adrenergic receptors mediate the catecholamine-induced inhibition of adenylate cyclase through the action of G proteins. The rank order of potency for agonists of this receptor is oxymetazoline > clonidine > epinephrine > norepinephrine > phenylephrine > dopamine > p-synephrine > p-tyramine > serotonin = p-octopamine. For antagonists, the rank order is yohimbine > phentolamine = mianserine > chlorpromazine = spiperone = prazosin > propanolol > alprenolol = pindolol.
See full target information ADRA2A

Publications (14)

Recent publications for all applications. Explore the full list and refine your search

STAR protocols 5:102970 PubMed38517897

2024

Protocol for generating postganglionic sympathetic neurons using human pluripotent stem cells for electrophysiological and functional assessments.

Applications

Unspecified application

Species

Unspecified reactive species

Hsueh-Fu Wu,Jennifer Art,Tripti Saini,Nadja Zeltner

BMC neuroscience 25:5 PubMed38291397

2024

Norepinephrine protects against cochlear outer hair cell damage and noise-induced hearing loss via α-adrenergic receptor.

Applications

Unspecified application

Species

Unspecified reactive species

Chaoyong Tian,Yang Yang,Renfeng Wang,Yao Li,Fei Sun,Jun Chen,Dingjun Zha

European journal of histochemistry : EJH 67: PubMed37548252

2023

Expression and localization of &#945;-adrenergic receptor in the rat post-natal developing cochlea.

Applications

Unspecified application

Species

Unspecified reactive species

Chaoyong Tian,Yang Yang,Yao Li,Fei Sun,Juan Qu,Dingjun Zha

Oncology letters 25:136 PubMed36909368

2023

Platycodin D inhibits the proliferation, invasion and migration of endometrial cancer cells by blocking the PI3K/Akt signaling pathway via ADRA2A upregulation.

Applications

Unspecified application

Species

Unspecified reactive species

Zhen Ni,Zhuoma Dawa,Deji Suolang,Quzhen Pingcuo,Zhuoma Langga,Pingcuo Quzhen,Zhuoga Deji

BMC pharmacology & toxicology 23:81 PubMed36273189

2022

Dexmedetomidine alleviates inflammatory response and oxidative stress injury of vascular smooth muscle cell via α2AR/GSK-3β/MKP-1/NRF2 axis in intracranial aneurysm.

Applications

Unspecified application

Species

Unspecified reactive species

Ze Zhang,Xiue Mu,Xiaohui Zhou

Clinical and translational medicine 12:e890 PubMed35758323

2022

Phosphoproteome reveals molecular mechanisms of aberrant rhythm in neurotransmitter-mediated islet hormone secretion in diabetic mice.

Applications

Unspecified application

Species

Unspecified reactive species

Yunqiang He,Qi Fu,Min Sun,Yu Qian,Yucheng Liang,Jie Zhang,Rui Gao,Hemin Jiang,Hao Dai,Yuwei Liu,Xinyu Xu,Heng Chen,Kuanfeng Xu,Tao Yang

Drug design, development and therapy 16:1183-1189 PubMed35502424

2022

Intrathecal Injection of Ropivacaine Reduces Cervical Resistance in Late-Pregnant Rats.

Applications

Unspecified application

Species

Unspecified reactive species

Yu Hu,Li-Jun Fan,Yue-Ming Jiang,Hong Liu,Hui Yong,Chong Peng

OncoTargets and therapy 13:10535-10546 PubMed33116632

2020

α2A-Adrenergic Receptor Inhibits the Progression of Cervical Cancer Through Blocking PI3K/AKT/mTOR Pathway.

Applications

Unspecified application

Species

Unspecified reactive species

Weina Wang,Xin Guo,Huiwen Dan

Scientific reports 10:15383 PubMed32958803

2020

Distribution and relative expression of vasoactive receptors on arteries.

Applications

Unspecified application

Species

Unspecified reactive species

Xinhao Liu,Dan Luo,Jie Zhang,Lei Du

International journal of molecular sciences 21: PubMed32197418

2020

Adrenoceptor Expression during Intervertebral Disc Degeneration.

Applications

Unspecified application

Species

Unspecified reactive species

Johannes Kupka,Annika Kohler,Karima El Bagdadi,Richard Bostelmann,Marco Brenneis,Christoph Fleege,Danny Chan,Frank Zaucke,Andrea Meurer,Marcus Rickert,Zsuzsa Jenei-Lanzl
View all publications

Product promise

We are committed to supporting your work with high-quality reagents, and we're here for you every step of the way. In the unlikely event that one of our products does not perform as expected, you're protected by our Product Promise.
For full details, please see our Terms & Conditions

Please note: All products are 'FOR RESEARCH USE ONLY. NOT FOR USE IN DIAGNOSTIC OR THERAPEUTIC PROCEDURES'.

For licensing inquiries, please contact partnerships@abcam.com