JavaScript is disabled in your browser. Please enable JavaScript to view this website.
AB140702

Anti-alpha 2C Adrenergic Receptor/ADRA2C antibody

Be the first to review this product! Submit a review

|

(1 Publication)

Rabbit Polyclonal alpha 2C Adrenergic Receptor/ADRA2C antibody. Suitable for IHC-P and reacts with Human samples. Cited in 1 publication.

View Alternative Names

ADRA2L2, ADRA2RL2, ADRA2C, Alpha-2C adrenergic receptor, Alpha-2 adrenergic receptor subtype C4, Alpha-2C adrenoreceptor, Alpha-2C adrenoceptor, Alpha-2CAR

1 Images
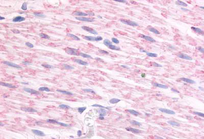
Immunohistochemistry (Formalin/PFA-fixed paraffin-embedded sections) - Anti-alpha 2C Adrenergic Receptor/ADRA2C antibody (AB140702)
  • IHC-P

Unknown

Immunohistochemistry (Formalin/PFA-fixed paraffin-embedded sections) - Anti-alpha 2C Adrenergic Receptor/ADRA2C antibody (AB140702)

Immunohistochemical analysis of formalin-fixed, paraffin-embedded Human artery (smooth muscle) tissue labelling aalpha 2C Adrenergic Receptor/ADRA2C with ab140702 after heat-induced antigen retrieval.

Key facts

Host species

Rabbit

Clonality

Polyclonal

Isotype

IgG

Carrier free

No

Reacts with

Human

Applications

IHC-P

applications

Immunogen

The exact immunogen used to generate this antibody is proprietary information.

Reactivity data

{ "title": "Reactivity Data", "filters": { "stats": ["", "Species", "Dilution Info", "Notes"], "tabs": { "all-applications": {"fullname" : "All Applications", "shortname": "All Applications"}, "IHCP" : {"fullname" : "Immunohistochemistry (Formalin/PFA-fixed paraffin-embedded sections)", "shortname":"IHC-P"} }, "product-promise": { "all": "all", "testedAndGuaranteed": "tested", "guaranteed": "expected", "predicted": "predicted", "notRecommended": "not-recommended" } }, "values": { "Human": { "IHCP-species-checked": "testedAndGuaranteed", "IHCP-species-dilution-info": "26 µg/mL", "IHCP-species-notes": "<p></p> Perform heat-mediated antigen retrieval before commencing with IHC staining protocol." }, "Gorilla": { "IHCP-species-checked": "predicted", "IHCP-species-dilution-info": "", "IHCP-species-notes": "" }, "Monkey": { "IHCP-species-checked": "predicted", "IHCP-species-dilution-info": "", "IHCP-species-notes": "" } } }

Properties and storage information

Form
Liquid
Purification technique
Affinity purification Immunogen
Storage buffer
pH: 7.4 Preservative: 0.1% Sodium azide Constituents: PBS
Shipped at conditions
Blue Ice
Appropriate short-term storage conditions
+4°C
Appropriate long-term storage conditions
-80°C
Aliquoting information
Upon delivery aliquot
Storage information
Avoid freeze / thaw cycle

Supplementary information

This supplementary information is collated from multiple sources and compiled automatically.

The alpha 2C adrenergic receptor also known as ADRA2C alpha 2C receptor or simply 2C receptor is a G protein-coupled receptor (GPCR) that binds to catecholamines like norepinephrine and epinephrine. It exhibits a mass of approximately 50 kDa. This receptor forms a part of the adrenergic receptor family which plays a critical role in the sympathetic nervous system. ADRA2C is expressed in various tissues including the brain particularly in the neocortex hippocampus and amygdala as well as in blood vessels and the heart.
Biological function summary

The alpha 2C adrenergic receptor modulates neurotransmitter release and inhibits adenylate cyclase activity via its coupling with Gi/o proteins. It has an important role in synaptic transmission vasoconstriction and thermoregulation. In neurons it integrates into receptor complexes that include other adrenergic receptors offering a tightly regulated mechanism for maintaining homeostasis. The receptor contributes to feedback inhibition by controlling neurotransmitter levels in synapses which influences mood alertness and blood pressure.

Pathways

Alpha 2C adrenergic receptor contributes to the regulation of the signaling pathways involving cyclic adenosine monophosphate (cAMP) and calcium ion mobilization. It aligns with important pathways like the MAPK/ERK pathway which influences cellular processes such as proliferation and differentiation. Proteins such as beta adrenergic receptor kinase and G protein-coupled receptor kinases interact with ADRA2C affecting receptor desensitization and downregulation which are critical for accurate signaling events.

Dysfunction in the alpha 2C adrenergic receptor associates with conditions like depression and hypertension. Abnormal receptor activity can lead to impaired norepinephrine regulation contributing to altered mood states and stress responses. In hypertension the receptor's role in vascular tone regulation becomes significant with interactions involving proteins like endothelial nitric oxide synthase impacting vasodilation and blood pressure. Understanding these connections provides insight into therapeutic strategies addressing symptoms linked to receptor anomalies.

Product protocols

For this product, it's our understanding that no specific protocols are required. You can visit:

Target data

Alpha-2 adrenergic receptors mediate the catecholamine-induced inhibition of adenylate cyclase through the action of G proteins.
See full target information ADRA2C

Publications (1)

Recent publications for all applications. Explore the full list and refine your search

Proceedings of the National Academy of Sciences of 112:E1659-68 PubMed25775528

2015

Heteromerization of chemokine (C-X-C motif) receptor 4 with α1A/B-adrenergic receptors controls α1-adrenergic receptor function.

Applications

Unspecified application

Species

Unspecified reactive species

Abhishek Tripathi,P Geoff Vana,Tanmay S Chavan,Lioubov I Brueggemann,Kenneth L Byron,Nadya I Tarasova,Brian F Volkman,Vadim Gaponenko,Matthias Majetschak
View all publications

Product promise

We are committed to supporting your work with high-quality reagents, and we're here for you every step of the way. In the unlikely event that one of our products does not perform as expected, you're protected by our Product Promise.
For full details, please see our Terms & Conditions

Please note: All products are 'FOR RESEARCH USE ONLY. NOT FOR USE IN DIAGNOSTIC OR THERAPEUTIC PROCEDURES'.

For licensing inquiries, please contact partnerships@abcam.com