JavaScript is disabled in your browser. Please enable JavaScript to view this website.
AB32816

Anti-alpha Actinin 4 antibody [7H6] - Cytoskeleton Marker

5

(2 Reviews)

|

(13 Publications)

Mouse Monoclonal alpha Actinin 4 antibody. Suitable for Flow Cyt, IHC-P and reacts with Human samples. Cited in 13 publications. Immunogen corresponding to Synthetic Peptide within Human ACTN4 aa 850-900.

View Alternative Names

Alpha-actinin-4, Non-muscle alpha-actinin 4, ACTN4

5 Images
Immunohistochemistry (Formalin/PFA-fixed paraffin-embedded sections) - Anti-alpha Actinin 4 antibody [7H6] - Cytoskeleton Marker (AB32816)
  • IHC-P

Unknown

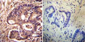
Immunohistochemistry (Formalin/PFA-fixed paraffin-embedded sections) - Anti-alpha Actinin 4 antibody [7H6] - Cytoskeleton Marker (AB32816)

ab32816 (4 µg/ml) staining alpha actinin in human lung, using an automated system (DAKO Autostainer Plus). Using this protocol there is strong staining of both cytoplasm and nuclei of the bronchial epithelium and resident macrophage cells.
Sections were rehydrated and antigen retrieved with the Dako 3 in 1 AR buffer EDTA pH 9.0 in a DAKO PT link. Slides were peroxidase blocked in 3% H2O2 in methanol for 10 mins. They were then blocked with Dako Protein block for 10 minutes (containing casein 0.25% in PBS) then incubated with primary antibody for 20 min and detected with Dako envision flex amplification kit for 30 minutes. Colorimetric detection was completed with Diaminobenzidine for 5 minutes. Slides were counterstained with Haematoxylin and coverslipped under DePeX. Please note that, for manual staining, optimization of primary antibody concentration and incubation time is recommended. Signal amplification may be required.

Immunohistochemistry (Formalin/PFA-fixed paraffin-embedded sections) - Anti-alpha Actinin 4 antibody [7H6] - Cytoskeleton Marker (AB32816)
  • IHC-P

Unknown

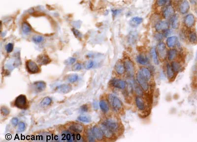
Immunohistochemistry (Formalin/PFA-fixed paraffin-embedded sections) - Anti-alpha Actinin 4 antibody [7H6] - Cytoskeleton Marker (AB32816)

Immunohistochemistry was performed on both normal and cancer biopsies of deparaffinized Human tonsil tissue tissues. To expose target proteins heat induced antigen retrieval was performed using 10mM sodium citrate (pH6.0) buffer microwaved for 8-15 minutes. Following antigen retrieval tissues were blocked in 3% BSA-PBS for 30 minutes at room temperature. Tissues were then probed at a dilution of 1 : 200 with a mouse monoclonal antibody recognizing alpha Actinin 4 ab32816 or without primary antibody (negative control) overnight at 4°C in a humidified chamber. Tissues were washed extensively with PBST and endogenous peroxidase activity was quenched with a peroxidase suppressor. Detection was performed using a biotin-conjugated secondary antibody and SA-HRP followed by colorimetric detection using DAB. Tissues were counterstained with hematoxylin and prepped for mounting.

Flow Cytometry - Anti-alpha Actinin 4 antibody [7H6] - Cytoskeleton Marker (AB32816)
  • Flow Cyt

Unknown

Flow Cytometry - Anti-alpha Actinin 4 antibody [7H6] - Cytoskeleton Marker (AB32816)

Overlay histogram showing HeLa cells stained with ab32816 (red line). The cells were fixed with 80% methanol (5 min) and then permeabilized with 0.1% PBS-Tween for 20 min. The cells were then incubated in 1x PBS / 10% normal goat serum / 0.3M glycine to block non-specific protein-protein interactions followed by the antibody (ab32816, 1μg/1x106 cells) for 30 min at 22°C. The secondary antibody used was a goat anti-mouse DyLight® 488 (IgG; H+L) (ab96879) at 1/500 dilution for 30 min at 22°C. Isotype control antibody (black line) was a mix of mouse IgG1 [ICIGG1], (ab91353, 1μg/1x106 cells), IgG2a [ICIGG2A], (ab91361, 1μg/1x106 cells), IgG2b [PLPV219], (ab91366, 1μg/1x106 cells), IgG3 [MG3-35], (ab18394, 1μg/1x106 cells) used under the same conditions. Acquisition of >5,000 events was performed.

Immunohistochemistry (Formalin/PFA-fixed paraffin-embedded sections) - Anti-alpha Actinin 4 antibody [7H6] - Cytoskeleton Marker (AB32816)
  • IHC-P

Unknown

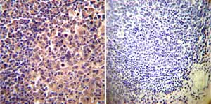
Immunohistochemistry (Formalin/PFA-fixed paraffin-embedded sections) - Anti-alpha Actinin 4 antibody [7H6] - Cytoskeleton Marker (AB32816)

Immunohistochemistry was performed on both normal and cancer biopsies of deparaffinized Human colon carcinoma tissues. To expose target proteins heat induced antigen retrieval was performed using 10mM sodium citrate (pH6.0) buffer microwaved for 8-15 minutes. Following antigen retrieval tissues were blocked in 3% BSA-PBS for 30 minutes at room temperature. Tissues were then probed at a dilution of 1 : 200 with a mouse monoclonal antibody recognizing alpha Actinin 4 ab32816 or without primary antibody (negative control) overnight at 4°C in a humidified chamber. Tissues were washed extensively with PBST and endogenous peroxidase activity was quenched with a peroxidase suppressor. Detection was performed using a biotin-conjugated secondary antibody and SA-HRP followed by colorimetric detection using DAB. Tissues were counterstained with hematoxylin and prepped for mounting.

Immunohistochemistry (Formalin/PFA-fixed paraffin-embedded sections) - Anti-alpha Actinin 4 antibody [7H6] - Cytoskeleton Marker (AB32816)
  • IHC-P

Unknown

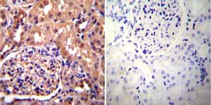
Immunohistochemistry (Formalin/PFA-fixed paraffin-embedded sections) - Anti-alpha Actinin 4 antibody [7H6] - Cytoskeleton Marker (AB32816)

Immunohistochemistry was performed on both normal and cancer biopsies of deparaffinized Human kidney tissue tissues. To expose target proteins heat induced antigen retrieval was performed using 10mM sodium citrate (pH6.0) buffer microwaved for 8-15 minutes. Following antigen retrieval tissues were blocked in 3% BSA-PBS for 30 minutes at room temperature. Tissues were then probed at a dilution of 1 : 200 with a mouse monoclonal antibody recognizing alpha Actinin 4 ab32816 or without primary antibody (negative control) overnight at 4°C in a humidified chamber. Tissues were washed extensively with PBST and endogenous peroxidase activity was quenched with a peroxidase suppressor. Detection was performed using a biotin-conjugated secondary antibody and SA-HRP followed by colorimetric detection using DAB. Tissues were counterstained with hematoxylin and prepped for mounting.

Key facts

Host species

Mouse

Clonality

Monoclonal

Clone number

7H6

Isotype

IgG

Carrier free

No

Reacts with

Human

Applications

Flow Cyt, IHC-P

applications

Immunogen

Synthetic Peptide within Human ACTN4 aa 850-900. The exact immunogen used to generate this antibody is proprietary information.

O43707

Reactivity data

{ "title": "Reactivity Data", "filters": { "stats": ["", "Species", "Dilution Info", "Notes"], "tabs": { "all-applications": {"fullname" : "All Applications", "shortname": "All Applications"}, "FlowCyt" : {"fullname" : "Flow Cytometry", "shortname":"Flow Cyt"}, "IHCP" : {"fullname" : "Immunohistochemistry (Formalin/PFA-fixed paraffin-embedded sections)", "shortname":"IHC-P"} }, "product-promise": { "all": "all", "testedAndGuaranteed": "tested", "guaranteed": "expected", "predicted": "predicted", "notRecommended": "not-recommended" } }, "values": { "Human": { "FlowCyt-species-checked": "testedAndGuaranteed", "FlowCyt-species-dilution-info": "1 µg for 10^6 Cells", "FlowCyt-species-notes": "<p></p>", "IHCP-species-checked": "testedAndGuaranteed", "IHCP-species-dilution-info": "4 µg/mL", "IHCP-species-notes": "<p></p>" }, "Rat": { "FlowCyt-species-checked": "predicted", "FlowCyt-species-dilution-info": "", "FlowCyt-species-notes": "", "IHCP-species-checked": "predicted", "IHCP-species-dilution-info": "", "IHCP-species-notes": "" }, "Cow": { "FlowCyt-species-checked": "predicted", "FlowCyt-species-dilution-info": "", "FlowCyt-species-notes": "", "IHCP-species-checked": "predicted", "IHCP-species-dilution-info": "", "IHCP-species-notes": "" }, "Dog": { "FlowCyt-species-checked": "predicted", "FlowCyt-species-dilution-info": "", "FlowCyt-species-notes": "", "IHCP-species-checked": "predicted", "IHCP-species-dilution-info": "", "IHCP-species-notes": "" }, "Pig": { "FlowCyt-species-checked": "predicted", "FlowCyt-species-dilution-info": "", "FlowCyt-species-notes": "", "IHCP-species-checked": "predicted", "IHCP-species-dilution-info": "", "IHCP-species-notes": "" }, "Xenopus laevis": { "FlowCyt-species-checked": "predicted", "FlowCyt-species-dilution-info": "", "FlowCyt-species-notes": "", "IHCP-species-checked": "predicted", "IHCP-species-dilution-info": "", "IHCP-species-notes": "" } } }

Properties and storage information

Form
Liquid
Purification technique
Affinity purification Protein G
Storage buffer
Preservative: 0.05% Sodium azide Constituents: PBS, 0.1% BSA
Shipped at conditions
Blue Ice
Appropriate short-term storage conditions
+4°C
Appropriate long-term storage conditions
-20°C
Aliquoting information
Upon delivery aliquot
Storage information
Avoid freeze / thaw cycle

Supplementary information

This supplementary information is collated from multiple sources and compiled automatically.

Alpha Actinin 4 sometimes referred to as ACTN4 or alpha-actinin is a protein with a mass of approximately 100 kDa. It functions as an actin-binding protein particularly involved in the crosslinking of actin filaments. This protein is expressed widely with high levels found in muscle kidney and brain tissues. Alpha-actinin 4 also plays important roles in cellular structure and integrity by binding actin filaments in various cellular contexts.
Biological function summary

The role of alpha-actinin 4 extends to maintaining cytoskeletal structure and cell motility. It forms part of the larger actin-binding complex that supports cellular adhesion and mechanical stability. By linking actin filaments it allows cells to withstand mechanical stress and maintain their shape. Additionally alpha-actinin 4 contributes to cellular processes like cytokinesis and signal transduction by serving as a scaffold for signaling proteins.

Pathways

Alpha-actinin 4 interacts with diverse cellular signaling mechanisms. Key pathways include the actin cytoskeleton signaling and integrin-mediated cell adhesion. In these pathways alpha-actinin 4 works alongside proteins such as integrins and vinculin facilitating communication between the extracellular matrix and the cytoskeleton. These interactions are critical for cellular responses to environmental stimuli and adaptation during movement or development.

Alpha-actinin 4 has notable impacts on conditions like focal segmental glomerulosclerosis (FSGS) and cancer. In FSGS mutation or dysregulation of alpha-actinin 4 contributes to podocyte dysfunction leading to proteinuria and kidney damage. Its role in cancer often involves altered expression influencing cell migration and invasion. The interaction with other proteins like nephrin in FSGS or E-cadherin in cancer highlights the significance of alpha-actinin 4 in pathogenic processes.

Product protocols

For this product, it's our understanding that no specific protocols are required. You can visit:

Target data

F-actin cross-linking protein which is thought to anchor actin to a variety of intracellular structures. This is a bundling protein (Probable). Probably involved in vesicular trafficking via its association with the CART complex. The CART complex is necessary for efficient transferrin receptor recycling but not for EGFR degradation (PubMed : 15772161). Involved in tight junction assembly in epithelial cells probably through interaction with MICALL2. Links MICALL2 to the actin cytoskeleton and recruits it to the tight junctions (By similarity). May also function as a transcriptional coactivator, stimulating transcription mediated by the nuclear hormone receptors PPARG and RARA (PubMed : 22351778). Association with IGSF8 regulates the immune synapse formation and is required for efficient T-cell activation (PubMed : 22689882).
See full target information ACTN4

Publications (13)

Recent publications for all applications. Explore the full list and refine your search

Cytoskeleton (Hoboken, N.J.) 78:337-348 PubMed34435464

2021

Metastasis suppressor 1 interacts with α-actinin 4 to affect its localization and regulate formation of membrane ruffling.

Applications

Unspecified application

Species

Unspecified reactive species

Lijun Liang,Xiaoping Liang,Peng Jiang,Lu Zhou,Luanluan Zhong,Mei Wang,Shuyun Lin,Zhen Guo,Juan Yu,Changcheng Yang,Yu Chen,Chengjie Zhuo,Ping Chen,Ying Wang

Biotechnology and applied biochemistry 69:313-322 PubMed33444480

2021

Asiaticoside inhibits renal fibrosis development by regulating the miR-142-5p/ACTN4 axis.

Applications

Unspecified application

Species

Unspecified reactive species

Min Zhang,Shuhuan Liu,Liming Fang,Gang Wang,Liping Yin

Risk management and healthcare policy 13:2677-2687 PubMed33244281

2020

Combined Detection of ACTN4 and SCC-Ag is a Promising Serological Biomarker for Cervical Intraepithelial Neoplasia 3 or Worse: A Case-Control Study.

Applications

Unspecified application

Species

Unspecified reactive species

Bin Zhu,Binhua Dong,Simei Hong,Meihua Wang,Weichao Dai,Qingzhu Zheng,Dan Wu,Yingping Cao

Frontiers in cell and developmental biology 8:559553 PubMed33330445

2020

A Context-Dependent Role for MiR-124-3p on Cell Phenotype, Viability and Chemosensitivity in Neuroblastoma .

Applications

Unspecified application

Species

Unspecified reactive species

John C Nolan,Manuela Salvucci,Steven Carberry,Ana Barat,Miguel F Segura,Justine Fenn,Jochen H M Prehn,Raymond L Stallings,Olga Piskareva

Gene 664:12-21 PubMed29704630

2018

Knockdown of NUP160 inhibits cell proliferation, induces apoptosis, autophagy and cell migration, and alters the expression and localization of podocyte associated molecules in mouse podocytes.

Applications

IF

Species

Unspecified reactive species

Ping Wang,Feng Zhao,Xiaojing Nie,Jiewei Liu,Zihua Yu

FASEB journal : official publication of the Federa 32:1070-1084 PubMed29070585

2018

NLRC5 deficiency ameliorates diabetic nephropathy through alleviating inflammation.

Applications

Unspecified application

Species

Unspecified reactive species

Peipei Luan,Jianhui Zhuang,Jun Zou,Hailing Li,Ping Shuai,Xiaopeng Xu,Yifan Zhao,Wenxin Kou,Shuya Ji,Ai Peng,Yawei Xu,Qing Su,Weixia Jian,Wenhui Peng

Skeletal muscle 5:27 PubMed26301073

2015

GRAF1 deficiency blunts sarcolemmal injury repair and exacerbates cardiac and skeletal muscle pathology in dystrophin-deficient mice.

Applications

ICC/IF

Species

Mouse

Kaitlin C Lenhart,Thomas J O'Neill,Zhaokang Cheng,Rachel Dee,Alexis R Demonbreun,Jianbin Li,Xiao Xiao,Elizabeth M McNally,Christopher P Mack,Joan M Taylor

Cancer letters 364:142-55 PubMed25960282

2015

The development of cisplatin resistance in neuroblastoma is accompanied by epithelial to mesenchymal transition in vitro.

Applications

Unspecified application

Species

Unspecified reactive species

Olga Piskareva,Harry Harvey,John Nolan,Ross Conlon,Leah Alcock,Patrick Buckley,Paul Dowling,Michael Henry,Finbarr O'Sullivan,Isabella Bray,Raymond L Stallings

Marine drugs 11:1763-82 PubMed23708184

2013

Identification of dynamic changes in proteins associated with the cellular cytoskeleton after exposure to okadaic acid.

Applications

Unspecified application

Species

Unspecified reactive species

Jill A Opsahl,Sonja Ljostveit,Therese Solstad,Kristin Risa,Peter Roepstorff,Kari E Fladmark

Proteome science 9:1 PubMed21219634

2011

A proteomic analysis of C-reactive protein stimulated THP-1 monocytes.

Applications

WB

Species

Human

Steffen U Eisenhardt,Jonathon Habersberger,Karen Oliva,Graeme I Lancaster,Mustafa Ayhan,Kevin J Woollard,Holger Bannasch,Greg E Rice,Karlheinz Peter
View all publications

Product promise

We are committed to supporting your work with high-quality reagents, and we're here for you every step of the way. In the unlikely event that one of our products does not perform as expected, you're protected by our Product Promise.
For full details, please see our Terms & Conditions

Please note: All products are 'FOR RESEARCH USE ONLY. NOT FOR USE IN DIAGNOSTIC OR THERAPEUTIC PROCEDURES'.

For licensing inquiries, please contact partnerships@abcam.com