JavaScript is disabled in your browser. Please enable JavaScript to view this website.
AB59468

Anti-alpha Actinin 4 antibody - Cytoskeleton Marker

5

(2 Reviews)

|

(2 Publications)

Rabbit Polyclonal alpha Actinin 4 antibody. Suitable for IHC-P and reacts with Human samples. Cited in 2 publications. Immunogen corresponding to Synthetic Peptide within Human ACTN4.

View Alternative Names

Alpha-actinin-4, Non-muscle alpha-actinin 4, ACTN4

1 Images
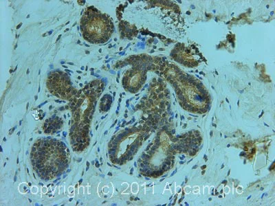
Immunohistochemistry (Formalin/PFA-fixed paraffin-embedded sections) - Anti-alpha Actinin 4 antibody - Cytoskeleton Marker (AB59468)
  • IHC-P

Unknown

Immunohistochemistry (Formalin/PFA-fixed paraffin-embedded sections) - Anti-alpha Actinin 4 antibody - Cytoskeleton Marker (AB59468)

IHC image of ab59468 staining in human breast carcinoma formalin fixed paraffin embedded tissue section, performed on a Leica BondTM system using the standard protocol F. The section was pre-treated using heat mediated antigen retrieval with sodium citrate buffer (pH6, epitope retrieval solution 1) for 20 mins. The section was then incubated with ab59468, 5µg/ml, for 15 mins at room temperature and detected using an HRP conjugated compact polymer system. DAB was used as the chromogen. The section was then counterstained with haematoxylin and mounted with DPX.

For other IHC staining systems (automated and non-automated) customers should optimize variable parameters such as antigen retrieval conditions, primary antibody concentration and antibody incubation times.

Key facts

Host species

Rabbit

Clonality

Polyclonal

Isotype

IgG

Carrier free

No

Reacts with

Human

Applications

IHC-P

applications

Immunogen

Synthetic Peptide within Human ACTN4. The exact immunogen used to generate this antibody is proprietary information.

O43707

Specificity

This antibody reacts specifically with human 110 kDa of ACTN4 protein.

Reactivity data

{ "title": "Reactivity Data", "filters": { "stats": ["", "Species", "Dilution Info", "Notes"], "tabs": { "all-applications": {"fullname" : "All Applications", "shortname": "All Applications"}, "IHCP" : {"fullname" : "Immunohistochemistry (Formalin/PFA-fixed paraffin-embedded sections)", "shortname":"IHC-P"} }, "product-promise": { "all": "all", "testedAndGuaranteed": "tested", "guaranteed": "expected", "predicted": "predicted", "notRecommended": "not-recommended" } }, "values": { "Human": { "IHCP-species-checked": "testedAndGuaranteed", "IHCP-species-dilution-info": "5 µg/mL", "IHCP-species-notes": "<p></p>" }, "Rat": { "IHCP-species-checked": "predicted", "IHCP-species-dilution-info": "", "IHCP-species-notes": "" } } }

Properties and storage information

Form
Liquid
Purity
Whole antiserum
Storage buffer
Constituents: Whole serum
Shipped at conditions
Blue Ice
Appropriate short-term storage duration
1-2 weeks
Appropriate short-term storage conditions
+4°C
Appropriate long-term storage conditions
-20°C
Aliquoting information
Upon delivery aliquot

Supplementary information

This supplementary information is collated from multiple sources and compiled automatically.

Alpha Actinin 4 sometimes referred to as ACTN4 or alpha-actinin is a protein with a mass of approximately 100 kDa. It functions as an actin-binding protein particularly involved in the crosslinking of actin filaments. This protein is expressed widely with high levels found in muscle kidney and brain tissues. Alpha-actinin 4 also plays important roles in cellular structure and integrity by binding actin filaments in various cellular contexts.
Biological function summary

The role of alpha-actinin 4 extends to maintaining cytoskeletal structure and cell motility. It forms part of the larger actin-binding complex that supports cellular adhesion and mechanical stability. By linking actin filaments it allows cells to withstand mechanical stress and maintain their shape. Additionally alpha-actinin 4 contributes to cellular processes like cytokinesis and signal transduction by serving as a scaffold for signaling proteins.

Pathways

Alpha-actinin 4 interacts with diverse cellular signaling mechanisms. Key pathways include the actin cytoskeleton signaling and integrin-mediated cell adhesion. In these pathways alpha-actinin 4 works alongside proteins such as integrins and vinculin facilitating communication between the extracellular matrix and the cytoskeleton. These interactions are critical for cellular responses to environmental stimuli and adaptation during movement or development.

Alpha-actinin 4 has notable impacts on conditions like focal segmental glomerulosclerosis (FSGS) and cancer. In FSGS mutation or dysregulation of alpha-actinin 4 contributes to podocyte dysfunction leading to proteinuria and kidney damage. Its role in cancer often involves altered expression influencing cell migration and invasion. The interaction with other proteins like nephrin in FSGS or E-cadherin in cancer highlights the significance of alpha-actinin 4 in pathogenic processes.

Product protocols

For this product, it's our understanding that no specific protocols are required. You can visit:

Target data

F-actin cross-linking protein which is thought to anchor actin to a variety of intracellular structures. This is a bundling protein (Probable). Probably involved in vesicular trafficking via its association with the CART complex. The CART complex is necessary for efficient transferrin receptor recycling but not for EGFR degradation (PubMed : 15772161). Involved in tight junction assembly in epithelial cells probably through interaction with MICALL2. Links MICALL2 to the actin cytoskeleton and recruits it to the tight junctions (By similarity). May also function as a transcriptional coactivator, stimulating transcription mediated by the nuclear hormone receptors PPARG and RARA (PubMed : 22351778). Association with IGSF8 regulates the immune synapse formation and is required for efficient T-cell activation (PubMed : 22689882).
See full target information ACTN4

Publications (2)

Recent publications for all applications. Explore the full list and refine your search

Molecular imaging 17:1536012118790065 PubMed30064304

2018

Evaluation of a Tumor-Targeting, Near-Infrared Fluorescent Peptide for Early Detection and Endoscopic Resection of Polyps in a Rat Model of Colorectal Cancer.

Applications

Unspecified application

Species

Unspecified reactive species

Jade E Jones,Susheel Bhanu Busi,Jonathan B Mitchem,James M Amos-Landgraf,Michael R Lewis

American journal of physiology. Cell physiology 300:C397-405 PubMed21123730

2010

Biophysical properties of normal and diseased renal glomeruli.

Applications

Unspecified application

Species

Unspecified reactive species

Hans M Wyss,Joel M Henderson,Fitzroy J Byfield,Leslie A Bruggeman,Yaxian Ding,Chunfa Huang,Jung Hee Suh,Thomas Franke,Elisa Mele,Martin R Pollak,Jeffrey H Miner,Paul A Janmey,David A Weitz,R Tyler Miller
View all publications

Product promise

We are committed to supporting your work with high-quality reagents, and we're here for you every step of the way. In the unlikely event that one of our products does not perform as expected, you're protected by our Product Promise.
For full details, please see our Terms & Conditions

Please note: All products are 'FOR RESEARCH USE ONLY. NOT FOR USE IN DIAGNOSTIC OR THERAPEUTIC PROCEDURES'.

For licensing inquiries, please contact partnerships@abcam.com