JavaScript is disabled in your browser. Please enable JavaScript to view this website.
AB108201

Anti-alpha Actinin 4 antibody [EPR4410] - Loading Control

Be the first to review this product! Submit a review

|

(2 Publications)

Rabbit Recombinant Monoclonal alpha Actinin 4 antibody. Suitable for IHC-P, WB and reacts with Human, Mouse, Rat samples. Cited in 2 publications.

View Alternative Names

Alpha-actinin-4, Non-muscle alpha-actinin 4, ACTN4

3 Images
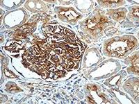
Immunohistochemistry (Formalin/PFA-fixed paraffin-embedded sections) - Anti-alpha Actinin 4 antibody [EPR4410] - Loading Control (AB108201)
  • IHC-P

Unknown

Immunohistochemistry (Formalin/PFA-fixed paraffin-embedded sections) - Anti-alpha Actinin 4 antibody [EPR4410] - Loading Control (AB108201)

ab108201, at 1/100 dilution, staining alpha Actinin 4 in paraffin-embedded Human kidney tissue by Immunohistochemistry.

Perform heat mediated antigen retrieval with citrate buffer pH 6 before commencing with IHC staining protocol.

Western blot - Anti-alpha Actinin 4 antibody [EPR4410] - Loading Control (AB108201)
  • WB

Lab

Western blot - Anti-alpha Actinin 4 antibody [EPR4410] - Loading Control (AB108201)

Lanes 1 - 3 : Merged signal (red and green). Green - ab108201 observed at 105 kDa. Red - loading control, ab9484, observed at 37 kDa.

ab108201 was shown to recognize alpha Actinin 4 in wild-type HAP1 cells as signal was lost at the expected MW in ACTN4 (alpha Actinin 4) knockout cells. Additional cross-reactive bands were observed in the wild-type and knockout cells. Wild-type and ACTN4 (alpha Actinin 4) knockout samples were subjected to SDS-PAGE. ab108201 and ab9484 (Mouse anti-GAPDH loading control) were incubated overnight at 4°C at 1/1000 dilution and 1/20000 dilution respectively. Blots were developed with Goat anti-Rabbit IgG H&L (IRDye® 800CW) preabsorbed ab216773 and Goat anti-Mouse IgG H&L (IRDye® 680RD) preabsorbed ab216776 secondary antibodies at 1/20000 dilution for 1 hour at room temperature before imaging.

All lanes:

Western blot - Anti-alpha Actinin 4 antibody [EPR4410] - Loading Control (ab108201) at 1/1000 dilution

Lane 1:

Wild-type HAP1 whole cell lysate at 40 µg

Lane 2:

ACTN4 (alpha Actinin 4) knockout HAP1 whole cell lysate at 40 µg

Lane 3:

HeLa whole cell lysate at 20 µg

Predicted band size: 105 kDa

Observed band size: 105 kDa

false

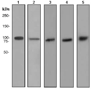
Western blot - Anti-alpha Actinin 4 antibody [EPR4410] - Loading Control (AB108201)
  • WB

Unknown

Western blot - Anti-alpha Actinin 4 antibody [EPR4410] - Loading Control (AB108201)

All lanes:

Western blot - Anti-alpha Actinin 4 antibody [EPR4410] - Loading Control (ab108201) at 1/1000 dilution

Lane 1:

HeLa cell lysate at 10 µg

Lane 2:

MCF-7 cell lysate at 10 µg

Lane 3:

C2C12 cell lysate at 10 µg

Lane 4:

A673 cell lysate at 10 µg

Lane 5:

L6 cell lysate at 10 µg

Predicted band size: 105 kDa

false

Key facts

Host species

Rabbit

Clonality

Monoclonal

Clone number

EPR4410

Isotype

IgG

Carrier free

No

Reacts with

Mouse, Rat, Human

Applications

WB, IHC-P

applications

Immunogen

The exact immunogen used to generate this antibody is proprietary information.

Reactivity data

{ "title": "Reactivity Data", "filters": { "stats": ["", "Species", "Dilution Info", "Notes"], "tabs": { "all-applications": {"fullname" : "All Applications", "shortname": "All Applications"}, "IHCP" : {"fullname" : "Immunohistochemistry (Formalin/PFA-fixed paraffin-embedded sections)", "shortname":"IHC-P"}, "ICCIF" : {"fullname" : "Immunocytochemistry/ Immunofluorescence", "shortname":"ICC/IF"}, "FlowCyt" : {"fullname" : "Flow Cytometry", "shortname":"Flow Cyt"}, "WB" : {"fullname" : "Western blot", "shortname":"WB"} }, "product-promise": { "all": "all", "testedAndGuaranteed": "tested", "guaranteed": "expected", "predicted": "predicted", "notRecommended": "not-recommended" } }, "values": { "Human": { "IHCP-species-checked": "testedAndGuaranteed", "IHCP-species-dilution-info": "1/100 - 1/250", "IHCP-species-notes": "<p></p>", "ICCIF-species-checked": "notRecommended", "ICCIF-species-dilution-info": "", "ICCIF-species-notes": "<p></p>", "FlowCyt-species-checked": "notRecommended", "FlowCyt-species-dilution-info": "", "FlowCyt-species-notes": "<p></p>", "WB-species-checked": "testedAndGuaranteed", "WB-species-dilution-info": "1/1000 - 1/10000", "WB-species-notes": "<p></p>" }, "Mouse": { "IHCP-species-checked": "guaranteed", "IHCP-species-dilution-info": "", "IHCP-species-notes": "", "ICCIF-species-checked": "notRecommended", "ICCIF-species-dilution-info": "", "ICCIF-species-notes": "<p></p>", "FlowCyt-species-checked": "notRecommended", "FlowCyt-species-dilution-info": "", "FlowCyt-species-notes": "<p></p>", "WB-species-checked": "testedAndGuaranteed", "WB-species-dilution-info": "1/1000 - 1/10000", "WB-species-notes": "<p></p>" }, "Rat": { "IHCP-species-checked": "guaranteed", "IHCP-species-dilution-info": "", "IHCP-species-notes": "", "ICCIF-species-checked": "notRecommended", "ICCIF-species-dilution-info": "", "ICCIF-species-notes": "<p></p>", "FlowCyt-species-checked": "notRecommended", "FlowCyt-species-dilution-info": "", "FlowCyt-species-notes": "<p></p>", "WB-species-checked": "testedAndGuaranteed", "WB-species-dilution-info": "1/1000 - 1/10000", "WB-species-notes": "<p></p>" } } }

Product details

Patented technology
Our RabMAb® technology is a patented hybridoma-based technology for making rabbit monoclonal antibodies. For details on our patents, please refer to RabMAb® patents.

What are the advantages of a recombinant monoclonal antibody?
This product is a recombinant monoclonal antibody, which offers several advantages including:

  • - High batch-to-batch consistency and reproducibility
  • - Improved sensitivity and specificity
  • - Long-term security of supply
  • - Animal-free batch production

For more information, read more on recombinant antibodies.

Properties and storage information

Form
Liquid
Purification technique
Affinity purification Protein A
Storage buffer
pH: 7.2 - 7.4 Preservative: 0.01% Sodium azide Constituents: PBS, 50% Tissue culture supernatant, 40% Glycerol (glycerin, glycerine), 0.05% BSA
Shipped at conditions
Blue Ice
Appropriate short-term storage conditions
+4°C
Appropriate long-term storage conditions
-20°C
Storage information
Stable for 12 months at -20°C

Supplementary information

This supplementary information is collated from multiple sources and compiled automatically.

Alpha Actinin 4 sometimes referred to as ACTN4 or alpha-actinin is a protein with a mass of approximately 100 kDa. It functions as an actin-binding protein particularly involved in the crosslinking of actin filaments. This protein is expressed widely with high levels found in muscle kidney and brain tissues. Alpha-actinin 4 also plays important roles in cellular structure and integrity by binding actin filaments in various cellular contexts.
Biological function summary

The role of alpha-actinin 4 extends to maintaining cytoskeletal structure and cell motility. It forms part of the larger actin-binding complex that supports cellular adhesion and mechanical stability. By linking actin filaments it allows cells to withstand mechanical stress and maintain their shape. Additionally alpha-actinin 4 contributes to cellular processes like cytokinesis and signal transduction by serving as a scaffold for signaling proteins.

Pathways

Alpha-actinin 4 interacts with diverse cellular signaling mechanisms. Key pathways include the actin cytoskeleton signaling and integrin-mediated cell adhesion. In these pathways alpha-actinin 4 works alongside proteins such as integrins and vinculin facilitating communication between the extracellular matrix and the cytoskeleton. These interactions are critical for cellular responses to environmental stimuli and adaptation during movement or development.

Alpha-actinin 4 has notable impacts on conditions like focal segmental glomerulosclerosis (FSGS) and cancer. In FSGS mutation or dysregulation of alpha-actinin 4 contributes to podocyte dysfunction leading to proteinuria and kidney damage. Its role in cancer often involves altered expression influencing cell migration and invasion. The interaction with other proteins like nephrin in FSGS or E-cadherin in cancer highlights the significance of alpha-actinin 4 in pathogenic processes.

Product protocols

For this product, it's our understanding that no specific protocols are required. You can visit:

Target data

F-actin cross-linking protein which is thought to anchor actin to a variety of intracellular structures. This is a bundling protein (Probable). Probably involved in vesicular trafficking via its association with the CART complex. The CART complex is necessary for efficient transferrin receptor recycling but not for EGFR degradation (PubMed : 15772161). Involved in tight junction assembly in epithelial cells probably through interaction with MICALL2. Links MICALL2 to the actin cytoskeleton and recruits it to the tight junctions (By similarity). May also function as a transcriptional coactivator, stimulating transcription mediated by the nuclear hormone receptors PPARG and RARA (PubMed : 22351778). Association with IGSF8 regulates the immune synapse formation and is required for efficient T-cell activation (PubMed : 22689882).
See full target information ACTN4

Publications (2)

Recent publications for all applications. Explore the full list and refine your search

Clinical and experimental pharmacology & physiology 49:1257-1269 PubMed35856314

2022

Hsa_circ_0097922 promotes tamoxifen resistance and cell malignant behaviour of breast cancer cells by regulating ACTN4 expression via miR-876-3p.

Applications

Unspecified application

Species

Unspecified reactive species

Xiuju Liang,Xiao Liu,Zhonghua Song,Jian Zhu,Jinqing Zhang

Journal of lipid research 57:1059-73 PubMed27112635

2016

ApoL1 levels in high density lipoprotein and cardiovascular event presentation in patients with familial hypercholesterolemia.

Applications

Unspecified application

Species

Unspecified reactive species

Judit Cubedo,Teresa Padró,Rodrigo Alonso,Pedro Mata,Lina Badimon
View all publications

Product promise

We are committed to supporting your work with high-quality reagents, and we're here for you every step of the way. In the unlikely event that one of our products does not perform as expected, you're protected by our Product Promise.
For full details, please see our Terms & Conditions

Please note: All products are 'FOR RESEARCH USE ONLY. NOT FOR USE IN DIAGNOSTIC OR THERAPEUTIC PROCEDURES'.

For licensing inquiries, please contact partnerships@abcam.com