JavaScript is disabled in your browser. Please enable JavaScript to view this website.
AB155480

Anti-alpha Actinin/ACTN1 antibody - Loading Control

Be the first to review this product! Submit a review

|

(2 Publications)

Rabbit Polyclonal alpha Actinin/ACTN1 antibody. Suitable for IHC-P, WB and reacts with Human, Mouse, Rat samples. Cited in 2 publications. Immunogen corresponding to Recombinant Fragment Protein within Human ACTN1 aa 200-400.

View Alternative Names

Alpha-actinin-1, Alpha-actinin cytoskeletal isoform, F-actin cross-linking protein, Non-muscle alpha-actinin-1, ACTN1

5 Images
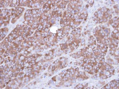
Immunohistochemistry (Formalin/PFA-fixed paraffin-embedded sections) - Anti-alpha Actinin/ACTN1 antibody - Loading Control (AB155480)
  • IHC-P

Unknown

Immunohistochemistry (Formalin/PFA-fixed paraffin-embedded sections) - Anti-alpha Actinin/ACTN1 antibody - Loading Control (AB155480)

Immunohistochemical analysis of paraffin-embedded Human SW480 xenograft tissue, labeling alpha Actinin/ACTN1 using ab155480 at a 1/100 dilution.

Western blot - Anti-alpha Actinin/ACTN1 antibody - Loading Control (AB155480)
  • WB

Supplier Data

Western blot - Anti-alpha Actinin/ACTN1 antibody - Loading Control (AB155480)

Samples were separated by 7.5% SDS-PAGE.

All lanes:

Western blot - Anti-alpha Actinin/ACTN1 antibody - Loading Control (ab155480) at 1/1000 dilution

Lane 1:

293T whole cell lysates at 30 µg

Lane 2:

A431 whole cell lysates at 30 µg

Lane 3:

HeLa whole cell lysates at 30 µg

Lane 4:

HepG2 whole cell lysates at 30 µg

Secondary

All lanes:

HRP-conjugated anti-rabbit IgG antibody

Predicted band size: 103 kDa

false

Western blot - Anti-alpha Actinin/ACTN1 antibody - Loading Control (AB155480)
  • WB

Supplier Data

Western blot - Anti-alpha Actinin/ACTN1 antibody - Loading Control (AB155480)

Samples were separated by 7.5% SDS-PAGE.

All lanes:

Western blot - Anti-alpha Actinin/ACTN1 antibody - Loading Control (ab155480) at 1/1000 dilution

All lanes:

Whole zebrafish extract at 30 µg

Predicted band size: 103 kDa

false

Western blot - Anti-alpha Actinin/ACTN1 antibody - Loading Control (AB155480)
  • WB

Unknown

Western blot - Anti-alpha Actinin/ACTN1 antibody - Loading Control (AB155480)

7.5% SDS PAGE

All lanes:

Western blot - Anti-alpha Actinin/ACTN1 antibody - Loading Control (ab155480) at 1/1000 dilution

All lanes:

mouse NIH 3T3 whole cell lysate at 30 µg

Predicted band size: 103 kDa

false

Western blot - Anti-alpha Actinin/ACTN1 antibody - Loading Control (AB155480)
  • WB

Supplier Data

Western blot - Anti-alpha Actinin/ACTN1 antibody - Loading Control (AB155480)

Samples were separated by 7.5% SDS-PAGE.

All lanes:

Western blot - Anti-alpha Actinin/ACTN1 antibody - Loading Control (ab155480) at 1/1000 dilution

Lane 1:

PC-12 whole cell lysates at 30 µg

Lane 2:

Rat2 whole cell lysates at 30 µg

Secondary

All lanes:

HRP-conjugated anti-rabbit IgG antibody

Predicted band size: 103 kDa

false

Key facts

Host species

Rabbit

Clonality

Polyclonal

Isotype

IgG

Carrier free

No

Reacts with

Mouse, Rat, Human

Applications

IHC-P, WB

applications

Immunogen

Recombinant Fragment Protein within Human ACTN1 aa 200-400. The exact immunogen used to generate this antibody is proprietary information.

P12814

Reactivity data

{ "title": "Reactivity Data", "filters": { "stats": ["", "Species", "Dilution Info", "Notes"], "tabs": { "all-applications": {"fullname" : "All Applications", "shortname": "All Applications"}, "IHCP" : {"fullname" : "Immunohistochemistry (Formalin/PFA-fixed paraffin-embedded sections)", "shortname":"IHC-P"}, "WB" : {"fullname" : "Western blot", "shortname":"WB"} }, "product-promise": { "all": "all", "testedAndGuaranteed": "tested", "guaranteed": "expected", "predicted": "predicted", "notRecommended": "not-recommended" } }, "values": { "Human": { "IHCP-species-checked": "testedAndGuaranteed", "IHCP-species-dilution-info": "1/100 - 1/1000", "IHCP-species-notes": "<p>Antigen retrieval also possible using Tris-EDTA buffer (pH8.0).</p> Perform heat-mediated antigen retrieval with citrate buffer pH 6 before commencing with IHC staining protocol.", "WB-species-checked": "testedAndGuaranteed", "WB-species-dilution-info": "1/500 - 1/3000", "WB-species-notes": "<p></p>" }, "Mouse": { "IHCP-species-checked": "guaranteed", "IHCP-species-dilution-info": "", "IHCP-species-notes": "", "WB-species-checked": "testedAndGuaranteed", "WB-species-dilution-info": "1/500 - 1/3000", "WB-species-notes": "<p></p>" }, "Rat": { "IHCP-species-checked": "guaranteed", "IHCP-species-dilution-info": "", "IHCP-species-notes": "", "WB-species-checked": "testedAndGuaranteed", "WB-species-dilution-info": "1/500 - 1/3000", "WB-species-notes": "<p></p>" }, "Chicken": { "IHCP-species-checked": "predicted", "IHCP-species-dilution-info": "", "IHCP-species-notes": "", "WB-species-checked": "predicted", "WB-species-dilution-info": "", "WB-species-notes": "" }, "Cow": { "IHCP-species-checked": "predicted", "IHCP-species-dilution-info": "", "IHCP-species-notes": "", "WB-species-checked": "predicted", "WB-species-dilution-info": "", "WB-species-notes": "" }, "Xenopus laevis": { "IHCP-species-checked": "predicted", "IHCP-species-dilution-info": "", "IHCP-species-notes": "", "WB-species-checked": "predicted", "WB-species-dilution-info": "", "WB-species-notes": "" }, "Xenopus tropicalis": { "IHCP-species-checked": "predicted", "IHCP-species-dilution-info": "", "IHCP-species-notes": "", "WB-species-checked": "predicted", "WB-species-dilution-info": "", "WB-species-notes": "" }, "Zebrafish": { "IHCP-species-checked": "predicted", "IHCP-species-dilution-info": "", "IHCP-species-notes": "", "WB-species-checked": "predicted", "WB-species-dilution-info": "", "WB-species-notes": "" } } }

Product details

Keep as concentrated solution.

Properties and storage information

Form
Liquid
Purification technique
Affinity purification Immunogen
Storage buffer
pH: 7 Preservative: 0.01% Thimerosal (merthiolate) Constituents: 10% Glycerol (glycerin, glycerine), 1.21% Tris, 0.75% Glycine
Shipped at conditions
Blue Ice
Appropriate short-term storage conditions
+4°C
Appropriate long-term storage conditions
-20°C
Aliquoting information
Upon delivery aliquot
Storage information
Avoid freeze / thaw cycle

Supplementary information

This supplementary information is collated from multiple sources and compiled automatically.

Alpha Actinin-1 also known as ACTN1 or Actn 1 is a cytoskeletal protein that cross-links actin filaments in muscle and non-muscle cells. With a mass of approximately 100 kDa it is an important component of cell structures such as Z-discs in skeletal muscle. Alpha Actinin is expressed in a range of tissues including skeletal cardiac and smooth muscle as well as in various non-muscle cells. Its main role is to organize the actin cytoskeleton providing structural support and enabling cell motility.
Biological function summary

Alpha Actinin-1 helps maintain the structural integrity of cells by anchoring actin filaments and connecting them to integrins or membrane proteins. It often functions as part of a protein complex interacting with other cytoskeletal components and signaling molecules to stabilize cellular structures. In muscle cells it blends with titin and other sarcomeric proteins to assist muscle contraction. Beyond structural roles it partakes in cellular signaling pathways by interacting with signaling proteins and influencing cellular responses to external stimuli.

Pathways

Alpha Actinin-1 is involved in the regulation of the actin cytoskeleton pathway as well as the integrin signaling pathway. In these pathways it collaborates with proteins such as vinculin and paxillin modulating cell adhesion and movement. Its ability to interact with integrin-linked kinases suggests a role in transducing mechanical signals from the extracellular matrix to downstream signaling cascades.

Alpha Actinin-1 has been linked to a spectrum of muscular diseases and certain cancers. Mutations in Alpha Actinin-1 can contribute to hereditary diseases like congenital kidney disorders which affect actin filament organization in podocytes. In oncology altered expression levels of Alpha Actinin-1 can affect cell proliferation impacting tumor growth and metastasis. Its interaction with other proteins like focal adhesion kinase (FAK) underlines its involvement in these pathological conditions influencing cellular adhesion and signal transduction.

Product protocols

For this product, it's our understanding that no specific protocols are required. You can visit:

Target data

F-actin cross-linking protein which is thought to anchor actin to a variety of intracellular structures. Association with IGSF8 regulates the immune synapse formation and is required for efficient T-cell activation (PubMed : 22689882).
See full target information ACTN1

Publications (2)

Recent publications for all applications. Explore the full list and refine your search

Iranian journal of basic medical sciences 26:200-207 PubMed36742137

2023

ACTN1 interacts with ITGA5 to promote cell proliferation, invasion and epithelial-mesenchymal transformation in head and neck squamous cell carcinoma.

Applications

Unspecified application

Species

Unspecified reactive species

Rui Wang,Ying Gao,Huimin Zhang

Stem cell research & therapy 11:117 PubMed32171324

2020

MicroRNA-495 confers inhibitory effects on cancer stem cells in oral squamous cell carcinoma through the HOXC6-mediated TGF-β signaling pathway.

Applications

Unspecified application

Species

Unspecified reactive species

Xiaolong You,Zhengyu Zhou,Wen Chen,Xiaoyong Wei,Heqiang Zhou,Wenzheng Luo
View all publications

Product promise

We are committed to supporting your work with high-quality reagents, and we're here for you every step of the way. In the unlikely event that one of our products does not perform as expected, you're protected by our Product Promise.
For full details, please see our Terms & Conditions

Please note: All products are 'FOR RESEARCH USE ONLY. NOT FOR USE IN DIAGNOSTIC OR THERAPEUTIC PROCEDURES'.

For licensing inquiries, please contact partnerships@abcam.com