JavaScript is disabled in your browser. Please enable JavaScript to view this website.
AB2807

Anti-alpha Adaptin antibody [AC1-M11]

5

(2 Reviews)

|

(11 Publications)

Mouse Monoclonal alpha Adaptin antibody. Suitable for Flow Cyt, WB, IHC-P, ICC/IF and reacts with Human, Mouse, Rat samples. Cited in 11 publications. Immunogen corresponding to Native Full Length Protein corresponding to Cow AP2A2.

View Alternative Names

AP-2 complex subunit alpha-2, 100 kDa coated vesicle protein C, Adaptor protein complex AP-2 subunit alpha-2, Adaptor-related protein complex 2 subunit alpha-2, Alpha-adaptin C, Alpha2-adaptin, Clathrin assembly protein complex 2 alpha-C large chain, Plasma membrane adaptor HA2/AP2 adaptin alpha C subunit, AP2A2

5 Images
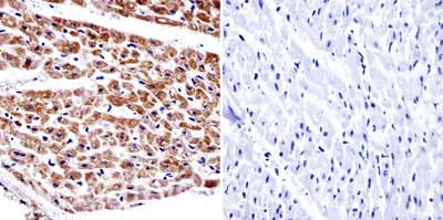
Immunohistochemistry (Formalin/PFA-fixed paraffin-embedded sections) - Anti-alpha Adaptin antibody [AC1-M11] (AB2807)
  • IHC-P

Unknown

Immunohistochemistry (Formalin/PFA-fixed paraffin-embedded sections) - Anti-alpha Adaptin antibody [AC1-M11] (AB2807)

Immunohistochemistry was performed on normal biopsies of deparaffinized Human heart tissue. To expose target proteins heat induced antigen retrieval was performed using 10mM sodium citrate (pH6.0) buffer and microwaved for 8-15 minutes. Following antigen retrieval tissues were blocked in 3% BSA-PBS for 30 minutes at room temperature. Tissues were then probed at a dilution of 1 : 20 with a Mouse monoclonal antibody recognizing alpha Adaptin (ab2807) or without primary antibody (negative control) overnight at 4°C in a humidified chamber. Tissues were washed extensively with PBST and endogenous peroxidase activity was quenched with a peroxidase suppressor. Detection was performed using a biotin-conjugated secondary antibody and SA-HRP followed by colorimetric detection using DAB. Tissues were counterstained with hematoxylin and prepped for mounting.

Flow Cytometry - Anti-alpha Adaptin antibody [AC1-M11] (AB2807)
  • Flow Cyt

Unknown

Flow Cytometry - Anti-alpha Adaptin antibody [AC1-M11] (AB2807)

Overlay histogram showing HepG2 cells stained with ab2807 (red line). The cells were fixed with 80% methanol (5 min) and then permeabilized with 0.1% PBS-Tween for 20 min. The cells were then incubated in 1x PBS / 10% normal goat serum / 0.3M glycine to block non-specific protein-protein interactions followed by the antibody (ab2807, 1/100 dilution) for 30 min at 22°C. The secondary antibody used was DyLight® 488 goat anti-mouse IgG (H+L) (ab96879) at 1/500 dilution for 30 min at 22°C. Isotype control antibody (black line) was mouse IgG2a [ICIGG2A] (ab91361, 2μg/1x106 cells) used under the same conditions. Acquisition of >5,000 events was performed. This antibody gave a positive signal in HepG2 cells fixed with 4% paraformaldehyde (10 min)/permeabilized with 0.1% PBS-Tween for 20 min used under the same conditions.

Immunocytochemistry/ Immunofluorescence - Anti-alpha Adaptin antibody [AC1-M11] (AB2807)
  • ICC/IF

Supplier Data

Immunocytochemistry/ Immunofluorescence - Anti-alpha Adaptin antibody [AC1-M11] (AB2807)

Immunolocalization of alpha-adaptin in NRK cells using ab2807.

Immunocytochemistry/ Immunofluorescence - Anti-alpha Adaptin antibody [AC1-M11] (AB2807)
  • ICC/IF

Supplier Data

Immunocytochemistry/ Immunofluorescence - Anti-alpha Adaptin antibody [AC1-M11] (AB2807)

Immunolocalization of alpha-adaptin in NRK cells using ab2807 (low power image of image 2).

Western blot - Anti-alpha Adaptin antibody [AC1-M11] (AB2807)
  • WB

Supplier Data

Western blot - Anti-alpha Adaptin antibody [AC1-M11] (AB2807)

Known quantity of protein samples were electrophoresed using Novex® NuPAGE® 10 % Bis-Tris gel, XCell SureLock™ Electrophoresis System and Novex® Sharp Pre-Stained Protein Standard. Resolved proteins were then transferred onto a nitrocellulose membrane with Pierce™ Power Blotter System (22834). The membrane was probed with the relevant primary and secondary Antibody using iBind™ Flex Western Starter Kit. Chemiluminescent detection was performed using Pierce™ ECL Western Blotting Substrate.

All lanes:

Western blot - Anti-alpha Adaptin antibody [AC1-M11] (ab2807) at 2 µg/mL

Lane 1:

Rat brain tissue lysate at 30 µg

Lane 2:

SH-SY5Y (Human neuroblastoma cell line from bone marrow) whole cell lysate at 30 µg

Lane 3:

U-87 MG (Human glioblastoma-astrocytoma epithelial cell line) whole cell lysate at 30 µg

Lane 4:

COLO 205 (Human colon adenocarcinoma cell line) whole cell lysate at 30 µg

Lane 5:

PC-3 (Human prostate adenocarcinoma cell line) whole cell lysate at 30 µg

Lane 6:

MCF7 (Human breast adenocarcinoma cell line) whole cell lysate at 30 µg

Lane 7:

NIH/3T3 (Mouse embryonic fibroblast cell line) whole cell lysate at 30 µg

Lane 8:

A-431 (Human epidermoid carcinoma cell line) whole cell lysate at 30 µg

Secondary

All lanes:

Goat anti-Mouse IgG (H+L) Superclonal™ Secondary Antibody, HRP conjugate at 1/2500 dilution

Predicted band size: 108 kDa

false

Key facts

Host species

Mouse

Clonality

Monoclonal

Clone number

AC1-M11

Isotype

IgG2a

Carrier free

No

Reacts with

Mouse, Rat, Human

Applications

IHC-P, ICC/IF, WB, Flow Cyt

applications

Immunogen

Native Full Length Protein corresponding to Cow AP2A2.

Q0VCK5

Reactivity data

{ "title": "Reactivity Data", "filters": { "stats": ["", "Species", "Dilution Info", "Notes"], "tabs": { "all-applications": {"fullname" : "All Applications", "shortname": "All Applications"}, "FlowCyt" : {"fullname" : "Flow Cytometry", "shortname":"Flow Cyt"}, "WB" : {"fullname" : "Western blot", "shortname":"WB"}, "IHCP" : {"fullname" : "Immunohistochemistry (Formalin/PFA-fixed paraffin-embedded sections)", "shortname":"IHC-P"}, "ICCIF" : {"fullname" : "Immunocytochemistry/ Immunofluorescence", "shortname":"ICC/IF"} }, "product-promise": { "all": "all", "testedAndGuaranteed": "tested", "guaranteed": "expected", "predicted": "predicted", "notRecommended": "not-recommended" } }, "values": { "Human": { "FlowCyt-species-checked": "testedAndGuaranteed", "FlowCyt-species-dilution-info": "1/100", "FlowCyt-species-notes": "<p><a href='/en-us/products/primary-antibodies/mouse-igg2c-kappa-monoclonal-18c8bc7ad10-isotype-control-ab170191'>ab170191</a> - Mouse monoclonal IgG2a, is suitable for use as an isotype control with this antibody.</p>", "WB-species-checked": "guaranteed", "WB-species-dilution-info": "", "WB-species-notes": "", "IHCP-species-checked": "testedAndGuaranteed", "IHCP-species-dilution-info": "1/20", "IHCP-species-notes": "<p></p>", "ICCIF-species-checked": "guaranteed", "ICCIF-species-dilution-info": "", "ICCIF-species-notes": "" }, "Mouse": { "FlowCyt-species-checked": "guaranteed", "FlowCyt-species-dilution-info": "", "FlowCyt-species-notes": "", "WB-species-checked": "testedAndGuaranteed", "WB-species-dilution-info": "2 µg/mL", "WB-species-notes": "<p></p>", "IHCP-species-checked": "guaranteed", "IHCP-species-dilution-info": "", "IHCP-species-notes": "", "ICCIF-species-checked": "guaranteed", "ICCIF-species-dilution-info": "", "ICCIF-species-notes": "" }, "Rat": { "FlowCyt-species-checked": "guaranteed", "FlowCyt-species-dilution-info": "", "FlowCyt-species-notes": "", "WB-species-checked": "guaranteed", "WB-species-dilution-info": "", "WB-species-notes": "", "IHCP-species-checked": "guaranteed", "IHCP-species-dilution-info": "", "IHCP-species-notes": "", "ICCIF-species-checked": "testedAndGuaranteed", "ICCIF-species-dilution-info": "1/100", "ICCIF-species-notes": "<p></p>" } } }

Properties and storage information

Form
Liquid
Purification technique
Affinity purification Protein A
Storage buffer
Preservative: 0.05% Sodium azide Constituents: PBS
Shipped at conditions
Blue Ice
Appropriate short-term storage duration
1-2 weeks
Appropriate short-term storage conditions
+4°C
Appropriate long-term storage conditions
-20°C
Aliquoting information
Upon delivery aliquot
Storage information
Avoid freeze / thaw cycle

Supplementary information

This supplementary information is collated from multiple sources and compiled automatically.

Alpha adaptin also known as AP2A1 is a component of the AP-2 complex carrying a molecular mass of about 110 kDa. This protein functions mechanically by mediating the formation of clathrin-coated vesicles at the plasma membrane. It facilitates the cargo selection process in clathrin-mediated endocytosis. Alpha adaptin is expressed broadly with significant presence in tissues like the brain and kidneys. This protein interacts strongly with clathrin and cargo receptors to regulate the internalization of various membrane-bound molecules.
Biological function summary

Alpha adaptin contributes to cellular homeostasis by managing the uptake and recycling of receptors and nutrients. It is an integral part of the adaptor protein complex 2 (AP-2) which orchestrates cargo binding and vesicle formation on the plasma membrane. This complex includes other subunits like beta adaptin mu adaptin and sigma adaptin all working collaboratively to ensure proper endocytic function. Alpha adaptin's role is essential in maintaining cell surface receptor levels and nutrient uptake.

Pathways

This protein is involved in endocytic pathways and is critical in synaptic vesicle recycling. Through this process it regulates neurotransmitter release by facilitating synaptic vesicle endocytosis a vital mechanism in neuron function. Alpha adaptin also interacts with dynamin another significant player in clathrin-mediated endocytosis which pinches off vesicles from the plasma membrane. This interaction supports its role in vesicle trafficking and cellular communication.

Alpha adaptin has implications in neurological disorders and cancer. Dysregulation of clathrin-mediated endocytosis involving alpha adaptin can influence the pathogenesis of neurodegenerative diseases like Alzheimer's disease. Perturbations in the AP-2 complex including alpha adaptin can misregulate receptor internalization impacting cell proliferation and migration therefore having potential links with oncogenesis. Moreover its interaction with proteins involved in receptor signaling pathways highlights its relevance to these conditions.

Product protocols

For this product, it's our understanding that no specific protocols are required. You can visit:

Target data

Component of the adaptor protein complex 2 (AP-2). Adaptor protein complexes function in protein transport via transport vesicles in different membrane traffic pathways. Adaptor protein complexes are vesicle coat components and appear to be involved in cargo selection and vesicle formation. AP-2 is involved in clathrin-dependent endocytosis in which cargo proteins are incorporated into vesicles surrounded by clathrin (clathrin-coated vesicles, CCVs) which are destined for fusion with the early endosome. The clathrin lattice serves as a mechanical scaffold but is itself unable to bind directly to membrane components. Clathrin-associated adaptor protein (AP) complexes which can bind directly to both the clathrin lattice and to the lipid and protein components of membranes are considered to be the major clathrin adaptors contributing the CCV formation. AP-2 also serves as a cargo receptor to selectively sort the membrane proteins involved in receptor-mediated endocytosis. AP-2 seems to play a role in the recycling of synaptic vesicle membranes from the presynaptic surface. AP-2 recognizes Y-X-X-[FILMV] (Y-X-X-Phi) and [ED]-X-X-X-L-[LI] endocytosis signal motifs within the cytosolic tails of transmembrane cargo molecules. AP-2 may also play a role in maintaining normal post-endocytic trafficking through the ARF6-regulated, non-clathrin pathway. During long-term potentiation in hippocampal neurons, AP-2 is responsible for the endocytosis of ADAM10 (By similarity). The AP-2 alpha subunit binds polyphosphoinositide-containing lipids, positioning AP-2 on the membrane. The AP-2 alpha subunit acts via its C-terminal appendage domain as a scaffolding platform for endocytic accessory proteins. The AP-2 alpha and AP-2 sigma subunits are thought to contribute to the recognition of the [ED]-X-X-X-L-[LI] motif (By similarity).
See full target information AP2A2

Publications (11)

Recent publications for all applications. Explore the full list and refine your search

Journal of virology 95: PubMed33762413

2021

Cell type-specific biogenesis of novel vesicles containing viral products in human cytomegalovirus infection.

Applications

Unspecified application

Species

Unspecified reactive species

Samina Momtaz,Belen Molina,Luwanika Mlera,Felicia Goodrum,Jean M Wilson

Communications biology 3:743 PubMed33293652

2020

Complimentary action of structured and unstructured domains of epsin supports clathrin-mediated endocytosis at high tension.

Applications

Unspecified application

Species

Unspecified reactive species

Jophin G Joseph,Carlos Osorio,Vivian Yee,Ashutosh Agrawal,Allen P Liu

Journal of cell science 133: PubMed32788230

2020

Frustration of endocytosis potentiates compression-induced receptor signaling.

Applications

Unspecified application

Species

Unspecified reactive species

Francesco Baschieri,Dahiana Le Devedec,Samuel Tettarasar,Nadia Elkhatib,Guillaume Montagnac

The Journal of cell biology 219: PubMed32642759

2020

Alternative splicing of clathrin heavy chain contributes to the switch from coated pits to plaques.

Applications

Unspecified application

Species

Unspecified reactive species

Gilles Moulay,Jeanne Lainé,Mégane Lemaître,Masayuki Nakamori,Ichizo Nishino,Ghislaine Caillol,Kamel Mamchaoui,Laura Julien,Florent Dingli,Damarys Loew,Marc Bitoun,Christophe Leterrier,Denis Furling,Stéphane Vassilopoulos

Nature communications 9:3825 PubMed30237420

2018

Frustrated endocytosis controls contractility-independent mechanotransduction at clathrin-coated structures.

Applications

Unspecified application

Species

Unspecified reactive species

Francesco Baschieri,Stéphane Dayot,Nadia Elkhatib,Nathalie Ly,Anahi Capmany,Kristine Schauer,Timo Betz,Danijela Matic Vignjevic,Renaud Poincloux,Guillaume Montagnac

Stem cells (Dayton, Ohio) 36:1589-1602 PubMed29873146

2018

A Prokineticin-Driven Epigenetic Switch Regulates Human Epicardial Cell Stemness and Fate.

Applications

Unspecified application

Species

Unspecified reactive species

Rehana Qureshi,Michel Kindo,Mounia Boulberdaa,Jean-Jacques von Hunolstein,Marja Steenman,Canan G Nebigil

Cell 169:1051-1065.e18 PubMed28575669

2017

The Mammalian Ribo-interactome Reveals Ribosome Functional Diversity and Heterogeneity.

Applications

Unspecified application

Species

Unspecified reactive species

Deniz Simsek,Gerald C Tiu,Ryan A Flynn,Gun W Byeon,Kathrin Leppek,Adele F Xu,Howard Y Chang,Maria Barna

Biology of reproduction 88:60 PubMed23303684

2013

A novel subcellular machine contributes to basal junction remodeling in the seminiferous epithelium.

Applications

Unspecified application

Species

Unspecified reactive species

Min Du,J'Nelle Young,Marc De Asis,Jane Cipollone,Calvin Roskelley,Yoshimi Takai,Peter K Nicholls,Peter G Stanton,Wanyin Deng,B Brett Finlay,A Wayne Vogl

Developmental cell 23:782-95 PubMed23041384

2012

Numb/Numbl-Opo antagonism controls retinal epithelium morphogenesis by regulating integrin endocytosis.

Applications

Unspecified application

Species

Unspecified reactive species

Ozren Bogdanović,Mariana Delfino-Machín,María Nicolás-Pérez,María P Gavilán,Inês Gago-Rodrigues,Ana Fernández-Miñán,Concepción Lillo,Rosa M Ríos,Joachim Wittbrodt,Juan R Martínez-Morales

Journal of cell science 124:3414-27 PubMed22010197

2011

Clathrin is required for Scar/Wave-mediated lamellipodium formation.

Applications

ICC/IF

Species

Drosophila melanogaster

Jérémie J Gautier,Maria E Lomakina,Lamia Bouslama-Oueghlani,Emmanuel Derivery,Helen Beilinson,Wolfgang Faigle,Damarys Loew,Daniel Louvard,Arnaud Echard,Antonina Y Alexandrova,Buzz Baum,Alexis Gautreau
View all publications

Product promise

We are committed to supporting your work with high-quality reagents, and we're here for you every step of the way. In the unlikely event that one of our products does not perform as expected, you're protected by our Product Promise.
For full details, please see our Terms & Conditions

Please note: All products are 'FOR RESEARCH USE ONLY. NOT FOR USE IN DIAGNOSTIC OR THERAPEUTIC PROCEDURES'.

For licensing inquiries, please contact partnerships@abcam.com