JavaScript is disabled in your browser. Please enable JavaScript to view this website.
AB248115

Anti-alpha Adducin (phospho S436) antibody [EPR2176] - BSA and Azide free

Be the first to review this product! Submit a review

|

(0 Publication)

Rabbit Recombinant Monoclonal alpha Adducin phospho S436 antibody. Carrier free. Suitable for WB and reacts with Human samples.

View Alternative Names

ADDA, ADD1, Alpha-adducin, Erythrocyte adducin subunit alpha

2 Images
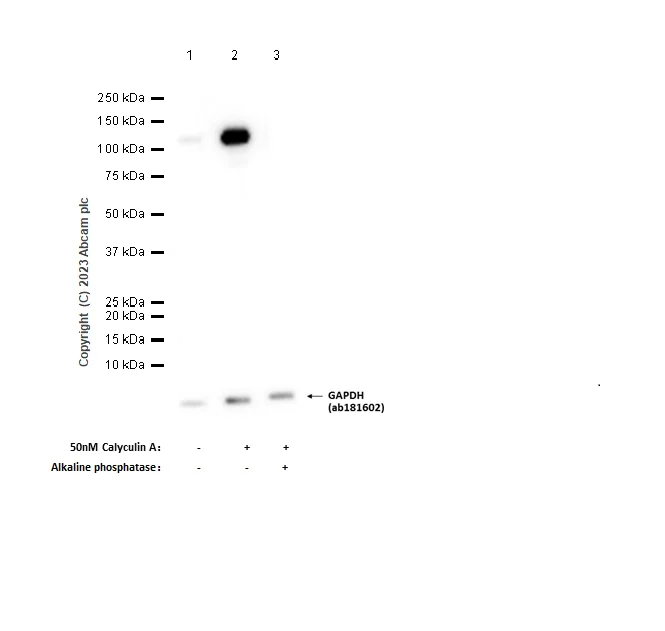
Western blot - Anti-alpha Adducin (phospho S436) antibody [EPR2176] - BSA and Azide free (AB248115)
  • WB

Lab

Western blot - Anti-alpha Adducin (phospho S436) antibody [EPR2176] - BSA and Azide free (AB248115)

This data was developed using ab125081, the same antibody clone in a different buffer formulation. Blocking and diluting buffer and concentration : 5% NFDM/TBST. ab181602 was used as a GAPDH loading control.

All lanes:

Western blot - Anti-alpha Adducin (phospho S436) antibody [EPR2176] (<a href='/en-us/products/primary-antibodies/alpha-adducin-phospho-s436-antibody-epr2176-ab125081'>ab125081</a>) at 1/1000 dilution

Lane 1:

Untreated HeLa (Human cervix adenocarcinoma epithelial cell) whole cell lysate at 20 µg

Lane 2:

HeLa (Human cervix adenocarcinoma epithelial cell) treated with 50nM Calyculin A for 3 hours whole cell lysate at 20 µg

Lane 3:

HeLa (Human cervix adenocarcinoma epithelial cell) treated with 50nM Calyculin A for 3 hours whole cell lysate 20ug, then the membrane was treated with alkaline phosphatase for 1 hour

Secondary

All lanes:

Western blot - Goat Anti-Rabbit IgG H&L (HRP) (<a href='/en-us/products/secondary-antibodies/goat-rabbit-igg-h-l-hrp-ab97051'>ab97051</a>) at 1/20000 dilution

Predicted band size: 81 kDa

Observed band size: 110 kDa

false

Exposure time: 7s

Western blot - Anti-alpha Adducin (phospho S436) antibody [EPR2176] - BSA and Azide free (AB248115)
  • WB

Unknown

Western blot - Anti-alpha Adducin (phospho S436) antibody [EPR2176] - BSA and Azide free (AB248115)

This data was developed using ab125081, the same antibody clone in a different buffer formulation.

The bands shown at the bottom of the gel are Beta Tubulin.

All lanes:

Western blot - Anti-alpha Adducin (phospho S436) antibody [EPR2176] - BSA and Azide free (ab248115) at 1/1000 dilution

Lane 1:

HeLa cell lysate, untreated at 10 µg

Lane 2:

HeLa cell lysate, treated with Lambda Phosphatase at 10 µg

Secondary

All lanes:

Goat anti-Rabbit HRP at 1/2000 dilution

Predicted band size: 81 kDa

false

  • Unconjugated

    Anti-alpha Adducin (phospho S436) antibody [EPR2176]

Key facts

Host species

Rabbit

Clonality

Monoclonal

Clone number

EPR2176

Isotype

IgG

Carrier free

Yes

Reacts with

Human

Applications

WB

applications

Immunogen

The exact immunogen used to generate this antibody is proprietary information.

Reactivity data

{ "title": "Reactivity Data", "filters": { "stats": ["", "Species", "Dilution Info", "Notes"], "tabs": { "all-applications": {"fullname" : "All Applications", "shortname": "All Applications"}, "IP" : {"fullname" : "Immunoprecipitation", "shortname":"IP"}, "WB" : {"fullname" : "Western blot", "shortname":"WB"}, "IHCP" : {"fullname" : "Immunohistochemistry (Formalin/PFA-fixed paraffin-embedded sections)", "shortname":"IHC-P"}, "ICCIF" : {"fullname" : "Immunocytochemistry/ Immunofluorescence", "shortname":"ICC/IF"} }, "product-promise": { "all": "all", "testedAndGuaranteed": "tested", "guaranteed": "expected", "predicted": "predicted", "notRecommended": "not-recommended" } }, "values": { "Human": { "IP-species-checked": "notRecommended", "IP-species-dilution-info": "", "IP-species-notes": "<p></p>", "WB-species-checked": "testedAndGuaranteed", "WB-species-dilution-info": "", "WB-species-notes": "<p></p>", "IHCP-species-checked": "notRecommended", "IHCP-species-dilution-info": "", "IHCP-species-notes": "<p></p>", "ICCIF-species-checked": "notRecommended", "ICCIF-species-dilution-info": "", "ICCIF-species-notes": "<p></p>" }, "Mouse": { "IP-species-checked": "notRecommended", "IP-species-dilution-info": "", "IP-species-notes": "", "WB-species-checked": "predicted", "WB-species-dilution-info": "", "WB-species-notes": "", "IHCP-species-checked": "notRecommended", "IHCP-species-dilution-info": "", "IHCP-species-notes": "", "ICCIF-species-checked": "notRecommended", "ICCIF-species-dilution-info": "", "ICCIF-species-notes": "" }, "Rat": { "IP-species-checked": "notRecommended", "IP-species-dilution-info": "", "IP-species-notes": "", "WB-species-checked": "predicted", "WB-species-dilution-info": "", "WB-species-notes": "", "IHCP-species-checked": "notRecommended", "IHCP-species-dilution-info": "", "IHCP-species-notes": "", "ICCIF-species-checked": "notRecommended", "ICCIF-species-dilution-info": "", "ICCIF-species-notes": "" } } }

Product details

ab248115 is the carrier-free version of ab125081.

Patented technology
Our RabMAb® technology is a patented hybridoma-based technology for making rabbit monoclonal antibodies. For details on our patents, please refer to RabMAb® patents.

What are the advantages of a recombinant monoclonal antibody?
This product is a recombinant monoclonal antibody, which offers several advantages including:

  • - High batch-to-batch consistency and reproducibility
  • - Improved sensitivity and specificity
  • - Long-term security of supply
  • - Animal-free batch production

For more information, read more on recombinant antibodies.

Conjugation ready
Our carrier-free antibodies are typically supplied in a PBS-only formulation, purified and free of BSA, sodium azide and glycerol. This conjugation-ready format is designed for use with fluorochromes, metal isotopes, oligonucleotides, and enzymes, which makes them ideal for antibody labelling, functional and cell-based assays, flow-based assays (e.g. mass cytometry) and Multiplex Imaging applications.

Use our conjugation kits for antibody conjugates that are ready-to-use in as little as 20 minutes with 1 minute hands-on-time and 100% antibody recovery: available for fluorescent dyes, HRP, biotin and gold.

Compatibility
This product is compatible with the Maxpar® Antibody Labeling Kit from Fluidigm, without the need for antibody preparation. Maxpar® is a trademark of Fluidigm Canada Inc.

Properties and storage information

Form
Liquid
Purification technique
Affinity purification Protein A
Storage buffer
pH: 7.2 - 7.4 Constituents: PBS
Shipped at conditions
Blue Ice
Appropriate short-term storage conditions
+4°C
Appropriate long-term storage conditions
+4°C
Storage information
Do Not Freeze

Supplementary information

This supplementary information is collated from multiple sources and compiled automatically.

Alpha Adducin also known as ADD1 is a cytoskeletal protein of roughly 80 kDa. It plays a significant mechanical role in the assembly of the spectrin-actin network which stabilizes the membrane of erythrocytes and other cells. It is expressed in various tissues with high levels in neurons and kidney cells. Maintenance of cytoskeletal integrity is an important mechanical function of alpha Adducin.
Biological function summary

This protein influences cellular shape and motility. It forms a complex with spectrin and actin to strengthen cell membranes and facilitate intercellular connectivity. Alpha Adducin modulates the dynamics of membrane skeleton structures impacting not only the stability but also the function of cells under both physiological and pathophysiological conditions.

Pathways

Alpha Adducin is integral in the regulation of the Rho and calcium signaling pathways. These pathways influence cytoskeletal organization and cell life processes. In the Rho pathway alpha Adducin interacts with proteins such as Rho GTPases which are involved in signal transduction for cytoskeletal rearrangement. This interaction shows its importance in cellular reaction to environmental stimuli and stress.

Alpha Adducin shows significant connections to hypertension and certain neurological disorders. Variants of ADD1 have been linked to altered blood pressure regulation implicating its role in hypertension through interactions with sodium-potassium ATPases. It also connects to spectrin in neurological disorders highlighting its involvement in maintaining neuronal architecture and function.

Product protocols

For this product, it's our understanding that no specific protocols are required. You can visit:

Target data

Membrane-cytoskeleton-associated protein that promotes the assembly of the spectrin-actin network. Binds to calmodulin.
See full target information ADD1 phospho S436

Product promise

We are committed to supporting your work with high-quality reagents, and we're here for you every step of the way. In the unlikely event that one of our products does not perform as expected, you're protected by our Product Promise.
For full details, please see our Terms & Conditions

Please note: All products are 'FOR RESEARCH USE ONLY. NOT FOR USE IN DIAGNOSTIC OR THERAPEUTIC PROCEDURES'.

For licensing inquiries, please contact partnerships@abcam.com